Apolipoprotein L1 Antibody (CL0171) - Azide and BSA Free

Images

 
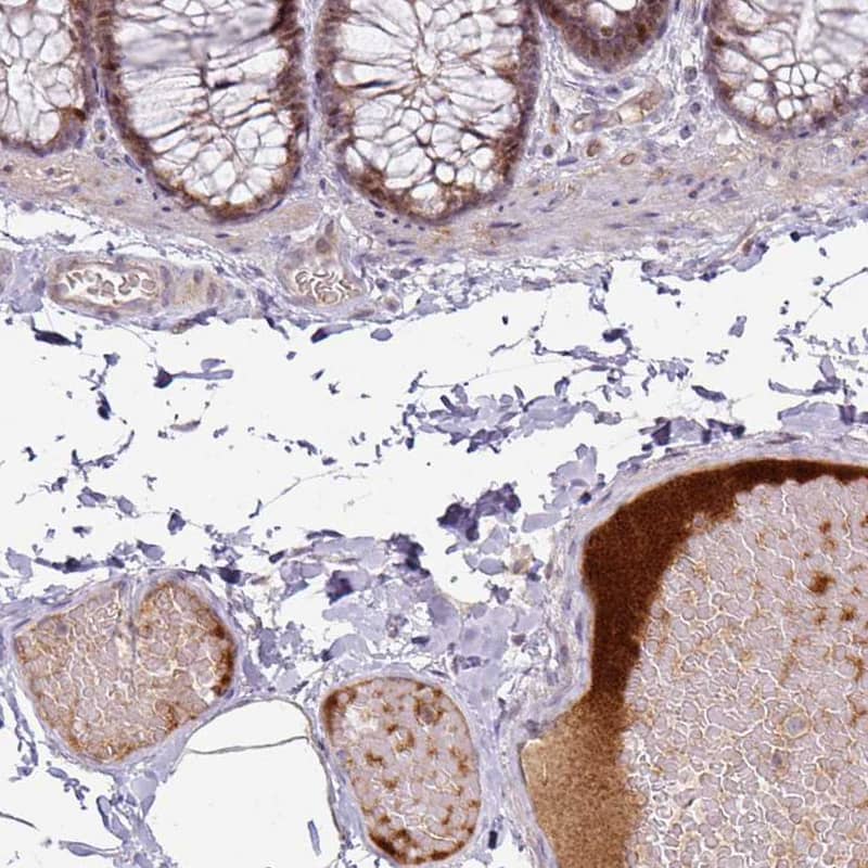
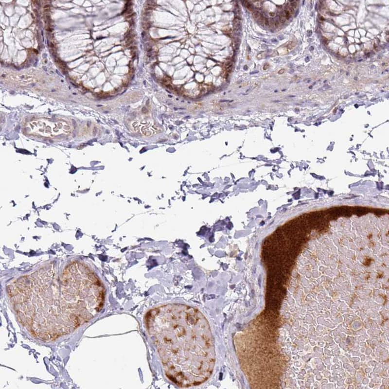
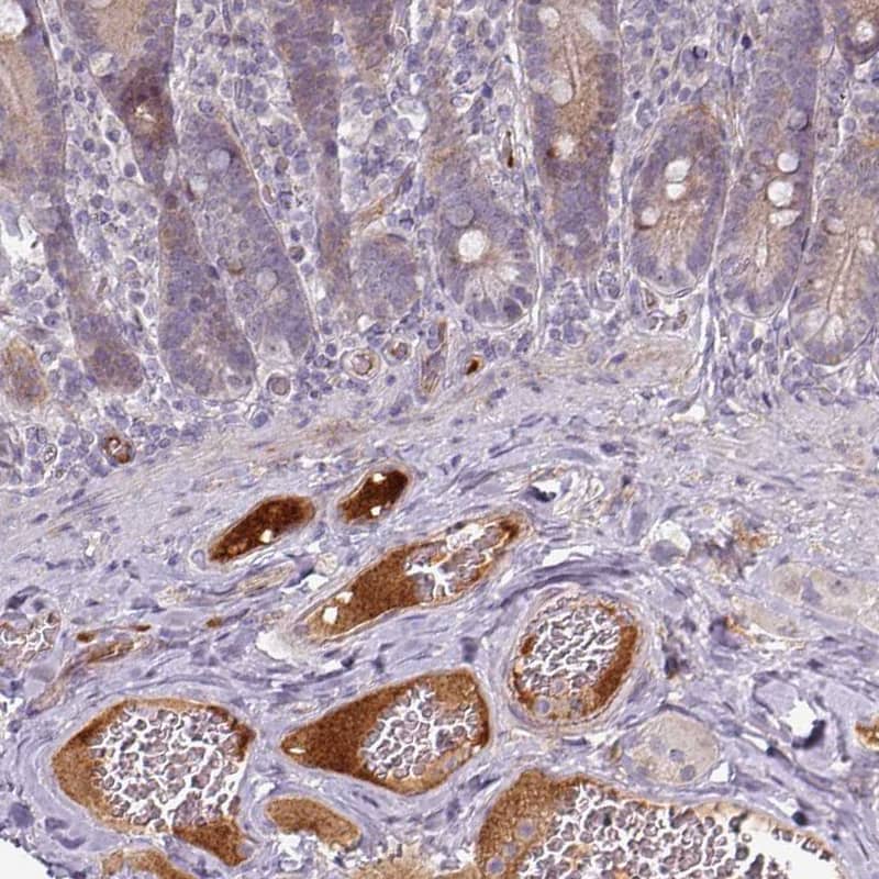
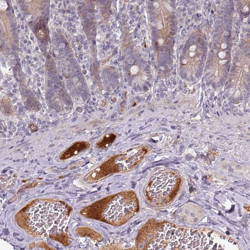
Staining of human duodenum shows strong positivity in plasma in blood vessels.
Staining of human colon shows moderate to strong positivity in plasma in blood vessels.
