YY1 Antibody (SY29-01)

Images

 
Western Blot: YY1 Antibody (SY29-01) [NBP2-67391] - Analysis of YY1 on different lysates using anti-YY1 antibody at 1/1,000 dilution. Positive control: Lane 1: Hela Lane 2: Jurkat Lane 3: HL-60
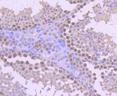
Immunohistochemistry-Paraffin: YY1 Antibody (SY29-01) [NBP2-67391] - Immunohistochemical analysis of paraffin-embedded mouse testis tissue using anti-YY1 antibody. The section was pre-treated using heat mediated antigen ...read more
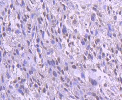
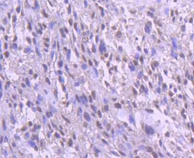
Immunohistochemistry-Paraffin: YY1 Antibody (SY29-01) [NBP2-67391] - Analysis of paraffin-embedded human breast carcinoma tissue using anti-YY1 antibody. Counter stained with hematoxylin.
Immunohistochemistry-Paraffin: YY1 Antibody (SY29-01) [NBP2-67391] - Analysis of paraffin-embedded human tonsil tissue using anti-YY1 antibody. Counter stained with hematoxylin.
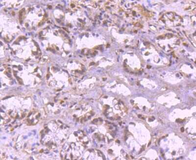
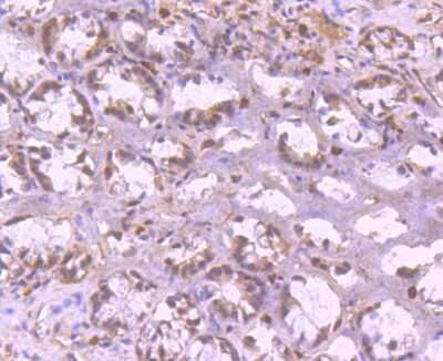
Immunohistochemistry-Paraffin: YY1 Antibody (SY29-01) [NBP2-67391] - Analysis of paraffin-embedded mouse colon tissue using anti-YY1 antibody. Counter stained with hematoxylin.
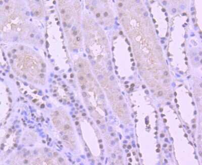
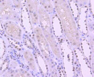
Immunohistochemistry-Paraffin: YY1 Antibody (SY29-01) [NBP2-67391] - Immunohistochemical analysis of paraffin-embedded human kidney tissue using anti-YY1 antibody. The section was pre-treated using heat mediated antigen ...read more

Product Details

Summary
Product Discontinued
View other related YY1 Primary Antibodies

Order Details


    • Catalog Number
      NBP2-67391
    • Availability
      Product Discontinued

    Can't find what you are looking for? Use our Antibody Concierge Service & we will help you locate your antibody!

    Or feel free to contact us for alternative products.

YY1 Antibody (SY29-01) Summary

Additional Information
Recombinant Monoclonal Antibody.
Immunogen
Synthetic peptide within Human YY1 aa 255-304 / 414. (SwissProt: P25490 Human; SwissProt: Q00899 Mouse; Entrez Gene:24919 Rat)
Localization
Nucleus matrix.
Isotype
IgG
Clonality
Monoclonal
Host
Rabbit
Gene
YY1
Purity
Protein A purified
Innovator's Reward
Test in a species/application not listed above to receive a full credit towards a future purchase.

Applications/Dilutions

Dilutions
  • Immunohistochemistry
  • Immunohistochemistry-Paraffin 1:50-1:200
  • Immunoprecipitation
  • Western Blot 1:1000-1:2000

Packaging, Storage & Formulations

Storage
Store at 4C short term. Aliquot and store at -20C long term. Avoid freeze-thaw cycles.
Buffer
TBS (pH7.4), 0.05% BSA, 40% Glycerol
Preservative
0.05% Sodium Azide
Concentration
1 mg/ml
Purity
Protein A purified

Alternate Names for YY1 Antibody (SY29-01)

  • Delta transcription factor
  • DELTA
  • INO80SYY-1
  • NF-E1
  • NF-E1INO80 complex subunit S
  • transcriptional repressor protein YY1
  • UCRBP
  • Yin and Yang 1 protein
  • Yin and yang 1
  • YIN-YANG-1
  • YY1 transcription factor
  • YY1

Background

YY1 is a ubiquitously distributed transcription factor belonging to the GLI-Kruppel class of zinc finger proteins. The protein is involved in repressing and activating a diverse number of promoters. YY1 may direct histone deacetylases and histone acetyltransferases to a promoter in order to activate or repress the promoter, thus implicating histone modification in the function of YY1.

