Tubulin Beta 2C Antibody (ST52-04)

Images

 
Western Blot: Tubulin Beta 2C Antibody (ST52-04) [NBP2-67520] - Analysis of beta II Tubulin on different lysates using anti-beta II Tubulin antibody at 1/1,000 dilution. Positive control: Lane 1: Mouse brain Lane 2: ...read more
Immunocytochemistry/ Immunofluorescence: Tubulin Beta 2C Antibody (ST52-04) [NBP2-67520] - Staining beta II Tubulin in N2A cells (green). The nuclear counter stain is DAPI (blue). Cells were fixed in paraformaldehyde, ...read more
Immunohistochemistry-Paraffin: Tubulin Beta 2C Antibody (ST52-04) [NBP2-67520] - Immunohistochemical analysis of paraffin-embedded rat brain tissue using anti-Tubulin Beta 2C antibody. The section was pre-treated using ...read more
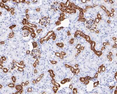
Immunohistochemistry-Paraffin: Tubulin Beta 2C Antibody (ST52-04) [NBP2-67520] - Analysis of paraffin-embedded human kidney tissue using anti-beta II Tubulin antibody. Counter stained with hematoxylin.
Immunohistochemistry-Paraffin: Tubulin Beta 2C Antibody (ST52-04) [NBP2-67520] - Analysis of paraffin-embedded mouse brain tissue using anti-beta II Tubulin antibody. Counter stained with hematoxylin.
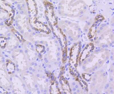
Immunohistochemistry-Paraffin: Tubulin Beta 2C Antibody (ST52-04) [NBP2-67520] - Immunohistochemical analysis of paraffin-embedded mouse kidney tissue using anti-Tubulin Beta 2C antibody. The section was pre-treated ...read more

Product Details

Summary
Product Discontinued
View other related Tubulin Beta 2C Primary Antibodies

Order Details


    • Catalog Number
      NBP2-67520
    • Availability
      Product Discontinued

    Can't find what you are looking for? Use our Antibody Concierge Service & we will help you locate your antibody!

    Or feel free to contact us for alternative products.

Tubulin Beta 2C Antibody (ST52-04) Summary

Additional Information
Recombinant Monoclonal Antibody.
Immunogen
Synthetic peptide within Human Tubulin Beta 2C aa 407-445 / 445. (SwissProt: P68371 Human; SwissProt: Q13885 Human; SwissProt: Q9BVA1 Human; SwissProt: P68372 Mouse; SwissProt: Q7TMM9 Mouse; SwissProt: Q9CWF2 Mouse; SwissProt: P85108 Rat; SwissProt: Q3KRE8 Rat; SwissProt: Q6P9T8 Rat)
Localization
Cytoplasm, Cytoskeleton, Microtubule.
Isotype
IgG
Clonality
Monoclonal
Host
Rabbit
Gene
TUBB4B
Purity
Protein A purified
Innovator's Reward
Test in a species/application not listed above to receive a full credit towards a future purchase.

Applications/Dilutions

Dilutions
  • Immunocytochemistry/ Immunofluorescence 1:50-1:200
  • Immunohistochemistry
  • Immunohistochemistry-Paraffin 1:50-1:200
  • Immunoprecipitation
  • Western Blot 1:1000-1:5000

Packaging, Storage & Formulations

Storage
Store at 4C short term. Aliquot and store at -20C long term. Avoid freeze-thaw cycles.
Buffer
TBS (pH7.4), 0.05% BSA, 40% Glycerol
Preservative
0.05% Sodium Azide
Concentration
1 mg/ml
Purity
Protein A purified

Alternate Names for Tubulin Beta 2C Antibody (ST52-04)

  • class IVb beta tubulin
  • TUBB2
  • TUBB2C
  • TUBB4B
  • Tubulin Beta 2C
  • Tubulin beta-2 chain
  • tubulin beta-2C chain
  • tubulin, beta 2C
  • tubulin, beta, 2

Background

Tubulin is the major constituent of microtubules. It binds two moles of GTP, one at an exchangeable site on the beta chain and one at a non-exchangeable site on the alpha-chain

Limitations

This product is for research use only and is not approved for use in humans or in clinical diagnosis. Primary Antibodies are guaranteed for 1 year from date of receipt.

Customers Who Viewed This Item Also Viewed...