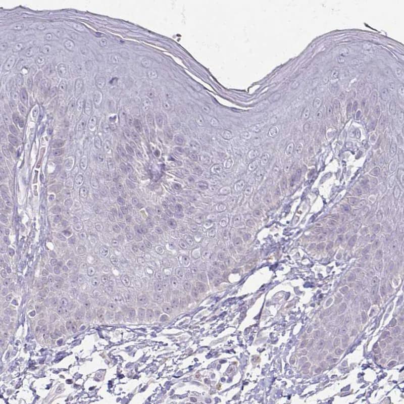
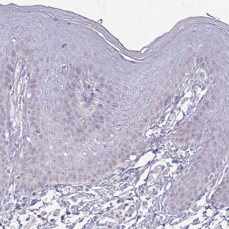
Staining of human skin shows no positivity in squamous epithelial cells as expected.
Analysis in human plasma.
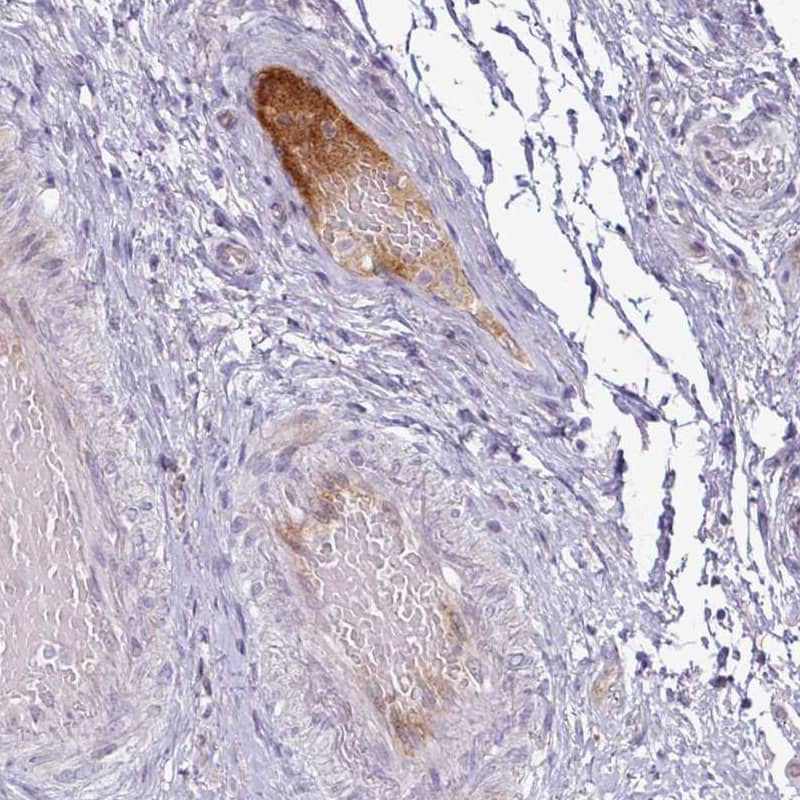
Staining of human urinary bladder shows moderate positivity in plasma in blood vessels.

