ACF Antibody

Images

 
Immunocytochemistry/ Immunofluorescence: ACF Antibody [NBP2-33412] - Staining of human cell line CACO-2 shows localization to nucleoplasm. Antibody staining is shown in green.
Independent Antibodies: Immunohistochemistry-Paraffin: ACF Antibody [NBP2-33412] - Staining of human colon, kidney, liver and tonsil using Anti-A1CF antibody NBP2-33412 (A) shows similar protein distribution ...read more
Immunohistochemistry-Paraffin: ACF Antibody [NBP2-33412] - Staining of human liver shows moderate cytoplasmic and nuclear positivity in hepatocytes.
Immunohistochemistry-Paraffin: ACF Antibody [NBP2-33412] - Staining of human tonsil shows no positivity as expected.
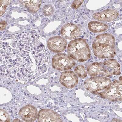
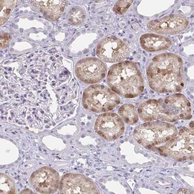
Immunohistochemistry-Paraffin: ACF Antibody [NBP2-33412] - Staining of human kidney shows moderate nuclear positivity in cells in tubules.
Immunohistochemistry-Paraffin: ACF Antibody [NBP2-33412] - Staining of human colon shows positivity in glandular cells.

Product Details

Summary
Product Discontinued
View other related ACF Primary Antibodies
Validated by:
 

Independent Antibodies

       

Order Details


    • Catalog Number
      NBP2-33412
    • Availability
      Product Discontinued

    Can't find what you are looking for? Use our Antibody Concierge Service & we will help you locate your antibody!

    Or feel free to contact us for alternative products.

ACF Antibody Summary

Immunogen
This antibody was developed against a recombinant protein corresponding to amino acids: REIYMNVPVGAAGVRGLGGRGYLAYTGLGRGYQVKGDKREDKLYDILPGMELTPMNPVTLKPQGIKLAPQILEEICQ
Predicted Species
Mouse (95%). Backed by our 100% Guarantee.
Isotype
IgG
Clonality
Polyclonal
Host
Rabbit
Gene
A1CF
Purity
Immunogen affinity purified
Innovator's Reward
Test in a species/application not listed above to receive a full credit towards a future purchase.

Applications/Dilutions

Dilutions
  • Immunocytochemistry/ Immunofluorescence 0.25-2 ug/ml
  • Immunohistochemistry 1:200 - 1:500
  • Immunohistochemistry-Paraffin 1:200 - 1:500
Application Notes
For IHC-Paraffin, HIER pH 6 retrieval is recommended. Immunocytochemistry/Immunofluorescence Fixation Permeabilization: Use PFA/Triton X-100.

Reactivity Notes

Rat (81%).

Packaging, Storage & Formulations

Storage
Store at 4C short term. Aliquot and store at -20C long term. Avoid freeze-thaw cycles.
Buffer
PBS (pH 7.2) and 40% Glycerol
Preservative
0.02% Sodium Azide
Purity
Immunogen affinity purified

Alternate Names for ACF Antibody

  • ACF65
  • ACFASPACF64
  • apo-B RNA editing protein
  • apobec-1 complementation factor (ACF) (ASP)
  • APOBEC1 complementation factor
  • APOBEC-1 stimulating protein
  • APOBEC1CF
  • APOBEC1-stimulating protein
  • MGC163391

Background

Mammalian apolipoprotein B mRNA undergoes site-specific C to U deamination, which is mediated by a multi-component enzyme complex containing a minimal core composed of APOBEC-1 and a complementation factor encoded by this gene. The gene product has three non-identical RNA recognition motifs and belongs to the hnRNP R family of RNA-binding proteins. It has been proposed that this complementation factor functions as an RNA-binding subunit and docks APOBEC-1 to deaminate the upstream cytidine. Studies suggest that the protein may also be involved in other RNA editing or RNA processing events. Alternative splicing occurs at this locus and three full-length transcript variants, encoding three distinct isoforms, have been described. Additional splicing has been observed but the full-length nature of these variants has not been determined. [provided by RefSeq]

Limitations

This product is for research use only and is not approved for use in humans or in clinical diagnosis. Primary Antibodies are guaranteed for 1 year from date of receipt.

Customers Who Viewed This Item Also Viewed...

NB600-844
Species: Ch, Hu, Mu, Rb, Rt
Applications: ICC/IF, IHC, IHC-Fr,  IHC-P, Simple Western, WB
NBP1-89946
Species: Hu
Applications: ICC/IF, IHC,  IHC-P
MAB1417
Species: Bv, Hu, Mu
Applications: ICC, IHC
NB500-106
Species: Ch, Dr, Fi, Hu, Mar, Mu, Po, Pm, Rb, Rt, Ye, Ze
Applications: ChIP, ChIP, ELISA, Flow, ICC/IF, IHC-FrFl, IHC, IHC-Fr,  IHC-P, IP, Simple Western, WB
NB200-540
Species: Ec, Mu
Applications: CyTOF-ready, Flow-IC, Flow, IA, ICC/IF, IHC, IHC-Fr,  IHC-P, IP
NB100-689
Species: Hu, Rt
Applications: IHC, IHC-Fr,  IHC-P, Simple Western, WB
NB100-1533
Species: Hu, Mu, Po, Rt, Sh
Applications: Flow, ICC/IF, IHC,  IHC-P, PEP-ELISA, WB
AF1329
Species: Hu, Mu, Rt
Applications: ChIP, CyTOF-ready, ICC, IHC, ICFlow, Simple Western, WB
NB300-605
Species: Hu, Mu, Po, Rt
Applications: Flow, IB, ICC/IF, IHC, IHC-Fr,  IHC-P, In vitro, WB
NBP2-39019
Species: Hu
Applications: ICC/IF, IHC,  IHC-P, WB
NBP2-82073
Species: Hu
Applications: ELISA, ICC/IF, IHC,  IHC-P, WB
NB100-91662
Species: Hu, Mu, Rt
Applications: Flow, ICC/IF, IHC,  IHC-P, Simple Western, WB
DLP00
Species: Hu
Applications: ELISA
NBP1-89692
Species: Hu, Mu, Rt
Applications: ICC/IF, IHC,  IHC-P, KD, WB
NBP1-89296
Species: Hu
Applications: IHC,  IHC-P, WB

Publications for ACF Antibody (NBP2-33412) (0)

There are no publications for ACF Antibody (NBP2-33412).
By submitting your publication information earn gift cards and discounts for future purchases.

Reviews for ACF Antibody (NBP2-33412) (0)

There are no reviews for ACF Antibody (NBP2-33412). By submitting a review you will receive an Amazon e-Gift Card or Novus Product Discount.
  • Review with no image -- $10/€7/£6/$10 CAD/¥70 Yuan/¥1110 Yen
  • Review with an image -- $25/€18/£15/$25 CAD/¥150 Yuan/¥2500 Yen

Product General Protocols

Find general support by application which include: protocols, troubleshooting, illustrated assays, videos and webinars.

Video Protocols

ICC/IF Video Protocol

FAQs for ACF Antibody (NBP2-33412) (0)

There are no specific FAQs related to this product. Read our general customer & technical service FAQs.

Contact Information

Product PDFs

Calculators

Concentration Calculator

The concentration calculator allows you to quickly calculate the volume, mass or concentration of your vial. Simply enter your mass, volume, or concentration values for your reagent and the calculator will determine the rest.

=
÷

Review this Product

Be the first to review our ACF Antibody and receive a gift card or discount.

Bioinformatics

Gene Symbol A1CF
Uniprot