ANKRD1 Antibody

Images

 
Orthogonal Strategies: Immunohistochemistry-Paraffin: ANKRD1 Antibody [NBP2-14292] - Staining in human heart muscle and testis tissues . Corresponding ANKRD1 RNA-seq data are presented for the same tissues.
Immunocytochemistry/ Immunofluorescence: ANKRD1 Antibody [NBP2-14292] - Staining of human cell line U-2 OS shows localization to nucleoli fibrillar center. Antibody staining is shown in green.
Immunohistochemistry-Paraffin: ANKRD1 Antibody [NBP2-14292] - Staining of human heart shows moderate cytoplasmic positivity in cardiomyocytes.
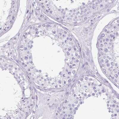
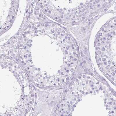
Immunohistochemistry-Paraffin: ANKRD1 Antibody [NBP2-14292] - Staining of human testis shows no positivity in cells in seminiferous ducts as expected.

Product Details

Summary
Product Discontinued
View other related ANKRD1 Primary Antibodies
Validated by:
       

Orthogonal Strategies

 

Order Details


    • Catalog Number
      NBP2-14292
    • Availability
      Product Discontinued

    Can't find what you are looking for? Use our Antibody Concierge Service & we will help you locate your antibody!

    Or feel free to contact us for alternative products.

ANKRD1 Antibody Summary

Immunogen
This antibody was developed against a recombinant protein corresponding to the amino acids: RYKMIRLLIMYGADLNIKNCAGKTPMDLVLHWQNGTKAIFDSLRENSYKTSRIATF
Isotype
IgG
Clonality
Polyclonal
Host
Rabbit
Gene
ANKRD1
Purity
Immunogen affinity purified
Innovator's Reward
Test in a species/application not listed above to receive a full credit towards a future purchase.

Applications/Dilutions

Dilutions
  • Immunocytochemistry/ Immunofluorescence 0.25-2 ug/ml
  • Immunohistochemistry 1:20 - 1:50
  • Immunohistochemistry-Paraffin 1:20 - 1:50
Application Notes
For IHC-Paraffin, HIER pH 6 retrieval method is recommended. ICC/IF Fixation Permeabilization: Use PFA/Triton X-100.

Reactivity Notes

Immunogen displays the following percentage of sequence identity for non-tested species: Mouse (84%), Rat (88%)

Packaging, Storage & Formulations

Storage
Store at 4C short term. Aliquot and store at -20C long term. Avoid freeze-thaw cycles.
Buffer
PBS (pH 7.2) and 40% Glycerol
Preservative
0.02% Sodium Azide
Purity
Immunogen affinity purified

Alternate Names for ANKRD1 Antibody

  • ALRP
  • ankyrin repeat domain 1 (cardiac muscle)
  • ankyrin repeat domain-containing protein 1
  • bA320F15.2
  • C193
  • C-193
  • Cardiac ankyrin repeat protein
  • CARPCytokine-inducible nuclear protein
  • CVARP
  • Cytokine-inducible gene C-193 protein
  • HA1A2
  • liver ankyrin repeat domain 1
  • MCARP

Background

ANKRD1 is encoded by this gene is localized to the nucleus of endothelial cells and is induced by IL-1 and TNF-alpha stimulation. Studies in rat cardiomyocytes suggest that this gene functions as a transcription factor. Interactions between this protein and the sarcomeric proteins myopalladin and titin suggest that it may also be involved in the myofibrillar stretch-sensor system. [provided by RefSeq]

Limitations

This product is for research use only and is not approved for use in humans or in clinical diagnosis. Primary Antibodies are guaranteed for 1 year from date of receipt.

Customers Who Viewed This Item Also Viewed...

AF3398
Species: Hu, Mu, Rt
Applications: ICC, KO, Simple Western, WB
NB100-1533
Species: Hu, Mu, Po, Rt, Sh
Applications: Flow, ICC/IF, IHC,  IHC-P, PEP-ELISA, WB
AF1067
Species: Hu, Mu, Rt
Applications: ELISA, IHC, Neut, WB
AF1067
Species: Hu, Mu, Rt
Applications: ELISA, IHC, Neut, WB
NBP1-90927
Species: Hu
Applications: IHC,  IHC-P, WB
NBP2-14510
Species: Hu
Applications: IHC,  IHC-P
NB120-11427
Species: Fe, Hu, Mu, Rt
Applications: ELISA, ICC/IF, IHC-FrFl, IHC, IHC-Fr,  IHC-P, IP, WB
664-LI
Species: Hu
Applications: BA
NB100-1519
Species: Hu, Mu, Rt
Applications: Flow, ICC/IF, IHC-FrFl, PEP-ELISA, WB
MAB1417
Species: Bv, Hu, Mu
Applications: ICC, IHC
AF1445
Species: Mu, Rt
Applications: ELISA(Cap), ELISA(Det), ELISA(Sta), IHC, Neut, Simple Western, WB
NBP1-91670
Species: Hu
Applications: ICC/IF, IHC,  IHC-P, WB
NBP1-86616
Species: Hu
Applications: IHC,  IHC-P, WB
NBP1-88071
Species: Hu, Rt
Applications: ICC/IF, IHC,  IHC-P
NBP2-58917
Species: Hu
Applications: IHC,  IHC-P, WB
NB100-524
Species: Hu, Mu
Applications: Flow-IC, Flow, ICC/IF, IHC, IHC-Fr,  IHC-P, IP, WB
7268-CT
Species: Hu
Applications: BA
NBP2-79843
Species: Hu
Applications: CyTOF-ready, ELISA, Flow, ICC/IF, IHC,  IHC-P, PA, WB
291-G1
Species: Hu
Applications: BA
NBP2-61118
Species: Hu, Mu
Applications: Flow, ICC/IF, IHC,  IHC-P, Simple Western, WB

Publications for ANKRD1 Antibody (NBP2-14292) (0)

There are no publications for ANKRD1 Antibody (NBP2-14292).
By submitting your publication information earn gift cards and discounts for future purchases.

Reviews for ANKRD1 Antibody (NBP2-14292) (0)

There are no reviews for ANKRD1 Antibody (NBP2-14292). By submitting a review you will receive an Amazon e-Gift Card or Novus Product Discount.
  • Review with no image -- $10/€7/£6/$10 CAD/¥70 Yuan/¥1110 Yen
  • Review with an image -- $25/€18/£15/$25 CAD/¥150 Yuan/¥2500 Yen

Product General Protocols

Find general support by application which include: protocols, troubleshooting, illustrated assays, videos and webinars.

Video Protocols

ICC/IF Video Protocol

FAQs for ANKRD1 Antibody (NBP2-14292) (0)

There are no specific FAQs related to this product. Read our general customer & technical service FAQs.

Secondary Antibodies

 

Isotype Controls

Additional ANKRD1 Products

Research Areas for ANKRD1 Antibody (NBP2-14292)

Find related products by research area.

Blogs on ANKRD1

There are no specific blogs for ANKRD1, but you can read our latest blog posts.

Contact Information

Product PDFs

Calculators

Concentration Calculator

The concentration calculator allows you to quickly calculate the volume, mass or concentration of your vial. Simply enter your mass, volume, or concentration values for your reagent and the calculator will determine the rest.

=
÷

Review this Product

Be the first to review our ANKRD1 Antibody and receive a gift card or discount.

Bioinformatics

Gene Symbol ANKRD1
Entrez
Uniprot