ABCF1 Antibody (SN07-12)

Images

 
Western Blot: ABCF1 Antibody (SN07-12) [NBP2-67698] - Analysis of ABCF1 on different lysates. Proteins were transferred to a PVDF membrane and blocked with 5% BSA in PBS for 1 hour at room temperature. The primary ...read more
Immunocytochemistry/ Immunofluorescence: ABCF1 Antibody (SN07-12) [NBP2-67698] - ICC staining ABCF1 in PC-3M cells (green). The nuclear counter stain is DAPI (blue). Cells were fixed in paraformaldehyde, permeabilized ...read more
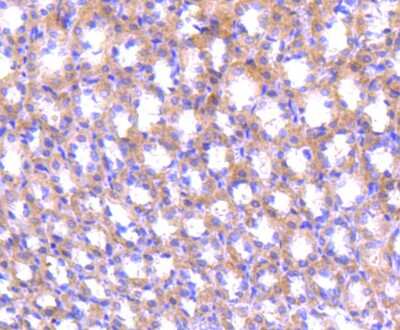
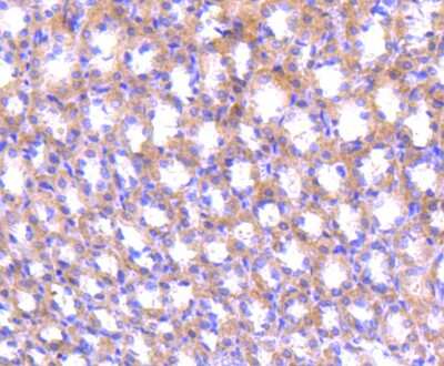
Immunohistochemistry-Paraffin: ABCF1 Antibody (SN07-12) [NBP2-67698] - Analysis of paraffin-embedded human stomach tissue using anti-ABCF1 antibody. The section was pre-treated using heat mediated antigen retrieval with ...read more
Western Blot: ABCF1 Antibody (SN07-12) [NBP2-67698] - Analysis of ABCF1 on Hela lysates using anti-ABCF1 antibody at 1/1,000 dilution.
Immunocytochemistry/ Immunofluorescence: ABCF1 Antibody (SN07-12) [NBP2-67698] - Staining ABCF1 in Hela cells (green). The nuclear counter stain is DAPI (blue). Cells were fixed in paraformaldehyde, permeabilised with ...read more
Immunocytochemistry/ Immunofluorescence: ABCF1 Antibody (SN07-12) [NBP2-67698] - Staining ABCF1 in HepG2 cells (green). The nuclear counter stain is DAPI (blue). Cells were fixed in paraformaldehyde, permeabilised with ...read more
Immunohistochemistry-Paraffin: ABCF1 Antibody (SN07-12) [NBP2-67698] - Analysis of paraffin-embedded human colon cancer tissue using anti-ABCF1 antibody. Counter stained with hematoxylin.
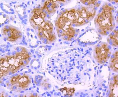
Immunohistochemistry-Paraffin: ABCF1 Antibody (SN07-12) [NBP2-67698] - Analysis of paraffin-embedded human kidney tissue using anti-ABCF1 antibody. Counter stained with hematoxylin.
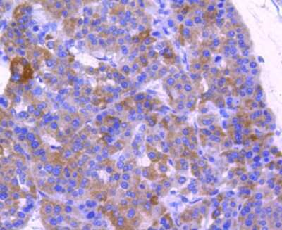
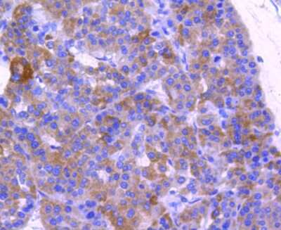
Immunohistochemistry-Paraffin: ABCF1 Antibody (SN07-12) [NBP2-67698] - Analysis of paraffin-embedded human liver cancer tissue using anti-ABCF1 antibody. Counter stained with hematoxylin.
Immunohistochemistry-Paraffin: ABCF1 Antibody (SN07-12) [NBP2-67698] - Analysis of paraffin-embedded rat stomach tissue using anti-ABCF1 antibody. Counter stained with hematoxylin.
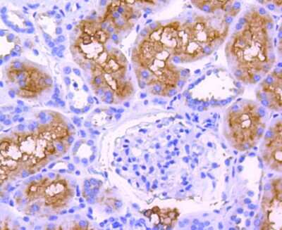
Immunohistochemistry-Paraffin: ABCF1 Antibody (SN07-12) [NBP2-67698] - Analysis of paraffin-embedded rat kidney tissue using anti-ABCF1 antibody. The section was pre-treated using heat mediated antigen retrieval with ...read more
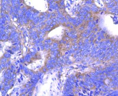
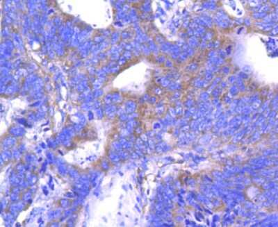
Immunohistochemistry-Paraffin: ABCF1 Antibody (SN07-12) [NBP2-67698] - Analysis of paraffin-embedded human prostate tissue using anti-ABCF1 antibody. The section was pre-treated using heat mediated antigen retrieval ...read more

