Ufc1 Antibody - BSA Free

Images

 
Independent Antibodies: Western Blot: Ufc1 Antibody [NBP1-81676] - Analysis using Anti-UFC1 antibody NBP1-81676 (A) shows similar pattern to independent antibody NBP1-81677 (B).
Immunocytochemistry/ Immunofluorescence: Ufc1 Antibody [NBP1-81676] - Immunofluorescent staining of human cell line A-431 shows localization to nuclear speckles & cytosol.
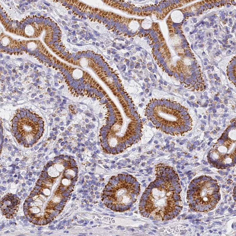
Immunohistochemistry-Paraffin: Ufc1 Antibody [NBP1-81676] - Staining of human colon.
Western Blot: Ufc1 Antibody [NBP1-81676] - Analysis in mouse cell line NIH-3T3 and rat cell line NBT-II.
Immunohistochemistry-Paraffin: Ufc1 Antibody [NBP1-81676] - Staining of human nasopharynx shows strong cytoplasmic and nuclear positivity in respiratory epithelial cells.
Independent Antibodies: Immunohistochemistry-Paraffin: Ufc1 Antibody [NBP1-81676] - Staining of human colon, kidney, liver and nasopharynx using Anti-UFC1 antibody NBP1-81676 (A) shows similar protein ...read more
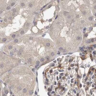
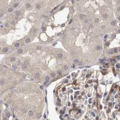
Immunohistochemistry-Paraffin: Ufc1 Antibody [NBP1-81676] - Staining of human kidney.
Immunohistochemistry-Paraffin: Ufc1 Antibody [NBP1-81676] - Staining of human nasopharynx.
Immunohistochemistry-Paraffin: Ufc1 Antibody [NBP1-81676] - Staining of human liver.

Product Details

Summary
Reactivity Hu, Mu, RtSpecies Glossary
Applications WB, ICC/IF, IHC
Clonality
Polyclonal
Host
Rabbit
Conjugate
Unconjugated
Format
BSA Free
Validated by:
 

Independent Antibodies

       

Order Details

View Available Formulations
Catalog# & Formulation Size Price

Ufc1 Antibody - BSA Free Summary

Description
Novus Biologicals Rabbit Ufc1 Antibody - BSA Free (NBP1-81676) is a polyclonal antibody validated for use in IHC, WB and ICC/IF. All Novus Biologicals antibodies are covered by our 100% guarantee.
Immunogen
This antibody was developed against Recombinant Protein corresponding to amino acids: MADEATRRVVSEIPVLKTNAGPRDRELWVQRLKEEYQSLIRYVENNKNADNDWFRLESNKEGTRWFGKCWYIHDLLKYEFDIE
Isotype
IgG
Clonality
Polyclonal
Host
Rabbit
Gene
UFC1
Purity
Immunogen affinity purified
Innovator's Reward
Test in a species/application not listed above to receive a full credit towards a future purchase.

Applications/Dilutions

Dilutions
  • Immunocytochemistry/ Immunofluorescence 0.25-2 ug/ml
  • Immunohistochemistry 1:200 - 1:500
  • Immunohistochemistry-Paraffin 1:200 - 1:500
  • Western Blot 0.04-0.4 ug/ml
Application Notes
For IHC-Paraffin, HIER pH 6 retrieval is recommended. Immunocytochemistry/Immunofluorescence Fixation Permeabilization: Use PFA/Triton X-100.
Control Peptide
Ufc1 Protein (NBP1-81676PEP)

Packaging, Storage & Formulations

Storage
Store at 4C short term. Aliquot and store at -20C long term. Avoid freeze-thaw cycles.
Buffer
PBS (pH 7.2) and 40% Glycerol
Preservative
0.02% Sodium Azide
Purity
Immunogen affinity purified

Alternate Names for Ufc1 Antibody - BSA Free

  • HSPC155
  • ubiquitin-fold modifier conjugating enzyme 1
  • ubiquitin-fold modifier-conjugating enzyme 1
  • Ufc1
  • Ufm1-conjugating enzyme 1

Background

UFC1 is an E2-like conjugating enzyme for ubiquitin-fold modifier-1 (UFM1; MIM 610553) (Komatsu et al., 2004 [PubMed 15071506]).[supplied by OMIM]

Limitations

This product is for research use only and is not approved for use in humans or in clinical diagnosis. Primary Antibodies are guaranteed for 1 year from date of receipt.

