WDR5 Antibody (JM73-53)

Images

 
Western Blot: WDR5 Antibody (JM73-53) [NBP2-75711] - Analysis of WDR5 on different cell lysates using anti-WDR5 antibody at 1/1,000 dilution.Positive control:Lane 1: Hela Lane 2: A549Lane 3: NIH-3T3 ...read more
Immunohistochemistry-Paraffin: WDR5 Antibody (JM73-53) [NBP2-75711] - Analysis of paraffin-embedded human thyroid tissue using anti-WDR5 antibody. The section was pre-treated using heat mediated antigen retrieval with ...read more
Flow Cytometry: WDR5 Antibody (JM73-53) [NBP2-75711] - Analysis of Hela cells with WDR5 antibody at 1/100 dilution (red) compared with an unlabelled control (cells without incubation with primary antibody; black).
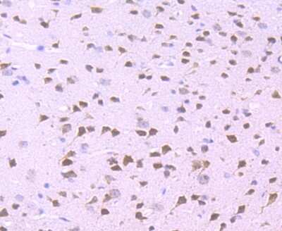
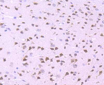
Immunohistochemistry-Paraffin: WDR5 Antibody (JM73-53) [NBP2-75711] - Analysis of paraffin-embedded mouse brain tissue using anti-WDR5 antibody. Counter stained with hematoxylin.
Immunohistochemistry-Paraffin: WDR5 Antibody (JM73-53) [NBP2-75711] - Analysis of paraffin-embedded human breast carcinoma tissue using anti-WDR5 antibody. The section was pre-treated using heat mediated antigen ...read more
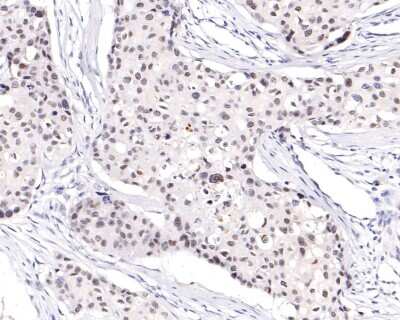
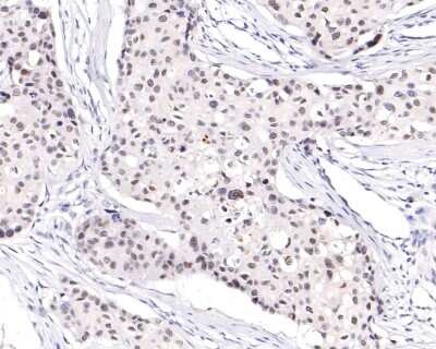
Immunohistochemistry-Paraffin: WDR5 Antibody (JM73-53) [NBP2-75711] - Analysis of paraffin-embedded human colon carcinoma tissue using anti-WDR5 antibody. The section was pre-treated using heat mediated antigen ...read more

Product Details

Summary
Product Discontinued
View other related WDR5 Primary Antibodies

Order Details


    • Catalog Number
      NBP2-75711
    • Availability
      Product Discontinued

    Can't find what you are looking for? Use our Antibody Concierge Service & we will help you locate your antibody!

    Or feel free to contact us for alternative products.

WDR5 Antibody (JM73-53) Summary

Additional Information
Recombinant Monoclonal Antibody.
Immunogen
Synthetic peptide within Human WDR5 aa 285-334 / 334. (SwissProt: P61964 Human; SwissProt: P61965 Mouse; SwissProt: Q498M4 Rat)
Localization
Nucleus.
Isotype
IgG
Clonality
Monoclonal
Host
Rabbit
Gene
WDR5
Purity
Protein A purified
Innovator's Reward
Test in a species/application not listed above to receive a full credit towards a future purchase.

Applications/Dilutions

Dilutions
  • Flow Cytometry 1:50-1:100
  • Immunohistochemistry
  • Immunohistochemistry-Paraffin 1:50-1:200
  • Western Blot 1:500-1:1000
Theoretical MW
36 kDa.
Disclaimer note: The observed molecular weight of the protein may vary from the listed predicted molecular weight due to post translational modifications, post translation cleavages, relative charges, and other experimental factors.

