AKT1 [p Ser124] Antibody (JJ08-46)

Images

 
Western Blot: AKT1 [p Ser124] Antibody (JJ08-46) [NBP2-67862] - Western blot analysis of AKT1 on MCF-7 cell lysates. Proteins were transferred to a PVDF membrane and blocked with 5% BSA in PBS for 1 hour at room ...read more
Immunocytochemistry/ Immunofluorescence: AKT1 [p Ser124] Antibody (JJ08-46) [NBP2-67862] - ICC staining Phospho-AKT1(Ser124) in PC-3M cells (green). The nuclear counterstain is DAPI (blue). Cells were fixed in ...read more
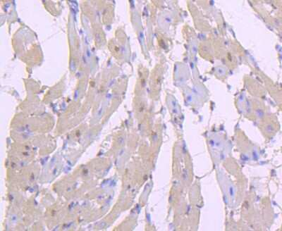
Immunohistochemistry-Paraffin: AKT1 [p Ser124] Antibody (JJ08-46) [NBP2-67862] - IHC analysis of paraffin-embedded rat heart tissue using anti-Phospho-AKT1(Ser124) antibody. Counter-stained with hematoxylin.
Immunocytochemistry/ Immunofluorescence: AKT1 [p Ser124] Antibody (JJ08-46) [NBP2-67862] - ICC staining Phospho-AKT1(Ser124) in MCF-7 cells (green). The nuclear counterstain is DAPI (blue). Cells were fixed in ...read more
Immunocytochemistry/ Immunofluorescence: AKT1 [p Ser124] Antibody (JJ08-46) [NBP2-67862] - ICC staining Phospho-AKT1(Ser124) in NIH/3T3 cells (green). The nuclear counterstain is DAPI (blue). Cells were fixed in ...read more
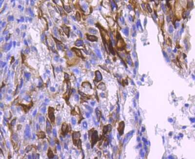
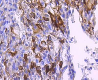
Immunohistochemistry-Paraffin: AKT1 [p Ser124] Antibody (JJ08-46) [NBP2-67862] - IHC analysis of paraffin-embedded human breast carcinoma tissue using anti-Phospho-AKT1(Ser124) antibody. Counter-stained with hematoxylin.

Product Details

Summary
Product Discontinued
View other related AKT1 Primary Antibodies

Order Details


    • Catalog Number
      NBP2-67862
    • Availability
      Product Discontinued

    Can't find what you are looking for? Use our Antibody Concierge Service & we will help you locate your antibody!

    Or feel free to contact us for alternative products.

AKT1 [p Ser124] Antibody (JJ08-46) Summary

Additional Information
Recombinant Monoclonal Antibody.
Immunogen
Synthetic phospho-peptide corresponding to residues surrounding Ser124 of human AKT1. (SwissProt: P31749 Human; SwissProt: P31750 Mouse; SwissProt: P47196 Rat)
Modification
p Ser124
Localization
Cell membrane, Cytoplasm, Membrane, Nucleus.
Isotype
IgG
Clonality
Monoclonal
Host
Rabbit
Gene
AKT1
Purity
Protein A purified
Innovator's Reward
Test in a species/application not listed above to receive a full credit towards a future purchase.

Applications/Dilutions

Dilutions
  • Immunocytochemistry/ Immunofluorescence 1:50-1:200
  • Immunohistochemistry
  • Immunohistochemistry-Paraffin 1:50-1:200
  • Immunoprecipitation
  • Western Blot 1:500-1:2000
Theoretical MW
56 kDa.
Disclaimer note: The observed molecular weight of the protein may vary from the listed predicted molecular weight due to post translational modifications, post translation cleavages, relative charges, and other experimental factors.