Customers Who Viewed This Item Also Viewed...

NBP2-94235
Species: Hu, Mu, Rt
Applications: ELISA, ICC/IF, IHC,  IHC-P, WB
NBP1-82087
Species: Hu
Applications: ICC/IF, IHC,  IHC-P
NBP1-89522
Species: Hu, Mu, Rt
Applications: ICC/IF, IHC,  IHC-P, WB
NBP2-54301
Species: Hu, Mu, Rt
Applications: CyTOF-ready, ELISA, IHC,  IHC-P, WB
NBP2-13961
Species: Hu
Applications: ICC/IF, IHC,  IHC-P, WB
AF9024
Species: Mu, Rt
Applications: IHC, WB
NBP1-89150
Species: Hu
Applications: IHC,  IHC-P, WB
E2-656
Species: Hu, Mu, Rt
Applications: EnzAct
NBP1-31302
Species: Hu, Mu, Rt
Applications: ICC/IF, IHC,  IHC-P, KO, WB
H00011026-M01
Species: Hu
Applications: ELISA, WB
NBP1-31336
Species: Hu, Mu, Rt
Applications: ICC/IF, IHC,  IHC-P, KD, WB
NBP2-27561
Species: Ch, Hu, Rt
Applications: IHC,  IHC-P, PEP-ELISA, WB
AF2255
Species: Mu
Applications: Block, CyTOF-ready, Flow, IHC, WB
NBP1-88308
Species: Hu
Applications: IHC,  IHC-P
NBP2-15071
Species: Hu, Mu, Rt
Applications: ICC/IF, IHC,  IHC-P, KO, WB
UL-812
Species: Hu, Mu, Rt
Applications: EnzAct
AF1356
Species: Hu, Mu
Applications: CyTOF-ready, Dual ISH-IHC, Flow, IHC, Simple Western, WB
NBP1-90692
Species: Hu
Applications: IHC,  IHC-P, KO, WB
NBP1-91797
Species: Hu
Applications: IHC,  IHC-P
NBP1-81676
Species: Hu, Mu, Rt
Applications: WB, ICC/IF, IHC

Publications for Ufc1 Antibody (NBP1-81676) (0)

There are no publications for Ufc1 Antibody (NBP1-81676).
By submitting your publication information earn gift cards and discounts for future purchases.

Reviews for Ufc1 Antibody (NBP1-81676) (0)

There are no reviews for Ufc1 Antibody (NBP1-81676). By submitting a review you will receive an Amazon e-Gift Card or Novus Product Discount.
  • Review with no image -- $10/€7/£6/$10 CAD/¥70 Yuan/¥1110 Yen
  • Review with an image -- $25/€18/£15/$25 CAD/¥150 Yuan/¥2500 Yen

Product General Protocols

Find general support by application which include: protocols, troubleshooting, illustrated assays, videos and webinars.

Video Protocols

WB Video Protocol
ICC/IF Video Protocol

FAQs for Ufc1 Antibody (NBP1-81676) (0)

There are no specific FAQs related to this product. Read our general customer & technical service FAQs.

Secondary Antibodies

 

Isotype Controls

Additional Ufc1 Products

Research Areas for Ufc1 Antibody (NBP1-81676)

Find related products by research area.

Blogs on Ufc1

There are no specific blogs for Ufc1, but you can read our latest blog posts.

Customers Who Bought This Also Bought

Contact Information

Product PDFs

Calculators

Concentration Calculator

The concentration calculator allows you to quickly calculate the volume, mass or concentration of your vial. Simply enter your mass, volume, or concentration values for your reagent and the calculator will determine the rest.

=
÷

Review this Product

Be the first to review our Ufc1 Antibody - BSA Free and receive a gift card or discount.

Bioinformatics

Gene Symbol UFC1