AIM2 Antibody

Images

 
Immunocytochemistry/ Immunofluorescence: AIM2 Antibody [NBP2-97404] - Immunofluorescence staining of AIM2 in HeLa cells. Cells were fixed with 4% PFA, permeabilzed with 0.1% Triton X-100 in PBS, blocked with 10% serum, ...read more
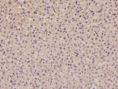
Immunohistochemistry-Paraffin: AIM2 Antibody [NBP2-97404] - Immunochemical staining of human AIM2 in human liver with rabbit polyclonal antibody at 1:100 dilution, formalin-fixed paraffin embedded sections.

Product Details

Summary
Product Discontinued
View other related AIM2 Primary Antibodies

Order Details


    • Catalog Number
      NBP2-97404
    • Availability
      Product Discontinued

    Can't find what you are looking for? Use our Antibody Concierge Service & we will help you locate your antibody!

    Or feel free to contact us for alternative products.

AIM2 Antibody Summary

Description
This antibody can be stored at 2C to 8C for one month without detectable loss of activity. Antibody products are stable for twelve months from date of receipt when stored at -20C to -80C. Avoid repeated freeze-thaw cycles.
Immunogen
Produced in rabbits immunized with E. coli-derived Human AIM2 fragment.
Isotype
IgG
Clonality
Polyclonal
Host
Rabbit
Gene
AIM2
Purity
Antigen and protein A Affinity-purified
Innovator's Reward
Test in a species/application not listed above to receive a full credit towards a future purchase.

Applications/Dilutions

Dilutions
  • Immunocytochemistry/ Immunofluorescence 1:50-1:200
  • Immunohistochemistry
  • Immunohistochemistry-Paraffin 1:50-1:200

Packaging, Storage & Formulations

Storage
Store at 4C short term. Aliquot and store at -20C long term. Avoid freeze-thaw cycles.
Buffer
PBS
Preservative
0.03% Proclin 300
Purity
Antigen and protein A Affinity-purified

Alternate Names for AIM2 Antibody

  • absent in melanoma 2PYHIN4
  • AIM2
  • Gm1313
  • Ifi210
  • interferon-inducible protein AIM2
  • PYHIN4

Background

AIM2 is a member of the IFI20X /IFI16 family. It plays a putative role in tumorigenic reversion and may control cell proliferation. Interferon-gamma induces expression of AIM2.

Limitations

This product is for research use only and is not approved for use in humans or in clinical diagnosis. Primary Antibodies are guaranteed for 1 year from date of receipt.

Customers Who Viewed This Item Also Viewed...

NBP2-12446
Species: Hu, Mu, Rt
Applications: Flow, ICC/IF, IHC, IHC-Fr,  IHC-P, IM, IP, KD, WB
NB100-56565
Species: Hu, Mu, Rt
Applications: ICC/IF, IHC, IHC-Fr,  IHC-P, Simple Western, WB
7625
Species: Mu
Applications: ELISA
NBP1-78977
Species: Hu, Mu, Rt
Applications: Flow-IC, Flow, ICC/IF, IHC,  IHC-P, IM, IP, Simple Western, WB
NBP1-90095
Species: Hu
Applications: IHC,  IHC-P
NBP1-78979
Species: Hu, Mu
Applications: Flow, IB, ICC/IF, IHC,  IHC-P
NBP1-76854
Species: Hu, Mu, Rt
Applications: ELISA, ICC/IF, IHC,  IHC-P, KD, WB
NBP1-83118
Species: Hu
Applications: ICC/IF, IHC,  IHC-P, WB
NBP1-54899
Species: Hu, Rt
Applications: ICC/IF, IHC, IHC-Fr, WB
NBP2-24729
Species: Ca, Eq, Hu, Pm, Mu, Pm, Rt
Applications: B/N, CyTOF-ready, DB, ELISA, Flow-IC, Flow, Func, ICC/IF, IHC,  IHC-P, IP, In vitro, KD, Simple Western, WB
NBP2-67741
Species: Hu, Mu, Rt
Applications: Flow, ICC/IF, IHC,  IHC-P, WB
NB100-304
Species: Bt, Bv, Ca, Fi, Gt, Hu, Mu, Pm, Rt
Applications: ChIP, ChIP, Flow-IC, Flow, IB, ICC/IF, IHC, IHC-Fr,  IHC-P, IP, ISH, KD, KO, WB
NB600-809
Species: Hu
Applications: Flow, ICC/IF, PEP-ELISA
NBP2-38956
Species: Hu
Applications: IHC,  IHC-P, Simple Western, WB
NBP2-27066
Species: Hu, Mu
Applications: WB
201-LB
Species: Hu
Applications: BA
NBP2-45907
Species: Hu
Applications: IHC,  IHC-P, WB
NBP2-97404
Species: Hu
Applications: ICC/IF, IHC

Publications for AIM2 Antibody (NBP2-97404) (0)

There are no publications for AIM2 Antibody (NBP2-97404).
By submitting your publication information earn gift cards and discounts for future purchases.

Reviews for AIM2 Antibody (NBP2-97404) (0)

There are no reviews for AIM2 Antibody (NBP2-97404). By submitting a review you will receive an Amazon e-Gift Card or Novus Product Discount.
  • Review with no image -- $10/€7/£6/$10 CAD/¥70 Yuan/¥1110 Yen
  • Review with an image -- $25/€18/£15/$25 CAD/¥150 Yuan/¥2500 Yen

Product General Protocols

Find general support by application which include: protocols, troubleshooting, illustrated assays, videos and webinars.

Video Protocols

ICC/IF Video Protocol

FAQs for AIM2 Antibody (NBP2-97404) (0)

There are no specific FAQs related to this product. Read our general customer & technical service FAQs.

Secondary Antibodies

 

Isotype Controls

Additional AIM2 Products

Blogs on AIM2.

Pyroptosis: Mechanisms mediating cell death and pro-inflammatory cytokine release
By Victoria OsinskiPyroptosis is an inflammatory form of programmed cell death characterized by the release of pro-inflammatory cytokines IL-1 beta and IL-18.1,10 It is a process distinct from apoptosis and necrosis (T...  Read full blog post.

PAMPs and DAMPs: What is the Same and What is Different About These Molecules?
By Victoria OsinskiWhat are PAMPs and DAMPsInflammation results from stimuli signaling damage or infection. The immune system inflammatory response can be beneficial or harmful depending on the type and duration of ...  Read full blog post.

Contact Information

Product PDFs

Calculators

Concentration Calculator

The concentration calculator allows you to quickly calculate the volume, mass or concentration of your vial. Simply enter your mass, volume, or concentration values for your reagent and the calculator will determine the rest.

=
÷

Review this Product

Be the first to review our AIM2 Antibody and receive a gift card or discount.

Bioinformatics

Gene Symbol AIM2