Packaging, Storage & Formulations

Storage
Store at 4C short term. Aliquot and store at -20C long term. Avoid freeze-thaw cycles.
Buffer
TBS (pH7.4), 0.05% BSA, 40% Glycerol
Preservative
0.05% Sodium Azide
Concentration
1 mg/ml
Purity
Protein A purified

Alternate Names for AKT1 [p Ser124] Antibody (JJ08-46)

  • AKT serine/threonine kinase 1
  • AKT
  • Akt1
  • AKT1m
  • CWS6
  • EC 2.7.11
  • EC 2.7.11.1
  • PKB alpha
  • PKB
  • PKBMGC99656
  • PRKBA
  • Protein Kinase B Alpha
  • Protein kinase B
  • Proto-oncogene c-Akt
  • rac protein kinase alpha
  • RAC
  • RAC-alpha serine/threonine-protein kinase
  • RAC-alpha
  • RAC-PK-alpha
  • RACPKB-ALPHA
  • Serine-Threonine Protein Kinase
  • v-akt murine thymoma viral oncogene homolog 1
  • V-Akt Murine Thymoma Viral Oncogene-Like Protein 1

Background

AKT (also known as protein kinase B (PKB) and RAC (related to A and C kinases)) is a critical intracellular serine/threonine kinase that translates signals from extracellular stimuli including growth factors, cytokines and neurotransmitters (1). AKT signaling plays critical roles in cell growth, proliferation, survival and differentiation (1). It is also involved in organogenesis, angiogenesis and metabolism. Three mammalian AKT isoforms have been identified. The AKT pathway can be activated by any of the three members who share a high level of protein homology but are independently encoded by AKT1 (PKB alpha; 14q32.32), AKT2 (PKB beta; 19q13.2), or AKT3 (PKB gamma; 1q44) (1, 2). Each AKT family member contains an N-terminal pleckstrin homology (PH) domain, a central kinase domain, and a C-terminal regulatory domain. AKT mediates many of the downstream events of phosphatidylinositol 3-kinase (PI3-K), a lipid kinase activated by growth factors, cytokines and insulin. PI3-K recruits AKT to the membrane, where it is activated by PDK1 phosphorylation. AKT has two main phosphorylation sites (Ser473 and Thr308, predicted molecular weight 56 kDa) (3, 4). Once phosphorylated, AKT dissociates from the membrane and phosphorylates targets in the cytoplasm and the cell nucleus including mammalian target of rapamycin (mTOR).

The main function of AKT is to control inhibition of apoptosis and promote cell proliferation. Survival factors can activate AKT Ser473 and Thr308 phosphorylation sites in a transcription-independent manner, resulting in the inactivation of apoptotic signaling transduction through the tumor suppressor PTEN, an antagonist to PI3-K (5). PTEN exerts enzymatic activity as a phosphatidylinositol-3,4,5-trisphosphate (PIP3) phosphatase, opposing PI3K activity by decreasing availability of PIP3 to proliferating cells, leading to overexpression and inappropriate activation of AKT noted in many types of cancer.

AKT1 function has been linked to overall physiological growth and function (2). AKT1 has been correlated with proteus syndrome, a rare disorder characterized by overgrowth of various tissues caused by a mosaic variant in the AKT1 gene in humans.

AKT2 is strongly correlated with Type II diabetes, including phenotypes of insulin resistance, hyperglycemia and atherosclerosis (2, 6).

The function of AKT3 is specifically associated to brain development, where disruptions to AKT3 are correlated with microcephaly, hemimegalencephaly, megalencephaly and intellectual disabilities (2).

References

1. Ersahin, T., Tuncbag, N., & Cetin-Atalay, R. (2015). The PI3K/AKT/mTOR interactive pathway. Mol Biosyst, 11(7), 1946-1954. doi:10.1039/c5mb00101c

2. Cohen, M. M., Jr. (2013). The AKT genes and their roles in various disorders. Am J Med Genet A, 161a(12), 2931-2937. doi:10.1002/ajmg.a.36101

3. Georgescu, M. M. (2010). PTEN Tumor Suppressor Network in PI3K-Akt Pathway Control. Genes Cancer, 1(12), 1170-1177. doi:10.1177/1947601911407325

4. Mishra, P., Paital, B., Jena, S., Swain, S. S., Kumar, S., Yadav, M. K., . . . Samanta, L. (2019). Possible activation of NRF2 by Vitamin E/Curcumin against altered thyroid hormone induced oxidative stress via NFkB/AKT/mTOR/KEAP1 signalling in rat heart. Sci Rep, 9(1), 7408. doi:10.1038/s41598-019-43320-5