Product Details

Summary
Reactivity HuSpecies Glossary
Applications WB, IHC
Clone
CL0171
Clonality
Monoclonal
Host
Mouse
Conjugate
Unconjugated
Format
Azide and BSA Free
Concentration
LYOPH

Order Details

Apolipoprotein L1 Antibody (CL0171) - Azide and BSA Free Summary

Description
Novus Biologicals Mouse Apolipoprotein L1 Antibody (CL0171) - Azide and BSA Free (NBP2-14785) is a monoclonal antibody validated for use in IHC and WB. All Novus Biologicals antibodies are covered by our 100% guarantee.
Immunogen
This antibody was generated using a recombinant protein sequence of O14791, with the exact immunogen sequence remaining proprietary.
Isotype
IgG1
Clonality
Monoclonal
Host
Mouse
Gene
APOL1
Purity
Protein A purified
Innovator's Reward
Test in a species/application not listed above to receive a full credit towards a future purchase.

Applications/Dilutions

Dilutions
  • Immunohistochemistry-Paraffin 1:2500 - 1:5000
  • Western Blot 1 ug/ml
Application Notes
For IHC-Paraffin, HIER pH 6 retrieval is recommended.

Packaging, Storage & Formulations

Storage
Store at 4C short term. Aliquot and store at -20C long term. Avoid freeze-thaw cycles.
Buffer
Lyophilized from a 0.2 um filtered solution in PBS with Trehalose
Preservative
No Preservative
Concentration
LYOPH
Purity
Protein A purified
Reconstitution Instructions
Centrifuge the vial of lyophilized antibody at 12,000 x g for 20 seconds. Reconstitute by adding sterile, distilled water to achieve a final antibody concentration of 1mg/ml.

Alternate Names for Apolipoprotein L1 Antibody (CL0171) - Azide and BSA Free

  • APOL
  • APO-L
  • APOL1
  • APO-L1
  • APO-LI
  • APOL-I
  • Apolipoprotein L
  • apolipoprotein L, 1
  • Apolipoprotein L1
  • Apolipoprotein L-I
  • FSGS4

Background

Apolipoproteins are protein components of plasma lipoproteins. The apolipoprotein L gene family encodes six highly homologous proteins designated apoL-I to -VI, which are associated with large high density type lipoproteins (HDL). The human apoL family maps to chromosome 22q12.1- 13.1 within a 127,000-bp region . apoL has been characterized as a pancreas specific, 383-amino acid, 42 kDa protein that contains a 12-amino acid secretory signal peptide. The apoL genes have TATA-less promoters and contain putative sterol regulatory elements, suggesting that transcription of these genes may be coordinated with that of the low density lipoprotein receptor and genes in pathways involving the synthesis of triglycerides and cholesterol. apoL homologs can undergo 10 fold changes in expression during atherosclerotic changes in vascular endothelial cells, which includes the inflammatory reaction of atherosclerotic lesions.

