ZNF185 Antibody - BSA Free

Images

 
Immunohistochemistry analysis in human epididymis and pancreas tissues using HPA000400 antibody. Corresponding ZNF185 RNA-seq data are presented for the same tissues.
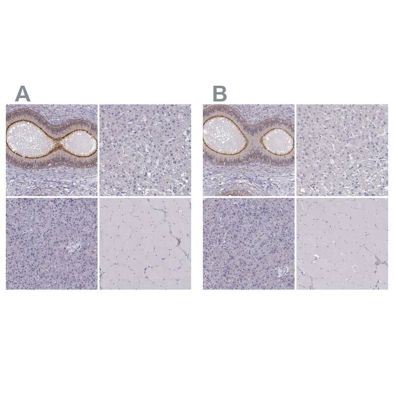
Independent Antibodies: Staining of human epididymis, liver, pancreas and skeletal muscle using Anti-ZNF185 antibody NBP1-86192 (A) shows similar protein distribution across tissues to independent antibody ...read more
Staining of human epididymis shows strong membranous positivity in glandular cells.
Staining of human liver shows no positivity in hepatocytes as expected.
Staining of human pancreas shows no positivity in exocrine glandular cells as expected.
Staining of human skeletal muscle shows no positivity in myocytes as expected.

Product Details

Summary
Reactivity HuSpecies Glossary
Applications IHC
Clonality
Polyclonal
Host
Rabbit
Conjugate
Unconjugated
Format
BSA Free
Validated by:
 

Independent Antibodies

       

Order Details

View Available Formulations
Catalog# & Formulation Size Price

ZNF185 Antibody - BSA Free Summary

Description
Novus Biologicals Rabbit ZNF185 Antibody - BSA Free (NBP1-86192) is a polyclonal antibody validated for use in IHC. Anti-ZNF185 Antibody: Cited in 1 publication. All Novus Biologicals antibodies are covered by our 100% guarantee.
Immunogen
This antibody was developed against Recombinant Protein corresponding to amino acids: PADPSTPEQQNSPSGSEQFVRRESCTSRVRSPSSCMVTVTVTATSEQPHIYIPAPASELDSSSTTKGILFVKEYVNASEVSSGKPVSARYSNVSSIEDSFAMEKKPPCGST
Isotype
IgG
Clonality
Polyclonal
Host
Rabbit
Gene
ZNF185
Purity
Affinity purified
Innovator's Reward
Test in a species/application not listed above to receive a full credit towards a future purchase.

Applications/Dilutions

Dilutions
  • Immunohistochemistry 1:50 - 1:200
  • Immunohistochemistry-Paraffin 1:50 - 1:200
Application Notes
For IHC-Paraffin, HIER pH 6 retrieval is recommended.
Control Peptide
ZNF185 Protein (NBP1-86192PEP)
Publications
Read Publication using NBP1-86192.

Packaging, Storage & Formulations

Storage
Store at 4C short term. Aliquot and store at -20C long term. Avoid freeze-thaw cycles.
Buffer
PBS (pH 7.2) and 40% Glycerol
Preservative
0.02% Sodium Azide
Purity
Affinity purified

Alternate Names for ZNF185 Antibody - BSA Free

  • zinc finger protein 185 (LIM domain)

Background

ZNF185 encodes a LIM-domain zinc finger protein. These proteins are thought to be involved in protein-protein interactions.(supplied by OMIM)

Limitations

This product is for research use only and is not approved for use in humans or in clinical diagnosis. Primary Antibodies are guaranteed for 1 year from date of receipt.

Customers Who Viewed This Item Also Viewed...

NBP1-89946
Species: Hu
Applications: ICC/IF, IHC,  IHC-P
NBP2-30949
Species: Hu
Applications: IHC,  IHC-P
NBP2-01863
Species: Hu, Mu
Applications: IHC,  IHC-P, WB
NBP1-81293
Species: Hu
Applications: ICC/IF, IHC,  IHC-P, KD, WB
NBP1-62583
Species: Hu
Applications: WB
NBP2-02450
Species: Hu
Applications: ICC/IF, IHC,  IHC-P, WB
NBP1-97512
Species: Mu
Applications: ICC/IF, IHC, IHC-Fr,  IHC-P, IP, WB
NBP3-47902
Species: Hu, Mu, Rt
Applications: ELISA, IHC, WB
NBP1-32870
Species: Ch, Hu
Applications: IHC,  IHC-P, IP, KD, WB
NBP2-44520
Species: Ca(-), Hu, Rt(-)
Applications: Flow-IC, Flow, ICC/IF, IF, IHC,  IHC-P, MI, WB
NB100-74635
Species: Hu
Applications: IHC,  IHC-P, IP, WB (-)
NBP3-48674
Species: Hu, Mu, Rt, Ze
Applications: ICC/IF, IHC,  IHC-P, WB
AF5866
Species: Hu
Applications: IHC, WB
NBP1-84843
Species: Hu
Applications: ICC/IF, IHC,  IHC-P, WB
AF5738
Species: Hu
Applications: ICC, KO, Simple Western, WB
NBP2-80913
Species: Bv(-), Hu, Mu(-), Pm, Rt(-)
Applications: IHC,  IHC-P, WB
AF1668
Species: Hu
Applications: IP, WB
NBP3-46842
Species: Hu, Mu, Rt
Applications: ELISA, IHC, WB
NBP1-86192
Species: Hu
Applications: IHC

Publications for ZNF185 Antibody (NBP1-86192)(1)

Reviews for ZNF185 Antibody (NBP1-86192) (0)

There are no reviews for ZNF185 Antibody (NBP1-86192). By submitting a review you will receive an Amazon e-Gift Card or Novus Product Discount.
  • Review with no image -- $10/€7/£6/$10 CAD/¥70 Yuan/¥1110 Yen
  • Review with an image -- $25/€18/£15/$25 CAD/¥150 Yuan/¥2500 Yen

Product General Protocols

Find general support by application which include: protocols, troubleshooting, illustrated assays, videos and webinars.

FAQs for ZNF185 Antibody (NBP1-86192) (0)

There are no specific FAQs related to this product. Read our general customer & technical service FAQs.

Customers Who Bought This Also Bought

Contact Information

Product PDFs

Calculators

Concentration Calculator

The concentration calculator allows you to quickly calculate the volume, mass or concentration of your vial. Simply enter your mass, volume, or concentration values for your reagent and the calculator will determine the rest.

=
÷

Review this Product

Be the first to review our ZNF185 Antibody - BSA Free and receive a gift card or discount.

Bioinformatics

Gene Symbol ZNF185