CNIH4 Antibody - BSA Free

Images

 
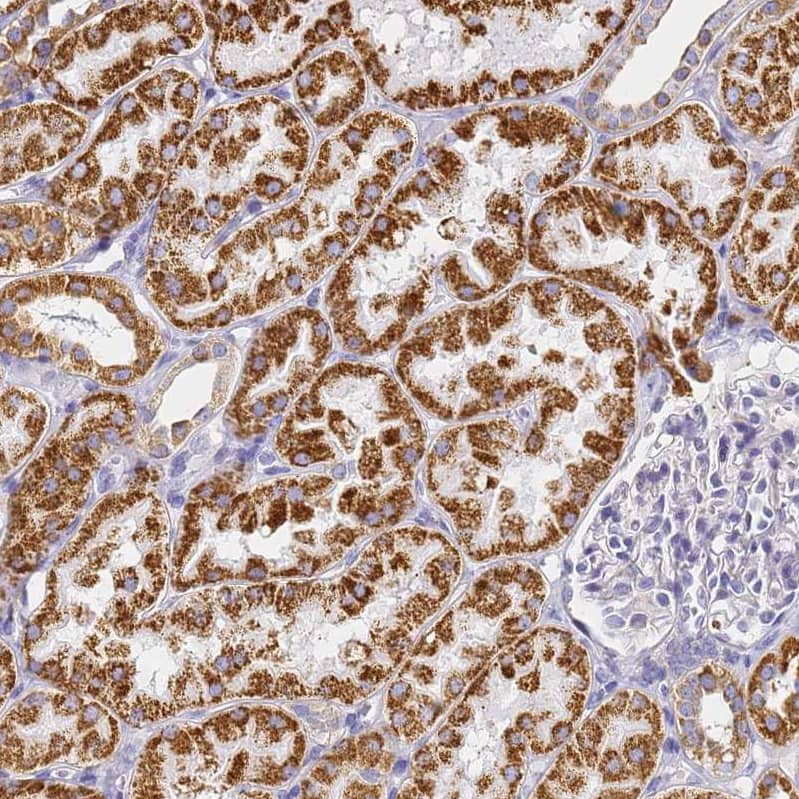
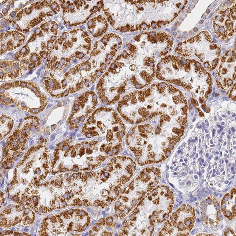
Immunohistochemistry-Paraffin: CNIH4 Antibody [NBP1-91797] - Staining of human kidney shows strong cytoplasmic positivity in renal tubules.
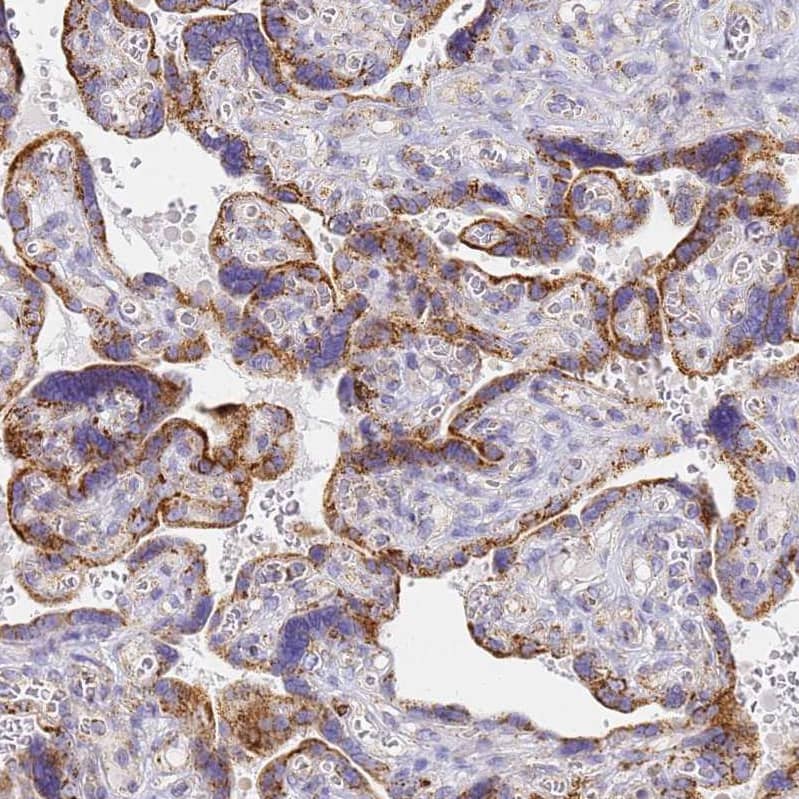
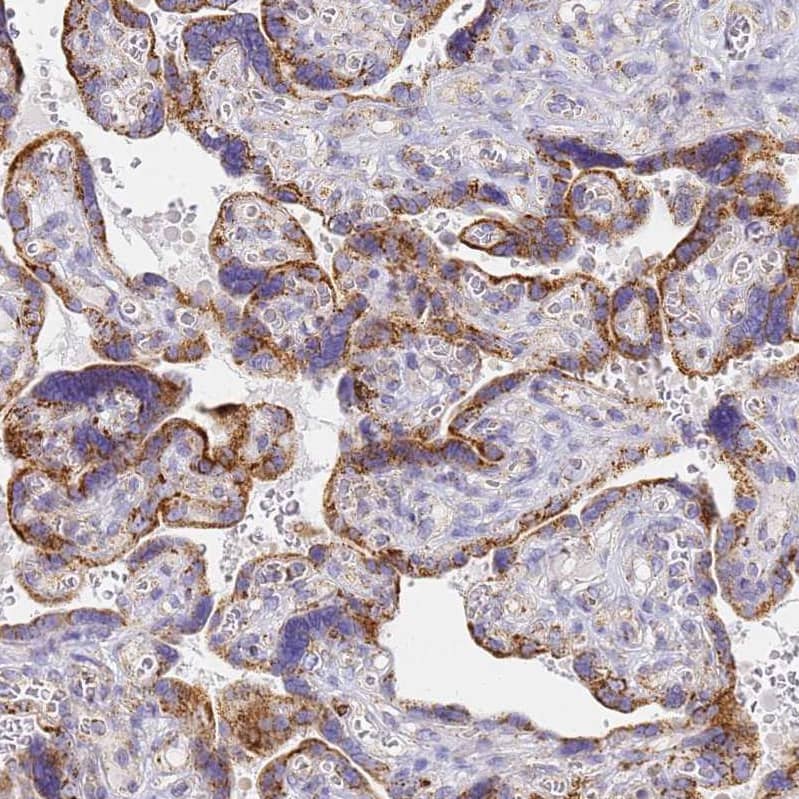
