ATRX Antibody (CL0537) - Azide and BSA Free

Images

 
Staining in MCF7 cell line with Anti-ATRX monoclonal antibody) staining in green. Microtubule- and nuclear probes are visualized in red and blue respectively (where available).
Staining in HeLa cell line with Anti-ATRX monoclonal antibody) staining in green. Microtubule- and nuclear probes are visualized in red and blue respectively (where available).
Staining in U251 cell line with Anti-ATRX monoclonal antibody) staining in green. Microtubule- and nuclear probes are visualized in red and blue respectively (where available).
Staining in A431 cell line with Anti-ATRX monoclonal antibody) staining in green. Microtubule- and nuclear probes are visualized in red and blue respectively (where available).
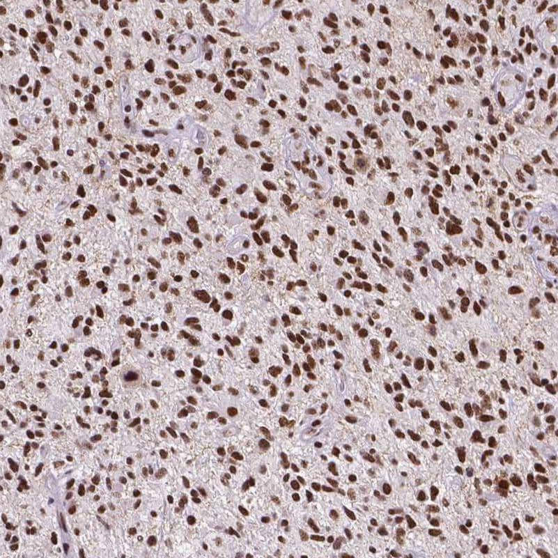
Staining of human glioma shows strong nuclear positivity in tumor cells.
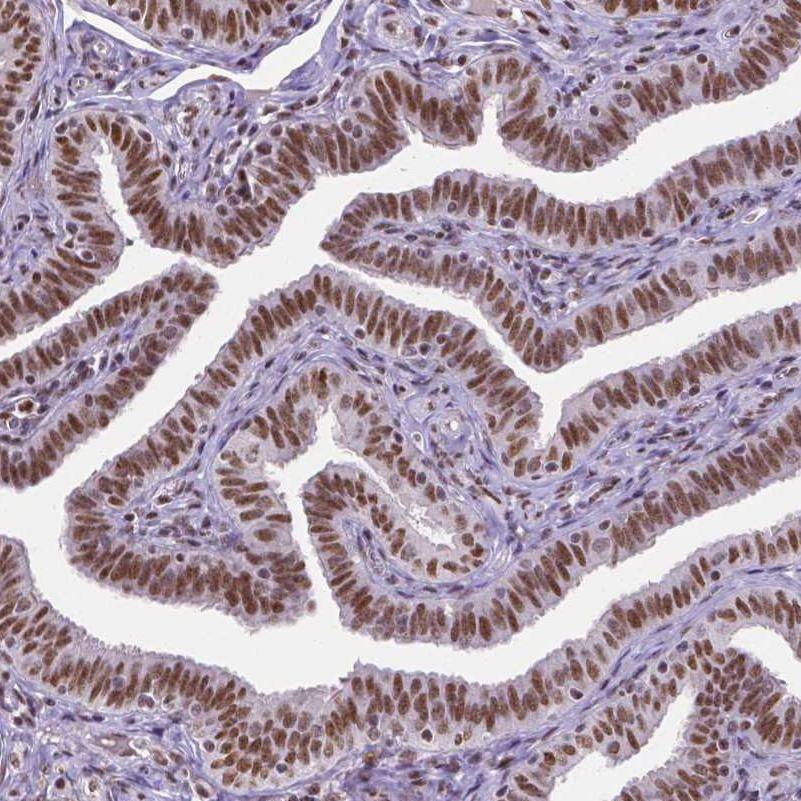
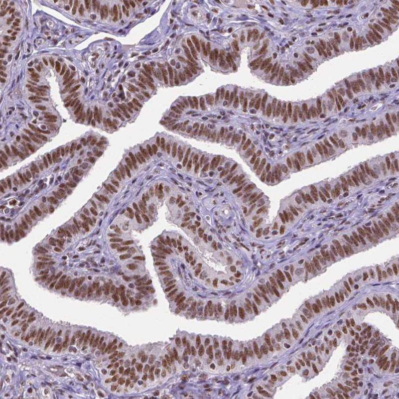
Staining of human fallopian tube shows strong nuclear positivity in glandular cells.
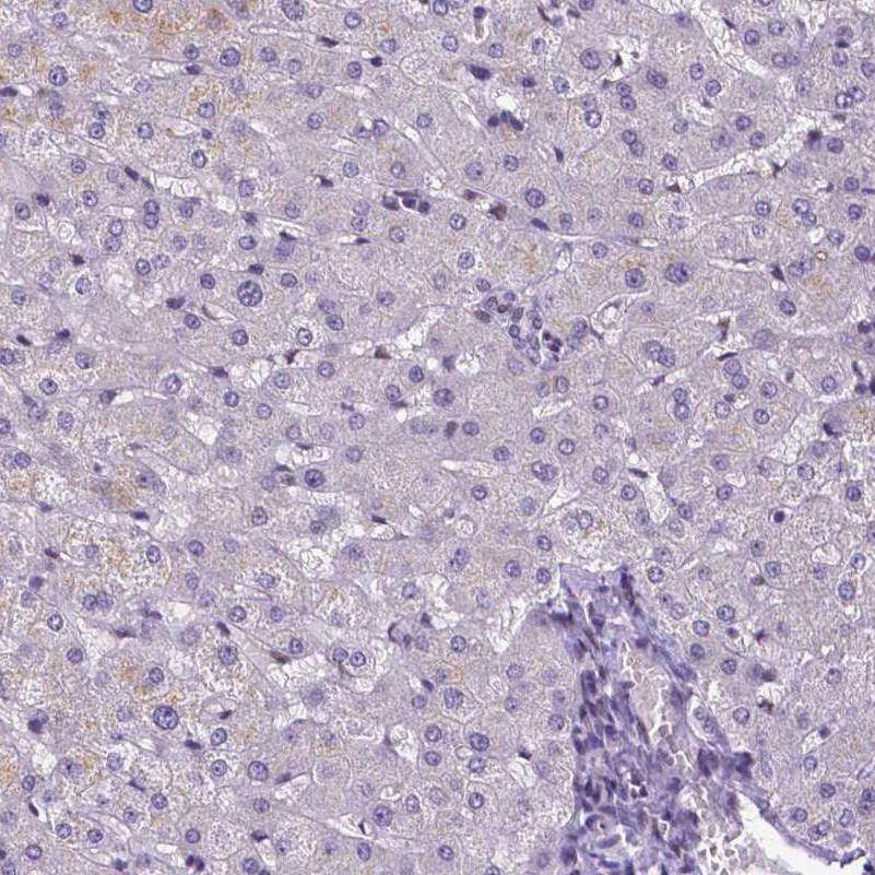
