B-Raf Antibody (CL4004) - Azide and BSA Free

Images

 
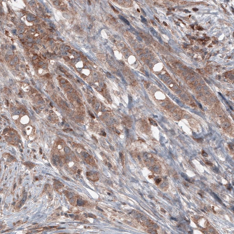
Staining of human breast cancer shows moderate cytoplasmic immunoreactivity in tumor cells.
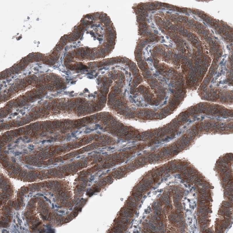
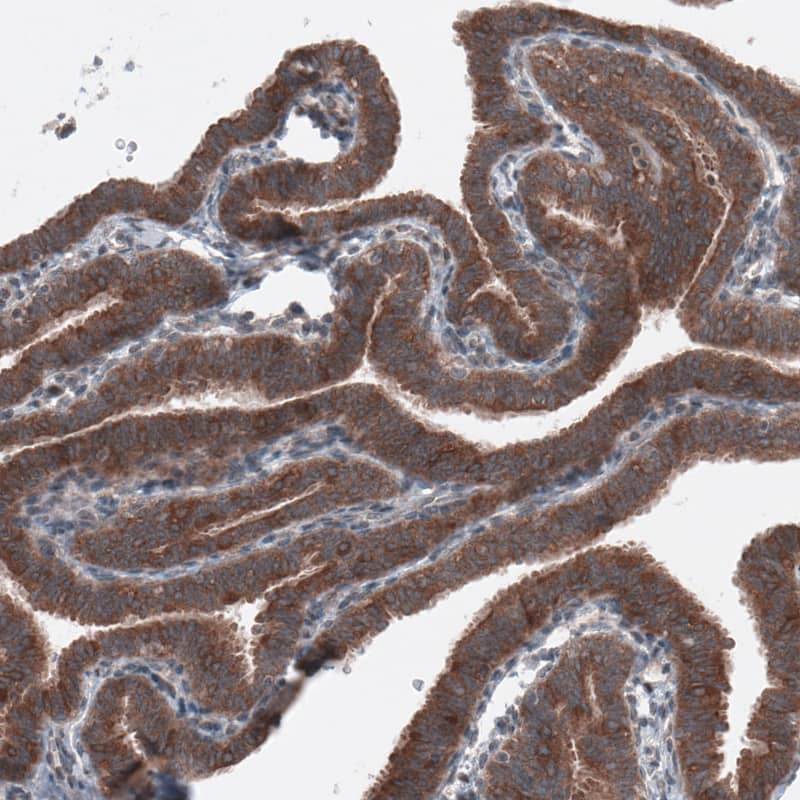
Staining of human fallopian tube shows strong cytoplasmic positivity in glandular cells.
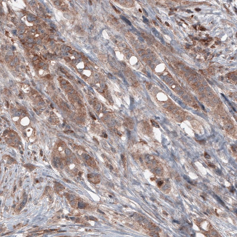
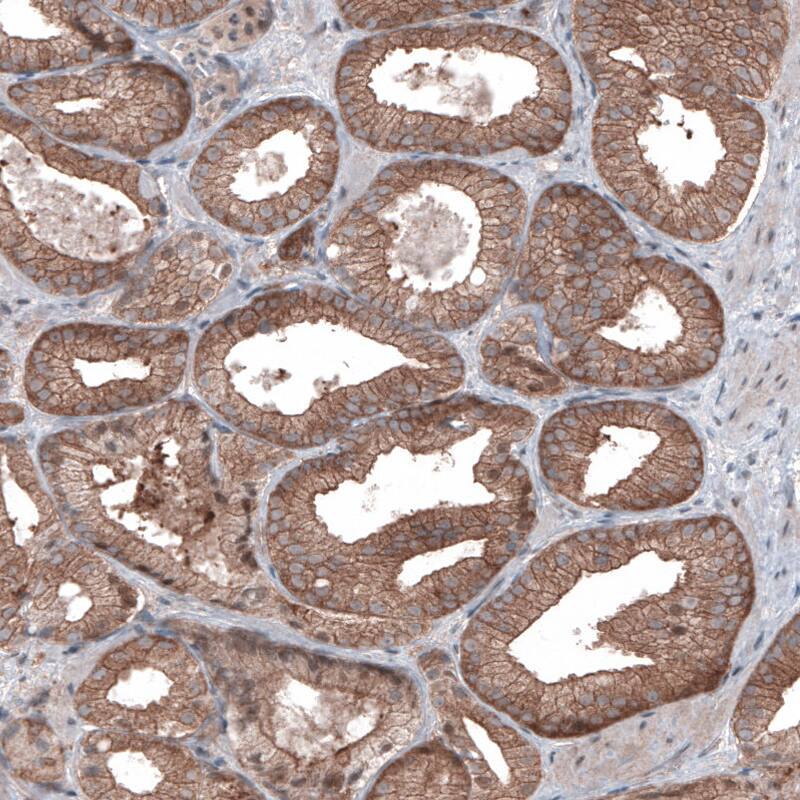
Staining of human prostate cancer shows moderate cytoplasmic immunoreactivity in tumor cells.
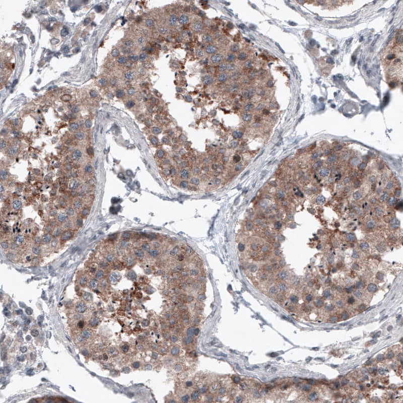
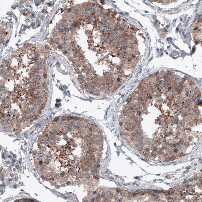
Staining of human testis shows cytoplasmic positivity in seminiferous tubules.
Analysis in human cell line MOLT-4.

