ATG101 Antibody - BSA Free

Images

 
Western Blot: ATG101 Antibody [NBP1-88877] - Lane 1: Marker [kDa] 250, 130, 95, 72, 55, 36, 28, 17, 10. Lane 2: Human cell line RT-4. Lane 3: Human cell line U-251MG sp
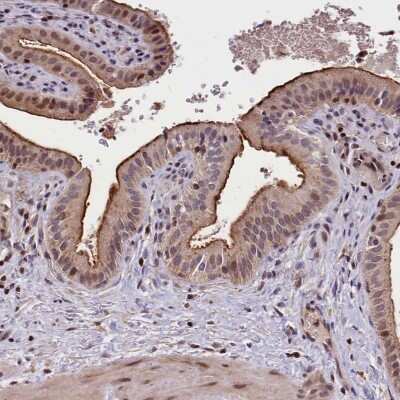
Immunohistochemistry-Paraffin: ATG101 Antibody [NBP1-88877] - Staining of human gallbladder shows cytoplasmic and luminal positivity in glandular cells.

Product Details

Summary
Reactivity Hu, Mu, RtSpecies Glossary
Applications WB, IHC
Clonality
Polyclonal
Host
Rabbit
Conjugate
Unconjugated
Format
BSA Free

Order Details

View Available Formulations
Catalog# & Formulation Size Price

ATG101 Antibody - BSA Free Summary

Description
Novus Biologicals Rabbit ATG101 Antibody - BSA Free (NBP1-88877) is a polyclonal antibody validated for use in IHC and WB. Anti-ATG101 Antibody: Cited in 1 publication. All Novus Biologicals antibodies are covered by our 100% guarantee.
Immunogen
This antibody was developed against Recombinant Protein corresponding to amino acids: VGEKLCEKIINIVEVMNRHEYLPKMPTQSEVDNVFDTGLRDVQPYLYKISFQITDALGTSVTTTMRRLIKDTLAL
Predicted Species
Mouse (97%), Rat (96%). Backed by our 100% Guarantee.
Isotype
IgG
Clonality
Polyclonal
Host
Rabbit
Gene
ATG101
Purity
Immunogen affinity purified
Innovator's Reward
Test in a species/application not listed above to receive a full credit towards a future purchase.

Applications/Dilutions

Dilutions
  • Immunohistochemistry 1:50 - 1:200
  • Immunohistochemistry-Paraffin 1:50 - 1:200
  • Western Blot 0.04-0.4 ug/ml
Application Notes
For IHC-Paraffin, HIER pH 6 retrieval is recommended.
Control Peptide
ATG101 Protein (NBP1-88877PEP)
Publications
Read Publication using
NBP1-88877 in the following applications:

  • WB
    1 publication

Packaging, Storage & Formulations

Storage
Store at 4C short term. Aliquot and store at -20C long term. Avoid freeze-thaw cycles.
Buffer
PBS (pH 7.2) and 40% Glycerol
Preservative
0.02% Sodium Azide
Purity
Immunogen affinity purified

Alternate Names for ATG101 Antibody - BSA Free

  • ATG101
  • Atg13-interacting protein
  • autophagy-related protein 101
  • C12orf44
  • chromosome 12 open reading frame 44
  • FLJ11773

Background

Autophagy factor required for autophagosome formation

Limitations

This product is for research use only and is not approved for use in humans or in clinical diagnosis. Primary Antibodies are guaranteed for 1 year from date of receipt.

Customers Who Viewed This Item Also Viewed...

NBP2-41217
Species: Hu, Mu, Rt
Applications: ELISA, ICC/IF, IHC,  IHC-P, WB
NB100-77279
Species: Hu, Mu
Applications: IP, WB
NBP2-19127
Species: Hu, Mu
Applications: ELISA, Flow, KD, WB
NBP1-33136
Species: Hu, Mu, Rt
Applications: ICC/IF, IHC,  IHC-P, WB
AF887
Species: Hu, Mu, Rt
Applications: CyTOF-ready, IHC, ICFlow, Simple Western, WB
NBP2-36445
Species: Hu, Mu, Rt
Applications: ELISA, ICC/IF, WB
AF2850
Species: Hu, Mu, Rt
Applications: ICC, IHC, Simple Western, WB
NBP1-89865
Species: Hu, Mu, Rt
Applications: ICC/IF, IHC,  IHC-P, WB
NBP2-22127
Species: Hu, Mu, Pm, Rt
Applications: ELISA, Flow, ICC/IF, IHC,  IHC-P, Simple Western, WB
AF2854
Species: Hu, Mu, Rt
Applications: IHC, WB
NBP2-82090
Species: Hu, Mu, Rt
Applications: ELISA, ICC/IF, IHC,  IHC-P, WB
NBP1-71771
Species: Dr, Hu, Mu
Applications: ICC/IF, IHC,  IHC-P, WB
NB600-607
Species: Hu, Rt
Applications: ELISA, IHC,  IHC-P, WB
MAB5929
Species: Hu, Mu, Rt
Applications: WB
AF847
Species: Hu, Mu, Rt
Applications: CyTOF-ready, IHC, ICFlow, KO, Simple Western, WB
NBP1-55202
Species: Hu
Applications: IHC,  IHC-P, WB

Publications for ATG101 Antibody (NBP1-88877)(1)

We have publications tested in 1 confirmed species: Human.

We have publications tested in 1 application: WB.


Filter By Application
WB
(1)
All Applications
Filter By Species
Human
(1)
All Species

Reviews for ATG101 Antibody (NBP1-88877) (0)

There are no reviews for ATG101 Antibody (NBP1-88877). By submitting a review you will receive an Amazon e-Gift Card or Novus Product Discount.
  • Review with no image -- $10/€7/£6/$10 CAD/¥70 Yuan/¥1110 Yen
  • Review with an image -- $25/€18/£15/$25 CAD/¥150 Yuan/¥2500 Yen

Product General Protocols

Find general support by application which include: protocols, troubleshooting, illustrated assays, videos and webinars.

Video Protocols

WB Video Protocol

FAQs for ATG101 Antibody (NBP1-88877) (0)

There are no specific FAQs related to this product. Read our general customer & technical service FAQs.

Secondary Antibodies

 

Isotype Controls

Additional ATG101 Products

Research Areas for ATG101 Antibody (NBP1-88877)

Find related products by research area.

Blogs on ATG101

There are no specific blogs for ATG101, but you can read our latest blog posts.

Customers Who Bought This Also Bought

Contact Information

Product PDFs

Calculators

Concentration Calculator

The concentration calculator allows you to quickly calculate the volume, mass or concentration of your vial. Simply enter your mass, volume, or concentration values for your reagent and the calculator will determine the rest.

=
÷

Review this Product

Be the first to review our ATG101 Antibody - BSA Free and receive a gift card or discount.

Bioinformatics

Gene Symbol ATG101