Limitations

This product is for research use only and is not approved for use in humans or in clinical diagnosis. Primary Antibodies are guaranteed for 1 year from date of receipt.

Customers Who Viewed This Item Also Viewed...

NB600-232
Species: Hu, Mu
Applications: ChIP, IHC,  IHC-P, IP, WB
DPSG10
Species: Hu
Applications: ELISA
3047-CC
Species: Hu
Applications: BA
NBP2-67471
Species: Hu, Mu, Rt
Applications: ICC/IF, IHC,  IHC-P, WB
NBP2-50037
Species: Hu, Mu, Rt
Applications: ICC/IF, IHC, KO, WB
NB600-302
Species: Bv, Dr, Hu, Mu
Applications: ChIP, ELISA, Flow-IC, Flow, IB, ICC/IF, IHC, IHC-Fr,  IHC-P, IP, PLA, S-ELISA, Simple Western, WB
NBP3-13785
Species: Hu
Applications: ELISA, Flow, ICC/IF,  IHC-P, IP, PA, WB
NB200-103
Species: Hu, Mu, Rt, Xp(-), Ye
Applications: CyTOF-ready, ELISA, Flow-IC, Flow, ICC/IF, IHC, IHC-Fr,  IHC-P, IP, WB
NBP1-47492
Species: Pm, Hu
Applications: ChIP, ELISA, ICC/IF, IHC,  IHC-P, WB
NB100-616
Species: Hu, Mu, Md, Pm, Rt
Applications: ChIP, EM, Flow-IC, Flow, ICC/IF, IP, In vitro, KD, WB
NB100-56583
Species: Hu, Rb, Rt
Applications: Flow, IHC,  IHC-P, KO, Simple Western, WB
NB100-381
Species: Hu
Applications: ChIP, IP, WB
DYC2510-2
Species: Hu, Mu, Rt
Applications: ELISA
NB100-56340
Species: Hu, Mu, Rt
Applications: IHC, IHC-Fr,  IHC-P, KO, Simple Western, WB
AF2214
Species: Hu
Applications: ICC, IHC, WB
NBP3-16602
Species: Hu, Mu, Rt
Applications: IHC,  IHC-P, IP, WB
NBP1-89544
Species: Hu
Applications: ChIP-EXO-SEQ, ICC/IF, IHC,  IHC-P, WB
NBP2-67391
Species: Hu, Mu, Rt
Applications: WB, IHC, IP

Publications for YY1 Antibody (NBP2-67391) (0)

There are no publications for YY1 Antibody (NBP2-67391).
By submitting your publication information earn gift cards and discounts for future purchases.

Reviews for YY1 Antibody (NBP2-67391) (0)

There are no reviews for YY1 Antibody (NBP2-67391). By submitting a review you will receive an Amazon e-Gift Card or Novus Product Discount.
  • Review with no image -- $10/€7/£6/$10 CAD/¥70 Yuan/¥1110 Yen
  • Review with an image -- $25/€18/£15/$25 CAD/¥150 Yuan/¥2500 Yen

Product General Protocols

Find general support by application which include: protocols, troubleshooting, illustrated assays, videos and webinars.

Video Protocols

WB Video Protocol

FAQs for YY1 Antibody (NBP2-67391) (0)

There are no specific FAQs related to this product. Read our general customer & technical service FAQs.

Secondary Antibodies

 

Isotype Controls

Additional YY1 Products

Research Areas for YY1 Antibody (NBP2-67391)

Find related products by research area.

Blogs on YY1

There are no specific blogs for YY1, but you can read our latest blog posts.

Contact Information

Product PDFs

Calculators

Concentration Calculator

The concentration calculator allows you to quickly calculate the volume, mass or concentration of your vial. Simply enter your mass, volume, or concentration values for your reagent and the calculator will determine the rest.

=
÷

Review this Product

Be the first to review our YY1 Antibody (SY29-01) and receive a gift card or discount.

Bioinformatics

Gene Symbol YY1