ANKK1 Antibody

Images

 
Western Blot: ANKK1 Antibody [NBP1-28459] - Analysis of ANKK1 in Human Substantia Nigra lysate (35ug protein in RIPA buffer) using this antibody at 1ug/ml. Primary incubation was 1 hour. Detected by chemiluminescence.
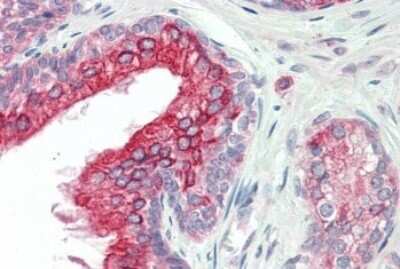
Immunohistochemistry-Paraffin: ANKK1 Antibody [NBP1-28459] - (5ug/ml) staining of paraffin embedded Human Prostate. Steamed antigen retrieval with citrate buffer pH 6, AP-staining.

Product Details

Summary
Reactivity HuSpecies Glossary
Applications WB, ELISA, IHC
Clonality
Polyclonal
Host
Goat
Conjugate
Unconjugated
Concentration
0.5 mg/ml

Order Details

ANKK1 Antibody Summary

Description
Novus Biologicals Goat ANKK1 Antibody (NBP1-28459) is a polyclonal antibody validated for use in IHC, WB and ELISA. Anti-ANKK1 Antibody: Cited in 1 publication. All Novus Biologicals antibodies are covered by our 100% guarantee.
Immunogen
Peptide with sequence C-SRQADPNLHEAEGKT corresponding to internal region according to NP_848605.1.
Epitope
C terminus
Isotype
IgG
Clonality
Polyclonal
Host
Goat
Gene
ANKK1
Purity
Immunogen affinity purified
Innovator's Reward
Test in a species/application not listed above to receive a full credit towards a future purchase.

Applications/Dilutions

Dilutions
  • Immunohistochemistry
  • Immunohistochemistry-Paraffin 5-10 ug/ml
  • Peptide ELISA Detection limit 1:128000
  • Western Blot 0.1-0.3 ug/ml
Application Notes
Western blot: Approx. 85kDa band observed in Human Brain (Substantia nigra and Amygdala) lysates (calculated MW of 84.6 kDa according to NP_848605.1). Primary incubation was 1 hour. An additional band of unknown identity was also consistently observed at 35 kDa. This band was successfully blocked by incubation with the immunising peptide.
IHC: Paraffin embedded Human Prostate
Publications
Read Publication using NBP1-28459.

Packaging, Storage & Formulations

Storage
Store at -20C. Avoid freeze-thaw cycles.
Buffer
Tris saline (20 mM Tris pH 7.3, 150 mM NaCl), 0.5% BSA
Preservative
0.02% Sodium Azide
Concentration
0.5 mg/ml
Purity
Immunogen affinity purified

Alternate Names for ANKK1 Antibody

  • ankyrin repeat and kinase domain containing 1
  • ankyrin repeat and protein kinase domain-containing protein 1
  • EC 2.7.11
  • EC 2.7.11.1
  • PKK2
  • Protein kinase PKK2
  • SGK288
  • Sugen kinase 288
  • X-kinasesgK288

Background

The protein encoded by this gene belongs to the Ser/Thr protein kinase family, and protein kinase superfamily involved in signal transduction pathways. This gene is closely linked to DRD2 gene (GeneID:1813) on chr 11, and a well studied restriction fragment length polymorphism (RFLP) designated TaqIA, was originally associated with the DRD2 gene, however, later was determined to be located in exon 8 of ANKK1 gene (PMIDs: 18621654, 15146457), where it causes a nonconservative amino acid substitution. It is not clear if this gene plays any role in neuropsychiatric disorders previously associated with Taq1A RFLP.

Limitations

This product is for research use only and is not approved for use in humans or in clinical diagnosis. Primary Antibodies are guaranteed for 1 year from date of receipt.

Customers Who Viewed This Item Also Viewed...

NBP3-25443
Species: Hu, Mu, Rt
Applications: Flow, Func, ICC/IF, IHC,  IHC-P, WB
NBP2-45570
Species: Hu, Mu, Rt
Applications: Flow, IHC,  IHC-P, WB
AF6457
Species: Hu
Applications: WB
NBP1-89342
Species: Hu, Mu
Applications: ICC/IF, IHC,  IHC-P, IP, WB
NBP2-45946
Species: Ca, Hu, Pm, Mu, Rt
Applications: ICC/IF, IHC,  IHC-P, WB
NBP2-15954
Species: Hu, Rt
Applications: IHC,  IHC-P, KO, WB
DBD00
Species: Hu
Applications: ELISA
NBP2-67150
Species: Hu, Mu, Rt
Applications: IHC, IHC-Fr,  IHC-P, IP, WB
NBP3-17255
Species: Hu
Applications: ICC/IF, WB
NBP1-59069
Species: Hu
Applications: ICC/IF, IHC,  IHC-P, WB
NBP3-05546
Species: Bv, Hu, Mu, Rt
Applications: ICC/IF, WB
NBP1-83693
Species: Hu
Applications: ICC/IF, IHC,  IHC-P, WB
NBP1-00178
Species: Hu, Mu, Sh
Applications: Flow, ICC/IF, IHC, IHC-Fr, PEP-ELISA, WB
AF2408
Species: Hu, Mu
Applications: CyTOF-ready, Flow, ICC, KO, Simple Western, WB
NBP2-22164
Species: Hu(-), Mu, Rt
Applications: ELISA, ICC/IF, IHC,  IHC-P, IP, WB
NB100-56583
Species: Hu, Rb, Rt
Applications: Flow, IHC,  IHC-P, KO, Simple Western, WB
NBP2-37397
Species: Hu, Mu, Rt
Applications: CyTOF-ready, ELISA, Flow, ICC/IF, IHC,  IHC-P, WB
NB300-223
Species: Bv, Ca, Ch, Eq, Hu, Mu, Po, Rt
Applications: ICC/IF, IHC, IHC-Fr,  IHC-P, WB

Publications for ANKK1 Antibody (NBP1-28459)(1)

Reviews for ANKK1 Antibody (NBP1-28459) (0)

There are no reviews for ANKK1 Antibody (NBP1-28459). By submitting a review you will receive an Amazon e-Gift Card or Novus Product Discount.
  • Review with no image -- $10/€7/£6/$10 CAD/¥70 Yuan/¥1110 Yen
  • Review with an image -- $25/€18/£15/$25 CAD/¥150 Yuan/¥2500 Yen

Product General Protocols

Find general support by application which include: protocols, troubleshooting, illustrated assays, videos and webinars.

Video Protocols

WB Video Protocol

FAQs for ANKK1 Antibody (NBP1-28459) (0)

There are no specific FAQs related to this product. Read our general customer & technical service FAQs.

Secondary Antibodies

 

Isotype Controls

Additional ANKK1 Products

Research Areas for ANKK1 Antibody (NBP1-28459)

Find related products by research area.

Blogs on ANKK1

There are no specific blogs for ANKK1, but you can read our latest blog posts.

Customers Who Bought This Also Bought

Contact Information

Product PDFs

Calculators

Concentration Calculator

The concentration calculator allows you to quickly calculate the volume, mass or concentration of your vial. Simply enter your mass, volume, or concentration values for your reagent and the calculator will determine the rest.

=
÷

Review this Product

Be the first to review our ANKK1 Antibody and receive a gift card or discount.

Bioinformatics

Gene Symbol ANKK1
Entrez
Uniprot