USP30 Antibody (CL4438) - Azide and BSA Free

Images

 
Staining of human cerebellum shows moderate cytoplasmic positivity in Purkinje cells.
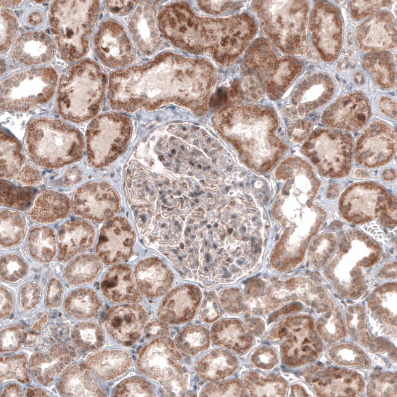
Staining of human kidney shows moderate cytoplasmic positivity in cells in tubules.
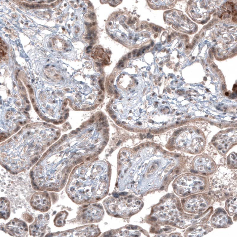
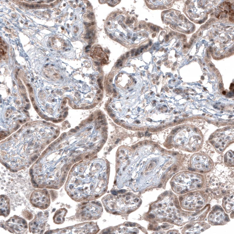
Staining of human placenta shows moderate cytoplasmic positivity in trophoblastic cells.
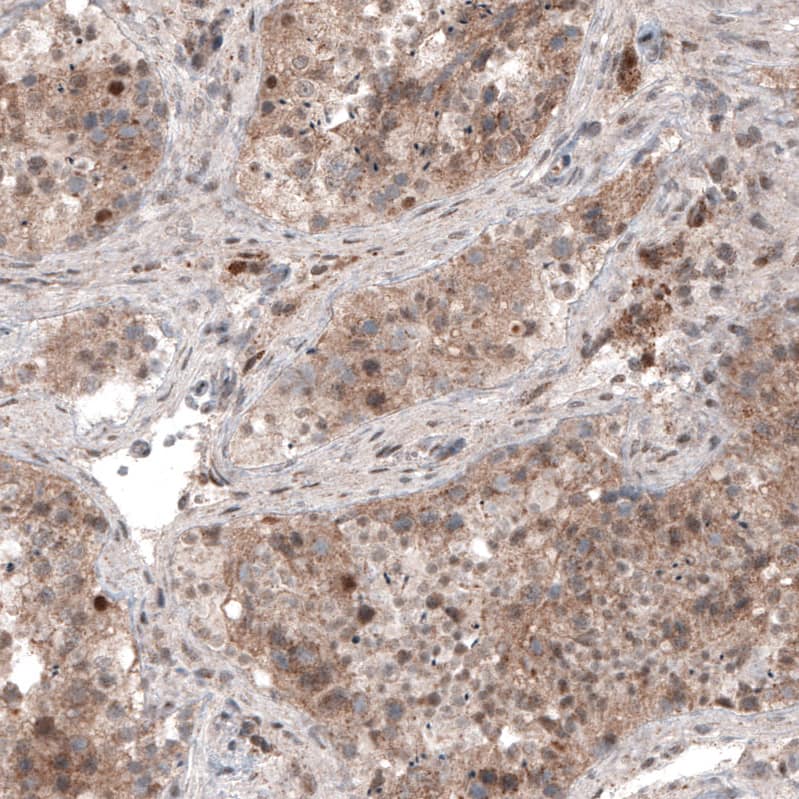
Staining of human testis shows moderate cytoplasmic positivity in cells in seminiferous ducts.

Product Details

Summary
Reactivity HuSpecies Glossary
Applications IHC
Clone
CL4438
Clonality
Monoclonal
Host
Mouse
Conjugate
Unconjugated
Format
Azide and BSA Free
Concentration
LYOPH

Order Details

USP30 Antibody (CL4438) - Azide and BSA Free Summary

Description
Novus Biologicals Mouse USP30 Antibody (CL4438) - Azide and BSA Free (NBP2-59049) is a monoclonal antibody validated for use in IHC. All Novus Biologicals antibodies are covered by our 100% guarantee.
Immunogen
This antibody was generated using a recombinant protein sequence of Q70CQ3, with the exact immunogen sequence remaining proprietary.
Isotype
IgG2a
Clonality
Monoclonal
Host
Mouse
Gene
USP30
Purity
Protein A purified
Innovator's Reward
Test in a species/application not listed above to receive a full credit towards a future purchase.

Applications/Dilutions

Dilutions
  • Immunohistochemistry-Paraffin 1:50 - 1:200
Application Notes
For IHC-Paraffin, HIER pH 6 retrieval is recommended.

