VSIG2 Antibody

Images

 
Western Blot: VSIG2 Antibody [NBP1-84338] - Analysis in control (vector only transfected HEK293T lysate) and VSIG2 over-expression lysate (Co-expressed with a C-terminal myc-DDK tag (3.1 kDa) in mammalian HEK293T cells).
Immunohistochemistry-Paraffin: VSIG2 Antibody [NBP1-84338] - Staining of human stomach shows strong membranous positivity in glandular cells.
Immunohistochemistry-Paraffin: VSIG2 Antibody [NBP1-84338] - Analysis in human stomach and skeletal muscle tissues. Corresponding VSIG2 RNA-seq data are presented for the same tissues.
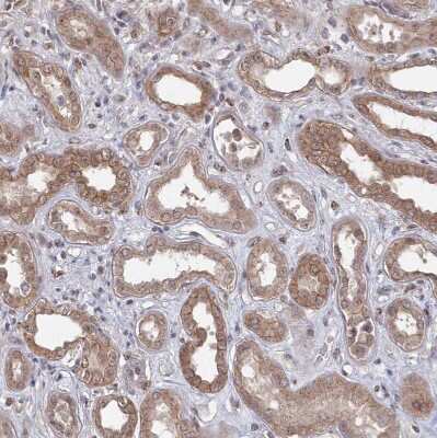
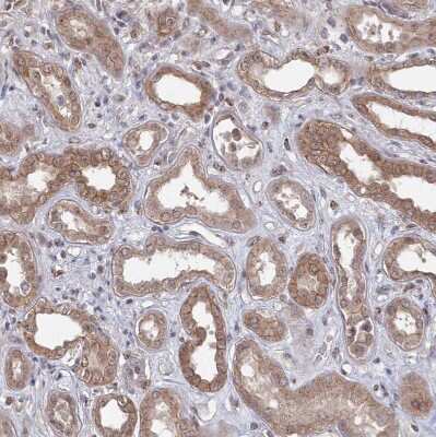
Immunohistochemistry-Paraffin: VSIG2 Antibody [NBP1-84338] - Staining of human kidney shows moderate membranous positivity in cells in tubules.
Immunohistochemistry-Paraffin: VSIG2 Antibody [NBP1-84338] - Staining of human skeletal muscle shows no positivity in myocytes as expected.
Immunohistochemistry-Paraffin: VSIG2 Antibody [NBP1-84338] - Staining of human liver shows moderate membranous positivity in hepatocytes.

Product Details

Summary
Product Discontinued
View other related VSIG2 Primary Antibodies

Order Details


    • Catalog Number
      NBP1-84338
    • Availability
      Product Discontinued

    Can't find what you are looking for? Use our Antibody Concierge Service & we will help you locate your antibody!

    Or feel free to contact us for alternative products.

VSIG2 Antibody Summary

Immunogen
This antibody was developed against Recombinant Protein corresponding to amino acids: GQTSVGGSTALRCSSSEGAPKPVYNWVRLGTFPTPSPGSMVQDEVSGQLILTNLSLTSSGTYRCVATNQMGSASCELTLSVTEPSQ
Isotype
IgG
Clonality
Polyclonal
Host
Rabbit
Gene
VSIG2
Purity
Immunogen affinity purified
Innovator's Reward
Test in a species/application not listed above to receive a full credit towards a future purchase.

Applications/Dilutions

Dilutions
  • Immunohistochemistry 1:20 - 1:50
  • Immunohistochemistry-Paraffin 1:10-1:20
  • Western Blot 0.04-0.4 ug/ml
Application Notes
For IHC-Paraffin, HIER pH 6 retrieval is recommended.

