BCAP31 Antibody (JG37-81)

Images

 
Western Blot: BCAP31 Antibody (JG37-81) [NBP2-75416] - Analysis of BAP31 on different lysates using anti-BAP31 antibody at 1/1,000 dilution.Positive control:Lane 1: A431 Lane 2: SK-Br-3
Immunocytochemistry/ Immunofluorescence: BCAP31 Antibody (JG37-81) [NBP2-75416] - Staining BAP31 in PC-3M cells (green). The nuclear counter stain is DAPI (blue). Cells were fixed in paraformaldehyde, permeabilised with ...read more
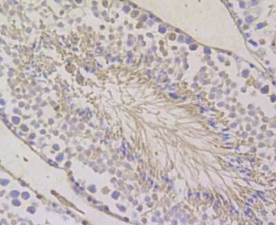
Immunohistochemistry-Paraffin: BCAP31 Antibody (JG37-81) [NBP2-75416] - Analysis of paraffin-embedded mouse testis tissue using anti-BAP31 antibody. Counter stained with hematoxylin.
Flow Cytometry: BCAP31 Antibody (JG37-81) [NBP2-75416] - Analysis of PC-3M cells with BAP31 antibody at 1/100 dilution (purple) compared with an unlabelled control (cells without incubation with primary antibody; ...read more
Immunocytochemistry/ Immunofluorescence: BCAP31 Antibody (JG37-81) [NBP2-75416] - Staining BAP31 in A431 cells (green). The nuclear counter stain is DAPI (blue). Cells were fixed in paraformaldehyde, permeabilised with ...read more
Immunocytochemistry/ Immunofluorescence: BCAP31 Antibody (JG37-81) [NBP2-75416] - Staining BAP31 in A549 cells (green). The nuclear counter stain is DAPI (blue). Cells were fixed in paraformaldehyde, permeabilised with ...read more
Immunohistochemistry-Paraffin: BCAP31 Antibody (JG37-81) [NBP2-75416] - Analysis of paraffin-embedded human liver tissue using anti-BAP31 antibody. Counter stained with hematoxylin.
Immunohistochemistry-Paraffin: BCAP31 Antibody (JG37-81) [NBP2-75416] - Analysis of paraffin-embedded human colon cancer tissue using anti-BAP31 antibody. Counter stained with hematoxylin.
Immunohistochemistry-Paraffin: BCAP31 Antibody (JG37-81) [NBP2-75416] - Analysis of paraffin-embedded human kidney tissue using anti-BAP31 antibody. Counter stained with hematoxylin.

Product Details

Summary
Product Discontinued
View other related BCAP31 Primary Antibodies

Order Details


    • Catalog Number
      NBP2-75416
    • Availability
      Product Discontinued

    Can't find what you are looking for? Use our Antibody Concierge Service & we will help you locate your antibody!

    Or feel free to contact us for alternative products.

BCAP31 Antibody (JG37-81) Summary

Additional Information
Recombinant Monoclonal Antibody.
Immunogen
Recombinant protein within Human BCAP31 aa 81-220 / 246. (SwissProt: P51572 Human; SwissProt: Q61335 Mouse)
Localization
Endoplasmic reticulum membrane.
Isotype
IgG
Clonality
Monoclonal
Host
Rabbit
Gene
BCAP31
Purity
Protein A purified
Innovator's Reward
Test in a species/application not listed above to receive a full credit towards a future purchase.

Applications/Dilutions

Dilutions
  • Flow Cytometry 1:50-1:100
  • Immunocytochemistry/ Immunofluorescence 1:50-1:200
  • Immunohistochemistry
  • Immunohistochemistry-Paraffin 1:50-1:200
  • Western Blot 1:500-1:2000
Theoretical MW
28 kDa.
Disclaimer note: The observed molecular weight of the protein may vary from the listed predicted molecular weight due to post translational modifications, post translation cleavages, relative charges, and other experimental factors.

Packaging, Storage & Formulations

Storage
Store at 4C short term. Aliquot and store at -20C long term. Avoid freeze-thaw cycles.
Buffer
TBS (pH7.4), 0.05% BSA, 40% Glycerol
Preservative
0.05% Sodium Azide
Concentration
1 mg/ml
Purity
Protein A purified

Alternate Names for BCAP31 Antibody (JG37-81)

  • 6C6-Ag
  • BAP31
  • Bap31,6C6-AG
  • BAP31DXS1357ECDM
  • BCAP31
  • B-cell receptor-associated protein 31
  • BCR-associated protein 31
  • BCR-associated protein Bap31,6C6-AG tumor-associated antigen
  • p28 Bap31,6C6-Ag
  • p28
  • Protein CDM

