Apolipoprotein D Antibody (APOD/3415) - Azide and BSA Free

Images

 
Protein Array: Apolipoprotein D Antibody (APOD/3415) - Azide and BSA Free [NBP3-14090] - Analysis of Protein Array containing more than 19,000 full-length human proteins using Apolipoprotein D Antibody (APOD/3415).
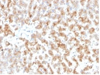
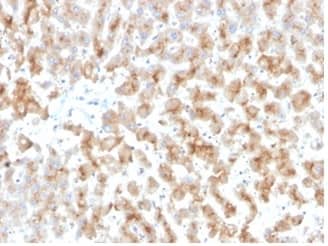
Formalin-fixed, paraffin-embedded human liver stained with Apolipoprotein D Antibody (APOD/3415) - Azide and BSA Free.

Product Details

Summary
Reactivity HuSpecies Glossary
Applications IHC, MA
Clone
APOD/3415
Clonality
Monoclonal
Host
Mouse
Conjugate
Unconjugated
Format
Azide and BSA Free
Concentration
1 mg/ml

Order Details

Apolipoprotein D Antibody (APOD/3415) - Azide and BSA Free Summary

Description
1.0 mg/ml of antibody purified from Bioreactor Concentrate by Protein A/G. Prepared in 10mM PBS WITHOUT BSA & azide. Also available at 200 ug/ml WITH BSA & azide (NBP3-13947).

Antibody with azide - store at 2 to 8C. Antibody without azide - store at -20 to -80 C.
Immunogen
Human recombinant Apolipoprotein D protein fragment (around aa21-119) (exact sequence is proprietary) (Uniprot: P05090)
Localization
Secreted
Isotype
IgG2b Kappa
Clonality
Monoclonal
Host
Mouse
Gene
APOD
Purity
Protein A or G purified
Innovator's Reward
Test in a species/application not listed above to receive a full credit towards a future purchase.

Applications/Dilutions

Dilutions
  • Immunohistochemistry-Paraffin 1-2 ug/ml
  • Protein Array
Application Notes
Immunohistochemistry (Formalin-fixed): 1-2ug/ml for 30 minutes at RT. Staining of formalin-fixed tissues requires heating tissue sections in 10mM Tris with 1mM EDTA, pH 9.0, for 45 min at 95C followed by cooling at RT for 20 minutes
Theoretical MW
30 kDa.
Disclaimer note: The observed molecular weight of the protein may vary from the listed predicted molecular weight due to post translational modifications, post translation cleavages, relative charges, and other experimental factors.

Packaging, Storage & Formulations

Storage
Store at -20 to -80C. Avoid freeze-thaw cycles.
Buffer
10mM PBS
Preservative
No Preservative
Concentration
1 mg/ml
Purity
Protein A or G purified

Alternate Names for Apolipoprotein D Antibody (APOD/3415) - Azide and BSA Free

  • ApoD
  • apo-D
  • apolipoprotein D

Background

The Apolipoprotein D gene encodes a component of high density lipoprotein that has no marked similarity to other apolipoproteinsequences. It has a high degree of homology to plasma retinol-binding protein and other members of the alpha 2microglobulin protein superfamily

Limitations

This product is for research use only and is not approved for use in humans or in clinical diagnosis. Primary Antibodies are guaranteed for 1 year from date of receipt.

Customers Who Viewed This Item Also Viewed...

NBP1-83386
Species: Hu
Applications: IHC,  IHC-P, PLA, WB
H00010380-M01
Species: Hu
Applications: ELISA, ICC/IF, IHC,  IHC-P, S-ELISA, WB
NB100-56603
Species: Ca, Hu, Mu, Pm, Rt
Applications: IHC,  IHC-P, WB
AF5415
Species: Hu
Applications: ICC, IHC, Simple Western, WB
NB120-22711
Species: Hu, Mu
Applications: ELISA, Flow, ICC/IF, IHC, IHC-Fr,  IHC-P
NB300-560
Species: Av, Bv, Ma, Hu, Mu, Pm, Rt
Applications: IF, IHC, IHC-Fr,  IHC-P, WB
NB110-60531
Species: Hu, Mu, Rt(-)
Applications: CyTOF-ready, ELISA, Flow-IC, Flow, ICC/IF, IHC,  IHC-P, IP, WB
DKK300
Species: Hu
Applications: ELISA
NBP2-67309
Species: Hu, Rt
Applications: Flow, ICC/IF, IHC,  IHC-P, IP, WB
NBP2-38530
Species: Hu
Applications: ICC/IF, IHC,  IHC-P, WB
NBP1-89146
Species: Hu
Applications: ICC/IF, IHC,  IHC-P
AF262
Species: Hu
Applications: ICC, IHC, Neut, WB
MAB1455
Species: Hu
Applications: CyTOF-ready, Dual ISH-IHC, ICC, IHC, ICFlow, Simple Western, WB
NBP2-52979
Species: Hu, Mu
Applications: Flow, ICC/IF, IHC,  IHC-P, WB
NBP2-34594
Species: Hu, Pm
Applications: CyTOF-ready, Flow, ICC/IF, IHC,  IHC-P
AF4478
Species: Hu
Applications: IHC, WB
NBP3-41306
Species: Hu, Mu, Rt
Applications: WB
NBP2-47940
Species: Hu
Applications: CyTOF-ready, Flow, ICC/IF, IF, IHC,  IHC-P, Simple Western, WB
NBP2-47602
Species: Hu
Applications: ICC/IF, IHC,  IHC-P
NBP3-14090
Species: Hu
Applications: IHC, MA

Publications for Apolipoprotein D Antibody (NBP3-14090) (0)

There are no publications for Apolipoprotein D Antibody (NBP3-14090).
By submitting your publication information earn gift cards and discounts for future purchases.

Reviews for Apolipoprotein D Antibody (NBP3-14090) (0)

There are no reviews for Apolipoprotein D Antibody (NBP3-14090). By submitting a review you will receive an Amazon e-Gift Card or Novus Product Discount.
  • Review with no image -- $10/€7/£6/$10 CAD/¥70 Yuan/¥1110 Yen
  • Review with an image -- $25/€18/£15/$25 CAD/¥150 Yuan/¥2500 Yen

Product General Protocols

Find general support by application which include: protocols, troubleshooting, illustrated assays, videos and webinars.

FAQs for Apolipoprotein D Antibody (NBP3-14090) (0)

There are no specific FAQs related to this product. Read our general customer & technical service FAQs.

Secondary Antibodies

 

Isotype Controls

Additional Apolipoprotein D Products

Research Areas for Apolipoprotein D Antibody (NBP3-14090)

Find related products by research area.

Blogs on Apolipoprotein D

There are no specific blogs for Apolipoprotein D, but you can read our latest blog posts.

Customers Who Bought This Also Bought

Contact Information

Product PDFs

Calculators

Concentration Calculator

The concentration calculator allows you to quickly calculate the volume, mass or concentration of your vial. Simply enter your mass, volume, or concentration values for your reagent and the calculator will determine the rest.

=
÷

Review this Product

Be the first to review our Apolipoprotein D Antibody (APOD/3415) - Azide and BSA Free and receive a gift card or discount.

Bioinformatics

Gene Symbol APOD