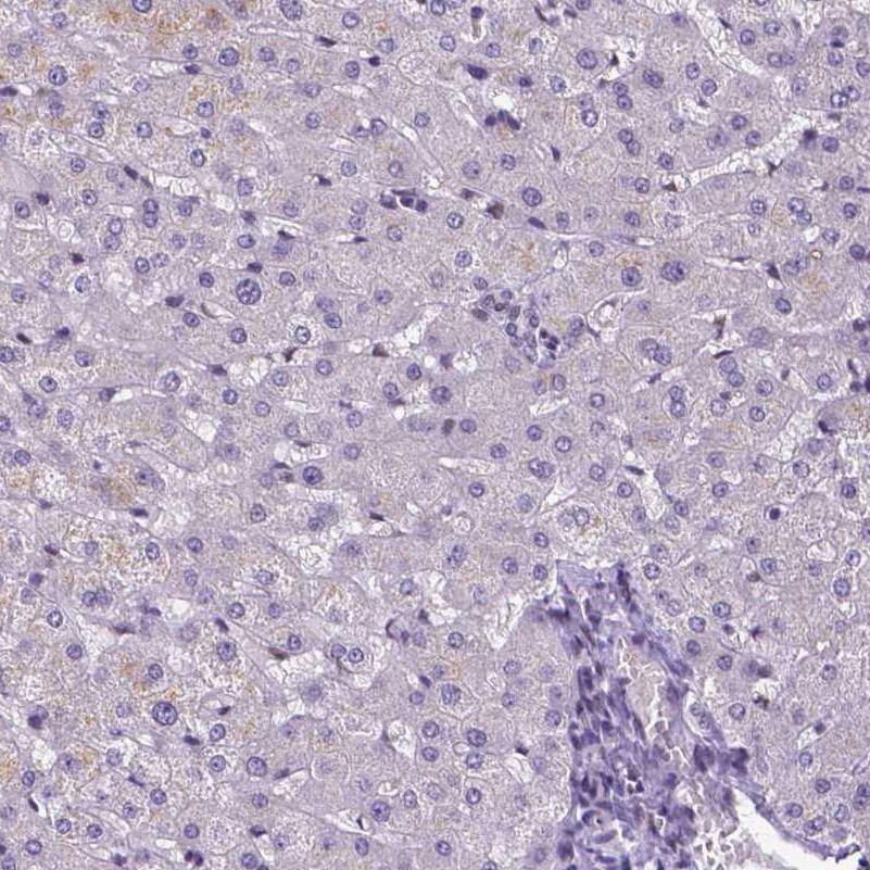
Staining of human liver shows no positivity in hepatocytes as expected.
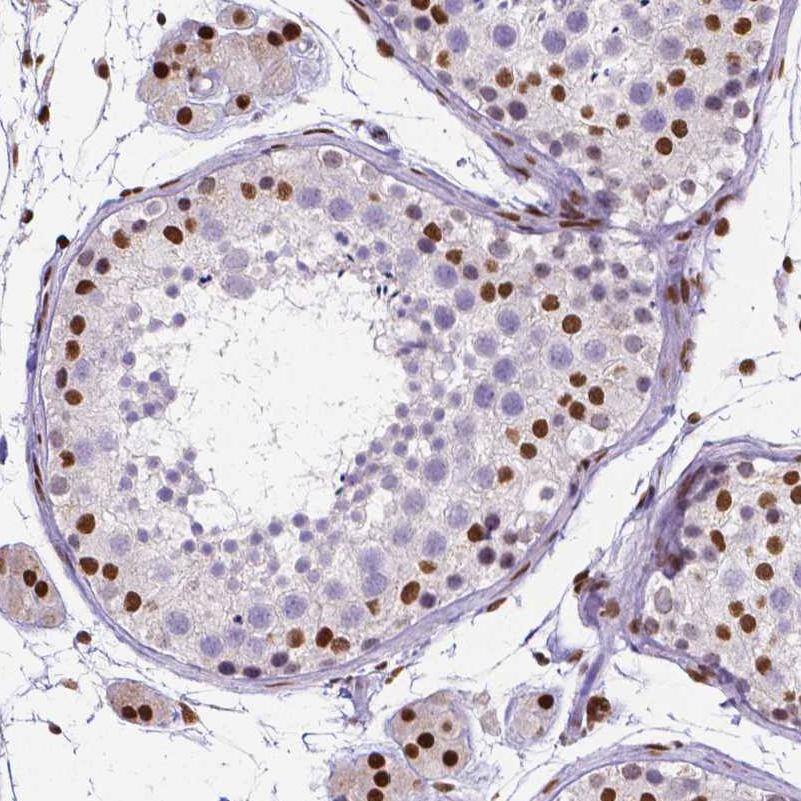
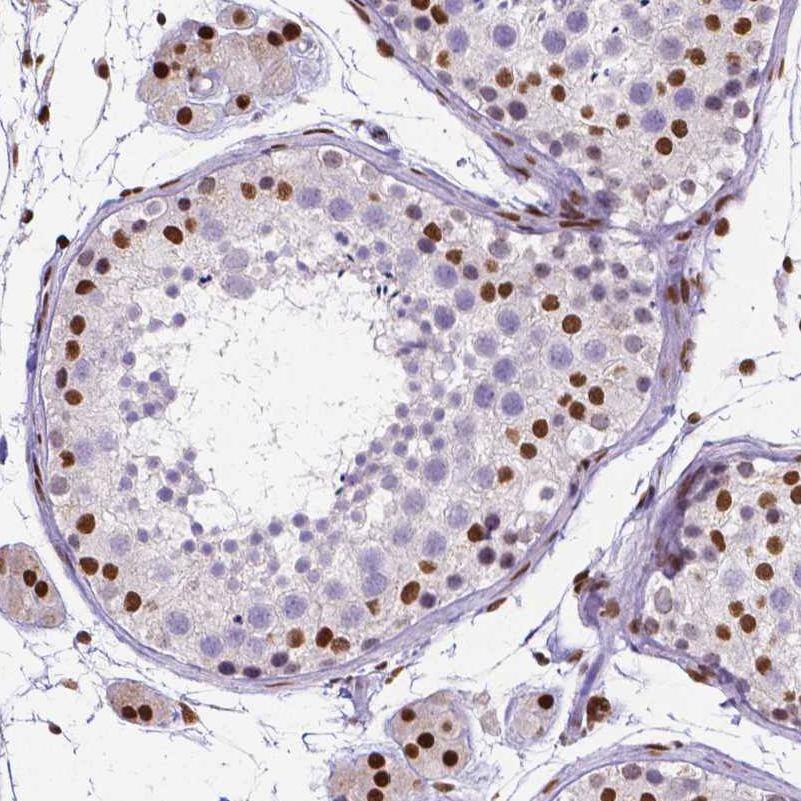
Staining of human testis shows moderate to strong nuclear positivity in a subset of cells in seminiferous ducts and Leydig cells.
Genetic Strategies: Analysis in A-549 cells transfected with control siRNA, target specific siRNA probe #1 and #2, using Anti-ATRX antibody. Remaining relative intensity is presented. Loading control: Anti-GAPDH.