Background

BAP31 (B Cell Receptor Associated Protein, 28 kDa) is a multiple membrane spanning protein of the endoplasmic reticulum. It has been shown to form both homo and hetero oligomers with the closely related BAP29, and is a potential apoptotic regulator as a predicted BCL2/BCLXL associated protein. In the C terminal domain of BAP31, there are two identical recognition sites for initiator Caspases 1 and 8 of the programmed death cascade. It is hypothesized that BAP31 plays a role in the transport of selected proteins to the Golgi apparatus. BAP31 has also been shown to control expression of CFTR (cystic fibrosis transmembrane conductance regulator). It is believed that interference with the expression or function of BAP31 in epithelial cells may be a way to circumvent the chloride channel defect in cystic fibrosis.

Limitations

This product is for research use only and is not approved for use in humans or in clinical diagnosis. Primary Antibodies are guaranteed for 1 year from date of receipt.

Customers Who Viewed This Item Also Viewed...

NB100-56116
Species: Ma, Hu, Mu, Rt
Applications: Flow, ICC/IF, IHC, IHC-Fr,  IHC-P, IP, Simple Western, WB
NBP2-38606
Species: Hu
Applications: ICC/IF, IHC,  IHC-P
NB100-56098
Species: Ca, Hu, Mu, Rt
Applications: IHC,  IHC-P, IP, WB
NB100-56104
Species: Ca, Hu, Mu, Rt
Applications: IHC, IHC-Fr,  IHC-P, IP, WB
236-EG
Species: Hu
Applications: BA
AF820
Species: Hu, Mu
Applications: ICC, IHC, KO, Simple Western, WB
AF816
Species: Hu
Applications: ICC, IHC, WB
NB100-56503
Species: Dr, Hu, Mu, Rb, Rt
Applications: Flow-CS, Flow-IC, Flow, IB, ICC/IF, IHC,  IHC-P, Simple Western, WB
NBP3-17045
Species: Hu
Applications: IHC,  IHC-P
NBP1-30945
Species: Hu, Mu, Rt
Applications: ICC/IF, IHC,  IHC-P, WB
NB100-1965
Species: Av, Bv, Ch, Dr, Gp, Hu, Mu, Po, Rb, Rt, Sh, Xp, Ze
Applications: Flow, ICC/IF, IHC,  IHC-P, IP, Simple Western, WB
NB120-13550
Species: Hu, Mu, Rt
Applications: ICC/IF, IHC,  IHC-P, WB
NB600-101
Species: Bv, Ha, Hu, Mu, Pm, Rt
Applications: B/N, DB, EM, Flow, ICC/IF, IHC,  IHC-P, IP, KD, PA, Simple Western, WB
314-BP
Species: Hu
Applications: BA, BA
NB100-56118
Species: Ca, Ma, Hu, Mu, Rt
Applications: Flow-IC, ICC/IF, IHC, IHC-Fr,  IHC-P, IP, WB
NBP1-85010
Species: Hu
Applications: IHC,  IHC-P

Publications for BCAP31 Antibody (NBP2-75416) (0)

There are no publications for BCAP31 Antibody (NBP2-75416).
By submitting your publication information earn gift cards and discounts for future purchases.

Reviews for BCAP31 Antibody (NBP2-75416) (0)

There are no reviews for BCAP31 Antibody (NBP2-75416). By submitting a review you will receive an Amazon e-Gift Card or Novus Product Discount.
  • Review with no image -- $10/€7/£6/$10 CAD/¥70 Yuan/¥1110 Yen
  • Review with an image -- $25/€18/£15/$25 CAD/¥150 Yuan/¥2500 Yen

Product General Protocols

Find general support by application which include: protocols, troubleshooting, illustrated assays, videos and webinars.

Video Protocols

WB Video Protocol
ICC/IF Video Protocol

FAQs for BCAP31 Antibody (NBP2-75416) (0)

There are no specific FAQs related to this product. Read our general customer & technical service FAQs.

Secondary Antibodies

 

Isotype Controls

Additional BCAP31 Products

Research Areas for BCAP31 Antibody (NBP2-75416)

Find related products by research area.

Blogs on BCAP31

There are no specific blogs for BCAP31, but you can read our latest blog posts.

Contact Information

Product PDFs

Calculators

Concentration Calculator

The concentration calculator allows you to quickly calculate the volume, mass or concentration of your vial. Simply enter your mass, volume, or concentration values for your reagent and the calculator will determine the rest.

=
÷

Review this Product

Be the first to review our BCAP31 Antibody (JG37-81) and receive a gift card or discount.

Bioinformatics

Gene Symbol BCAP31