Aconitase 2 Antibody (JE40-83)

Images

 
Western Blot: Aconitase 2 Antibody (JE40-83) [NBP2-75394] - Analysis of Aconitase 2 on SiHa (1) and HL-60 (2) cell lysate using anti-Aconitase 2 antibody at 1/2,000 dilution.
Immunocytochemistry/ Immunofluorescence: Aconitase 2 Antibody (JE40-83) [NBP2-75394] - Staining Aconitase 2 in SiHa cells (green). The nuclear counter stain is DAPI (blue). Cells were fixed in paraformaldehyde, ...read more
Immunohistochemistry-Paraffin: Aconitase 2 Antibody (JE40-83) [NBP2-75394] - Analysis of paraffin-embedded rat epididymis tissue using anti-Aconitase 2 antibody. Counter stained with hematoxylin.
Immunohistochemistry-Paraffin: Aconitase 2 Antibody (JE40-83) [NBP2-75394] - Analysis of paraffin-embedded human prostate cancer tissue using anti-Aconitase 2 antibody. Counter stained with hematoxylin.
Immunohistochemistry-Paraffin: Aconitase 2 Antibody (JE40-83) [NBP2-75394] - Analysis of paraffin-embedded human kidney tissue using anti-Aconitase 2 antibody. Counter stained with hematoxylin.
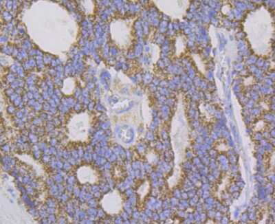
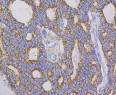
Immunohistochemistry-Paraffin: Aconitase 2 Antibody (JE40-83) [NBP2-75394] - Analysis of paraffin-embedded human esophagus tissue using anti-Aconitase 2 antibody. Counter stained with hematoxylin.
Immunohistochemistry-Paraffin: Aconitase 2 Antibody (JE40-83) [NBP2-75394] - Analysis of paraffin-embedded mouse testis tissue using anti-Aconitase 2 antibody. Counter stained with hematoxylin.

Product Details

Summary
Product Discontinued
View other related Aconitase 2 Primary Antibodies

Order Details


    • Catalog Number
      NBP2-75394
    • Availability
      Product Discontinued

    Can't find what you are looking for? Use our Antibody Concierge Service & we will help you locate your antibody!

    Or feel free to contact us for alternative products.

Aconitase 2 Antibody (JE40-83) Summary

Additional Information
Recombinant Monoclonal Antibody.
Immunogen
Recombinant protein within Human Aconitase 2 aa 1-190 / 780. (SwissProt: Q99798 Human; SwissProt: Q99KI0 Mouse; SwissProt: Q9ER34 Rat)
Localization
Mitochondrion.
Isotype
IgG
Clonality
Monoclonal
Host
Rabbit
Gene
ACO2
Purity
Protein A purified
Innovator's Reward
Test in a species/application not listed above to receive a full credit towards a future purchase.

Applications/Dilutions

Dilutions
  • Immunocytochemistry/ Immunofluorescence 1:50-1:200
  • Immunohistochemistry
  • Immunohistochemistry-Paraffin 1:50-1:200
  • Immunoprecipitation 1:10-1:50
  • Western Blot 1:500-1:2000
Theoretical MW
85 kDa.
Disclaimer note: The observed molecular weight of the protein may vary from the listed predicted molecular weight due to post translational modifications, post translation cleavages, relative charges, and other experimental factors.

Packaging, Storage & Formulations

Storage
Store at 4C short term. Aliquot and store at -20C long term. Avoid freeze-thaw cycles.
Buffer
TBS (pH7.4), 0.05% BSA, 40% Glycerol
Preservative
0.05% Sodium Azide
Concentration
1 mg/ml
Purity
Protein A purified

Alternate Names for Aconitase 2 Antibody (JE40-83)

  • aconitase 2, mitochondrial
  • Aconitase
  • aconitate hydratase, mitochondrial
  • ACONM
  • Citrate hydro-lyase
  • EC 4.2.1
  • EC 4.2.1.3
  • MGC20605
  • MGC33908

Background

Aconitase 2 is encoded by this gene belongs to the aconitase/IPM isomerase family. It is an enzyme that catalyzes the interconversion of citrate to isocitrate via cis-aconitate in the second step of the TCA cycle. This protein is encoded in the nucleus and functions in the mitochondrion. It was found to be one of the mitochondrial matrix proteins that are preferentially degraded by the serine protease 15(PRSS15), also known as Lon protease, after oxidative modification. [provided by RefSeq]

Limitations

This product is for research use only and is not approved for use in humans or in clinical diagnosis. Primary Antibodies are guaranteed for 1 year from date of receipt.

