TTF-1 / NKX2-1 Antibody (SPM150)

Images

 
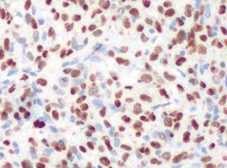
Immunohistochemistry-Paraffin: TTF-1 / NKX2-1 Antibody (SPM150) [NBP2-32999] - Analysis of human lung carcinoma using TTF-1 / NKX2-1 antibody. Incubated over night in 4C with the primary antibody, 1.0ug/ml. Image from ...read more
Immunohistochemistry-Paraffin: TTF-1 / NKX2-1 Antibody (SPM150) [NBP2-32999] - Human LUng Carcinoma

Product Details

Summary
Reactivity Hu, Mu, RtSpecies Glossary
Applications Flow, ICC/IF, IHC
Clone
SPM150
Clonality
Monoclonal
Host
Mouse
Conjugate
Unconjugated
Concentration
0.2 mg/ml

Order Details

TTF-1 / NKX2-1 Antibody (SPM150) Summary

Description
200ug/ml of antibody purified from Bioreactor Concentrate by Protein A or G. Prepared in 10 mM PBS with 0.05% BSA & 0.05% azide. Also available WITHOUT BSA & azide at 1.0 mg/ml. (NBP2-34742)

Antibody with azide - store at 2 to 8C. Antibody without azide - store at -20 to -80C.
Immunogen
Rat full length TTF-1 / NKX2-1 recombinant protein (Uniprot: P43699)
Localization
Nuclear
Marker
Thyroid & Lung Epithelial Marker
Isotype
IgG1 Kappa
Clonality
Monoclonal
Host
Mouse
Gene
NKX2-1
Purity
Protein A or G purified
Innovator's Reward
Test in a species/application not listed above to receive a full credit towards a future purchase.

Applications/Dilutions

Dilutions
  • Flow Cytometry 1-2 ug/million cells
  • Immunocytochemistry/ Immunofluorescence 1-2 ug/ml
  • Immunohistochemistry
  • Immunohistochemistry-Paraffin 1-2 ug/ml
Application Notes
Immunohistochemistry (Formalin-fixed): 1-2ug/ml for 30 minutes at RT. Staining of formalin-fixed tissues requires heating tissue sections in 10mM Tris with 1mM EDTA, pH 9.0, for 45 min at 95C followed by cooling at RT for 20 minutes.
Optimal dilution for a specific application should be determined.
Theoretical MW
40 kDa.
Disclaimer note: The observed molecular weight of the protein may vary from the listed predicted molecular weight due to post translational modifications, post translation cleavages, relative charges, and other experimental factors.
Reviewed Applications
Read 1 Review rated 5
using
NBP2-32999 in the following applications:

Publications
Read Publication using NBP2-32999.

Reactivity Notes

Shows broad species reactivity.

Packaging, Storage & Formulations

Storage
Store at 4C.
Buffer
10 mM PBS with 0.05% BSA
Preservative
0.05% Sodium Azide
Concentration
0.2 mg/ml
Purity
Protein A or G purified

Alternate Names for TTF-1 / NKX2-1 Antibody (SPM150)

  • BCH
  • benign chorea
  • BHC
  • Homeobox protein NK-2 homolog A
  • homeobox protein Nkx-2.1
  • NK2 homeobox 1
  • NK-2 homolog A
  • NKX2.1
  • NKX2-1
  • NKX2A
  • NKX2ANKX2.1
  • T/EBP
  • Thyroid nuclear factor 1
  • Thyroid transcription factor 1BHC
  • TITF1
  • TITF1TEBP
  • TTF1
  • TTF-1
  • TTF1BCH
  • TTF-1NK-2

Background

The thyroid transcription factor 1 (TTF-1) is a homeodomain-containing transcription factor that activates the transcriptional activity of thyroid-specific gene promoters by binding to them. Hence, TTF-1 is crucial in the maintenance of the thyroid differentiation phenotype (1). Thyroid dysgenesis (TD) is responsible for most cases of congenital hypothyroidism, a condition that affects about one in 4000 newborns. Mutations in PAX8, TTF1, or FOXE1 may account for congenital hypothyroidism in patients with either isolated TD or TD with associated malformations involving kidney, lung, forebrain, and palate (2). In addition to its presence in thyroid gland epithelium, the human TTF-1 protein was detected by immunohistochemistry in human fetal lung as early as 11 weeks of gestation, being localized in the nuclei of epithelial cells of the developing airways. After birth, TTF-1 was selectively expressed in Type II epithelial cells in the alveoli and in subsets of bronchiolar epithelial cells in the conducting regions of the lung (3).

