Annexin A1 Antibody (CL0199) - Azide and BSA Free

Images

 
Staining of human bone marrow shows strong nuclear positivity in hematopoietic cells.
Staining of A549 cells using the Anti-Annexin A1 monoclonal antibody) .
Orthogonal Strategies: Analysis in human placenta and testis tissues using NBP3-43928 antibody. Corresponding Annexin A1 RNA-seq data are presented for the same tissues.
Staining of human fallopian tube shows strong positivity in glandular cells.
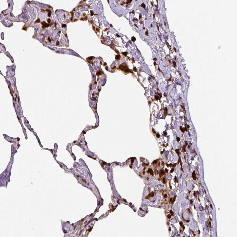
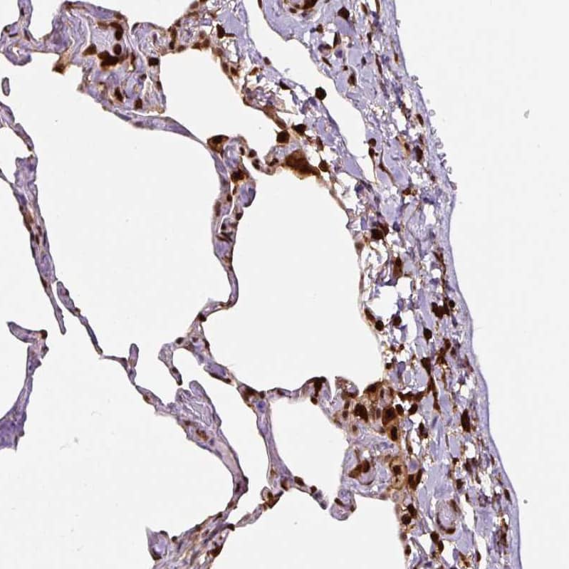
Staining of human lung shows strong nuclear positivity in a subset of pneumocytes and lymphoid cells.
Staining of human placenta shows strong immunoreactivity in the trophoblastic cells.
Genetic Strategies: Analysis in U-251MG cells transfected with control siRNA, target specific siRNA probe #1 and #2, using Anti-Annexin A1 antibody. Remaining relative intensity is presented. Loading control: ...read more
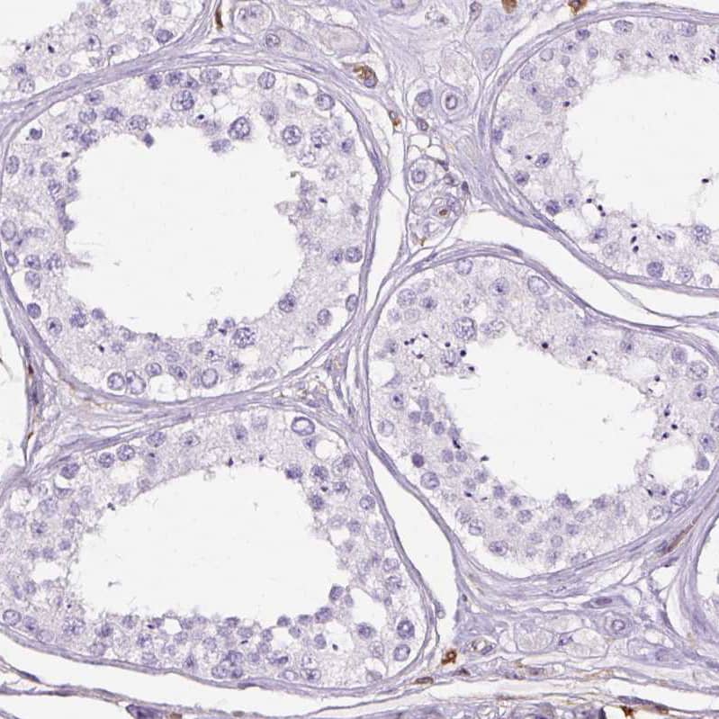
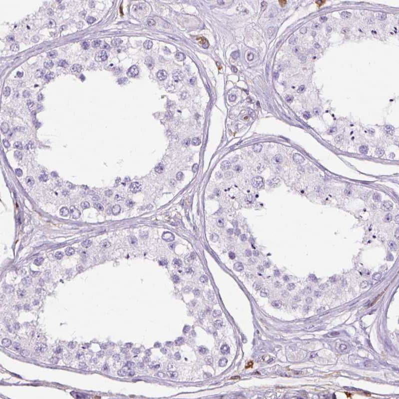
Staining of human testis shows no positivity in cells in seminiferous ducts as expected.

Product Details

Summary
Reactivity HuSpecies Glossary
Applications WB, ICC/IF, IHC
Clone
CL0199
Clonality
Monoclonal
Host
Mouse
Conjugate
Unconjugated
Format
Azide and BSA Free
Concentration
LYOPH

Order Details

Annexin A1 Antibody (CL0199) - Azide and BSA Free Summary

Description
Novus Biologicals Mouse Annexin A1 Antibody (CL0199) - Azide and BSA Free (NBP2-52875) is a monoclonal antibody validated for use in IHC, WB and ICC/IF. All Novus Biologicals antibodies are covered by our 100% guarantee.
Immunogen
This antibody was generated using a recombinant protein sequence of P04083, with the exact immunogen sequence remaining proprietary.
Isotype
IgG1
Clonality
Monoclonal
Host
Mouse
Gene
ANXA1
Purity
Protein A purified
Innovator's Reward
Test in a species/application not listed above to receive a full credit towards a future purchase.