Product Details

Summary
Reactivity HuSpecies Glossary
Applications WB, ICC/IF, IHC
Clone
CL0537
Clonality
Monoclonal
Host
Mouse
Conjugate
Unconjugated
Format
Azide and BSA Free
Concentration
LYOPH
Validated by:
     

Genetic Strategies

   

Order Details

ATRX Antibody (CL0537) - Azide and BSA Free Summary

Description
Novus Biologicals Mouse ATRX Antibody (CL0537) - Azide and BSA Free (NBP2-52938) is a monoclonal antibody validated for use in IHC, WB and ICC/IF. All Novus Biologicals antibodies are covered by our 100% guarantee.
Immunogen
This antibody was generated using a recombinant protein sequence of P46100, with the exact immunogen sequence remaining proprietary.
Isotype
IgG1
Clonality
Monoclonal
Host
Mouse
Gene
ATRX
Purity
Protein A purified
Innovator's Reward
Test in a species/application not listed above to receive a full credit towards a future purchase.

Applications/Dilutions

Dilutions
  • Immunocytochemistry/ Immunofluorescence 2-10 ug/ml
  • Immunohistochemistry-Paraffin 1:200 - 1:500
  • Western Blot 1 ug/ml
Application Notes
For IHC-Paraffin, HIER pH 6 retrieval is recommended. Immunocytochemistry/ Immunofluorescence/IF, Fixation Permeabilization: Use PFA/Triton X-100.

Packaging, Storage & Formulations

Storage
Store at 4C short term. Aliquot and store at -20C long term. Avoid freeze-thaw cycles.
Buffer
Lyophilized from a 0.2 um filtered solution in PBS with Trehalose
Preservative
No Preservative
Concentration
LYOPH
Purity
Protein A purified
Reconstitution Instructions
Centrifuge the vial of lyophilized antibody at 12,000 x g for 20 seconds. Reconstitute by adding sterile, distilled water to achieve a final antibody concentration of 1mg/ml.

Alternate Names for ATRX Antibody (CL0537) - Azide and BSA Free

  • alpha thalassemia/mental retardation syndrome X-linked (RAD54 (S. cerevisiae)homolog)
  • alpha thalassemia/mental retardation syndrome X-linked (RAD54 homolog, S.cerevisiae)
  • alpha thalassemia/mental retardation syndrome X-linked
  • ATP-dependent helicase ATRX
  • ATR2
  • DNA dependent ATPase and helicase
  • EC 3.6.1
  • EC 3.6.4.12
  • helicase 2, X-linked
  • Juberg-Marsidi syndrome
  • MGC2094
  • MRXHF1
  • RAD54 homolog
  • RAD54L
  • SFM1
  • SHS
  • transcriptional regulator ATRX
  • XH2RAD54
  • X-linked helicase II
  • X-linked nuclear protein
  • XNPZNF-HX
  • Zinc finger helicase
  • Znf-HX

Background

ATRX is encoded by this gene contains an ATPase/helicase domain, and thus it belongs to the SWI/SNF family of chromatin remodeling proteins. The mutations of this gene are associated with an X-linked mental retardation (XLMR) syndrome most often accompanied by alpha-thalassemia (ATRX) syndrome. These mutations have been shown to cause diverse changes in the pattern of DNA methylation, which may provide a link between chromatin remodeling, DNA methylation, and gene expression in developmental processes. This protein is found to undergo cell cycle-dependent phosphorylation, which regulates its nuclear matrix and chromatin association, and suggests its involvement in the gene regulation at interphase and chromosomal segregation in mitosis. Multiple alternatively spliced transcript variants encoding distinct isoforms have been reported.