Immunohistochemistry-Paraffin: CNIH4 Antibody [NBP1-91797] -Staining of human placenta shows strong cytoplasmic granular positivity in trophoblastic cells.
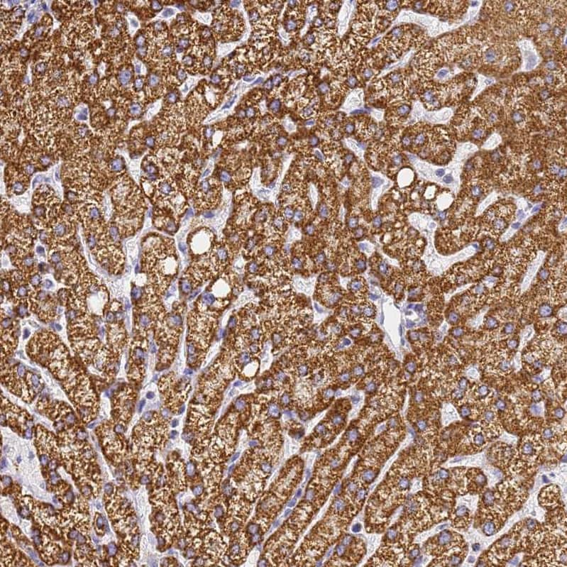
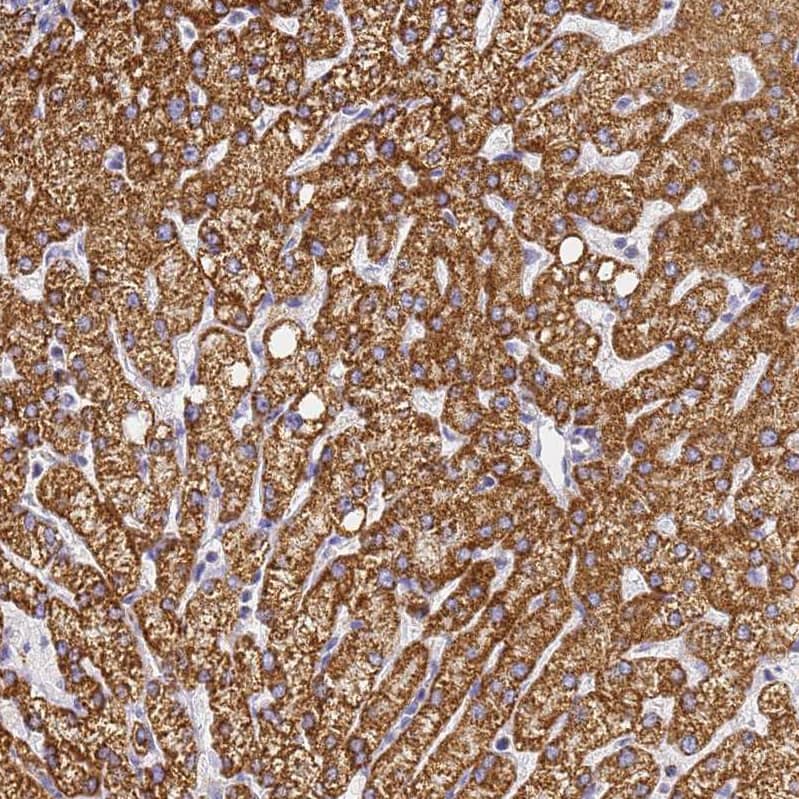
Immunohistochemistry-Paraffin: CNIH4 Antibody [NBP1-91797] -Staining of human