Limitations

This product is for research use only and is not approved for use in humans or in clinical diagnosis. Primary Antibodies are guaranteed for 1 year from date of receipt.

Customers Who Viewed This Item Also Viewed...

H00004627-M03
Species: Bv, Hu
Applications: ELISA, ICC/IF, IHC,  IHC-P, WB
H00003250-B01P-50ug
Species: Hu
Applications: WB
NBP2-52979
Species: Hu, Mu
Applications: Flow, ICC/IF, IHC,  IHC-P, WB
NBP2-01367
Species: Hu, Mu, Rt
Applications: Flow, IHC,  IHC-P, WB
NBP1-00092
Species: Hu, Mu
Applications: Flow, ICC/IF, IHC, IHC-Fr,  IHC-P, PLA, WB
NBP1-51531
Species: Hu
Applications: ELISA, IHC,  IHC-P, WB
DHAPG0
Species: Hu
Applications: ELISA
H00000081-M01
Species: Hu, Pm, Mu, Rt
Applications: ELISA, ICC/IF, IHC,  IHC-P, WB
NBP2-49671
Species: Hu
Applications: ICC/IF, IHC,  IHC-P
NBP2-94035
Species: Hu, Mu, Rt
Applications: ChIP, ELISA, ICC/IF, IHC,  IHC-P, WB
NBP2-57362
Species: Hu
Applications: ICC/IF, WB
NBP1-90127
Species: Hu
Applications: ICC/IF, IHC,  IHC-P, KD, WB
NB300-917
Species: Hu, Mu
Applications: ICC/IF, IHC,  IHC-P
AF860
Species: Hu, Mu
Applications: IP, Simple Western, WB
MAB1455
Species: Hu
Applications: CyTOF-ready, Dual ISH-IHC, ICC, IHC, ICFlow, Simple Western, WB
NB110-53818
Species: Al, Bv, Dr, Fi, Gp, Hu, Mu, Po, Pm, Rt, Xp, Ze
Applications: EM, ELISA, Flow, IB, ICC/IF, IHC,  IHC-P, IP, KD, KO, PLA, RIA, Simple Western, WB

Publications for Apolipoprotein L1 Antibody (NBP3-44434) (0)

There are no publications for Apolipoprotein L1 Antibody (NBP3-44434).
By submitting your publication information earn gift cards and discounts for future purchases.

Reviews for Apolipoprotein L1 Antibody (NBP3-44434) (0)

There are no reviews for Apolipoprotein L1 Antibody (NBP3-44434). By submitting a review you will receive an Amazon e-Gift Card or Novus Product Discount.
  • Review with no image -- $10/€7/£6/$10 CAD/¥70 Yuan/¥1110 Yen
  • Review with an image -- $25/€18/£15/$25 CAD/¥150 Yuan/¥2500 Yen

Product General Protocols

Find general support by application which include: protocols, troubleshooting, illustrated assays, videos and webinars.

Video Protocols

WB Video Protocol

FAQs for Apolipoprotein L1 Antibody (NBP3-44434) (0)

There are no specific FAQs related to this product. Read our general customer & technical service FAQs.

Secondary Antibodies

 

Isotype Controls

Additional Apolipoprotein L1 Products

Research Areas for Apolipoprotein L1 Antibody (NBP3-44434)

Find related products by research area.

Blogs on Apolipoprotein L1

There are no specific blogs for Apolipoprotein L1, but you can read our latest blog posts.

Customers Who Bought This Also Bought

Contact Information

Product PDFs

Calculators

Concentration Calculator

The concentration calculator allows you to quickly calculate the volume, mass or concentration of your vial. Simply enter your mass, volume, or concentration values for your reagent and the calculator will determine the rest.

=
÷

Review this Product

Be the first to review our Apolipoprotein L1 Antibody (CL0171) - Azide and BSA Free and receive a gift card or discount.

Bioinformatics

Gene Symbol APOL1