Uroplakin Ia Antibody (UPK1A/2925) - Azide and BSA Free

Images

 
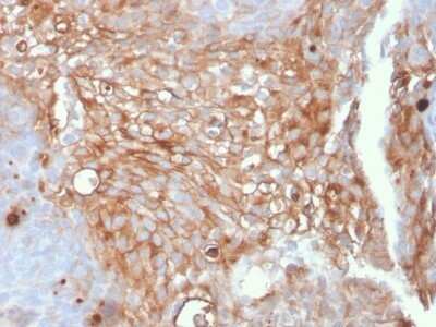
Immunohistochemistry-Paraffin: Uroplakin Ia Antibody (UPK1A/2925) - Azide and BSA Free [NBP2-79870] - Formalin-fixed, paraffin-embedded human Urothelial Carcinoma stained with Uroplakin Ia Antibody (UPK1A/2925).
Immunohistochemistry-Paraffin: Uroplakin Ia Antibody (UPK1A/2925) - Azide and BSA Free [NBP2-79870] - Formalin-fixed, paraffin-embedded human Urothelial Carcinoma stained with Uroplakin Ia Antibody (UPK1A/2925).
Protein Array: Uroplakin Ia Antibody (UPK1A/2925) - Azide and BSA Free [NBP2-79870] - Analysis of Protein Array containing more than 19,000 full-length human proteins using Uroplakin Ia Antibody (UPK1A/2925) Z- and S- ...read more

Product Details

Summary
Reactivity HuSpecies Glossary
Applications ELISA, IHC, MA
Clone
UPK1A/2925
Clonality
Monoclonal
Host
Mouse
Conjugate
Unconjugated
Format
Azide and BSA Free
Concentration
1 mg/ml

Order Details

Uroplakin Ia Antibody (UPK1A/2925) - Azide and BSA Free Summary

Description
1.0 mg/ml of antibody purified from Bioreactor Concentrate by Protein A/G. Prepared in 10mM PBS WITHOUT BSA & azide. Also available at 200 ug/ml WITH BSA & azide (NBP2-79735).

Antibody with azide - store at 2 to 8C. Antibody without azide - store at -20 to -80C.
Immunogen
Recombinant fragment (around aa 114-173) of human Uroplakin Ia (UPK1A) protein (exact sequence is proprietary) (Uniprot: O00322)
Localization
Cell Surface
Marker
Urothelial Differentiation Marker
Isotype
IgG1 Kappa
Clonality
Monoclonal
Host
Mouse
Gene
UPK1A
Purity
Protein A or G purified
Innovator's Reward
Test in a species/application not listed above to receive a full credit towards a future purchase.

Applications/Dilutions

Dilutions
  • ELISA
  • Immunohistochemistry 1-2 ug/ml
  • Immunohistochemistry-Paraffin 1-2 ug/ml
  • Protein Array
Application Notes
ELISA: For coating, order Ab without BSA.
Immunohistochemistry (Formalin-fixed): 1-2ug/ml for 30 minutes at RT. Staining of formalin-fixed tissues requires heating tissue sections in 10mM Tris with 1mM EDTA, pH 9.0, for 45 min at 95C followed by cooling at RT for 20 minutes.
Optimal dilution for a specific application should be determined.
Theoretical MW
29 kDa.
Disclaimer note: The observed molecular weight of the protein may vary from the listed predicted molecular weight due to post translational modifications, post translation cleavages, relative charges, and other experimental factors.

Packaging, Storage & Formulations

Storage
Store at -20 to -80C. Avoid freeze-thaw cycles.
Buffer
10 mM PBS
Preservative
No Preservative
Concentration
1 mg/ml
Purity
Protein A or G purified

Alternate Names for Uroplakin Ia Antibody (UPK1A/2925) - Azide and BSA Free

  • TSPAN21
  • UP1A
  • UPIA
  • UPK1A uroplakin 1A
  • UPK1A
  • UPKA
  • Uroplakin Ia

Limitations

This product is for research use only and is not approved for use in humans or in clinical diagnosis. Primary Antibodies are guaranteed for 1 year from date of receipt.