Packaging, Storage & Formulations

Storage
Store at 4C short term. Aliquot and store at -20C long term. Avoid freeze-thaw cycles.
Buffer
Lyophilized from a 0.2 um filtered solution in PBS with Trehalose
Preservative
No Preservative
Concentration
LYOPH
Purity
Protein A purified
Reconstitution Instructions
Centrifuge the vial of lyophilized antibody at 12,000 x g for 20 seconds. Reconstitute by adding sterile, distilled water to achieve a final antibody concentration of 1mg/ml.

Alternate Names for USP30 Antibody (CL4438) - Azide and BSA Free

  • Deubiquitinating Enzyme 30
  • EC 3.1.2.15
  • EC 3.4.19.12
  • FLJ40511
  • MGC10702
  • ubiquitin carboxyl-terminal hydrolase 30
  • ubiquitin specific peptidase 30
  • ubiquitin specific protease 30
  • Ubiquitin Thioesterase 30
  • Ubiquitin thiolesterase 30
  • ubiquitin-specific protease 30
  • Ubiquitin-specific-processing protease 30
  • Ub-specific protease 30
  • USP30

Background

USP30, a member of the ubiquitin-specific protease family (see USP1, MIM 603478), is a novel mitochondrial deubiquitinating (DUB) enzyme (Nakamura and Hirose, 2008 (PubMed 18287522)).(supplied by OMIM)

Limitations

This product is for research use only and is not approved for use in humans or in clinical diagnosis. Primary Antibodies are guaranteed for 1 year from date of receipt.

Customers Who Viewed This Item Also Viewed...

NBP3-48276
Species: Hu
Applications: ELISA, IHC, WB
294-HG
Species: Hu
Applications: BA
NBP2-38464
Species: Hu
Applications: ICC/IF, IHC,  IHC-P, KD, WB
NB100-77284
Species: Hu
Applications: IHC,  IHC-P, IP, WB (-)
NBP1-93456
Species: Hu
Applications: IHC,  IHC-P
NB110-40693
Species: Hu
Applications: IHC,  IHC-P, IP, WB
NB110-68800
Species: Hu, Mu, Pm
Applications: ICC/IF, WB
NBP3-12196
Species: Hu, Mu, Rt
Applications: DB, ELISA, IHC,  IHC-P, IP, WB
NBP2-33600
Species: Hu, Mu
Applications: ICC/IF, IHC,  IHC-P, WB
AF276
Species: Hu
Applications: Block, CyTOF-ready, Flow, ICC, IHC, KO, Simple Western, WB
NBP2-13304
Species: Hu
Applications: ICC/IF, IHC,  IHC-P, WB
NBP2-24589
Species: Bv, Ca, Eq, Hu, Mu, Pm
Applications: IB, IHC,  IHC-P, KO, Simple Western, WB
M6000B
Species: Mu
Applications: ELISA
H00055031-M01
Species: Hu, Mu, Rt
Applications: ELISA, ICC/IF, IP, S-ELISA, WB
NBP2-31361
Species: Hu
Applications: IHC,  IHC-P, WB
H00008731-M01
Species: Hu
Applications: ELISA, ICC/IF, IHC,  IHC-P, S-ELISA, WB
NB100-1800
Species: Hu, Mu, Rt
Applications: ChIP, CHIP-SEQ, ChIP, ELISA, Flow, IB, ICC/IF, IHC,  IHC-P, IP, KD, Simple Western, WB
NBP3-44104
Species: Hu
Applications: IHC

Publications for USP30 Antibody (NBP3-44104) (0)

There are no publications for USP30 Antibody (NBP3-44104).
By submitting your publication information earn gift cards and discounts for future purchases.

Reviews for USP30 Antibody (NBP3-44104) (0)

There are no reviews for USP30 Antibody (NBP3-44104). By submitting a review you will receive an Amazon e-Gift Card or Novus Product Discount.
  • Review with no image -- $10/€7/£6/$10 CAD/¥70 Yuan/¥1110 Yen
  • Review with an image -- $25/€18/£15/$25 CAD/¥150 Yuan/¥2500 Yen

Product General Protocols

Find general support by application which include: protocols, troubleshooting, illustrated assays, videos and webinars.

FAQs for USP30 Antibody (NBP3-44104) (0)

There are no specific FAQs related to this product. Read our general customer & technical service FAQs.

Secondary Antibodies

 

Isotype Controls

Additional USP30 Products

Research Areas for USP30 Antibody (NBP3-44104)

Find related products by research area.

Blogs on USP30

There are no specific blogs for USP30, but you can read our latest blog posts.

Customers Who Bought This Also Bought

Contact Information

Product PDFs

Calculators

Concentration Calculator

The concentration calculator allows you to quickly calculate the volume, mass or concentration of your vial. Simply enter your mass, volume, or concentration values for your reagent and the calculator will determine the rest.

=
÷

Review this Product

Be the first to review our USP30 Antibody (CL4438) - Azide and BSA Free and receive a gift card or discount.

Bioinformatics

Gene Symbol USP30