Customers Who Viewed This Item Also Viewed...

NBP1-87677
Species: Hu, Mu, Rt
Applications: ICC/IF, IHC,  IHC-P, WB
NBP1-00154
Species: Hu, Mu, Rt
Applications: Flow, ICC/IF, IHC,  IHC-P, PEP-ELISA, WB
H00002023-M01
Species: Fe, Hu
Applications: ELISA, Flow, Func, ICC/IF, IHC,  IHC-P, IP, WB
NBP2-13878
Species: Hu, Mu
Applications: ICC/IF, IHC,  IHC-P, WB
NB300-221
Species: Av, Bv, Ca, Ch, ChHa, Dr, Eq, Fe, Ha, Hu, Mu, Ma-Op, Po, Pm, Rb, Rt, Sh, Ze
Applications: ChIP, ICC/IF, IHC, IHC-Fr, IP, KD, Simple Western, Single-Cell Western, WB
NBP2-01109
Species: Hu, Mu, Rt
Applications: Flow, ICC/IF, IHC,  IHC-P, WB
NBP1-84318
Species: Hu
Applications: IHC,  IHC-P, WB
NBP2-22166
Species: Hu, Mu, Rt
Applications: ICC/IF, IHC,  IHC-P, WB
H00000439-M03
Species: Hu, Rt
Applications: ELISA, ICC/IF, IHC,  IHC-P, KD, WB
MAB6898
Species: Hu, Mu
Applications: WB
NBP2-16401
Species: Hu, Mu, Rt
Applications: ICC/IF, IHC,  IHC-P, IP, WB
NBP2-24915
Species: Bv, Hu, Mu, Rt
Applications: IHC,  IHC-P, WB
NBP3-05078
Species: Hu, Mu, Rt
Applications: ICC/IF, IHC,  IHC-P, WB
NB100-1798
Species: Hu, Mu
Applications: GS, GS, ICC/IF, IHC,  IHC-P, WB
NBP2-02705
Species: Ca, Hu, Pm, Pm
Applications: Flow, IHC,  IHC-P, WB
NBP1-87311
Species: Hu, Mu, Rt
Applications: ICC/IF, IHC,  IHC-P, Simple Western, WB
AF1936
Species: Hu
Applications: IP, WB
H00051703-M01
Species: Hu
Applications: ELISA, IHC,  IHC-P, IP, S-ELISA, WB
NBP1-31589
Species: Hu, Mu
Applications: ICC/IF, IHC,  IHC-P, WB
NBP1-90265
Species: Hu
Applications: IHC,  IHC-P, WB

Publications for Aconitase 2 Antibody (NBP2-75394) (0)

There are no publications for Aconitase 2 Antibody (NBP2-75394).
By submitting your publication information earn gift cards and discounts for future purchases.

Reviews for Aconitase 2 Antibody (NBP2-75394) (0)

There are no reviews for Aconitase 2 Antibody (NBP2-75394). By submitting a review you will receive an Amazon e-Gift Card or Novus Product Discount.
  • Review with no image -- $10/€7/£6/$10 CAD/¥70 Yuan/¥1110 Yen
  • Review with an image -- $25/€18/£15/$25 CAD/¥150 Yuan/¥2500 Yen

Product General Protocols

Find general support by application which include: protocols, troubleshooting, illustrated assays, videos and webinars.

Video Protocols

WB Video Protocol
ICC/IF Video Protocol

FAQs for Aconitase 2 Antibody (NBP2-75394) (0)

There are no specific FAQs related to this product. Read our general customer & technical service FAQs.

Secondary Antibodies

 

Isotype Controls

Additional Aconitase 2 Products

Research Areas for Aconitase 2 Antibody (NBP2-75394)

Find related products by research area.

Blogs on Aconitase 2

There are no specific blogs for Aconitase 2, but you can read our latest blog posts.

Contact Information

Product PDFs

Calculators

Concentration Calculator

The concentration calculator allows you to quickly calculate the volume, mass or concentration of your vial. Simply enter your mass, volume, or concentration values for your reagent and the calculator will determine the rest.

=
÷

Review this Product

Be the first to review our Aconitase 2 Antibody (JE40-83) and receive a gift card or discount.

Bioinformatics

Gene Symbol ACO2