Product Details

Summary
Product Discontinued
View other related ABCF1 Primary Antibodies

Order Details


    • Catalog Number
      NBP2-67698
    • Availability
      Product Discontinued

    Can't find what you are looking for? Use our Antibody Concierge Service & we will help you locate your antibody!

    Or feel free to contact us for alternative products.

ABCF1 Antibody (SN07-12) Summary

Additional Information
Recombinant Monoclonal Antibody.
Immunogen
Synthetic peptide within Human ABCF1 aa 796-845 / 845. (SwissProt: Q8NE71 Human; SwissProt: Q6MG08 Rat)
Localization
Cytoplasm, Nucleus.
Isotype
IgG
Clonality
Monoclonal
Host
Rabbit
Gene
ABCF1
Purity
Protein A purified
Innovator's Reward
Test in a species/application not listed above to receive a full credit towards a future purchase.

Applications/Dilutions

Dilutions
  • Immunocytochemistry/ Immunofluorescence 1:100-1:500
  • Immunohistochemistry
  • Immunohistochemistry-Paraffin 1:50-1:400
  • Western Blot 1:1000-1:2000

Packaging, Storage & Formulations

Storage
Store at 4C short term. Aliquot and store at -20C long term. Avoid freeze-thaw cycles.
Buffer
TBS (pH7.4), 0.05% BSA, 40% Glycerol
Preservative
0.05% Sodium Azide
Concentration
1 mg/ml
Purity
Protein A purified

Alternate Names for ABCF1 Antibody (SN07-12)

  • ABC27
  • ABC50TNFalpha-inducible ATP-binding protein
  • ATP-binding cassette 50 (TNF-alpha stimulated)
  • ATP-binding cassette 50
  • ATP-binding cassette sub-family F member 1
  • ATP-binding cassette, sub-family F (GCN20), member 1
  • EC 2.7.7.6
  • EC 3.6.3.17
  • EST123147
  • TNF-alpha-stimulated ABC protein

Background

ABCF1 is encoded by this gene is a member of the superfamily of ATP-binding cassette (ABC) transporters. ABC proteins transport various molecules across extra- and intra-cellular membranes. ABC genes are divided into seven distinct subfamilies (ABC1, MDR/TAP, MRP, ALD, OABP, GCN20, White). This protein is a member of the GCN20 subfamily. Unlike other members of the superfamily, this protein lacks the transmembrane domains which are characteristic of most ABC transporters. This protein may be regulated by tumor necrosis factor-alpha and play a role in enhancement of protein synthesis and the inflammation process. [provided by RefSeq]

Limitations

This product is for research use only and is not approved for use in humans or in clinical diagnosis. Primary Antibodies are guaranteed for 1 year from date of receipt.