Reactivity Notes

Immunogen displays the following percentage of sequence identity for non-tested species: Mouse (86%), Rat (88%)

Packaging, Storage & Formulations

Storage
Store at 4C short term. Aliquot and store at -20C long term. Avoid freeze-thaw cycles.
Buffer
PBS (pH 7.2) and 40% Glycerol
Preservative
0.02% Sodium Azide
Purity
Immunogen affinity purified

Alternate Names for VSIG2 Antibody

  • 2210413P10Rik
  • Cortical thymocyte-like protein
  • CTH
  • CTHCTXLcortical thymocyte receptor (X. laevis CTX) like
  • CT-like protein
  • CTXL
  • V-set and immunoglobulin domain containing 2
  • V-set and immunoglobulin domain-containing protein 2
  • VSIG2

Limitations

This product is for research use only and is not approved for use in humans or in clinical diagnosis. Primary Antibodies are guaranteed for 1 year from date of receipt.

Customers Who Viewed This Item Also Viewed...

NBP1-87508
Species: Hu
Applications: IHC,  IHC-P, WB
NBP3-17040
Species: Hu
Applications: IHC,  IHC-P, WB
NBP1-33518
Species: Hu, Mu, Rt
Applications: ICC/IF, IHC,  IHC-P, IP, KD, KO, WB
NBP3-47902
Species: Hu, Mu, Rt
Applications: ELISA, IHC, WB
NBP1-57749
Species: Hu
Applications: IHC,  IHC-P, WB
NBP1-89796
Species: Hu, Mu
Applications: IHC,  IHC-P
NBP1-62583
Species: Hu
Applications: WB
NBP1-59904
Species: Hu
Applications: IHC,  IHC-P, WB
AF1049
Species: Hu
Applications: IHC, WB
NB100-1533
Species: Hu, Mu, Po, Rt, Sh
Applications: Flow, ICC/IF, IHC,  IHC-P, PEP-ELISA, WB
NB110-74570
Species: Hu, Mu, Pm, Rt
Applications: IHC, IHC-Fr,  IHC-P, WB
NBP2-30949
Species: Hu
Applications: IHC,  IHC-P
NBP1-84854
Species: Hu, Mu, Rt
Applications: ICC/IF, IHC,  IHC-P, KD, WB
NBP2-36776
Species: Hu
Applications: ICC/IF, IHC,  IHC-P, KD, WB
NBP1-97512
Species: Mu
Applications: ICC/IF, IHC, IHC-Fr,  IHC-P, IP, WB
NB100-791
Species: Hu, Mu
Applications: IHC,  IHC-P, PEP-ELISA, WB
NBP2-44520
Species: Ca(-), Hu, Rt(-)
Applications: Flow-IC, Flow, ICC/IF, IF, IHC,  IHC-P, MI, WB
NBP3-25721
Species: Ca, Fe, Hu, Mu, Rt
Applications: ICC/IF, IHC,  IHC-P, WB
NBP1-81293
Species: Hu
Applications: ICC/IF, IHC,  IHC-P, KD, WB
MAB5646
Species: Hu
Applications: CyTOF-ready, ELISA(Cap), ELISA(Det), ELISA(Sta), Flow, ICC, KO, WB

Publications for VSIG2 Antibody (NBP1-84338) (0)

There are no publications for VSIG2 Antibody (NBP1-84338).
By submitting your publication information earn gift cards and discounts for future purchases.

Reviews for VSIG2 Antibody (NBP1-84338) (0)

There are no reviews for VSIG2 Antibody (NBP1-84338). By submitting a review you will receive an Amazon e-Gift Card or Novus Product Discount.
  • Review with no image -- $10/€7/£6/$10 CAD/¥70 Yuan/¥1110 Yen
  • Review with an image -- $25/€18/£15/$25 CAD/¥150 Yuan/¥2500 Yen

Product General Protocols

Find general support by application which include: protocols, troubleshooting, illustrated assays, videos and webinars.

Video Protocols

WB Video Protocol

FAQs for VSIG2 Antibody (NBP1-84338) (0)

There are no specific FAQs related to this product. Read our general customer & technical service FAQs.

Contact Information

Product PDFs

Calculators

Concentration Calculator

The concentration calculator allows you to quickly calculate the volume, mass or concentration of your vial. Simply enter your mass, volume, or concentration values for your reagent and the calculator will determine the rest.

=
÷

Review this Product

Be the first to review our VSIG2 Antibody and receive a gift card or discount.

Bioinformatics

Gene Symbol VSIG2