Product Details

Summary
Reactivity HuSpecies Glossary
Applications WB, IHC
Clone
CL4004
Clonality
Monoclonal
Host
Mouse
Conjugate
Unconjugated
Format
Azide and BSA Free
Concentration
LYOPH

Order Details

B-Raf Antibody (CL4004) - Azide and BSA Free Summary

Description
Novus Biologicals Mouse B-Raf Antibody (CL4004) - Azide and BSA Free (NBP2-59035) is a monoclonal antibody validated for use in IHC and WB. All Novus Biologicals antibodies are covered by our 100% guarantee.
Immunogen
This antibody was generated using a recombinant protein sequence of P15056, with the exact immunogen sequence remaining proprietary.
Isotype
IgG2b
Clonality
Monoclonal
Host
Mouse
Gene
BRAF
Purity
Protein A purified
Innovator's Reward
Test in a species/application not listed above to receive a full credit towards a future purchase.

Applications/Dilutions

Dilutions
  • Immunohistochemistry-Paraffin 1:500 - 1:1000
  • Western Blot 1 ug/ml
Application Notes
For IHC-Paraffin, HIER pH 6 retrieval is recommended.

Packaging, Storage & Formulations

Storage
Store at 4C short term. Aliquot and store at -20C long term. Avoid freeze-thaw cycles.
Buffer
Lyophilized from a 0.2 um filtered solution in PBS with Trehalose
Preservative
No Preservative
Concentration
LYOPH
Purity
Protein A purified
Reconstitution Instructions
Centrifuge the vial of lyophilized antibody at 12,000 x g for 20 seconds. Reconstitute by adding sterile, distilled water to achieve a final antibody concentration of 1mg/ml.

Alternate Names for B-Raf Antibody (CL4004) - Azide and BSA Free

  • 94 kDa B-raf protein
  • B-Raf proto-oncogene serine/threonine-protein kinase (p94)
  • BRaf
  • B-Raf
  • BRAF1
  • B-RAF1
  • BRAF1MGC126806
  • EC 2.7.11.1
  • MGC138284
  • murine sarcoma viral (v-raf) oncogene homolog B1
  • NS7
  • p94
  • Proto-oncogene B-Raf
  • RAFB1
  • serine/threonine-protein kinase B-raf
  • v-raf murine sarcoma viral oncogene homolog B1FLJ95109

Background

B-Raf, also know as c-Rmil, is a Serine/Threonine protein kinase member of the Raf family which includes Raf-1 and A-Raf. B-Raf is involved in the transduction of mitogenic signals from the cell membrane to the nucleus (1). Composed of three conserved region (CR1, CR2, CR3) B-Raf is expressed primarily in the brain and in the nervous system (2). It has been observed that MAPK is activated by B-Raf in response to nerve growth factor (3). More than 60% of malignant melanomas were found to contain a specific mutation, B-Raf (V599E) the product of which possesses constitutive kinase activity (4). Mutations in B-Raf have also been identified in lung cancer and non-Hodgkin lymphoma.

Limitations

This product is for research use only and is not approved for use in humans or in clinical diagnosis. Primary Antibodies are guaranteed for 1 year from date of receipt.