Customers Who Viewed This Item Also Viewed...

NBP2-38904
Species: Hu
Applications: IHC,  IHC-P, WB
NBP1-80656
Species: Hu, Mu
Applications: IHC,  IHC-P, WB
NBP2-94533
Species: Hu, Mu, Rt
Applications: ELISA, ICC/IF, IHC,  IHC-P, WB
NBP2-67309
Species: Hu, Rt
Applications: Flow, ICC/IF, IHC,  IHC-P, IP, WB
NBP1-88899
Species: Hu
Applications: IHC,  IHC-P
NBP2-22106
Species: Hu, Mu, Rt
Applications: IHC,  IHC-P, IP, WB
AF231
Species: Hu
Applications: CyTOF-ready, Dual ISH-IHC, ELISA(Cap), ELISA(Det), ELISA(Sta), Flow, ICC, IHC, IP, Simple Western, WB
AF5175
Species: Mu
Applications: IHC, Simple Western, WB
NBP1-83708
Species: Hu, Mu, Rt
Applications: ICC/IF, IHC,  IHC-P, WB
NBP3-15261
Species: Hu, Mu, Rt
Applications: ICC/IF, IHC,  IHC-P, WB
NBP2-47940
Species: Hu
Applications: CyTOF-ready, Flow, ICC/IF, IF, IHC,  IHC-P, Simple Western, WB
NBP1-85497
Species: Hu
Applications: ICC/IF, IHC,  IHC-P
AF1920
Species: Hu, Mu, Rt
Applications: Simple Western, WB
NB500-327
Species: Hu
Applications: CyTOF-ready, ELISA, Flow, IHC,  IHC-P, In vitro, WB
NB300-605
Species: Hu, Mu, Po, Rt
Applications: Flow, IB, ICC/IF, IHC, IHC-Fr,  IHC-P, In vitro, WB
236-EG
Species: Hu
Applications: BA
NBP2-42225
Species: Ca, Hu
Applications: B/N, DB, EM, ELISA, Flow-IC, Flow, Func, ICC/IF, IHC-WhMt, IP, In vitro, WB
NBP2-79870
Species: Hu
Applications: ELISA, IHC, MA

Publications for Uroplakin Ia Antibody (NBP2-79870) (0)

There are no publications for Uroplakin Ia Antibody (NBP2-79870).
By submitting your publication information earn gift cards and discounts for future purchases.

Reviews for Uroplakin Ia Antibody (NBP2-79870) (0)

There are no reviews for Uroplakin Ia Antibody (NBP2-79870). By submitting a review you will receive an Amazon e-Gift Card or Novus Product Discount.
  • Review with no image -- $10/€7/£6/$10 CAD/¥70 Yuan/¥1110 Yen
  • Review with an image -- $25/€18/£15/$25 CAD/¥150 Yuan/¥2500 Yen

Product General Protocols

Find general support by application which include: protocols, troubleshooting, illustrated assays, videos and webinars.

FAQs for Uroplakin Ia Antibody (NBP2-79870) (0)

There are no specific FAQs related to this product. Read our general customer & technical service FAQs.

Secondary Antibodies

 

Isotype Controls

Additional Uroplakin Ia Products

Array NBP2-79870

Research Areas for Uroplakin Ia Antibody (NBP2-79870)

Find related products by research area.

Blogs on Uroplakin Ia

There are no specific blogs for Uroplakin Ia, but you can read our latest blog posts.

Customers Who Bought This Also Bought

Contact Information

Product PDFs

Calculators

Concentration Calculator

The concentration calculator allows you to quickly calculate the volume, mass or concentration of your vial. Simply enter your mass, volume, or concentration values for your reagent and the calculator will determine the rest.

=
÷

Review this Product

Be the first to review our Uroplakin Ia Antibody (UPK1A/2925) - Azide and BSA Free and receive a gift card or discount.

Bioinformatics

Gene Symbol UPK1A