Aldolase C Antibody

Images

 
Western Blot: Aldolase C Antibody [NBP1-50546] - CEM cell line lysates (35ug/lane).
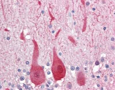
Immunohistochemistry-Paraffin: Aldolase C Antibody [NBP1-50546] - Analysis of anti-ALDOC antibody with human brain, cerebellum at concentration 10 ug/ml.

Product Details

Summary
Product Discontinued
View other related Aldolase C Primary Antibodies

Order Details


    • Catalog Number
      NBP1-50546
    • Availability
      Product Discontinued

    Can't find what you are looking for? Use our Antibody Concierge Service & we will help you locate your antibody!

    Or feel free to contact us for alternative products.

Aldolase C Antibody Summary

Immunogen
KLH-conjugated synthetic peptide between amino acids 300-333 from C-terminal region of human Aldolase C.
Marker
pan-Astrocyte Marker
Isotype
IgG
Clonality
Polyclonal
Host
Rabbit
Gene
ALDOC
Purity
Ammonium sulfate precipitation
Innovator's Reward
Test in a species/application not listed above to receive a full credit towards a future purchase.

Applications/Dilutions

Dilutions
  • Immunohistochemistry
  • Immunohistochemistry-Paraffin 10 ug/ml
  • Western Blot 1:1000
Application Notes
IHC: NBP1-50546 was validated for use in immunohistochemistry on a panel of 21 formalin-fixed, paraffin-embedded (FFPE) human tissues after heat induced antigen retrieval in pH 6.0 citrate buffer. After incubation with the primary antibody, slides were incubated with biotinylated secondary antibody, followed by alkaline phosphatase-streptavidin and chromogen. The stained slides were evaluated by a pathologist to confirm staining specificity.

Packaging, Storage & Formulations

Storage
Store at 4C short term. Aliquot and store at -20C long term. Avoid freeze-thaw cycles.
Buffer
PBS
Preservative
0.09% Sodium Azide
Purity
Ammonium sulfate precipitation

Alternate Names for Aldolase C Antibody

  • ALDC
  • aldolase 3
  • aldolase C, fructose-bisphosphate
  • Brain-type aldolase
  • EC 4.1.2.13
  • fructoaldolase C
  • fructose-1,6-biphosphate triosephosphate lyase
  • fructose-bisphosphate aldolase C

Background

The Aldolase C gene encodes a member of the class I fructose-biphosphate aldolase gene family. Expressed specifically in thehippocampus and Purkinje cells of the brain, the encoded protein is a glycolytic enzyme that catalyzes the reversiblealdol cleavage of fructo

Limitations

This product is for research use only and is not approved for use in humans or in clinical diagnosis. Primary Antibodies are guaranteed for 1 year from date of receipt.

Customers Who Viewed This Item Also Viewed...

NB300-221
Species: Av, Bv, Ca, Ch, ChHa, Dr, Eq, Fe, Ha, Hu, Mu, Ma-Op, Po, Pm, Rb, Rt, Sh, Ze
Applications: ChIP, ICC/IF, IHC, IHC-Fr, IP, KD, Simple Western, Single-Cell Western, WB
NBP2-48740
Species: Hu
Applications: ICC/IF, IHC,  IHC-P
NB300-141
Species: Bv, Ch, Eq, Gp, Hu, Mu, Po, Rb, Rt
Applications: ICC/IF, IHC, IHC-Fr,  IHC-P, Simple Western, WB
NBP1-31470
Species: Bv, Hu, Mu, Rt
Applications: ELISA, Flow, ICC/IF, IHC,  IHC-P, WB
NBP1-81853
Species: Hu
Applications: ICC/IF, IHC,  IHC-P, WB
NBP2-15345
Species: Hu, Mu, Rt, Ze
Applications: ICC/IF, IHC,  IHC-P, WB
NBP2-19784
Species: Hu, Mu, Rt, Ye
Applications: ICC/IF, IHC,  IHC-P, IP, PLA, WB
AF6278
Species: Hu, Mu
Applications: WB
NBP2-67503
Species: Hu, Mu, Rt
Applications: Flow, ICC/IF, IHC,  IHC-P, IP, WB
NB300-223
Species: Bv, Ca, Ch, Eq, Hu, Mu, Po, Rt
Applications: ICC/IF, IHC, IHC-Fr,  IHC-P, WB
H00009588-M01
Species: Bv, Hu
Applications: DB, ELISA, WB
H00002023-M01
Species: Fe, Hu
Applications: ELISA, Flow, Func, ICC/IF, IHC,  IHC-P, IP, WB
NBP1-72042
Species: Hu, Mu, Rt
Applications: ICC/IF, IHC,  IHC-P, PEP-ELISA, WB
NBP2-16679
Species: Dr, Hu, Mu, Rt
Applications: ELISA, ICC/IF, IHC,  IHC-P, WB
NBP2-02978
Species: Hu, Mu, Rt
Applications: Flow, ICC/IF, IHC,  IHC-P, WB
NBP1-89290
Species: Hu, Mu, Rt
Applications: ICC/IF, IHC,  IHC-P, WB
NBP1-87441
Species: Hu, Mu, Rt
Applications: ICC/IF, IHC,  IHC-P, KD, WB
NB100-524
Species: Hu, Mu
Applications: Flow-IC, Flow, ICC/IF, IHC, IHC-Fr,  IHC-P, IP, WB
NBP1-89284
Species: Hu, Po
Applications: ICC/IF, IHC,  IHC-P, KD, WB
NBP2-20626
Species: Hu, Mu, Rt
Applications: IHC,  IHC-P, KO, WB

Publications for Aldolase C Antibody (NBP1-50546) (0)

There are no publications for Aldolase C Antibody (NBP1-50546).
By submitting your publication information earn gift cards and discounts for future purchases.

Reviews for Aldolase C Antibody (NBP1-50546) (0)

There are no reviews for Aldolase C Antibody (NBP1-50546). By submitting a review you will receive an Amazon e-Gift Card or Novus Product Discount.
  • Review with no image -- $10/€7/£6/$10 CAD/¥70 Yuan/¥1110 Yen
  • Review with an image -- $25/€18/£15/$25 CAD/¥150 Yuan/¥2500 Yen

Product General Protocols

Find general support by application which include: protocols, troubleshooting, illustrated assays, videos and webinars.

Video Protocols

WB Video Protocol

FAQs for Aldolase C Antibody (NBP1-50546) (0)

There are no specific FAQs related to this product. Read our general customer & technical service FAQs.

Secondary Antibodies

 

Isotype Controls

Additional Aldolase C Products

Research Areas for Aldolase C Antibody (NBP1-50546)

Find related products by research area.

Blogs on Aldolase C.

RNA-binding protein Staufen1 conspires with Atxn2 in stress granules to cause neurodegeneration by dysregulating RNA metabolism
By Jamshed Arslan Pharm.D. Spinocerebellar ataxia type 2 (SCA2) is a movement disorder characterized by neurodegeneration. The cause of this autosomal dominant disease is a mutation in the RNA processing gene Atxn2,...  Read full blog post.

Contact Information

Product PDFs

Calculators

Concentration Calculator

The concentration calculator allows you to quickly calculate the volume, mass or concentration of your vial. Simply enter your mass, volume, or concentration values for your reagent and the calculator will determine the rest.

=
÷

Review this Product

Be the first to review our Aldolase C Antibody and receive a gift card or discount.

Bioinformatics

Gene Symbol ALDOC
Entrez
Uniprot