5. Wedel, S., Hudak, L., Seibel, J. M., Juengel, E., Oppermann, E., Haferkamp, A., & Blaheta, R. A. (2011). Critical analysis of simultaneous blockage of histone deacetylase and multiple receptor tyrosine kinase in the treatment of prostate cancer. Prostate, 71(7), 722-735. doi:10.1002/pros.21288

6. Rotllan, N., Chamorro-Jorganes, A., Araldi, E., Wanschel, A. C., Aryal, B., Aranda, J. F., . . . Fernandez-Hernando, C. (2015). Hematopoietic Akt2 deficiency attenuates the progression of atherosclerosis. Faseb j, 29(2), 597-610. doi:10.1096/fj.14-262097

Limitations

This product is for research use only and is not approved for use in humans or in clinical diagnosis. Primary Antibodies are guaranteed for 1 year from date of receipt.

Customers Who Viewed This Item Also Viewed...

NBP2-19804
Species: Hu, Mu
Applications: ICC/IF, IHC,  IHC-P, WB
NBP2-15071
Species: Hu, Mu, Rt
Applications: ICC/IF, IHC,  IHC-P, KO, WB
NBP2-46404
Species: Hu, Mu, Rt
Applications: IHC,  IHC-P
AF1230
Species: Hu, Mu, Rt
Applications: IHC, KO, WB
NBP2-22203
Species: Hu, Pm, Mu, Rt
Applications: ELISA, Flow, ICC/IF, IHC,  IHC-P, WB
MAB6210
Species: Hu
Applications: Simple Western, WB
NB600-607
Species: Hu, Rt
Applications: ELISA, IHC,  IHC-P, WB
AF467
Species: Hu, Mu
Applications: CyTOF-ready, Flow, ICC, IHC, Simple Western, WB
AF231
Species: Hu
Applications: CyTOF-ready, Dual ISH-IHC, ELISA(Cap), ELISA(Det), ELISA(Sta), Flow, ICC, IHC, IP, Simple Western, WB
MAB1417
Species: Bv, Hu, Mu
Applications: ICC, IHC
AF847
Species: Hu, Mu, Rt
Applications: CyTOF-ready, IHC, ICFlow, KO, Simple Western, WB
DVE00
Species: Hu
Applications: ELISA
MAB17761
Species: Hu, Mu, Rt
Applications: ICC, WB
NB100-82001
Species: Hu, Mu, Po, Rt
Applications: ICC/IF, IHC,  IHC-P, Simple Western, WB

Publications for AKT1 Antibody (NBP2-67862) (0)

There are no publications for AKT1 Antibody (NBP2-67862).
By submitting your publication information earn gift cards and discounts for future purchases.

Reviews for AKT1 Antibody (NBP2-67862) (0)

There are no reviews for AKT1 Antibody (NBP2-67862). By submitting a review you will receive an Amazon e-Gift Card or Novus Product Discount.
  • Review with no image -- $10/€7/£6/$10 CAD/¥70 Yuan/¥1110 Yen
  • Review with an image -- $25/€18/£15/$25 CAD/¥150 Yuan/¥2500 Yen

Product General Protocols

Find general support by application which include: protocols, troubleshooting, illustrated assays, videos and webinars.

Video Protocols

WB Video Protocol
ICC/IF Video Protocol

FAQs for AKT1 Antibody (NBP2-67862). (Showing 1 - 5 of 5 FAQ).

  1. How do I choose secondary antibodies to label the same cells when I have two primary antibodies from the same host?
    • Use isotype-specific secondary antibodies if the primary antibodies are of different isotypes. You can also make direct conjugates of the primary antibodies by use of antibody labeling kits, dyes, or custom conjugations (please contact Technical Support for custom orders).
  2. Why are many of your antibodies formulated with sodium azide and BSA?
    • Sodium azide is a preservative which is added to prevent bacterial growth. BSA is added as a protein stabilizer.
  3. Do your HRP-conjugated antibodies contain sodium azide?
    • No. None of our HRP-conjugated antibodies contain sodium azide as this agent inhibits the activity of HRP.
  4. I am looking for a antibody that recognizes human Akt1 but NOT Akt2 or 3, for Western blot analyses. I also want that antibody to recognize Akt1 regardless of its phosphorylated form.
    • At the moment we do not have an AKT1 antibody that definitively does not react with either AKT2 or AKT3.
  5. What is the molecular weight of your antibodies?
    • All IgG antibodies are approximately 150 kDa (each heavy chain is about 50 kDa and each light chain is about 25 kDa).