Limitations

This product is for research use only and is not approved for use in humans or in clinical diagnosis. Primary Antibodies are guaranteed for 1 year from date of receipt.

Customers Who Viewed This Item Also Viewed...

NBP2-34294
Species: Hu, Mu, Rt
Applications: Flow, IHC,  IHC-P
NBP2-67309
Species: Hu, Rt
Applications: Flow, ICC/IF, IHC,  IHC-P, IP, WB
MAB4375
Species: Hu, Mu, Rt
Applications: IHC
NBP2-47940
Species: Hu
Applications: CyTOF-ready, Flow, ICC/IF, IF, IHC,  IHC-P, Simple Western, WB
H00006439-P01
Species: Hu
Applications: ELISA, AP, PA, WB
NBP1-80670
Species: Hu
Applications: IHC,  IHC-P, WB
NBP1-32440
Species: Ca, Hu, Mu, Rt
Applications: ChIP, ICC/IF, IHC,  IHC-P, IP, Simple Western, Single-Cell Western, WB
NBP1-87201
Species: Hu
Applications: IHC,  IHC-P, WB
AF7355
Species: Hu
Applications: ICC, Simple Western, WB
AF1916
Species: Hu
Applications: ICC, IHC, WB
AF231
Species: Hu
Applications: CyTOF-ready, Dual ISH-IHC, ELISA(Cap), ELISA(Det), ELISA(Sta), Flow, ICC, IHC, IP, Simple Western, WB
MAB4218
Species: Hu
Applications: IHC, WB
MAB4077
Species: Hu
Applications: IHC, WB
NB100-1271
Species: Hu
Applications: IHC,  IHC-P, PEP-ELISA
NBP1-19788
Species: Hu, Mu, Rt
Applications: ICC/IF, IHC,  IHC-P
NB100-355
Species: Bv, Ca, Ch, Hu, Mu, Po, Pm, Rt, Xp
Applications: CyTOF-ready, Flow, ICC/IF, IF, IHC, IHC-Fr,  IHC-P, IP, In vivo, KO, Simple Western, WB
NBP1-18885
Species: Hu
Applications: ICC/IF, IHC,  IHC-P, IP, KO, WB
MAB6534
Species: Hu
Applications: ELISA, WB
NB300-653
Species: Ch, Fe, Hu, Pm, Mu, Rt
Applications: ELISA, ICC/IF, IHC, IHC-Fr,  IHC-P, IP, WB
NBP2-45677
Species: Hu, Pm
Applications: IHC,  IHC-P, WB

Publications for TTF-1 / NKX2-1 Antibody (NBP2-32999)(1)

Review for TTF-1 / NKX2-1 Antibody (NBP2-32999) (1) 51

Average Rating: 5
(Based on 1 review)
We have 1 review tested in 1 species: Human.

Reviews using NBP2-32999:
Filter by Applications
 IHC-P
(1)
All Applications
Filter by Species
Human
(1)
All Species
Images Ratings Applications Species Date Details
Immunohistochemistry-Paraffin TTF-1 / NKX2-1 NBP2-32999
Enlarge
5
reviewed by:
Verified Customer
 IHC-P Human 03/04/2022
View

Summary

ApplicationImmunohistochemistry-Paraffin
Sample TestedLung carcinoma
SpeciesHuman
LotSPM150

Comments

CommentsIncubated O/N in 4 C with the 1ry antibody, 1.0ug/ml

Product General Protocols

Find general support by application which include: protocols, troubleshooting, illustrated assays, videos and webinars.

Video Protocols

ICC/IF Video Protocol

FAQs for TTF-1 / NKX2-1 Antibody (NBP2-32999) (0)

There are no specific FAQs related to this product. Read our general customer & technical service FAQs.

Secondary Antibodies

 

Isotype Controls

Additional TTF-1 / NKX2-1 Products

Research Areas for TTF-1 / NKX2-1 Antibody (NBP2-32999)

Find related products by research area.

Blogs on TTF-1 / NKX2-1

There are no specific blogs for TTF-1 / NKX2-1, but you can read our latest blog posts.

Customers Who Bought This Also Bought

Contact Information

Product PDFs

Calculators

Concentration Calculator

The concentration calculator allows you to quickly calculate the volume, mass or concentration of your vial. Simply enter your mass, volume, or concentration values for your reagent and the calculator will determine the rest.

=
÷

Recent Reviews

5
5
1
4
0
3
0
2
0
1
0

Verified Customer
03/04/2022
Application:  IHC-P
Species: Human

Bioinformatics

Gene Symbol NKX2-1
Uniprot