Uromodulin Antibody (10.32) - BSA Free

Images

 
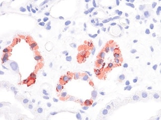
Immunohistochemistry-Frozen: Uromodulin Antibody (10.32) [NBP1-50321] - Human kidney tissue section stained with Uromodulin antibody. IHC-Fr image submitted by a verified customer review.
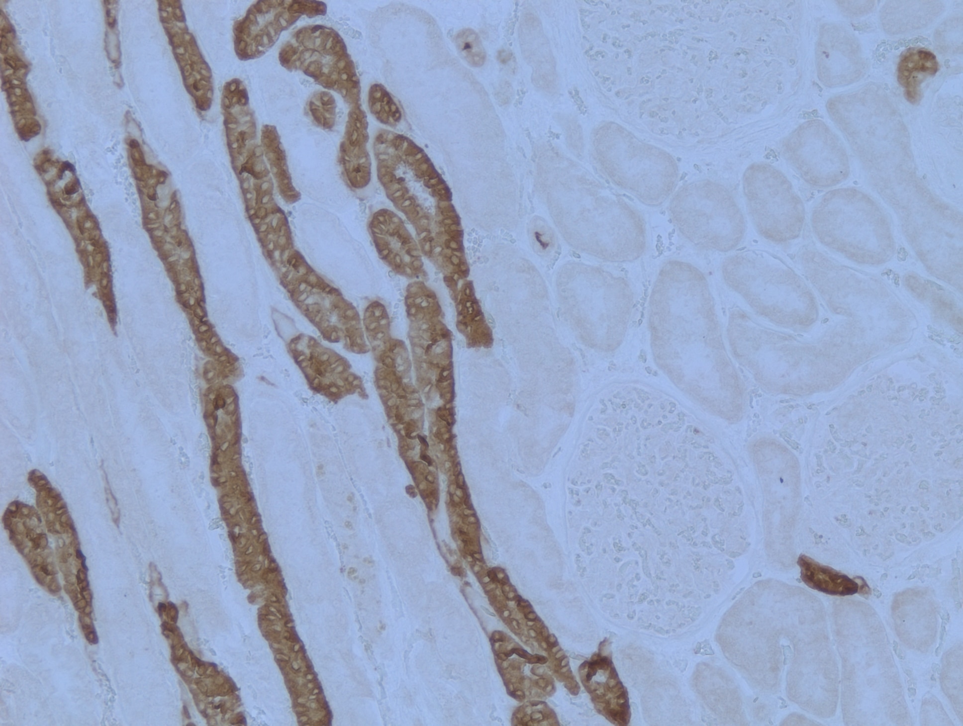
Immunohistochemistry-Paraffin: Uromodulin Antibody (10.32) [NBP1-50321] - Analysis of anti-UMOD / Uromodulin antibody with human kidney at concentration 20 ug/mL.
Immunohistochemistry-Paraffin: Uromodulin Antibody (10.32) [NBP1-50321] - Human kidney tissue, staining in kidney tubules. Heat mediated antigen retrieval was performed by heating in citrate buffer (pH 6) at 95C for 20 ...read more

Product Details

Summary
Reactivity Hu, CaSpecies Glossary
Applications IHC, ICC/IF
Clone
10.32
Clonality
Monoclonal
Host
Mouse
Conjugate
Unconjugated
Format
BSA Free
Concentration
1 mg/ml

Order Details

Uromodulin Antibody (10.32) - BSA Free Summary

Description
Novus Biologicals Mouse Uromodulin Antibody (10.32) - BSA Free (NBP1-50321) is a monoclonal antibody validated for use in IHC. Anti-Uromodulin Antibody: Cited in 1 publication. All Novus Biologicals antibodies are covered by our 100% guarantee.
Immunogen
Human Uromodulin protein.
Specificity
Anti-human Uromodulin is a monoclonal antibody which reacts with an epitope of the urinary mucoprotein. Uromodulin is a glycoprotein of approximately 80 kDa containing up to 25% carbohydrate by weight.
Isotype
IgG2b
Clonality
Monoclonal
Host
Mouse
Gene
UMOD
Purity
Protein G purified
Innovator's Reward
Test in a species/application not listed above to receive a full credit towards a future purchase.

Applications/Dilutions

Dilutions
  • Immunofluorescence 1:10 - 1:500
  • Immunohistochemistry 5 - 10 ug/mL
  • Immunohistochemistry-Frozen 1:10 - 1:500
  • Immunohistochemistry-Paraffin 5 - 10 ug/mL
Application Notes
This Uromodulin antibody is validated for IHC-P from a verified customer review..
Reviewed Applications
Read 2 Reviews rated 5
using
NBP1-50321 in the following applications:

Publications
Read Publication using NBP1-50321.