Customers Who Viewed This Item Also Viewed...

H00003845-M01
Species: Hu, Mu
Applications: ELISA, ICC/IF, IP, WB
AF231
Species: Hu
Applications: CyTOF-ready, Dual ISH-IHC, ELISA(Cap), ELISA(Det), ELISA(Sta), Flow, ICC, IHC, IP, Simple Western, WB
AF482
Species: Mu
Applications: IHC, WB
MAB4540
Species: Hu, Mu, Rt
Applications: IHC, Simple Western, WB
AF1230
Species: Hu, Mu, Rt
Applications: IHC, KO, WB
NBP2-19804
Species: Hu, Mu
Applications: ICC/IF, IHC,  IHC-P, WB
NB200-106
Species: Mu, Rt
Applications: ELISA, ICC/IF, IHC, IHC-Fr,  IHC-P, WB
NBP3-16473
Species: Hu, Mu, Rt
Applications: ICC/IF, WB
AF467
Species: Hu, Mu
Applications: CyTOF-ready, Flow, ICC, IHC, Simple Western, WB
MAB41051
Species: Hu, Mu
Applications: WB
NB200-103
Species: Hu, Mu, Rt, Xp(-), Ye
Applications: CyTOF-ready, ELISA, Flow-IC, Flow, ICC/IF, IHC, IHC-Fr,  IHC-P, IP, WB
NBP1-82956
Species: Hu
Applications: ICC/IF, IHC,  IHC-P, WB
NBP1-47833
Species: Hu, Mu, Rt
Applications: ICC/IF, IHC,  IHC-P, WB
NBP2-42864
Species: Hu, Mu, Rt
Applications: ICC/IF, IHC,  IHC-P, IP, WB
NBP1-85351
Species: Hu, Mu, Rt
Applications: ICC/IF, IHC,  IHC-P, WB
NBP1-33581
Species: Hu, Mu, Rt
Applications: ELISA, ICC/IF, IHC,  IHC-P, WB
NBP2-33711
Species: Hu
Applications: IHC,  IHC-P
NBP2-43792
Species: Hu, Mu
Applications: ICC/IF, IHC,  IHC-P, WB

Publications for B-Raf Antibody (NBP3-44118) (0)

There are no publications for B-Raf Antibody (NBP3-44118).
By submitting your publication information earn gift cards and discounts for future purchases.

Reviews for B-Raf Antibody (NBP3-44118) (0)

There are no reviews for B-Raf Antibody (NBP3-44118). By submitting a review you will receive an Amazon e-Gift Card or Novus Product Discount.
  • Review with no image -- $10/€7/£6/$10 CAD/¥70 Yuan/¥1110 Yen
  • Review with an image -- $25/€18/£15/$25 CAD/¥150 Yuan/¥2500 Yen

Product General Protocols

Find general support by application which include: protocols, troubleshooting, illustrated assays, videos and webinars.

Video Protocols

WB Video Protocol

FAQs for B-Raf Antibody (NBP3-44118) (0)

There are no specific FAQs related to this product. Read our general customer & technical service FAQs.

Secondary Antibodies

 

Isotype Controls

Additional B-Raf Products

Research Areas for B-Raf Antibody (NBP3-44118)

Find related products by research area.

Blogs on B-Raf.

Autophagy and RAS signaling: Clinical implications
By Christina Towers, PhD The cellular recycling process known as autophagy is currently being targeted in over 60 clinical trials focused on treating different types of cancer1. To date, the only autophagy-targeted ...  Read full blog post.

MAPK3/ERK1 - A signal transduction pathway with roles in development and disease
Mitogen-activated protein kinases (MAPKs) are important signaling proteins needed to transmit and relay extracellular stimuli and to illicit intracellular responses (1). The MAPK family of proteins are serine/threonine kinases that are able to phos...  Read full blog post.

You can't be without me - SNF5
The protein encoded by SNF5 is a component of the chromatin-remodeling protein complex responsible for relieving repressive chromatin structures by allowing the transcriptional machinery to access targets more effectively. SNF5 has been found to be a ...  Read full blog post.

Customers Who Bought This Also Bought

Contact Information

Product PDFs

Calculators

Concentration Calculator

The concentration calculator allows you to quickly calculate the volume, mass or concentration of your vial. Simply enter your mass, volume, or concentration values for your reagent and the calculator will determine the rest.

=
÷

Review this Product

Be the first to review our B-Raf Antibody (CL4004) - Azide and BSA Free and receive a gift card or discount.

Bioinformatics

Gene Symbol BRAF