Limitations

This product is for research use only and is not approved for use in humans or in clinical diagnosis. Primary Antibodies are guaranteed for 1 year from date of receipt.

Customers Who Viewed This Item Also Viewed...

NB100-148
Species: Ch, Hu, Mu, Rt
Applications: ChIP, ICC/IF, IHC, IHC-Fr,  IHC-P, IP, In vitro, KD, PLA, WB
NBP2-58116
Species: Hu
Applications: ICC/IF, KD, WB
AF5738
Species: Hu
Applications: ICC, KO, WB
NBP3-13283
Species: Hu, Mu, Rt
Applications: ICC/IF, IHC,  IHC-P, WB
NBP1-83417
Species: Hu
Applications: IHC,  IHC-P
H00001487-M01
Species: Hu
Applications: ELISA, ICC/IF, IHC,  IHC-P, S-ELISA, WB
NBP2-61879
Species: Hu, Mu
Applications: ELISA, Flow, IHC,  IHC-P, WB
NB100-147
Species: Hu, Pm, Mu, Rt
Applications: ICC/IF, IHC,  IHC-P, IP, In vitro, KD, WB
NBP1-89929
Species: Hu
Applications: ICC/IF, IHC,  IHC-P, WB
NBP2-04611
Species: Hu
Applications: WB
DY1707
Species: Hu
Applications: ELISA
MAB2476
Species: Hu
Applications: IHC, WB
NB100-56136
Species: Hu, Mu, Rt
Applications: IB, IHC,  IHC-P, IP, WB
NBP2-13266
Species: Hu
Applications: ICC/IF, IHC,  IHC-P
NBP2-22128
Species: Hu
Applications: ELISA, ICC/IF, IHC,  IHC-P, WB
NB200-103
Species: Hu, Mu, Rt, Xp(-), Ye
Applications: CyTOF-ready, ELISA, Flow-IC, Flow, ICC/IF, IHC, IHC-Fr,  IHC-P, IP, WB
NB100-181
Species: Hu, Mu
Applications: IP, WB
NB100-598
Species: Hu
Applications: CyTOF-ready, Flow, ICC/IF, IP, WB
NBP2-01020
Species: Hu, Mu
Applications: Flow, ICC/IF, IHC,  IHC-P, WB
NBP3-43870
Species: Hu
Applications: WB, ICC/IF, IHC

Publications for ATRX Antibody (NBP3-43870) (0)

There are no publications for ATRX Antibody (NBP3-43870).
By submitting your publication information earn gift cards and discounts for future purchases.

Reviews for ATRX Antibody (NBP3-43870) (0)

There are no reviews for ATRX Antibody (NBP3-43870). By submitting a review you will receive an Amazon e-Gift Card or Novus Product Discount.
  • Review with no image -- $10/€7/£6/$10 CAD/¥70 Yuan/¥1110 Yen
  • Review with an image -- $25/€18/£15/$25 CAD/¥150 Yuan/¥2500 Yen

Product General Protocols

Find general support by application which include: protocols, troubleshooting, illustrated assays, videos and webinars.

Video Protocols

WB Video Protocol
ICC/IF Video Protocol

FAQs for ATRX Antibody (NBP3-43870) (0)

There are no specific FAQs related to this product. Read our general customer & technical service FAQs.

Secondary Antibodies

 

Isotype Controls

Additional ATRX Products

Research Areas for ATRX Antibody (NBP3-43870)

Find related products by research area.

Blogs on ATRX

There are no specific blogs for ATRX, but you can read our latest blog posts.

Customers Who Bought This Also Bought

Contact Information

Product PDFs

Calculators

Concentration Calculator

The concentration calculator allows you to quickly calculate the volume, mass or concentration of your vial. Simply enter your mass, volume, or concentration values for your reagent and the calculator will determine the rest.

=
÷

Review this Product

Be the first to review our ATRX Antibody (CL0537) - Azide and BSA Free and receive a gift card or discount.

Bioinformatics

Gene Symbol ATRX