ABCB5 Antibody (CL13618) - Azide and BSA Free

Images

 
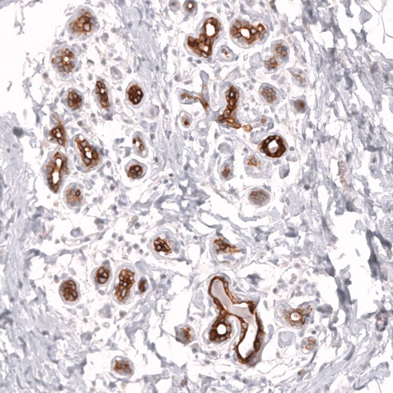
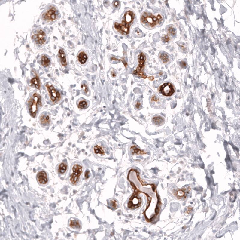
Staining of human breast shows strong membranous positivity in glandular cells.
Orthogonal Strategies: Analysis in human epididymis and tonsil tissues using NBP3-44328 antibody. Corresponding ABCB5 RNA-seq data are presented for the same tissues.
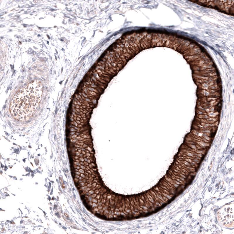
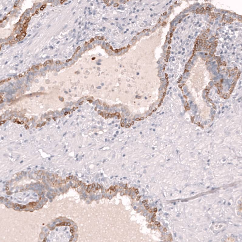
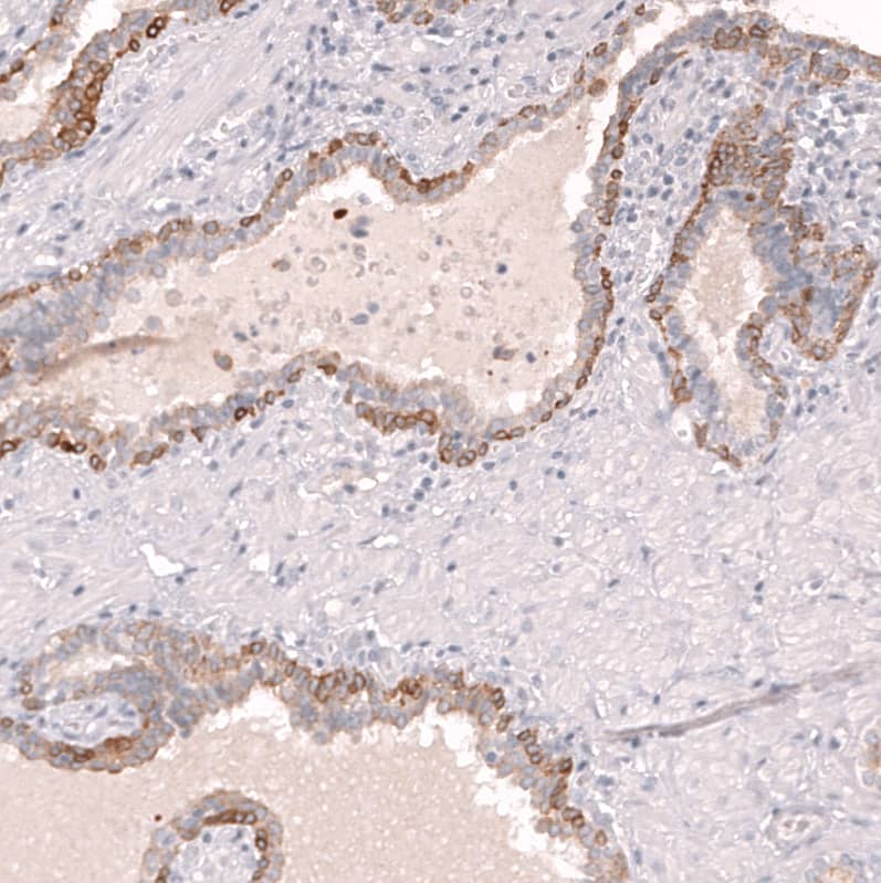
Staining of human epididymis shows strong membranous positivity in glandular cells.
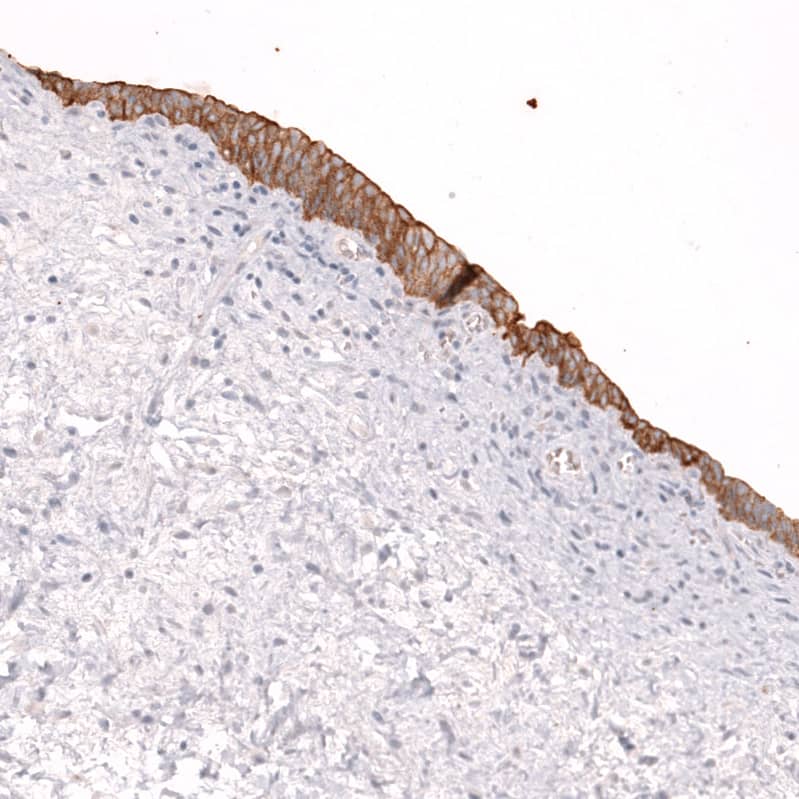
Staining of human eye retina shows strong positivity in the nerve fiber layer.
Staining of human prostate shows moderate membranous positivity in the basal layer of glandular cells.
Staining of human tonsil shows no positivity in lymphoid cells as expected.
Staining of human urinary bladder shows moderate membranous positivity in urothelial cells.

