ZAP70 Antibody (JU08-39)

Images

 
Western Blot: ZAP70 Antibody (JU08-39) [NBP2-75719] - Analysis of ZAP70 on Jurkat cell lysates with Rabbit anti-ZAP70 antibody at 1/500 dilution. Lysates/proteins at 10 ug/Lane. Predicted band size: 70 kDa Observed band ...read more
Immunocytochemistry/ Immunofluorescence: ZAP70 Antibody (JU08-39) [NBP2-75719] - Staining ZAP70 in SH-SY5Y cells (green). The nuclear counter stain is DAPI (blue). Cells were fixed in paraformaldehyde, permeabilised ...read more
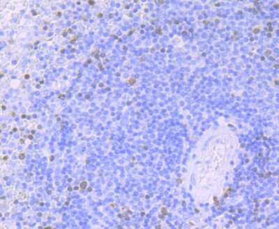
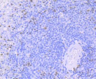
Immunohistochemistry-Paraffin: ZAP70 Antibody (JU08-39) [NBP2-75719] - Analysis of paraffin-embedded human spleen tissue using anti-ZAP70 antibody. Counter stained with hematoxylin.
Flow Cytometry: ZAP70 Antibody (JU08-39) [NBP2-75719] - Analysis of Jurkat cells with ZAP70 antibody at 1/100 dilution (red) compared with an unlabelled control (cells without incubation with primary antibody; black). ...read more
Western Blot: ZAP70 Antibody (JU08-39) [NBP2-75719] - Analysis of ZAP70 on human thymus tissue lysate using anti-ZAP70 antibody at 1/500 dilution.
Immunocytochemistry/ Immunofluorescence: ZAP70 Antibody (JU08-39) [NBP2-75719] - Staining ZAP70 in LOVO cells (green). The nuclear counter stain is DAPI (blue). Cells were fixed in paraformaldehyde, permeabilised with ...read more
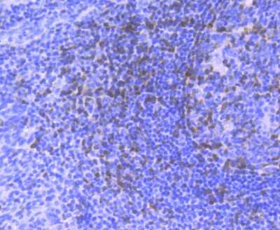
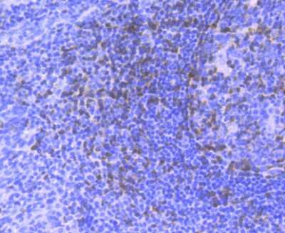
Immunohistochemistry-Paraffin: ZAP70 Antibody (JU08-39) [NBP2-75719] - Analysis of paraffin-embedded human tonsil tissue using anti-ZAP70 antibody. Counter stained with hematoxylin.

Product Details

Summary
Product Discontinued
View other related ZAP70 Primary Antibodies

Order Details


    • Catalog Number
      NBP2-75719
    • Availability
      Product Discontinued

    Can't find what you are looking for? Use our Antibody Concierge Service & we will help you locate your antibody!

    Or feel free to contact us for alternative products.

ZAP70 Antibody (JU08-39) Summary

Additional Information
Recombinant Monoclonal Antibody.
Immunogen
Synthetic peptide within Human ZAP70 aa 570-619 / 619. (SwissProt: P43403 Human)
Localization
Cytoplasm. Cell membrane.
Isotype
IgG
Clonality
Monoclonal
Host
Rabbit
Gene
ZAP70
Purity
Protein A purified
Innovator's Reward
Test in a species/application not listed above to receive a full credit towards a future purchase.

Applications/Dilutions

Dilutions
  • Flow Cytometry 1:50-1:100
  • Immunocytochemistry/ Immunofluorescence 1:50-1:200
  • Immunohistochemistry
  • Immunohistochemistry-Paraffin 1:50-1:200
  • Immunoprecipitation 1:10-1:50
  • Western Blot 1:500-1:1000
Theoretical MW
70 kDa.
Disclaimer note: The observed molecular weight of the protein may vary from the listed predicted molecular weight due to post translational modifications, post translation cleavages, relative charges, and other experimental factors.

Packaging, Storage & Formulations

Storage
Store at 4C short term. Aliquot and store at -20C long term. Avoid freeze-thaw cycles.
Buffer
TBS (pH7.4), 0.05% BSA, 40% Glycerol
Preservative
0.05% Sodium Azide
Concentration
1 mg/ml
Purity
Protein A purified

Alternate Names for ZAP70 Antibody (JU08-39)

  • 70 kDa zeta-associated protein
  • EC 2.7.10
  • EC 2.7.10.2
  • mrtle
  • mur
  • SRK
  • SRKFLJ17679
  • STD
  • STDFLJ17670
  • Syk-related tyrosine kinase
  • tyrosine-protein kinase ZAP-70
  • TZK
  • ZAP70
  • ZAP-70
  • zeta-chain (TCR) associated protein kinase (70 kD)
  • zeta-chain (TCR) associated protein kinase 70kDa
  • zeta-chain associated protein kinase, 70kD

