Wnt-5a Antibody (JU30-30)

Images

 
Western Blot: Wnt-5a Antibody (JU30-30) [NBP2-75714] - Analysis of Wnt5a on Hela cell lysate using anti-Wnt5a antibody at 1/1,000 dilution.
Immunocytochemistry/ Immunofluorescence: Wnt-5a Antibody (JU30-30) [NBP2-75714] - Staining Wnt5a in PC-3M cells (green). The nuclear counter stain is DAPI (blue). Cells were fixed in paraformaldehyde, permeabilised with ...read more
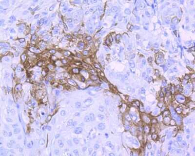
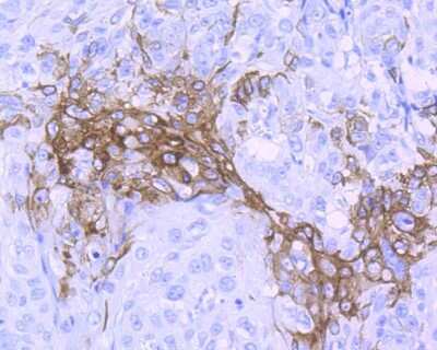
Immunohistochemistry-Paraffin: Wnt-5a Antibody (JU30-30) [NBP2-75714] - Analysis of paraffin-embedded human lung cancer tissue using anti-Wnt5a antibody. Counter stained with hematoxylin.
Flow Cytometry: Wnt-5a Antibody (JU30-30) [NBP2-75714] - Analysis of SH-SY5Y cells with Wnt5a antibody at 1/50 dilution (red) compared with an unlabelled control (cells without incubation with primary antibody; black). ...read more

Product Details

Summary
Product Discontinued
View other related Wnt-5a Primary Antibodies

Order Details


    • Catalog Number
      NBP2-75714
    • Availability
      Product Discontinued

    Can't find what you are looking for? Use our Antibody Concierge Service & we will help you locate your antibody!

    Or feel free to contact us for alternative products.

Wnt-5a Antibody (JU30-30) Summary

Additional Information
Recombinant Monoclonal Antibody.
Immunogen
Synthetic peptide within Human Wnt-5a aa 331-380 / 380. (SwissProt: P41221 Human)
Localization
Secreted, extracellular space, extracellular matrix.
Isotype
IgG
Clonality
Monoclonal
Host
Rabbit
Gene
WNT5A
Purity
Protein A purified
Innovator's Reward
Test in a species/application not listed above to receive a full credit towards a future purchase.

Applications/Dilutions

Dilutions
  • Flow Cytometry 1:50-1:100
  • Immunocytochemistry/ Immunofluorescence 1:50
  • Immunohistochemistry
  • Immunohistochemistry-Paraffin 1:50-1:200
  • Western Blot 1:500-1:2000
Theoretical MW
42 kDa.
Disclaimer note: The observed molecular weight of the protein may vary from the listed predicted molecular weight due to post translational modifications, post translation cleavages, relative charges, and other experimental factors.

Packaging, Storage & Formulations

Storage
Store at 4C short term. Aliquot and store at -20C long term. Avoid freeze-thaw cycles.
Buffer
TBS (pH7.4), 0.05% BSA, 40% Glycerol
Preservative
0.05% Sodium Azide
Concentration
1 mg/ml
Purity
Protein A purified

Alternate Names for Wnt-5a Antibody (JU30-30)

  • hWNT5A
  • protein Wnt-5a
  • wingless-type MMTV integration site family, member 5A
  • WNT-5A protein
  • Wnt5a
  • Wnt-5a

Background

The WNT gene family consists of structurally related genes which encode secreted signaling proteins. These proteins have been implicated in oncogenesis and in several developmental processes, including regulation of cell fate and patterning during embryogenesis. This gene is a member of the WNT gene family. It encodes a protein which shows 98%, 98% and 87% amino acid identity to the mouse, rat and the xenopus Wnt5A protein, respectively. The experiments performed in Xenopus laevis embryos identified that human frizzled-5 (hFz5) is the receptor for the Wnt5A ligand and the Wnt5A/hFz5 signaling mediates axis induction. [provided by RefSeq]

Limitations

This product is for research use only and is not approved for use in humans or in clinical diagnosis. Primary Antibodies are guaranteed for 1 year from date of receipt.

