ZAP70 Antibody (11H40)

Images

 
Western Blot: ZAP70 Antibody (11H40) [NBP1-19190] - Analysis of whole cell lysate (20ug (Lane 2 = Jurkat, Lane 3 = Rat Thymus)) and recombinant human Zap-70 (GST-tagged; Lane 4) with anti-Zap-70 mAb used at 1ug/ml.
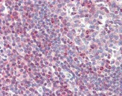
Immunohistochemistry: ZAP70 Antibody (11H40) [NBP1-19190] - Human tonsil tissue stained with Zap-70, mAb (11H40) at 20ug/ml.
Immunohistochemistry: ZAP70 Antibody (11H40) [NBP1-19190] - Human thymus tissue stained with Zap-70, mAb (11H40) at 20ug/ml.

Product Details

Summary
Product Discontinued
View other related ZAP70 Primary Antibodies

Order Details


    • Catalog Number
      NBP1-19190
    • Availability
      Product Discontinued

    Can't find what you are looking for? Use our Antibody Concierge Service & we will help you locate your antibody!

    Or feel free to contact us for alternative products.

ZAP70 Antibody (11H40) Summary

Immunogen
Recombinant full length human Zap-70
Specificity
Zap-70 (11H40)
Isotype
IgG1 Kappa
Clonality
Monoclonal
Host
Mouse
Gene
ZAP70
Purity
Protein G purified
Innovator's Reward
Test in a species/application not listed above to receive a full credit towards a future purchase.

Applications/Dilutions

Dilutions
  • Immunohistochemistry
  • Western Blot 1:100-1:2000
Publications
Read Publication using NBP1-19190.

Reactivity Notes

Human, Rat.

Packaging, Storage & Formulations

Storage
Store at -20C. Avoid freeze-thaw cycles.
Buffer
In PBS, pH 7.2 and 50% glycerol.
Preservative
0.09% Sodium Azide
Purity
Protein G purified

Alternate Names for ZAP70 Antibody (11H40)

  • 70 kDa zeta-associated protein
  • EC 2.7.10
  • EC 2.7.10.2
  • mrtle
  • mur
  • SRK
  • SRKFLJ17679
  • STD
  • STDFLJ17670
  • Syk-related tyrosine kinase
  • tyrosine-protein kinase ZAP-70
  • TZK
  • ZAP70
  • ZAP-70
  • zeta-chain (TCR) associated protein kinase (70 kD)
  • zeta-chain (TCR) associated protein kinase 70kDa
  • zeta-chain associated protein kinase, 70kD

Background

Zeta-associated protein 70 (Zap-70) is a cytoplasmic protein tyrosine required for T cell antigen receptor (TCR) signaling and development. ZAP-70 interacts with the TCR by binding to tyrosine-phosphorylated immunoreceptor tyrosine-based activation motifs (ITAMs) present in the invariant subunits of the TCR complex.

Limitations

This product is for research use only and is not approved for use in humans or in clinical diagnosis. Primary Antibodies are guaranteed for 1 year from date of receipt.

Customers Who Viewed This Item Also Viewed...

MAB7500
Species: Hu
Applications: ICC, WB
NB600-1441
Species: Ca, Hu, Mu, Po
Applications: Flow, ICC/IF, IHC, IHC-Fr,  IHC-P, KD
202-IL
Species: Hu
Applications: BA
NBP2-25265
Species: Hu, Mu
Applications: ICC/IF, IHC, IHC-Fr,  IHC-P, Simple Western, WB
NBP1-32945
Species: Hu, Mu, Rt
Applications: ICC/IF, IHC,  IHC-P, IP, WB
NBP2-27104
Species: Hu, Mu, Pm
Applications: IHC,  IHC-P, WB
NBP1-19371
Species: Ca, Hu, Mu, Po, Rb, Rt
Applications: Dual ISH-IHC, Flow, ICC/IF, IHC, IHC-Fr,  IHC-P, Simple Western, WB
7268-CT
Species: Hu
Applications: BA
NB100-796
Species: Hu
Applications: IHC,  IHC-P, PEP-ELISA, WB
NBP1-92440
Species: Hu
Applications: IHC,  IHC-P
AF2685
Species: Hu
Applications: IHC, Simple Western, WB
NB500-517
Species: Hu, Mu
Applications: ICC/IF, IHC,  IHC-P, IP, WB
AF1230
Species: Hu, Mu, Rt
Applications: IHC, KO, WB
NB100-524
Species: Hu, Mu
Applications: Flow-IC, Flow, ICC/IF, IHC, IHC-Fr,  IHC-P, IP, WB
NBP2-79843
Species: Hu
Applications: CyTOF-ready, ELISA, Flow, ICC/IF, IHC,  IHC-P, PA, WB
MAB37861
Species: Hu
Applications: ICC, Simple Western, WB
MAB6210
Species: Hu
Applications: Simple Western, WB
NBP1-49045
Species: Mu, Rt
Applications: Cell Depl, CyTOF-ready, Flow, ICC/IF, IHC, IHC-Fr,  IHC-P, IP, InhibTFunc
MAB7474
Species: Hu
Applications: ICC, Simple Western, WB
NBP2-37574
Species: Hu, Mu, Rt
Applications: ELISA, Flow, ICC/IF, IHC,  IHC-P, WB

Publications for ZAP70 Antibody (NBP1-19190)(1)

We have publications tested in 1 confirmed species: Human.


Filter By Application
All Applications
Filter By Species
Human
(1)
All Species

Reviews for ZAP70 Antibody (NBP1-19190) (0)

There are no reviews for ZAP70 Antibody (NBP1-19190). By submitting a review you will receive an Amazon e-Gift Card or Novus Product Discount.
  • Review with no image -- $10/€7/£6/$10 CAD/¥70 Yuan/¥1110 Yen
  • Review with an image -- $25/€18/£15/$25 CAD/¥150 Yuan/¥2500 Yen

Product General Protocols

Find general support by application which include: protocols, troubleshooting, illustrated assays, videos and webinars.

Video Protocols

WB Video Protocol

FAQs for ZAP70 Antibody (NBP1-19190) (0)

There are no specific FAQs related to this product. Read our general customer & technical service FAQs.

Contact Information

Product PDFs

Calculators

Concentration Calculator

The concentration calculator allows you to quickly calculate the volume, mass or concentration of your vial. Simply enter your mass, volume, or concentration values for your reagent and the calculator will determine the rest.

=
÷

Review this Product

Be the first to review our ZAP70 Antibody (11H40) and receive a gift card or discount.

Bioinformatics

Gene Symbol ZAP70
Entrez