Zinc finger protein 773 Antibody - BSA Free

Images

 
Immunohistochemistry-Paraffin: Zinc finger protein 773 Antibody [NBP1-92616] - Staining of human breast shows moderate cytoplasmic and nuclear positivity in glandular cells.
Staining of human liver shows no positivity as expected.
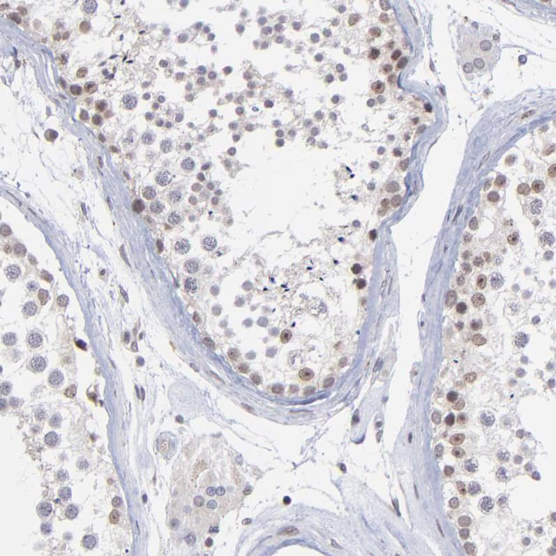
Staining of human testis shows moderate nuclear positivity in a subset of cells in seminiferous ducts.
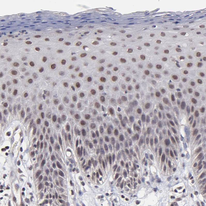
Staining of human skin shows strong nuclear positivity in squamous epithelial cells.
Staining of human cerebellum shows strong nuclear positivity in Purkinje cells.

Product Details

Summary
Reactivity HuSpecies Glossary
Applications IHC
Clonality
Polyclonal
Host
Rabbit
Conjugate
Unconjugated
Format
BSA Free

Order Details

View Available Formulations
Catalog# & Formulation Size Price

Zinc finger protein 773 Antibody - BSA Free Summary

Description
Novus Biologicals Rabbit Zinc finger protein 773 Antibody - BSA Free (NBP1-92616) is a polyclonal antibody validated for use in IHC. All Novus Biologicals antibodies are covered by our 100% guarantee.
Immunogen
This antibody was developed against Recombinant Protein corresponding to amino acids: EITQLESWEEPFMPAWEVVTSAILRGSWQGAKAEAAAEQSASVEVPSSNVQQHQKQHCGEKPLKRQEGRVPVLRSCRVHLSEKSLQSREVGKDLLTSSGVLKHQVTHTGEKSHRSSKSRE
Isotype
IgG
Clonality
Polyclonal
Host
Rabbit
Gene
ZNF773
Purity
Immunogen affinity purified
Innovator's Reward
Test in a species/application not listed above to receive a full credit towards a future purchase.

Applications/Dilutions

Dilutions
  • Immunohistochemistry 1:20 - 1:50
  • Immunohistochemistry-Paraffin 1:20 - 1:50
Application Notes
For IHC-Paraffin, HIER pH 6 retrieval is recommended. Immunocytochemistry/Immunofluorescence Fixation Permeabilization: Use PFA/Triton X-100.
Control Peptide
Zinc finger protein 773 Protein (NBP1-92616PEP)

Packaging, Storage & Formulations

Storage
Store at 4C short term. Aliquot and store at -20C long term. Avoid freeze-thaw cycles.
Buffer
PBS (pH 7.2) and 40% Glycerol
Preservative
0.02% Sodium Azide
Purity
Immunogen affinity purified

Alternate Names for Zinc finger protein 773 Antibody - BSA Free

  • FLJ00301
  • Zinc finger protein 419BMGC4728
  • zinc finger protein 773
  • ZNF419B

Background

Zinc finger protein 773 may be involved in transcriptional regulation

Limitations

This product is for research use only and is not approved for use in humans or in clinical diagnosis. Primary Antibodies are guaranteed for 1 year from date of receipt.

Customers Who Viewed This Item Also Viewed...

NBP1-86094
Species: Hu, Mu, Rt
Applications: ICC/IF, IHC,  IHC-P, WB
H00005696-M01
Species: Hu
Applications: ELISA, ICC/IF, IHC,  IHC-P, IP, WB
NBP2-22356
Species: Hu, Mu
Applications: ICC/IF, IHC,  IHC-P, Simple Western, WB
7027-GT
Species: Hu, Wf
Applications: EnzAct
NBP3-42972
Species: Hu
Applications: ELISA, IHC, WB
AF8355
Species: Hu
Applications: IHC, WB
NBP3-32868
Species: Hu, Mu, Rt
Applications: Flow, ICC/IF, IHC,  IHC-P, WB
NBP1-86471
Species: Hu
Applications: ICC/IF, IHC,  IHC-P
NBP2-46439
Species: Hu, Mu, Rt
Applications: IHC,  IHC-P, WB
NBP1-88219
Species: Hu, Mu
Applications: IHC,  IHC-P, WB
NBP3-47535
Species: Hu
Applications: ELISA, IHC, WB
NBP1-04261
Species: Hu
Applications: ELISA, Flow, ICC/IF, IHC,  IHC-P, WB
NBP1-91780
Species: Hu
Applications: IHC,  IHC-P
NBP1-81143
Species: Hu, Mu, Rt
Applications: IHC,  IHC-P, WB
NBP1-84022
Species: Hu
Applications: ICC/IF, IHC,  IHC-P, WB
H00010488-M01
Species: Hu
Applications: ELISA, IHC,  IHC-P, KD, S-ELISA, WB
NBP2-13419
Species: Hu
Applications: ICC/IF, IHC,  IHC-P, WB
NBP2-15238
Species: Hu, Mu, Rt
Applications: ICC/IF, IHC,  IHC-P, KO, WB
NBP2-03993
Species: Bv, Ca, Hu, Mu, Pm
Applications: WB
NBP2-16756
Species: Hu, Mu, Rt
Applications: ICC/IF, IHC, IHC-Fr,  IHC-P, WB

Publications for Zinc finger protein 773 Antibody (NBP1-92616) (0)

There are no publications for Zinc finger protein 773 Antibody (NBP1-92616).
By submitting your publication information earn gift cards and discounts for future purchases.

Reviews for Zinc finger protein 773 Antibody (NBP1-92616) (0)

There are no reviews for Zinc finger protein 773 Antibody (NBP1-92616). By submitting a review you will receive an Amazon e-Gift Card or Novus Product Discount.
  • Review with no image -- $10/€7/£6/$10 CAD/¥70 Yuan/¥1110 Yen
  • Review with an image -- $25/€18/£15/$25 CAD/¥150 Yuan/¥2500 Yen

Product General Protocols

Find general support by application which include: protocols, troubleshooting, illustrated assays, videos and webinars.

FAQs for Zinc finger protein 773 Antibody (NBP1-92616) (0)

There are no specific FAQs related to this product. Read our general customer & technical service FAQs.

Customers Who Bought This Also Bought

Contact Information

Product PDFs

Calculators

Concentration Calculator

The concentration calculator allows you to quickly calculate the volume, mass or concentration of your vial. Simply enter your mass, volume, or concentration values for your reagent and the calculator will determine the rest.

=
÷

Review this Product

Be the first to review our Zinc finger protein 773 Antibody - BSA Free and receive a gift card or discount.

Bioinformatics

Gene Symbol ZNF773