Applications/Dilutions

Dilutions
  • Immunocytochemistry/ Immunofluorescence 2-10 ug/ml
  • Immunohistochemistry-Paraffin 1:500 - 1:1000
  • Western Blot 1 ug/ml
Application Notes
For IHC-Paraffin, HIER pH 6 retrieval is recommended. For Immunocytochemistry/ Immunofluorescence/IF, PFA/Triton X-100 is recommended for fixation/permeabilization.

Packaging, Storage & Formulations

Storage
Store at 4C short term. Aliquot and store at -20C long term. Avoid freeze-thaw cycles.
Buffer
Lyophilized from a 0.2 um filtered solution in PBS with Trehalose
Preservative
No Preservative
Concentration
LYOPH
Purity
Protein A purified
Reconstitution Instructions
Centrifuge the vial of lyophilized antibody at 12,000 x g for 20 seconds. Reconstitute by adding sterile, distilled water to achieve a final antibody concentration of 1mg/ml.

Alternate Names for Annexin A1 Antibody (CL0199) - Azide and BSA Free

  • Annexin A1
  • annexin I (lipocortin I)
  • Annexin I
  • Annexin-1
  • ANX1
  • ANXA1
  • Calpactin II
  • calpactin-2
  • chromobindin-9
  • Lipocortin I
  • LPC1
  • LPC1annexin-1
  • p35
  • Phospholipase A2 inhibitory protein

Background

Annexin I, also known as Annexin A1, belongs to the annexin family of calcium dependent phospholipid binding proteins.

Limitations

This product is for research use only and is not approved for use in humans or in clinical diagnosis. Primary Antibodies are guaranteed for 1 year from date of receipt.

Customers Who Viewed This Item Also Viewed...

NBP2-37602
Species: Hu, Pm, Rt
Applications: ELISA, Flow, ICC/IF, IHC,  IHC-P, WB
AF1230
Species: Hu, Mu, Rt
Applications: IHC, KO, WB
AF1916
Species: Hu
Applications: ICC, IHC, WB
NBP3-13279
Species: Hu, Mu, Rt
Applications: ICC/IF, IHC,  IHC-P, WB
409-ML
Species: Mu
Applications: BA
NBP2-79854
Species: Hu
Applications: CyTOF-ready, Flow, ICC/IF, IHC,  IHC-P, PA, WB
NBP2-21577
Species: Hu, Mu, Rt
Applications: ICC/IF, IHC, IHC-Fr,  IHC-P, IP, KD, WB
NBP1-84022
Species: Hu
Applications: ICC/IF, IHC,  IHC-P, WB
NBP1-81796
Species: Hu, Mu, Rt
Applications: ICC/IF, IHC,  IHC-P, WB
NBP1-32956
Species: Hu
Applications: ICC/IF, IHC,  IHC-P, IP, WB
NBP2-38780
Species: Hu
Applications: ICC/IF, IHC,  IHC-P, WB
H00000302-M02
Species: Hu, Mu
Applications: ELISA, Flow, ICC/IF, IP, WB
NBP2-34031
Species: Hu
Applications: ICC/IF, IHC,  IHC-P, WB
1290-IL
Species: Hu
Applications: BA
DY1857
Species: Mu
Applications: ELISA
NBP3-33028
Species: Hu, Mu, Rt
Applications: ICC/IF, IHC,  IHC-P, WB
485-MI
Species: Mu
Applications: BA
MAB5018
Species: Hu
Applications: IP, WB
NBP3-43928
Species: Hu
Applications: WB, ICC/IF, IHC

Publications for Annexin A1 Antibody (NBP3-43928) (0)

There are no publications for Annexin A1 Antibody (NBP3-43928).
By submitting your publication information earn gift cards and discounts for future purchases.

Reviews for Annexin A1 Antibody (NBP3-43928) (0)

There are no reviews for Annexin A1 Antibody (NBP3-43928). By submitting a review you will receive an Amazon e-Gift Card or Novus Product Discount.
  • Review with no image -- $10/€7/£6/$10 CAD/¥70 Yuan/¥1110 Yen
  • Review with an image -- $25/€18/£15/$25 CAD/¥150 Yuan/¥2500 Yen

Product General Protocols

Find general support by application which include: protocols, troubleshooting, illustrated assays, videos and webinars.

Video Protocols

WB Video Protocol
ICC/IF Video Protocol

FAQs for Annexin A1 Antibody (NBP3-43928) (0)

There are no specific FAQs related to this product. Read our general customer & technical service FAQs.

Secondary Antibodies

 

Isotype Controls

Additional Annexin A1 Products

Research Areas for Annexin A1 Antibody (NBP3-43928)

Find related products by research area.

Blogs on Annexin A1

There are no specific blogs for Annexin A1, but you can read our latest blog posts.

Customers Who Bought This Also Bought

Contact Information

Product PDFs

Calculators

Concentration Calculator

The concentration calculator allows you to quickly calculate the volume, mass or concentration of your vial. Simply enter your mass, volume, or concentration values for your reagent and the calculator will determine the rest.

=
÷

Review this Product

Be the first to review our Annexin A1 Antibody (CL0199) - Azide and BSA Free and receive a gift card or discount.

Bioinformatics

Gene Symbol ANXA1