ZNF267 Antibody - BSA Free

Images

 
Western Blot: ZNF267 Antibody [NBP1-81633] - Lane 1: Marker [kDa] 230, 110, 82, 49, 32, 26, 18Lane 2: Human cell line RT-4Lane 3: Human cell line U-251MG sp
Immunocytochemistry/ Immunofluorescence: ZNF267 Antibody [NBP1-81633] - Staining of human cell line U-251 MG shows localization to nucleoplasm. Antibody staining is shown in green.
Immunohistochemistry-Paraffin: ZNF267 Antibody [NBP1-81633] - Staining of human rectum shows weak membranous positivity in glandular cells.
Immunohistochemistry-Paraffin: ZNF267 Antibody [NBP1-81633] - Staining of human kidney shows moderate membranous positivity in cells in glomeruli.
Immunohistochemistry-Paraffin: ZNF267 Antibody [NBP1-81633] - Staining of human lymphoid tissues shows weak cytoplasmic positivity in germinal center cells.
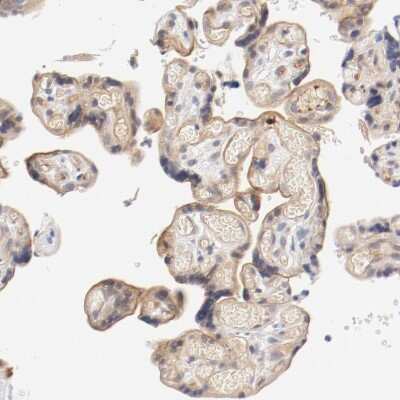
Immunohistochemistry-Paraffin: ZNF267 Antibody [NBP1-81633] - Staining of human placenta shows weak membranous positivity in trophoblastic cells.

Product Details

Summary
Reactivity HuSpecies Glossary
Applications WB, ICC/IF, IHC
Clonality
Polyclonal
Host
Rabbit
Conjugate
Unconjugated
Format
BSA Free

Order Details

View Available Formulations
Catalog# & Formulation Size Price

ZNF267 Antibody - BSA Free Summary

Description
Novus Biologicals Rabbit ZNF267 Antibody - BSA Free (NBP1-81633) is a polyclonal antibody validated for use in IHC, WB and ICC/IF. All Novus Biologicals antibodies are covered by our 100% guarantee.
Immunogen
This antibody was developed against Recombinant Protein corresponding to amino acids: WKREECEGHNGCYDEKTFKYDQFDESSVESLFHQQILSSCAKSYNFDQYRKVFTHSSLLNQQEEIDIWGKHHIYDKTSVLFRQVSTLNSYRNVFIGEKNYHCNNSEKTLNQSSSP
Isotype
IgG
Clonality
Polyclonal
Host
Rabbit
Gene
ZNF267
Purity
Immunogen affinity purified
Innovator's Reward
Test in a species/application not listed above to receive a full credit towards a future purchase.

Applications/Dilutions

Dilutions
  • Immunocytochemistry/ Immunofluorescence 0.25-2 ug/ml
  • Immunohistochemistry 1:50 - 1:200
  • Immunohistochemistry-Paraffin 1:50 - 1:200
  • Western Blot 0.04-0.4 ug/ml
Application Notes
For IHC-Paraffin, HIER pH 6 retrieval is recommended. ICC/IF Fixation Permeabilization: Use PFA/Triton X-100.
Control Peptide
ZNF267 Protein (NBP1-81633PEP)

Packaging, Storage & Formulations

Storage
Store at 4C short term. Aliquot and store at -20C long term. Avoid freeze-thaw cycles.
Buffer
PBS (pH 7.2) and 40% Glycerol
Preservative
0.02% Sodium Azide
Purity
Immunogen affinity purified

Alternate Names for ZNF267 Antibody - BSA Free

  • Zinc finger and SCAN domain-containing protein 19
  • zinc finger protein 449
  • ZSCAN19FLJ23614

Background

ZNF267 may be involved in transcriptional regulation.

Limitations

This product is for research use only and is not approved for use in humans or in clinical diagnosis. Primary Antibodies are guaranteed for 1 year from date of receipt.

Customers Who Viewed This Item Also Viewed...

NBP2-13980
Species: Hu
Applications: ICC/IF, IHC,  IHC-P, WB
DM1000
Species: Hu
Applications: ELISA
NBP1-80912
Species: Hu
Applications: ICC/IF, IHC,  IHC-P, WB
NBP2-19533
Species: Hu, Mu, Rt
Applications: ICC/IF, IHC,  IHC-P, WB
NBP2-02136
Species: Hu, Mu, Rt
Applications: Flow, ICC/IF, IHC,  IHC-P, WB
NBP1-33094
Species: Hu
Applications: IHC,  IHC-P, WB
AF2128
Species: Mu
Applications: IHC, WB
AF7284
Species: Hu, Mu, Rt
Applications: IHC, WB
NBP2-47525
Species: Hu
Applications: IHC,  IHC-P, WB
NB100-317
Species: Hu, Mu, Rt
Applications: ChIP, ChIP, Flow, ICC/IF, IHC,  IHC-P, IP, WB
NBP1-86745
Species: Hu, Mu, Rt
Applications: IHC,  IHC-P, WB
NBP1-86636
Species: Hu, Rt
Applications: ICC/IF, IHC,  IHC-P, WB
NBP3-23849
Species: Hu
Applications: Flow, ICC/IF,  IHC-P
NBP2-14081
Species: Hu
Applications: ICC/IF, IHC,  IHC-P
NBP3-45485
Species: Hu, Mu, Rt
Applications: ELISA, IHC, WB
NB100-858
Species: Gp, Hu, Mu, Rt
Applications: Flow, ICC/IF, IHC-WhMt, IHC, IHC-Fr,  IHC-P, PEP-ELISA, WB
NB300-605
Species: Hu, Mu, Po, Rt
Applications: Flow, IB, ICC/IF, IHC, IHC-Fr,  IHC-P, In vitro, WB
NBP1-81633
Species: Hu
Applications: WB, ICC/IF, IHC

Publications for ZNF267 Antibody (NBP1-81633) (0)

There are no publications for ZNF267 Antibody (NBP1-81633).
By submitting your publication information earn gift cards and discounts for future purchases.

Reviews for ZNF267 Antibody (NBP1-81633) (0)

There are no reviews for ZNF267 Antibody (NBP1-81633). By submitting a review you will receive an Amazon e-Gift Card or Novus Product Discount.
  • Review with no image -- $10/€7/£6/$10 CAD/¥70 Yuan/¥1110 Yen
  • Review with an image -- $25/€18/£15/$25 CAD/¥150 Yuan/¥2500 Yen

Product General Protocols

Find general support by application which include: protocols, troubleshooting, illustrated assays, videos and webinars.

Video Protocols

WB Video Protocol
ICC/IF Video Protocol

FAQs for ZNF267 Antibody (NBP1-81633) (0)

There are no specific FAQs related to this product. Read our general customer & technical service FAQs.

Customers Who Bought This Also Bought

Contact Information

Product PDFs

Calculators

Concentration Calculator

The concentration calculator allows you to quickly calculate the volume, mass or concentration of your vial. Simply enter your mass, volume, or concentration values for your reagent and the calculator will determine the rest.

=
÷

Review this Product

Be the first to review our ZNF267 Antibody - BSA Free and receive a gift card or discount.

Bioinformatics

Gene Symbol ZNF267