Packaging, Storage & Formulations

Storage
Store at 4C short term. Aliquot and store at -20C long term. Avoid freeze-thaw cycles.
Buffer
TBS (pH7.4), 0.05% BSA, 40% Glycerol
Preservative
0.05% Sodium Azide
Concentration
1 mg/ml
Purity
Protein A purified

Alternate Names for WDR5 Antibody (JM73-53)

  • BIG3
  • BIG-3
  • BMP2-induced 3-kb gene protein
  • SWD3
  • SWD3, Set1c WD40 repeat protein, homolog
  • WD repeat domain 5
  • WD repeat-containing protein 5
  • WDR5
  • WD-repeat protein 5

Background

WDR5 encodes a member of the WD repeat protein family. WD repeats are minimally conserved regions of approximately 40 amino acids typically bracketed by gly-his and trp-asp (GH-WD), which may facilitate formation of heterotrimeric or multiprotein complexes. Members of this family are involved in a variety of cellular processes, including cell cycle progression, signal transduction, apoptosis, and gene regulation. This protein contains 7 WD repeats. Alternatively spliced transcript variants encoding the same protein have been identified.

Limitations

This product is for research use only and is not approved for use in humans or in clinical diagnosis. Primary Antibodies are guaranteed for 1 year from date of receipt.

Customers Who Viewed This Item Also Viewed...

NB500-171
Species: Hu, I, Mu, Rt, Xp, Ye
Applications: ChIP, IB, ICC/IF, IHC,  IHC-P, Single-Cell Western, WB
NB600-250
Species: Hu
Applications: IHC,  IHC-P, IP, WB
NB600-252
Species: Hu, Mu
Applications: ChIP, CHIP-SEQ, ICC/IF, IHC,  IHC-P, IP, WB
NB100-558
Species: Hu, Mu
Applications: ChIP, CHIP-SEQ, IHC,  IHC-P, IP, WB
NB100-68209
Species: Hu
Applications: IP, KD, WB
NB100-55251
Species: Hu, Mu
Applications: IHC,  IHC-P, IP, WB
AF808
Species: Mu
Applications: ELISA(Cap), ELISA(Det), ELISA(Sta), ICC, IHC, Neut, WB
AF6539
Species: Hu
Applications: IHC, WB
NBP2-07996
Species: Hu
Applications: WB
NBP2-52486
Species: Hu
Applications: CyTOF-ready, ELISA, Flow, ICC/IF, IHC,  IHC-P, WB
NBP3-15243
Species: Hu, Mu, Rt
Applications: ICC/IF, IHC,  IHC-P, WB
AF1759
Species: Hu, Mu
Applications: ChIP, ICC, IP, Simple Western, WB
NBP1-89495
Species: Hu
Applications: IHC,  IHC-P, WB
AF7388
Species: Hu
Applications: IHC

Publications for WDR5 Antibody (NBP2-75711) (0)

There are no publications for WDR5 Antibody (NBP2-75711).
By submitting your publication information earn gift cards and discounts for future purchases.

Reviews for WDR5 Antibody (NBP2-75711) (0)

There are no reviews for WDR5 Antibody (NBP2-75711). By submitting a review you will receive an Amazon e-Gift Card or Novus Product Discount.
  • Review with no image -- $10/€7/£6/$10 CAD/¥70 Yuan/¥1110 Yen
  • Review with an image -- $25/€18/£15/$25 CAD/¥150 Yuan/¥2500 Yen

Product General Protocols

Find general support by application which include: protocols, troubleshooting, illustrated assays, videos and webinars.

Video Protocols

WB Video Protocol

FAQs for WDR5 Antibody (NBP2-75711) (0)

There are no specific FAQs related to this product. Read our general customer & technical service FAQs.

Secondary Antibodies

 

Isotype Controls

Additional WDR5 Products

Research Areas for WDR5 Antibody (NBP2-75711)

Find related products by research area.

Blogs on WDR5

There are no specific blogs for WDR5, but you can read our latest blog posts.

Contact Information

Product PDFs

Calculators

Concentration Calculator

The concentration calculator allows you to quickly calculate the volume, mass or concentration of your vial. Simply enter your mass, volume, or concentration values for your reagent and the calculator will determine the rest.

=
÷

Review this Product

Be the first to review our WDR5 Antibody (JM73-53) and receive a gift card or discount.

Bioinformatics

Gene Symbol WDR5