Product Details

Summary
Reactivity HuSpecies Glossary
Applications IHC
Clone
CL13618
Clonality
Monoclonal
Host
Mouse
Conjugate
Unconjugated
Format
Azide and BSA Free
Concentration
LYOPH
Validated by:
       

Orthogonal Strategies

 

Order Details

ABCB5 Antibody (CL13618) - Azide and BSA Free Summary

Description
Novus Biologicals Mouse ABCB5 Antibody (CL13618) - Azide and BSA Free (NBP3-43642) is a monoclonal antibody validated for use in IHC. All Novus Biologicals antibodies are covered by our 100% guarantee.
Immunogen
This antibody was generated using a synthetic peptide of Q2M3G0, with the exact immunogen sequence remaining proprietary.
Isotype
IgG1
Clonality
Monoclonal
Host
Mouse
Gene
ABCB5
Purity
Protein A purified
Innovator's Reward
Test in a species/application not listed above to receive a full credit towards a future purchase.

Applications/Dilutions

Dilutions
  • Immunohistochemistry-Paraffin 1:1000 - 1:2500
Application Notes
For IHC-Paraffin, HIER pH 6 retrieval is recommended.

Packaging, Storage & Formulations

Storage
Store at 4C short term. Aliquot and store at -20C long term. Avoid freeze-thaw cycles.
Buffer
Lyophilized from a 0.2 um filtered solution in PBS with Trehalose
Preservative
No Preservative
Concentration
LYOPH
Purity
Protein A purified
Reconstitution Instructions
Centrifuge the vial of lyophilized antibody at 12,000 x g for 20 seconds. Reconstitute by adding sterile, distilled water to achieve a final antibody concentration of 1mg/ml.

Alternate Names for ABCB5 Antibody (CL13618) - Azide and BSA Free

  • ABCB5 P-gp
  • ABCB5
  • ABCB5alpha
  • ABCB5beta
  • ATP-binding cassette protein
  • ATP-binding cassette sub-family B member 5
  • ATP-binding cassette, sub-family B (MDR/TAP), member 5
  • EC 3.6.3
  • EC 3.6.3.44
  • EST422562
  • P-glycoprotein ABCB5

Background

ATP-Binding Cassette proteins comprise a superfamily of transporters with a wide variety of substrates. ABCB5 is a novel member of the human P-glycoprotein family. It functions as a determinant of membrane potential and regulator of cell fusion in physiologic skin progenitor cells. Cell fusion is thought to contribute to tissue differentiation. ABCB5 is predominantly expressed in melanoma cells and is a novel molecular marker for a distinct subset of chemoresistant stem cell phenotype-expressing tumor cells among human epidermal melanocytes. It has been identified as a novel drug transporter in human malignant melanoma. ABCB5 is a rhodamine efflux transporter. This antibody product is intended to be used to confirm cellular localization and expression level of ABCB5.