NB600-936
Species: Bv, Ce, Ch, ChHa, Hu, I, In, Mu, Po, Pm, Rt, Xp, Ze
Applications: ICC/IF, IHC,  IHC-P, Simple Western, WB
MAB9036
Species: Hu
Applications: ICC, WB
MAB1195
Species: All-Multi
Applications: ICC, IHC, ICFlow, Simple Western, WB
MAB8527
Species: Hu
Applications: ICC, IHC, WB
NBP2-15581
Species: Dr, Hu, Mu, Rt
Applications: ICC/IF, IHC,  IHC-P, WB
NB100-64792
Species: Hu
Applications: ELISA, Flow, ICC/IF, IHC, IHC-Fr,  IHC-P, WB
NBP2-00812
Species: Ca, Hu, Pm, Mu, Pm, Rt
Applications: Flow, ICC/IF, IHC,  IHC-P, WB
NB600-501
Species: Bv, Ca, Ch, Dr(-), Fe, Fi, Gt, Gp, Ha, Hu, Le, Ma, Mu, Po, Pm, Rb, Rt, Sh, Sq, Tr, Ze
Applications: ChIP, ELISA, Flow, ICC/IF, IHC, IHC-Fr,  IHC-P, IP, KD, KO, Simple Western, WB
NB300-619
Species: Bv, Ch, Ha, Hu, Mu, Rt
Applications: ICC, ICC/IF, IHC,  IHC-P, IP, WB
NBP2-24859
Species: Ca, Hu, Mu, Pm
Applications: ICC/IF, IHC,  IHC-P, WB
AF5414
Species: Hu
Applications: Simple Western, WB
NBP1-06274
Species: Ce, Ch, Dr, Hu, Mu, Rt, Sh, Ze
Applications: Flow, ICC/IF, IHC-FrFl, IHC,  IHC-P, Simple Western, WB
NB600-501
Species: Bv, Ca, Ch, Dr(-), Fe, Fi, Gt, Gp, Ha, Hu, Le, Ma, Mu, Po, Pm, Rb, Rt, Sh, Sq, Tr, Ze
Applications: ChIP, ELISA, Flow, ICC/IF, IHC, IHC-Fr,  IHC-P, IP, KD, KO, Simple Western, WB
NBP2-32875
Species: Hu, Rt
Applications: Flow, ICC/IF, IHC,  IHC-P, Simple Western, WB
NBP2-29463
Species: Pm, Hu, Pm, Mu
Applications: Flow, ICC/IF, IHC,  IHC-P, WB
AF820
Species: Hu, Mu
Applications: ICC, IHC, KO, Simple Western, WB
NBP2-93653
Species: Hu, Mu, Rt
Applications: ELISA, ICC/IF, IHC,  IHC-P, WB
NB300-221
Species: Av, Bv, Ca, Ch, ChHa, Dr, Eq, Fe, Ha, Hu, Mu, Ma-Op, Po, Pm, Rb, Rt, Sh, Ze
Applications: ChIP, ICC/IF, IHC, IHC-Fr, IP, KD, Simple Western, Single-Cell Western, WB
NB100-2269
Species: Hu, Mu
Applications: IHC,  IHC-P, IP, KD, WB
NBP3-41568
Species: Hu, Mu, Rt
Applications: IHC,  IHC-P, WB

Publications for Tubulin Beta 2C Antibody (NBP2-67520) (0)

There are no publications for Tubulin Beta 2C Antibody (NBP2-67520).
By submitting your publication information earn gift cards and discounts for future purchases.

Reviews for Tubulin Beta 2C Antibody (NBP2-67520) (0)

There are no reviews for Tubulin Beta 2C Antibody (NBP2-67520). By submitting a review you will receive an Amazon e-Gift Card or Novus Product Discount.
  • Review with no image -- $10/€7/£6/$10 CAD/¥70 Yuan/¥1110 Yen
  • Review with an image -- $25/€18/£15/$25 CAD/¥150 Yuan/¥2500 Yen

Product General Protocols

Find general support by application which include: protocols, troubleshooting, illustrated assays, videos and webinars.

Video Protocols

WB Video Protocol
ICC/IF Video Protocol

FAQs for Tubulin Beta 2C Antibody (NBP2-67520) (0)

There are no specific FAQs related to this product. Read our general customer & technical service FAQs.

Secondary Antibodies

 

Isotype Controls

Additional Tubulin Beta 2C Products

Research Areas for Tubulin Beta 2C Antibody (NBP2-67520)

Find related products by research area.

Blogs on Tubulin Beta 2C

There are no specific blogs for Tubulin Beta 2C, but you can read our latest blog posts.

Contact Information

Product PDFs

Calculators

Concentration Calculator

The concentration calculator allows you to quickly calculate the volume, mass or concentration of your vial. Simply enter your mass, volume, or concentration values for your reagent and the calculator will determine the rest.

=
÷

Review this Product

Be the first to review our Tubulin Beta 2C Antibody (ST52-04) and receive a gift card or discount.

Bioinformatics

Gene Symbol TUBB4B