Background

Zap-70, a Syk-family protein tyrosine kinase, plays a critical role in mediating T cell signal transduction in response to T cell receptor (TCR) activation (1). TCR-mediated activation of the Src-family kinases, Lck and Fyn, results in tyrosine phosphorylation of the TCR zeta and CD3 chains. These domains serve as targets for binding of ZAP-70 via its tandem SH2 domains. This binding correlates with activation of ZAP-70, a critical event in T cell activation (2). Following TCR engagement, ZAP-70 is phosphorylated on several tyrosine residues, presumably by two mechanisms: an autophosphorylation and a trans-phosphorylation by the Src-family tyrosine kinase, Lck. Phosphorylation of Tyr319 is required for full activation and increased positive downstream regulation by ZAP-70 (3).

Limitations

This product is for research use only and is not approved for use in humans or in clinical diagnosis. Primary Antibodies are guaranteed for 1 year from date of receipt.

Customers Who Viewed This Item Also Viewed...

MAB7500
Species: Hu
Applications: ICC, WB
NB600-1441
Species: Ca, Hu, Mu, Po
Applications: Flow, ICC/IF, IHC, IHC-Fr,  IHC-P, KD
202-IL
Species: Hu
Applications: BA
NBP2-25265
Species: Hu, Mu
Applications: ICC/IF, IHC, IHC-Fr,  IHC-P, Simple Western, WB
NBP1-32945
Species: Hu, Mu, Rt
Applications: ICC/IF, IHC,  IHC-P, IP, WB
NBP2-27104
Species: Hu, Mu, Pm
Applications: IHC,  IHC-P, WB
NBP1-19371
Species: Ca, Hu, Mu, Po, Rb, Rt
Applications: Dual ISH-IHC, Flow, ICC/IF, IHC, IHC-Fr,  IHC-P, Simple Western, WB
7268-CT
Species: Hu
Applications: BA
NB100-796
Species: Hu
Applications: IHC,  IHC-P, PEP-ELISA, WB
NBP1-92440
Species: Hu
Applications: IHC,  IHC-P
AF2685
Species: Hu
Applications: IHC, Simple Western, WB
NB500-517
Species: Hu, Mu
Applications: ICC/IF, IHC,  IHC-P, IP, WB
AF1230
Species: Hu, Mu, Rt
Applications: IHC, KO, WB
NB100-524
Species: Hu, Mu
Applications: Flow-IC, Flow, ICC/IF, IHC, IHC-Fr,  IHC-P, IP, WB
NBP2-79843
Species: Hu
Applications: CyTOF-ready, ELISA, Flow, ICC/IF, IHC,  IHC-P, PA, WB
MAB37861
Species: Hu
Applications: ICC, Simple Western, WB
MAB6210
Species: Hu
Applications: Simple Western, WB
NBP1-49045
Species: Mu, Rt
Applications: Cell Depl, CyTOF-ready, Flow, ICC/IF, IHC, IHC-Fr,  IHC-P, IP, InhibTFunc
MAB7474
Species: Hu
Applications: ICC, Simple Western, WB
NBP2-37574
Species: Hu, Mu, Rt
Applications: ELISA, Flow, ICC/IF, IHC,  IHC-P, WB

Publications for ZAP70 Antibody (NBP2-75719) (0)

There are no publications for ZAP70 Antibody (NBP2-75719).
By submitting your publication information earn gift cards and discounts for future purchases.

Reviews for ZAP70 Antibody (NBP2-75719) (0)

There are no reviews for ZAP70 Antibody (NBP2-75719). By submitting a review you will receive an Amazon e-Gift Card or Novus Product Discount.
  • Review with no image -- $10/€7/£6/$10 CAD/¥70 Yuan/¥1110 Yen
  • Review with an image -- $25/€18/£15/$25 CAD/¥150 Yuan/¥2500 Yen

Product General Protocols

Video Protocols

WB Video Protocol
ICC/IF Video Protocol

FAQs for ZAP70 Antibody (NBP2-75719) (0)

There are no specific FAQs related to this product. Read our general customer & technical service FAQs.

Contact Information

Product PDFs

Calculators

Concentration Calculator

The concentration calculator allows you to quickly calculate the volume, mass or concentration of your vial. Simply enter your mass, volume, or concentration values for your reagent and the calculator will determine the rest.

=
÷

Review this Product

Be the first to review our ZAP70 Antibody (JU08-39) and receive a gift card or discount.

Bioinformatics

Gene Symbol ZAP70