VGLL1 Antibody - BSA Free

Images

 
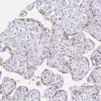
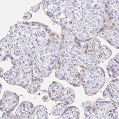
Orthogonal Strategies: Immunohistochemistry-Paraffin: VGLL1 Antibody [NBP2-31921] - Staining in human placenta and skeletal muscle tissues.. Corresponding VGLL1 RNA-seq data are presented for the same tissues.
Immunohistochemistry-Paraffin: VGLL1 Antibody [NBP2-31921] - Staining of human placenta shows weak to moderate nuclear positivity in trophoblastic cells.
Immunohistochemistry-Paraffin: VGLL1 Antibody [NBP2-31921] - Staining of human skeletal muscle shows no positivity in myocytes as expected.
Immunohistochemistry-Paraffin: VGLL1 Antibody [NBP2-31921] - Staining of human liver shows no positivity in hepatocytes as expected.
Immunohistochemistry-Paraffin: VGLL1 Antibody [NBP2-31921] - Staining of human pancreas shows no positivity in exocrine glandular cells as expected.

Product Details

Summary
Reactivity HuSpecies Glossary
Applications IHC
Clonality
Polyclonal
Host
Rabbit
Conjugate
Unconjugated
Format
BSA Free
Validated by:
       

Orthogonal Strategies

 

Order Details

View Available Formulations
Catalog# & Formulation Size Price

VGLL1 Antibody - BSA Free Summary

Description
Novus Biologicals Rabbit VGLL1 Antibody - BSA Free (NBP2-31921) is a polyclonal antibody validated for use in IHC. All Novus Biologicals antibodies are covered by our 100% guarantee.
Immunogen
This antibody was developed against a recombinant protein corresponding to amino acids: LSNIKSPQELTPSSQSEGVMLKNDDSMSPNQWRYSSPWTKPQPEVPVTNRAANCNLHVPGPMAVNQFSPSLARRASVRPGELWHFSSLAGTSSLEPGYSHPFPARHLVPEPQPDGKRE
Isotype
IgG
Clonality
Polyclonal
Host
Rabbit
Gene
VGLL1
Purity
Immunogen affinity purified
Innovator's Reward
Test in a species/application not listed above to receive a full credit towards a future purchase.

Applications/Dilutions

Dilutions
  • Immunohistochemistry 1:1000 - 1:2500
  • Immunohistochemistry-Paraffin 1:1000 - 1:2500
Application Notes
For IHC-Paraffin, HIER pH 6 retrieval is recommended.
Control Peptide
VGLL1 Protein (NBP2-31921PEP)

Packaging, Storage & Formulations

Storage
Store at 4C short term. Aliquot and store at -20C long term. Avoid freeze-thaw cycles.
Buffer
PBS (pH 7.2) and 40% Glycerol
Preservative
0.02% Sodium Azide
Purity
Immunogen affinity purified

Alternate Names for VGLL1 Antibody - BSA Free

  • Protein TONDU
  • TDUtranscription cofactor vestigial-like protein 1
  • TONDU
  • vestigial like 1 (Drosophila)
  • VGL1
  • vgl-1
  • WUGSC:H_GS188P18.1b

Background

The protein encoded by the VGLL1 gene binds proteins of the TEA domain family of transcription factors (TEFs) through the Vg (vestigial) homology region found in its N-terminus. It may thus function as a specific coactivator for the mammalian TEFs. (provided by RefSeq)

Limitations

This product is for research use only and is not approved for use in humans or in clinical diagnosis. Primary Antibodies are guaranteed for 1 year from date of receipt.

Customers Who Viewed This Item Also Viewed...

NBP2-94035
Species: Hu, Mu, Rt
Applications: ChIP, ELISA, ICC/IF, IHC,  IHC-P, WB
NBP2-38421
Species: Hu
Applications: IHC,  IHC-P, KD, WB
H00245806-P01
Species: Hu
Applications: ELISA, AP, PA, WB
NB110-58359
Species: Hu, Mu, Rt
Applications: ChIP, ChIP, ICC/IF, IHC,  IHC-P, IP, PLA, Simple Western, WB
NB110-58358
Species: Ca, Hu, Mu, Rt, Ze
Applications: ChIP, IB, ICC/IF, IHC, IHC-Fr,  IHC-P, IP, KD, KO, Simple Western, WB
NBP1-85896
Species: Hu, Mu, Rt
Applications: ICC/IF, IHC,  IHC-P, KD, WB
NB100-687
Species: Hu, Mu, Rt
Applications: Flow, ICC/IF, IHC,  IHC-P, Simple Western, WB
NBP2-16686
Species: Hu
Applications: ICC/IF, IHC,  IHC-P, KO, WB
NBP2-31590
Species: Hu
Applications: ICC/IF
NBP2-20383
Species: Hu, Mu
Applications: ICC/IF, IHC,  IHC-P, WB
NBP2-49118
Species: Hu
Applications: IHC,  IHC-P
NBP2-02623
Species: Ca, Hu, Mu, Rt
Applications: Flow, ICC/IF, IHC,  IHC-P, WB
NBP3-04382
Species: Hu, Mu, Rt
Applications: ICC/IF, IHC,  IHC-P, WB
H00007004-M01
Species: Hu, Mu
Applications: ELISA, ICC/IF, IHC, IP, KD, WB
NBP2-84300
Species: Hu
Applications: IHC,  IHC-P, WB
NBP1-81763
Species: Hu
Applications: IHC,  IHC-P, WB
NB100-2814
Species: Hu, Mu
Applications: ICC/IF, PEP-ELISA, WB
NBP2-31921
Species: Hu
Applications: IHC

Publications for VGLL1 Antibody (NBP2-31921) (0)

There are no publications for VGLL1 Antibody (NBP2-31921).
By submitting your publication information earn gift cards and discounts for future purchases.

Reviews for VGLL1 Antibody (NBP2-31921) (0)

There are no reviews for VGLL1 Antibody (NBP2-31921). By submitting a review you will receive an Amazon e-Gift Card or Novus Product Discount.
  • Review with no image -- $10/€7/£6/$10 CAD/¥70 Yuan/¥1110 Yen
  • Review with an image -- $25/€18/£15/$25 CAD/¥150 Yuan/¥2500 Yen

Product General Protocols

Find general support by application which include: protocols, troubleshooting, illustrated assays, videos and webinars.

FAQs for VGLL1 Antibody (NBP2-31921) (0)

There are no specific FAQs related to this product. Read our general customer & technical service FAQs.

Customers Who Bought This Also Bought

Contact Information

Product PDFs

Calculators

Concentration Calculator

The concentration calculator allows you to quickly calculate the volume, mass or concentration of your vial. Simply enter your mass, volume, or concentration values for your reagent and the calculator will determine the rest.

=
÷

Review this Product

Be the first to review our VGLL1 Antibody - BSA Free and receive a gift card or discount.

Bioinformatics

Gene Symbol VGLL1
Uniprot