liver shows strong cytoplasmic granular positivity in hepatocytes.
Staining of human kidney shows strong cytoplasmic granular positivity in cells in tubules.
Staining of human liver shows strong cytoplasmic granular positivity in hepatocytes.
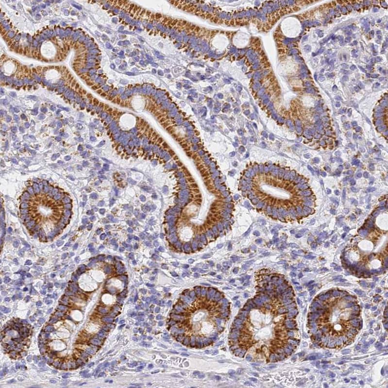
Staining of human duodenum shows strong cytoplasmic granular positivity in glandular cells.
Staining of human placenta shows strong cytoplasmic granular positivity in trophoblastic cells.
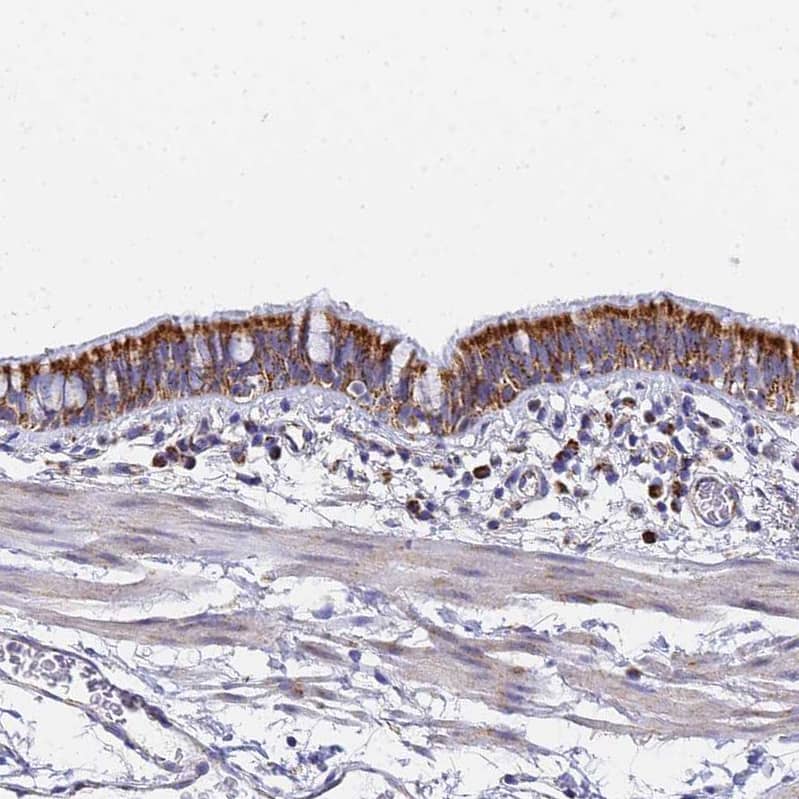
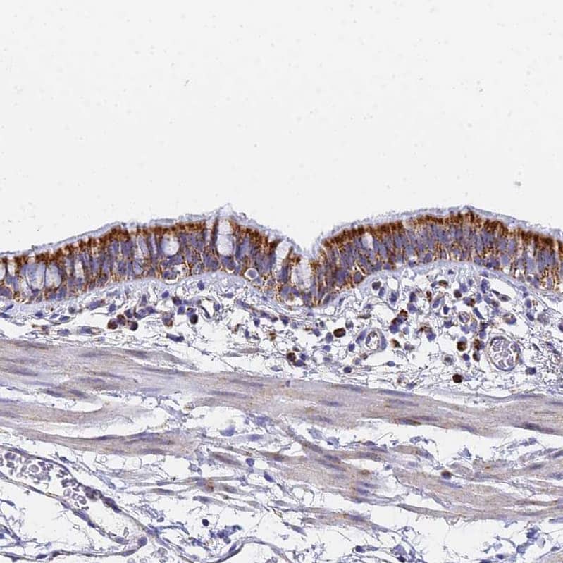
Staining of human bronchus shows strong cytoplasmic granular positivity in respiratory epithelial cells.

