VGLL4 Antibody - BSA Free

Images

 
Genetic Strategies: Western Blot: VGLL4 Antibody [NBP2-38421] - Analysis in U-87MG ATCC cells transfected with control siRNA, target specific siRNA probe #1 and #2,. Remaining relative intensity is presented. ...read more
Immunohistochemistry-Paraffin: VGLL4 Antibody [NBP2-38421] - Positive staining can be observed in the nuclears of gastric epithelial cells. Image submitted by a verified customer review.
Immunohistochemistry-Paraffin: VGLL4 Antibody [NBP2-38421] - Staining of human prostate shows moderate nuclear positivity in glandular cells.
Immunohistochemistry-Paraffin: VGLL4 Antibody [NBP2-38421] -Staining of human endometrium shows weak nuclear positivity in glandular cells.
Immunohistochemistry-Paraffin: VGLL4 Antibody [NBP2-38421] -Staining of human skin shows moderate nuclear positivity in squamous epithelial cells.
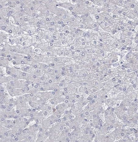
Immunohistochemistry-Paraffin: VGLL4 Antibody [NBP2-38421] -Staining of human liver shows no positivity in hepatocytes as expected.

Product Details

Summary
Reactivity Hu, Mu, RtSpecies Glossary
Applications WB, IHC, Mycoplasma
Clonality
Polyclonal
Host
Rabbit
Conjugate
Unconjugated
Format
BSA Free
Validated by:
     

Genetic Strategies

   

Order Details

View Available Formulations
Catalog# & Formulation Size Price

VGLL4 Antibody - BSA Free Summary

Description
Novus Biologicals Rabbit VGLL4 Antibody - BSA Free (NBP2-38421) is a polyclonal antibody validated for use in IHC and WB. All Novus Biologicals antibodies are covered by our 100% guarantee.
Immunogen
This antibody was developed against a recombinant protein corresponding to amino acids: EEHFRRSLGKNYKEPEPAPNSVSITGSVDDHFAKALGDTWLQIKAAKDGASSSPESASRRGQPASPSAHMVSHSHS
Predicted Species
Mouse (97%), Rat (97%). Backed by our 100% Guarantee.
Isotype
IgG
Clonality
Polyclonal
Host
Rabbit
Gene
VGLL4
Purity
Immunogen affinity purified
Innovator's Reward
Test in a species/application not listed above to receive a full credit towards a future purchase.

Applications/Dilutions

Dilutions
  • Immunohistochemistry 1:50 - 1:200
  • Immunohistochemistry-Paraffin 1:50 - 1:200
  • Knockdown Validated
  • Western Blot 0.04-0.4 ug/ml
Application Notes
For IHC-Paraffin, HIER pH 6 retrieval is recommended.
Control Peptide
VGLL4 Recombinant Protein Antigen (NBP2-38421PEP)
Reviewed Applications
Read 1 Review rated 5
using
NBP2-38421 in the following applications:

Packaging, Storage & Formulations

Storage
Store at 4C short term. Aliquot and store at -20C long term. Avoid freeze-thaw cycles.
Buffer
PBS (pH 7.2) and 40% Glycerol
Preservative
0.02% Sodium Azide
Purity
Immunogen affinity purified

Alternate Names for VGLL4 Antibody - BSA Free

  • KIAA0121transcription cofactor vestigial-like protein 4
  • vestigial like 4 (Drosophila)
  • Vestigial-like 4
  • VGL-4

Background

VGLL4 may act as a specific coactivator for the mammalian TEFs

Limitations

This product is for research use only and is not approved for use in humans or in clinical diagnosis. Primary Antibodies are guaranteed for 1 year from date of receipt.

Customers Who Viewed This Item Also Viewed...

NBP2-31921
Species: Hu
Applications: IHC,  IHC-P
NBP2-94035
Species: Hu, Mu, Rt
Applications: ChIP, ELISA, ICC/IF, IHC,  IHC-P, WB
AF8221
Species: Hu, Mu, Rt
Applications: IHC, KO, Simple Western, WB
NB100-56173
Species: Hu
Applications: Flow, ICC/IF, IHC,  IHC-P, IP, WB
H00245806-P01
Species: Hu
Applications: ELISA, AP, PA, WB
NB100-56144
Species: Hu, Mu, Rt
Applications: IHC,  IHC-P, IP, WB
AF8171
Species: Hu
Applications: IHC, Simple Western, WB
NBP2-14214
Species: Hu
Applications: IHC,  IHC-P
AF8181
Species: Hu
Applications: IHC, KO, Simple Western, WB
NBP2-33680
Species: Hu
Applications: IHC,  IHC-P
NBP3-25355
Species: Dr, Hu, Mu
Applications: IHC,  IHC-P, WB
AF4670
Species: Hu
Applications: CyTOF-ready, Flow, IHC, KO, Neut, WB
DVE00
Species: Hu
Applications: ELISA
NBL1-09036
Species: Hu
Applications: WB
NBP3-27147
Species: Hu
Applications: ELISA, Flow, ICC/IF, IHC,  IHC-P, WB
NBP1-93674
Species: Hu, Mu, Rt
Applications: ICC/IF, IHC,  IHC-P, WB
NBP1-18891
Species: Hu, Mu
Applications: IP, WB
NBP2-45646
Species: Ca, Hu, Mu, Rt
Applications: IHC,  IHC-P, WB
NBP1-91670
Species: Hu
Applications: ICC/IF, IHC,  IHC-P, WB
NBP2-38421
Species: Hu, Mu, Rt
Applications: WB, IHC, Mycoplasma

Publications for VGLL4 Antibody (NBP2-38421) (0)

There are no publications for VGLL4 Antibody (NBP2-38421).
By submitting your publication information earn gift cards and discounts for future purchases.

Review for VGLL4 Antibody (NBP2-38421) (1) 51

Average Rating: 5
(Based on 1 review)
We have 1 review tested in 1 species: Human.

Reviews using NBP2-38421:
Filter by Applications
 IHC-P
(1)
All Applications
Filter by Species
Human
(1)
All Species
Images Ratings Applications Species Date Details
Immunohistochemistry-Paraffin VGLL4 NBP2-38421
Enlarge
5
reviewed by:
Verified Customer
 IHC-P Human 09/22/2017
View

Summary

ApplicationImmunohistochemistry-Paraffin
Sample TestedStomach tissue
SpeciesHuman
LotLotA106714

Product General Protocols

Find general support by application which include: protocols, troubleshooting, illustrated assays, videos and webinars.

Video Protocols

WB Video Protocol

FAQs for VGLL4 Antibody (NBP2-38421) (0)

There are no specific FAQs related to this product. Read our general customer & technical service FAQs.

Customers Who Bought This Also Bought

Contact Information

Product PDFs

Calculators

Concentration Calculator

The concentration calculator allows you to quickly calculate the volume, mass or concentration of your vial. Simply enter your mass, volume, or concentration values for your reagent and the calculator will determine the rest.

=
÷

Recent Reviews

5
5
1
4
0
3
0
2
0
1
0

Verified Customer
09/22/2017
Application:  IHC-P
Species: Human

Bioinformatics

Gene Symbol VGLL4
Uniprot