Customers Who Viewed This Item Also Viewed...

NBP3-41339
Species: Hu, Mu, Rt
Applications: IHC,  IHC-P, WB
NBP3-42023
Species: Hu
Applications: IHC,  IHC-P, WB
NB100-1471
Species: Hu, Mu, Rt
Applications: ICC/IF, IHC, IHC-Fr,  IHC-P, PEP-ELISA, WB
NB400-156
Species: Hu, Mu, Rt
Applications: CyTOF-ready, Dual ISH-IHC, ELISA, Flow, ICC/IF, IHC, IP, Simple Western, WB
H00006890-M04
Species: Hu
Applications: ELISA, Flow, ICC/IF, WB
NBP2-93797
Species: Hu, Mu, Rt
Applications: ELISA, ICC/IF, IHC,  IHC-P, WB
NB400-116
Species: Hu, Pm
Applications: ICC/IF, IP, WB
NBP1-20863
Species: Hu
Applications: IHC,  IHC-P, IP, PEP-ELISA, WB
NB400-115
Species: Hu, Mu, Ye
Applications: ICC/IF, KD, Simple Western, WB
NB400-163
Species: Mu
Applications: Flow, IHC,  IHC-P, WB
NBP2-46476
Species: Hu, Mu, Rt
Applications: IHC,  IHC-P, KD, KO, WB
NBP1-77687
Species: Hu, Mu
Applications: ICC/IF, IHC,  IHC-P, WB
NBP1-30032
Species: Bv, Ca, Fe, Hu, Mu, Xp
Applications: ICC/IF, IHC, IHC-Fr, KO, WB
NBP1-84781
Species: Hu
Applications: ICC/IF, IHC,  IHC-P, WB
H00009533-M01
Species: Hu
Applications: ELISA, ICC/IF, IHC,  IHC-P, WB
NBP2-37923
Species: Hu
Applications: ICC/IF, IHC,  IHC-P
NBP1-82655
Species: Hu
Applications: ICC/IF, IHC,  IHC-P, WB
NBP2-67698
Species: Hu, Rt
Applications: WB, ICC/IF, IHC

Publications for ABCF1 Antibody (NBP2-67698) (0)

There are no publications for ABCF1 Antibody (NBP2-67698).
By submitting your publication information earn gift cards and discounts for future purchases.

Reviews for ABCF1 Antibody (NBP2-67698) (0)

There are no reviews for ABCF1 Antibody (NBP2-67698). By submitting a review you will receive an Amazon e-Gift Card or Novus Product Discount.
  • Review with no image -- $10/€7/£6/$10 CAD/¥70 Yuan/¥1110 Yen
  • Review with an image -- $25/€18/£15/$25 CAD/¥150 Yuan/¥2500 Yen

Product General Protocols

Find general support by application which include: protocols, troubleshooting, illustrated assays, videos and webinars.

Video Protocols

WB Video Protocol
ICC/IF Video Protocol

FAQs for ABCF1 Antibody (NBP2-67698) (0)

There are no specific FAQs related to this product. Read our general customer & technical service FAQs.

Secondary Antibodies

 

Isotype Controls

Additional ABCF1 Products

Research Areas for ABCF1 Antibody (NBP2-67698)

Find related products by research area.

Blogs on ABCF1

There are no specific blogs for ABCF1, but you can read our latest blog posts.

Contact Information

Product PDFs

Calculators

Concentration Calculator

The concentration calculator allows you to quickly calculate the volume, mass or concentration of your vial. Simply enter your mass, volume, or concentration values for your reagent and the calculator will determine the rest.

=
÷

Review this Product

Be the first to review our ABCF1 Antibody (SN07-12) and receive a gift card or discount.

Bioinformatics

Gene Symbol ABCF1