Customers Who Viewed This Item Also Viewed...

AF1329
Species: Hu, Mu, Rt
Applications: ChIP, CyTOF-ready, ICC, IHC, ICFlow, Simple Western, WB
5036-WN
Species: Hu
Applications: BA, BA
AF475
Species: Mu
Applications: IHC, WB
645-WN
Species: Hu, Mu
Applications: BA
NBP1-52813
Species: Hu, Rt
Applications: ICC/IF,  IHC-P, WB
AF2064
Species: Hu
Applications: Simple Western, WB
NBP2-46367
Species: Hu, Mu, Rt
Applications: IHC,  IHC-P, WB
NBP1-51575
Species: Hu, Mu
Applications: ELISA, Flow, ICC/IF, IHC,  IHC-P, WB
6179-WN
Species: Hu
Applications: BA
NBP1-20920
Species: Hu, Mu
Applications: ICC/IF, IHC,  IHC-P, PEP-ELISA, WB
NBP2-20913
Species: Hu, Mu
Applications: IHC,  IHC-P, WB
AF1617
Species: Hu
Applications: WB
AF3464
Species: Hu
Applications: IHC, WB
7347-WN
Species: Hu
Applications: BA
314-BP
Species: Hu
Applications: BA, BA
5439-DK
Species: Hu
Applications: BA
AF1120
Species: Mu
Applications: IHC, WB
NBP1-48284
Species: Hu, Mu, Rt
Applications: ICC/IF, IHC,  IHC-P, WB
NBP2-75714
Species: Hu
Applications: WB, Flow, ICC/IF, IHC

Publications for Wnt-5a Antibody (NBP2-75714) (0)

There are no publications for Wnt-5a Antibody (NBP2-75714).
By submitting your publication information earn gift cards and discounts for future purchases.

Reviews for Wnt-5a Antibody (NBP2-75714) (0)

There are no reviews for Wnt-5a Antibody (NBP2-75714). By submitting a review you will receive an Amazon e-Gift Card or Novus Product Discount.
  • Review with no image -- $10/€7/£6/$10 CAD/¥70 Yuan/¥1110 Yen
  • Review with an image -- $25/€18/£15/$25 CAD/¥150 Yuan/¥2500 Yen

Product General Protocols

Find general support by application which include: protocols, troubleshooting, illustrated assays, videos and webinars.

Video Protocols

WB Video Protocol
ICC/IF Video Protocol

FAQs for Wnt-5a Antibody (NBP2-75714) (0)

There are no specific FAQs related to this product. Read our general customer & technical service FAQs.

Secondary Antibodies

 

Isotype Controls

Additional Wnt-5a Products

Research Areas for Wnt-5a Antibody (NBP2-75714)

Find related products by research area.

Blogs on Wnt-5a.

The role of Wnts in neuroinflammation
By Michalina Hanzel, PhDThe multifaceted roles of the Wnt family of glycoproteins have been extensively characterized throughout embryonic development and adult homeostasis. The highly conserved, cell- and tissue- s...  Read full blog post.

Contact Information

Product PDFs

Calculators

Concentration Calculator

The concentration calculator allows you to quickly calculate the volume, mass or concentration of your vial. Simply enter your mass, volume, or concentration values for your reagent and the calculator will determine the rest.

=
÷

Review this Product

Be the first to review our Wnt-5a Antibody (JU30-30) and receive a gift card or discount.

Bioinformatics

Gene Symbol WNT5A