Secondary Antibodies

 

Isotype Controls

Additional AKT1 Products

Research Areas for AKT1 Antibody (NBP2-67862)

Find related products by research area.

Blogs on AKT1. Showing 1-10 of 14 blog posts - Show all blog posts.

Understanding ‘Y’ in Breast Cancer: Crucial Role of DNA/RNA-binding Protein YB-1 in the Development, Pre-Invasive, and Metastatic Phases
Jamshed Arslan, Pharm D, PhD In the United States, 1 in 8 women will be diagnosed with breast cancer in her lifetime.1 Despite the prevalence, cancer genesis is a mystery. The heterogeneity of cancers makes it diff...  Read full blog post.

Tips to Optimize Your Western Blot for Phosphorylated Protein Detection
By Jamshed Arslan, Pharm. D., PhD. Protein phosphorylation refers to a reversible post-translational modification in which a protein kinase adds a phosphate group to an amino acid residue of a target protein. Protein ...  Read full blog post.

Sample collection from mammalian culture cells for kinomic analysis
By Jamshed Arslan Pharm.D., PhD.IntroductionKinome describes kinases, and kinomics refers to the kinase signaling. Studying the effects of reagent (exogenously applied growth factor or inhibitor) on kinase activit...  Read full blog post.

Using a STAT3 antibody in chromatin immunoprecipitation (ChIP)
Signal transducer and activator of transcription 3 (STAT3) is an important oncogenic transcriptional factor that mediates tumor induced immune suppression.  Specifically, STAT3 transmits signals from cytokines and growth factor receptors in the pla...  Read full blog post.

Altered expression of BCL2 in cancer
Similar to other cell processes, the balance between cell survival and cell death is an important equilibrium that when altered expression of genes can lead to a variety of disease.  For example, too little cell death can promote cell overgrowth a...  Read full blog post.

AKT1 - Regulating cell growth and survival through phosphorylation
AKT1 is a serine/threonine protein kinase with homology to protein kinase A (PKA) and protein kinase C (PKC). AKT1 contains the central kinase domain sandwiched between a pleckstrin homology domain and a regulatory domain (1). AKT1 is regulated by ...  Read full blog post.

Akt1 - a central player in cell survival signaling
Akt1 is one of three isoforms of Akt belonging to the AGC family of serine/threonine kinases (Akt1, Akt2, and Akt3). All Akt isoforms contain an N-terminal Plekstrin Homology (PH) domain, a C-terminal regulatory domain, and a central catalytic kin...  Read full blog post.

AKT1, Scene 1: The Cell Must Go On
Akt1 is a serine/threonine-specific protein kinase involved in many cellular signaling pathways. The major function of this kinase is to mediate cell survival, but it also plays key roles in various other cellular functions such as glycogen synthesis ...  Read full blog post.

Caspase 9 and Mitochondrial Apoptosis Regulation
Caspase 9 (also termed ICE-LAP6, Mch6, Apaf-3) is a member of cysteine protease family of caspases and is encoded by the CASP9 gene in humans. Caspase-9 is involved in mitochondrial apoptosis pathway and is an initiator caspase. Pro-caspase-9 is activ...  Read full blog post.

Mapping Signal Transduction with mTOR Antibodies
The protein encoded by mTOR (mammalian target of rapamycin), also known as dTOR in Drosophila, belongs to a family of phosphatidylinositol kinase-related kinases. These kinases regulate fundamental processes of cell growth, proliferation, metabolism...  Read full blog post.

Showing 1-10 of 14 blog posts - Show all blog posts.

Contact Information

Product PDFs

Calculators

Concentration Calculator

The concentration calculator allows you to quickly calculate the volume, mass or concentration of your vial. Simply enter your mass, volume, or concentration values for your reagent and the calculator will determine the rest.

=
÷

Review this Product

Be the first to review our AKT1 [p Ser124] Antibody (JJ08-46) and receive a gift card or discount.

Bioinformatics

Gene Symbol AKT1