ACRBP Antibody - BSA Free

Images

 
Western Blot: ACRBP Antibody [NBP1-85408] - Analysis in control (vector only transfected HEK293T lysate) and ACRBP over-expression lysate (Co-expressed with a C-terminal myc-DDK tag (3.1 kDa) in mammalian HEK293T cells).
Orthogonal Strategies: Immunohistochemistry-Paraffin: ACRBP Antibody [NBP1-85408] - Staining in human testis and endometrium tissues using anti-ACRBP antibody. Corresponding ACRBP RNA-seq data are presented for ...read more
Immunohistochemistry-Paraffin: ACRBP Antibody [NBP1-85408] - Staining of human testis shows high expression.
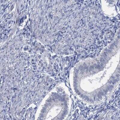
Immunohistochemistry-Paraffin: ACRBP Antibody [NBP1-85408] - Staining of human endometrium shows low expression as expected.

Product Details

Summary
Reactivity HuSpecies Glossary
Applications WB, IHC
Clonality
Polyclonal
Host
Rabbit
Conjugate
Unconjugated
Format
BSA Free
Validated by:
       

Orthogonal Strategies

 

Order Details

ACRBP Antibody - BSA Free Summary

Description
Novus Biologicals Rabbit ACRBP Antibody - BSA Free (NBP1-85408) is a polyclonal antibody validated for use in IHC and WB. All Novus Biologicals antibodies are covered by our 100% guarantee.
Immunogen
This antibody was developed against Recombinant Protein corresponding to amino acids: AQDSTQASTPGSPLSPTEYERFFALLTPTWKAETTCRLRATHGCRNPTLVQLDQYENHGLVPDGAVCSNLPYASWFESFCQFTHYRCS
Isotype
IgG
Clonality
Polyclonal
Host
Rabbit
Gene
ACRBP
Purity
Immunogen affinity purified
Innovator's Reward
Test in a species/application not listed above to receive a full credit towards a future purchase.

Applications/Dilutions

Dilutions
  • Immunohistochemistry 1:50 - 1:200
  • Immunohistochemistry-Paraffin 1:50 - 1:200
  • Western Blot 0.04-0.4 ug/ml
Application Notes
For IHC-Paraffin, HIER pH 6 retrieval is recommended.
Control Peptide
ACRBP Protein (NBP1-85408PEP)

Reactivity Notes

Immunogen displays the following percentage of sequence identity for non-tested species: Mouse (89%), Rat (89%)

Packaging, Storage & Formulations

Storage
Store at 4C short term. Aliquot and store at -20C long term. Avoid freeze-thaw cycles.
Buffer
PBS (pH 7.2) and 40% Glycerol
Preservative
0.02% Sodium Azide
Purity
Immunogen affinity purified

Alternate Names for ACRBP Antibody - BSA Free

  • acrosin binding protein
  • acrosin-binding protein
  • Cancer/testis antigen 23
  • Cancer/testis antigen OY-TES-1
  • CT23FLJ51160
  • OY-TES-1
  • proacrosin binding protein sp32
  • Proacrosin-binding protein sp32
  • SP32

Background

ACRBP is encoded by this gene is similar to proacrosin binding protein sp32 precursor found in mouse, guinea pig, and pig. This protein is located in the sperm acrosome and is thought to function as a binding protein to proacrosin for packaging and condensation of the acrosin zymogen in the acrosomal matrix. This protein is a member of the cancer/testis family of antigens and it is found to be immunogenic. In normal tissues, this mRNA is expressed only in testis, whereas it is detected in a range of different tumor types such as bladder, breast, lung, liver, and colon. [provided by RefSeq]

Limitations

This product is for research use only and is not approved for use in humans or in clinical diagnosis. Primary Antibodies are guaranteed for 1 year from date of receipt.

Customers Who Viewed This Item Also Viewed...

NBP2-14260
Species: Hu, Mu, Rt
Applications: ICC/IF, IHC,  IHC-P
NBP1-49045
Species: Mu, Rt
Applications: Cell Depl, CyTOF-ready, Flow, ICC/IF, IHC, IHC-Fr,  IHC-P, IP, InhibTFunc
NB500-174
Species: Hu, Ma, Mar, Mu, Pm, Rt
Applications: ICC/IF, IHC, IHC-Fr,  IHC-P, IP, Simple Western, WB
NBP3-05515
Species: Hu
Applications: ChIP-EXO-SEQ, ICC/IF, IHC,  IHC-P, WB
NBP1-89790
Species: Hu, Mu, Rt
Applications: ICC/IF, IHC,  IHC-P, WB
NBP1-72042
Species: Hu, Mu, Rt
Applications: ICC/IF, IHC,  IHC-P, PEP-ELISA, WB
NBP1-88010
Species: Hu
Applications: IHC,  IHC-P
NBP1-87987
Species: Hu
Applications: ICC/IF, IHC,  IHC-P, Simple Western, WB
NB100-64775
Species: Hu
Applications: CyTOF-ready, ELISA, Flow, Func, IHC, IHC-Fr, IHC-P (-), IP
NB100-695
Species: Fi, Hu, Mu, Rt
Applications: ELISA, IHC, KD, Simple Western, WB
NBP3-12487
Species: Hu, Mu, Rt
Applications: ELISA, IHC,  IHC-P, WB
NBP1-84546
Species: Hu, Mu, Rt
Applications: IHC,  IHC-P, WB
AF5675
Species: Hu, Mu, Rt
Applications: IHC, IP, KO, WB
NBP1-47791
Species: Hu, Mu, Rt
Applications: ChIP, ICC/IF, IHC,  IHC-P, WB
NBP3-46031
Species: Hu, Mu, Rt
Applications: ELISA, WB
NBP1-85408
Species: Hu
Applications: WB, IHC

Publications for ACRBP Antibody (NBP1-85408) (0)

There are no publications for ACRBP Antibody (NBP1-85408).
By submitting your publication information earn gift cards and discounts for future purchases.

Reviews for ACRBP Antibody (NBP1-85408) (0)

There are no reviews for ACRBP Antibody (NBP1-85408). By submitting a review you will receive an Amazon e-Gift Card or Novus Product Discount.
  • Review with no image -- $10/€7/£6/$10 CAD/¥70 Yuan/¥1110 Yen
  • Review with an image -- $25/€18/£15/$25 CAD/¥150 Yuan/¥2500 Yen

Product General Protocols

Find general support by application which include: protocols, troubleshooting, illustrated assays, videos and webinars.

Video Protocols

WB Video Protocol

FAQs for ACRBP Antibody (NBP1-85408) (0)

There are no specific FAQs related to this product. Read our general customer & technical service FAQs.

Customers Who Bought This Also Bought

Contact Information

Product PDFs

Calculators

Concentration Calculator

The concentration calculator allows you to quickly calculate the volume, mass or concentration of your vial. Simply enter your mass, volume, or concentration values for your reagent and the calculator will determine the rest.

=
÷

Review this Product

Be the first to review our ACRBP Antibody - BSA Free and receive a gift card or discount.

Bioinformatics

Gene Symbol ACRBP