Product Details

Summary
Reactivity Hu, Mu, RtSpecies Glossary
Applications IHC
Clonality
Polyclonal
Host
Rabbit
Conjugate
Unconjugated
Format
BSA Free

Order Details

View Available Formulations
Catalog# & Formulation Size Price

CNIH4 Antibody - BSA Free Summary

Description
Novus Biologicals Rabbit CNIH4 Antibody - BSA Free (NBP1-91797) is a polyclonal antibody validated for use in IHC. All Novus Biologicals antibodies are covered by our 100% guarantee.
Immunogen
This antibody was developed against Recombinant Protein corresponding to amino acids: VATWNIYRYIMVPSGNMGVFDPTEIHNRGQLKSH
Predicted Species
Mouse (97%), Rat (97%). Backed by our 100% Guarantee.
Isotype
IgG
Clonality
Polyclonal
Host
Rabbit
Gene
CNIH4
Purity
Immunogen affinity purified
Innovator's Reward
Test in a species/application not listed above to receive a full credit towards a future purchase.

Applications/Dilutions

Dilutions
  • Immunohistochemistry 1:200 - 1:500
  • Immunohistochemistry-Paraffin 1:200 - 1:500
Application Notes
For IHC-Paraffin, HIER pH 6 retrieval is recommended.
Control Peptide
CNIH4 Protein (NBP1-91797PEP)
Reviewed Applications
Read 1 Review rated 5
using
NBP1-91797 in the following applications:

Packaging, Storage & Formulations

Storage
Store at 4C short term. Aliquot and store at -20C long term. Avoid freeze-thaw cycles.
Buffer
PBS (pH 7.2) and 40% Glycerol
Preservative
0.02% Sodium Azide
Purity
Immunogen affinity purified

Alternate Names for CNIH4 Antibody - BSA Free

  • cornichon homolog 4 (Drosophila)
  • HSPC163
  • protein cornichon homolog 4

Background

HSPC163( AAH00573, 1 a.a. - 140 a.a.) full-length recombinant protein with GST.

Limitations

This product is for research use only and is not approved for use in humans or in clinical diagnosis. Primary Antibodies are guaranteed for 1 year from date of receipt.

Customers Who Viewed This Item Also Viewed...

NBP2-29906
Species: Ca, Hu, Mu
Applications: ICC/IF, IHC,  IHC-P, IP, WB
NBP1-31336
Species: Hu, Mu, Rt
Applications: ICC/IF, IHC,  IHC-P, KD, WB
AF2255
Species: Mu
Applications: Block, CyTOF-ready, Flow, IHC, WB
H00003845-M01
Species: Hu, Mu
Applications: ELISA, ICC/IF, IP, WB
NBP2-15071
Species: Hu, Mu, Rt
Applications: ICC/IF, IHC,  IHC-P, KO, WB
NBP2-01225
Species: Hu, Mu, Rt
Applications: IHC,  IHC-P, WB
H00005997-M01
Species: Hu, Mu
Applications: ELISA, IHC,  IHC-P, KD, WB
MAB2005
Species: Hu
Applications: CyTOF-ready, Flow, WB
NBP1-80681
Species: Hu
Applications: ICC/IF, IHC,  IHC-P, WB
NBP2-00880
Species: Hu, Mu, Rt
Applications: Flow, ICC/IF, IHC,  IHC-P, WB
NBP1-87986
Species: Hu
Applications: IHC,  IHC-P
NBP2-13963
Species: Hu, Ze
Applications: ICC/IF, IHC,  IHC-P, WB
NBP1-81676
Species: Hu, Mu, Rt
Applications: ICC/IF, IHC,  IHC-P, WB

Publications for CNIH4 Antibody (NBP1-91797) (0)

There are no publications for CNIH4 Antibody (NBP1-91797).
By submitting your publication information earn gift cards and discounts for future purchases.

Review for CNIH4 Antibody (NBP1-91797) (1) 51

Average Rating: 5
(Based on 1 review)
We have 1 review tested in 1 species: Human.

Reviews using NBP1-91797:
Filter by Applications
 IHC-P
(1)
All Applications
Filter by Species
Human
(1)
All Species
Images Ratings Applications Species Date Details
Immunohistochemistry-Paraffin CNIH4 NBP1-91797
Enlarge
5
reviewed by:
Verified Customer
 IHC-P Human 10/04/2017
View

Summary

ApplicationImmunohistochemistry-Paraffin
Sample TestedRetina pigment epithelial cell (RPE)
SpeciesHuman
LotR43432

Product General Protocols

Find general support by application which include: protocols, troubleshooting, illustrated assays, videos and webinars.

FAQs for CNIH4 Antibody (NBP1-91797) (0)

There are no specific FAQs related to this product. Read our general customer & technical service FAQs.

Secondary Antibodies

 

Isotype Controls

Additional CNIH4 Products

Research Areas for CNIH4 Antibody (NBP1-91797)

Find related products by research area.

Blogs on CNIH4

There are no specific blogs for CNIH4, but you can read our latest blog posts.

Customers Who Bought This Also Bought

Contact Information

Product PDFs

Calculators

Concentration Calculator

The concentration calculator allows you to quickly calculate the volume, mass or concentration of your vial. Simply enter your mass, volume, or concentration values for your reagent and the calculator will determine the rest.

=
÷

Recent Reviews

5
5
1
4
0
3
0
2
0
1
0

Verified Customer
10/04/2017
Application:  IHC-P
Species: Human

Bioinformatics

Gene Symbol CNIH4