Packaging, Storage & Formulations

Storage
Store at 4C short term. Aliquot and store at -20C long term. Avoid freeze-thaw cycles.
Buffer
PBS
Preservative
0.02% Sodium Azide
Concentration
1 mg/ml
Purity
Protein G purified

Alternate Names for Uromodulin Antibody (10.32) - BSA Free

  • ADMCKD2
  • FJHN
  • HNFJ
  • HNFJ1
  • MCKD2
  • Tamm-Horsfall glycoprotein
  • Tamm-Horsfall urinary glycoprotein
  • THGP
  • THP
  • UMOD
  • uromodulin (uromucoid, Tamm-Horsfall glycoprotein)
  • Uromodulin
  • Uromucoid

Background

This gene encodes uromodulin, the most abundant protein in normal urine. Its excretion in urine follows proteolytic cleavage of the ectodomain of its glycosyl phosphatidylinosital-anchored counterpart that is situated on the luminal cell surface of the loop of Henle. Uromodulin may act as a constitutive inhibitor of calcium crystallization in renal fluids. Excretion of uromodulin in urine may provide defense against urinary tract infections caused by uropathogenic bacteria. Defects in this gene are associated with the autosomal dominant renal disorders medullary cystic kidney disease-2 (MCKD2) and familial juvenile hyperuricemic nephropathy (FJHN). These disorders are characterized by juvenile onset of hyperuricemia, gout, and progressive renal failure. While several transcript variants may exist for this gene, the full-length natures of only two have been described to date. These two represent the major variants of this gene and encode the same isoform. [provided by RefSeq]

Limitations

This product is for research use only and is not approved for use in humans or in clinical diagnosis. Primary Antibodies are guaranteed for 1 year from date of receipt.

Customers Who Viewed This Item Also Viewed...

MAB1455
Species: Hu
Applications: CyTOF-ready, Dual ISH-IHC, ICC, IHC, ICFlow, Simple Western, WB
AF808
Species: Mu
Applications: ELISA(Cap), ELISA(Det), ELISA(Sta), ICC, IHC, Neut, WB
NBP1-88109
Species: Hu, Mu, Rt
Applications: ICC/IF, WB
NBP1-82016
Species: Hu
Applications: ICC/IF, IHC,  IHC-P, WB
236-EG
Species: Hu
Applications: BA
NB300-109
Species: Ch, Dr, Hu, I, Ma, Mu, Rt
Applications: Dual ISH-IHC, ICC/IF, IHC-FrFl, IHC-WhMt, IHC, IHC-Fr,  IHC-P, KO, Simple Western, WB
NBP2-24653
Species: Hu, Mu, Rt
Applications: IHC,  IHC-P, WB
NBP2-02541
Species: Hu, Pm, Mu, Pm, Rt
Applications: ICC/IF, IHC,  IHC-P, WB
AF4090
Species: Hu
Applications: IHC, IP, Neut, WB
NBP1-89680
Species: Hu, Mu
Applications: ChIP, ICC/IF, IHC,  IHC-P, Simple Western, WB
NBP2-20383
Species: Hu, Mu
Applications: ICC/IF, IHC,  IHC-P, WB
NBP2-02623
Species: Ca, Hu, Mu, Rt
Applications: Flow, ICC/IF, IHC,  IHC-P, WB
NBP1-58268
Species: Hu, Mu
Applications: IHC,  IHC-P, WB
2914-HT
Species: Hu
Applications: BA
NB100-56566
Species: Bv, Hu, Ma, Mu, Po, Rt
Applications: B/N, ChIP, CyTOF-ready, DB, Dual ISH-IHC, ELISA(Cap), ELISA, Flow-CS, Flow-IC, Flow, ICC/IF, IHC, IHC-Fr,  IHC-P, In vitro, KD, KO, PAGE, Simple Western, WB
NBP2-45731
Species: Ca, Hu, Pm
Applications: IHC,  IHC-P, WB
MAB7724
Species: Hu
Applications: ICC, WB

Publications for Uromodulin Antibody (NBP1-50321)(1)

Reviews for Uromodulin Antibody (NBP1-50321) (2) 52

Average Rating: 5
(Based on 2 reviews)
We have 2 reviews tested in 1 species: Human.

Reviews using NBP1-50321:
Filter by Applications
IHC-Fr
(1)
 IHC-P
(1)
All Applications
Filter by Species
Human
(2)
All Species
Images Ratings Applications Species Date Details
Immunohistochemistry-Frozen Uromodulin NBP1-50321
Enlarge
5
reviewed by:
Verified Customer
IHC-Fr Human 08/12/2021
View

Summary

ApplicationImmunohistochemistry-Frozen
Sample TestedHuman kidney
SpeciesHuman
Lot10.32
Immunohistochemistry-Paraffin Uromodulin NBP1-50321
Enlarge
5
reviewed by:
Santhosh Sivajothi
 IHC-P Human 05/22/2018
View

Summary

ApplicationImmunohistochemistry-Paraffin
Sample TestedHuman kidney tissue
SpeciesHuman
Lot66265

Comments

CommentsHeat mediated antigen retrieval was performed by heating in citrate buffer (pH6) at 95C for 20 minutes

Product General Protocols

Find general support by application which include: protocols, troubleshooting, illustrated assays, videos and webinars.

FAQs for Uromodulin Antibody (NBP1-50321) (0)

There are no specific FAQs related to this product. Read our general customer & technical service FAQs.

Secondary Antibodies

 

Isotype Controls

Additional Uromodulin Products

Research Areas for Uromodulin Antibody (NBP1-50321)

Find related products by research area.

Blogs on Uromodulin

There are no specific blogs for Uromodulin, but you can read our latest blog posts.

Customers Who Bought This Also Bought

Contact Information

Product PDFs

Calculators

Concentration Calculator

The concentration calculator allows you to quickly calculate the volume, mass or concentration of your vial. Simply enter your mass, volume, or concentration values for your reagent and the calculator will determine the rest.

=
÷

Recent Reviews

5
5
2
4
0
3
0
2
0
1
0

Verified Customer
08/12/2021
Application: IHC-Fr
Species: Human

Santhosh Sivajothi
05/22/2018
Application:  IHC-P
Species: Human

Bioinformatics

Gene Symbol UMOD
Entrez
Uniprot