Aggrecan Antibody (JA40-23)

Images

 
Immunohistochemistry-Paraffin: Aggrecan Antibody (JA40-23) [NBP2-67120] - Analysis of paraffin-embedded rat cartilage tissue using anti-Aggrecan antibody. Counter stained with hematoxylin.
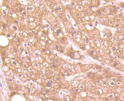
Immunohistochemistry-Paraffin: Aggrecan Antibody (JA40-23) [NBP2-67120] - Analysis of paraffin-embedded human liver tissue using anti-Aggrecan antibody. Counter stained with hematoxylin.

Product Details

Summary
Product Discontinued
View other related Aggrecan Primary Antibodies

Order Details


    • Catalog Number
      NBP2-67120
    • Availability
      Product Discontinued

    Can't find what you are looking for? Use our Antibody Concierge Service & we will help you locate your antibody!

    Or feel free to contact us for alternative products.

Aggrecan Antibody (JA40-23) Summary

Additional Information
Recombinant Monoclonal Antibody.
Immunogen
Recombinant protein within Human Aggrecan aa 742-881 / 2530. (SwissProt: P16112 Human; SwissProt: P07897 Rat)
Localization
Extracellular matrix.
Isotype
IgG
Clonality
Monoclonal
Host
Rabbit
Gene
ACAN
Purity
Protein A purified
Innovator's Reward
Test in a species/application not listed above to receive a full credit towards a future purchase.

Applications/Dilutions

Dilutions
  • Immunohistochemistry
  • Immunohistochemistry-Paraffin 1:50-1:200

Packaging, Storage & Formulations

Storage
Store at 4C short term. Aliquot and store at -20C long term. Avoid freeze-thaw cycles.
Buffer
TBS (pH7.4), 0.05% BSA, 40% Glycerol
Preservative
0.05% Sodium Azide
Concentration
1 mg/ml
Purity
Protein A purified

Alternate Names for Aggrecan Antibody (JA40-23)

  • ACAN
  • AGC1
  • AGC1SEDK
  • aggrecan core protein
  • Aggrecan
  • Cartilage-specific proteoglycan core protein
  • Chondroitin sulfate proteoglycan 1
  • Chondroitin sulfate proteoglycan core protein 1
  • CSPCP
  • CSPG1
  • CSPG1aggrecan 1
  • CSPGCP
  • large aggregating proteoglycan
  • MSK16
  • MSK16AGCAN
  • SEDK

Background

This aggrecan degradation product usually remains within the tissue still complexed to hyaluronan and link protein. Its release from the cartilage usually signals that there has been extensive catabolism of aggrecan, which allows large complexes containing this metabolite to be released from the tissue.

Limitations

This product is for research use only and is not approved for use in humans or in clinical diagnosis. Primary Antibodies are guaranteed for 1 year from date of receipt.

Customers Who Viewed This Item Also Viewed...

NBP1-85432
Species: Hu, Mu
Applications: COMET, IHC,  IHC-P, mIF
DY4307-05
Species: Hu
Applications: ELISA
AF3075
Species: Hu
Applications: ICC, Simple Western, WB
AF1060
Species: Mu
Applications: ELISA(Cap), ELISA(Det), IHC, Simple Western, WB
DY2198-05
Species: Hu
Applications: ELISA
DM1300
Species: Hu
Applications: ELISA
DMP300
Species: Hu
Applications: ELISA
DCMP0
Species: Hu
Applications: ELISA
NB600-844
Species: Ch, Hu, Mu, Rb, Rt
Applications: ICC/IF, IHC, IHC-Fr,  IHC-P, Simple Western, WB
355-BM
Species: Hu, Mu, Rt
Applications: BA
NBP1-89246
Species: Hu
Applications: ICC/IF, IHC,  IHC-P
291-G1
Species: Hu
Applications: BA
AF5465
Species: Hu
Applications: IP, WB
NBP2-67120
Species: Hu, Rt
Applications: IHC

Publications for Aggrecan Antibody (NBP2-67120) (0)

There are no publications for Aggrecan Antibody (NBP2-67120).
By submitting your publication information earn gift cards and discounts for future purchases.

Reviews for Aggrecan Antibody (NBP2-67120) (0)

There are no reviews for Aggrecan Antibody (NBP2-67120). By submitting a review you will receive an Amazon e-Gift Card or Novus Product Discount.
  • Review with no image -- $10/€7/£6/$10 CAD/¥70 Yuan/¥1110 Yen
  • Review with an image -- $25/€18/£15/$25 CAD/¥150 Yuan/¥2500 Yen

Product General Protocols

Find general support by application which include: protocols, troubleshooting, illustrated assays, videos and webinars.

FAQs for Aggrecan Antibody (NBP2-67120) (0)

There are no specific FAQs related to this product. Read our general customer & technical service FAQs.

Secondary Antibodies

 

Isotype Controls

Additional Aggrecan Products

Research Areas for Aggrecan Antibody (NBP2-67120)

Find related products by research area.

Blogs on Aggrecan.

Aches & Pains: Aggrecan in Joint Disease and Osteoarthritis
Aggrecan is essential for the normal function of articular cartilage and intervertebral discs. Aggrecan provides the ability for the tissues to withstand compressive loading. This property is dependent on both the high charge density endowed by its nu...  Read full blog post.

Contact Information

Product PDFs

Calculators

Concentration Calculator

The concentration calculator allows you to quickly calculate the volume, mass or concentration of your vial. Simply enter your mass, volume, or concentration values for your reagent and the calculator will determine the rest.

=
÷

Review this Product

Be the first to review our Aggrecan Antibody (JA40-23) and receive a gift card or discount.

Bioinformatics

Gene Symbol ACAN