Limitations

This product is for research use only and is not approved for use in humans or in clinical diagnosis. Primary Antibodies are guaranteed for 1 year from date of receipt.

Customers Who Viewed This Item Also Viewed...

NBP3-41339
Species: Hu, Mu, Rt
Applications: IHC,  IHC-P, WB
NB400-105
Species: Ca, Ch, ChHa, Eq, Ha, Hu, Mu, Md, Po, Pm, Rb, Rt
Applications: B/N, ChIP, ChIP, Dual ISH-IHC, ELISA, Flow, GS, GS, IB, ICC/IF, IHC, IHC-Fr,  IHC-P, IP, KD, KO, PCR, Simple Western, WB
NBP2-52979
Species: Hu, Mu
Applications: Flow, ICC/IF, IHC,  IHC-P, WB
NBP2-45570
Species: Hu, Mu, Rt
Applications: Flow, IHC,  IHC-P, WB
AF6457
Species: Hu
Applications: WB
NBP1-89342
Species: Hu, Mu
Applications: ICC/IF, IHC,  IHC-P, IP, WB
NBP2-45946
Species: Ca, Hu, Pm, Mu, Rt
Applications: ICC/IF, IHC,  IHC-P, WB
NBP2-67667
Species: Hu, Mu, Rt
Applications: ICC/IF, IHC, IHC-Fr,  IHC-P, WB
NBP2-22124
Species: Hu, Mu, Pm
Applications: ELISA, Flow, ICC/IF, IHC,  IHC-P, WB
NB400-156
Species: Hu, Mu, Rt
Applications: CyTOF-ready, Dual ISH-IHC, ELISA, Flow, ICC/IF, IHC, IP, Simple Western, WB
NBP2-59320
Species: Ha, Hu, Mu, Rt
Applications: ICC/IF, IHC, WB
NB100-524
Species: Hu, Mu
Applications: Flow-IC, Flow, ICC/IF, IHC, IHC-Fr,  IHC-P, IP, WB
NBP2-79843
Species: Hu
Applications: CyTOF-ready, ELISA, Flow, ICC/IF, IHC,  IHC-P, PA, WB
7268-CT
Species: Hu
Applications: BA
NB120-16518
Species: Hu, Mu, Po, Rt
Applications: ChIP, ELISA, Flow, ICC/IF, IHC, IHC-Fr,  IHC-P, WB
NBP1-69023
Species: Mu
Applications: WB
NBP2-76944
Species: Hu, Mu, Rt
Applications: ICC/IF, IHC,  IHC-P, WB

Publications for ABCB5 Antibody (NBP3-44328) (0)

There are no publications for ABCB5 Antibody (NBP3-44328).
By submitting your publication information earn gift cards and discounts for future purchases.

Reviews for ABCB5 Antibody (NBP3-44328) (0)

There are no reviews for ABCB5 Antibody (NBP3-44328). By submitting a review you will receive an Amazon e-Gift Card or Novus Product Discount.
  • Review with no image -- $10/€7/£6/$10 CAD/¥70 Yuan/¥1110 Yen
  • Review with an image -- $25/€18/£15/$25 CAD/¥150 Yuan/¥2500 Yen

Product General Protocols

Find general support by application which include: protocols, troubleshooting, illustrated assays, videos and webinars.

FAQs for ABCB5 Antibody (NBP3-44328) (0)

There are no specific FAQs related to this product. Read our general customer & technical service FAQs.

Secondary Antibodies

 

Isotype Controls

Additional ABCB5 Products

Array NBP3-44328

Research Areas for ABCB5 Antibody (NBP3-44328)

Find related products by research area.

Blogs on ABCB5

There are no specific blogs for ABCB5, but you can read our latest blog posts.

Customers Who Bought This Also Bought

Contact Information

Product PDFs

Calculators

Concentration Calculator

The concentration calculator allows you to quickly calculate the volume, mass or concentration of your vial. Simply enter your mass, volume, or concentration values for your reagent and the calculator will determine the rest.

=
÷

Review this Product

Be the first to review our ABCB5 Antibody (CL13618) - Azide and BSA Free and receive a gift card or discount.

Bioinformatics

Gene Symbol ABCB5