TPCN1 Antibody

Images

 
Immunohistochemistry-Paraffin: TPCN1 Antibody [NBP1-83642] - Staining of human pancreas shows no positivity in exocrine glandular cells as expected.
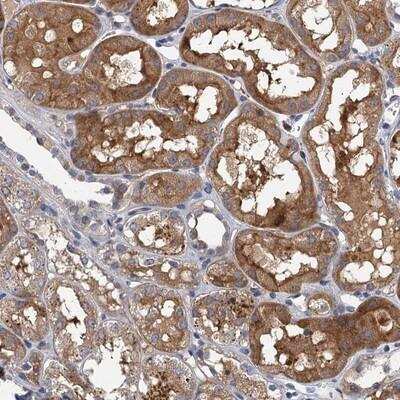
Immunohistochemistry-Paraffin: TPCN1 Antibody [NBP1-83642] - Staining of human kidney shows moderate cytoplasmic positivity in cells in renal tubules.
Immunohistochemistry-Paraffin: TPCN1 Antibody [NBP1-83642] - Staining of human heart muscle shows moderate granular cytoplasmic positivity in cardiomyocytes.
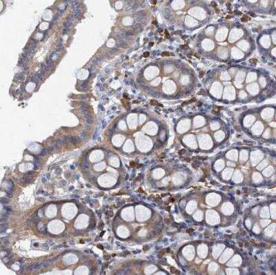
Immunohistochemistry-Paraffin: TPCN1 Antibody [NBP1-83642] - Staining of human colon shows weak granular cytoplasmic positivity in glandular cells.

Product Details

Summary
Product Discontinued
View other related TPCN1 Primary Antibodies

Order Details


    • Catalog Number
      NBP1-83642
    • Availability
      Product Discontinued

    Can't find what you are looking for? Use our Antibody Concierge Service & we will help you locate your antibody!

    Or feel free to contact us for alternative products.

TPCN1 Antibody Summary

Immunogen
This antibody was developed against Recombinant Protein corresponding to amino acids: FKSLLLHKRTAIQHAYRLLISQRRPAGISYRQFEGLMRFYKPRMSARERYLTFKALNQNNTPLLSLKDFYDIYEVAALKWKAKKNREHWFDELPRT
Predicted Species
Mouse (93%), Rat (94%). Backed by our 100% Guarantee.
Isotype
IgG
Clonality
Polyclonal
Host
Rabbit
Gene
TPCN1
Purity
Immunogen affinity purified
Innovator's Reward
Test in a species/application not listed above to receive a full credit towards a future purchase.

Applications/Dilutions

Dilutions
  • Immunohistochemistry 1:20 - 1:50
  • Immunohistochemistry-Paraffin 1:20 - 1:50
Application Notes
For IHC-Paraffin, HIER pH 6 retrieval is recommended.

Packaging, Storage & Formulations

Storage
Store at 4C short term. Aliquot and store at -20C long term. Avoid freeze-thaw cycles.
Buffer
PBS (pH 7.2) and 40% Glycerol
Preservative
0.02% Sodium Azide
Purity
Immunogen affinity purified

Alternate Names for TPCN1 Antibody

  • FLJ20612
  • KIAA1169
  • TPC1
  • TPCN1
  • two pore segment channel 1
  • two-pore channel 1
  • two-pore segment channel 1
  • voltage-dependent calcium channel protein TPC1

Background

Function: May function as one of the major voltage-gated Ca2+ channel (VDCC) across the plasma membrane.; Subcellular location: Membrane; Multi-pass membrane protein.; Tissue specificity: Highest expression found in the heart and kidney, and lowest expression found in the spleen.

Limitations

This product is for research use only and is not approved for use in humans or in clinical diagnosis. Primary Antibodies are guaranteed for 1 year from date of receipt.

Customers Who Viewed This Item Also Viewed...

NBP1-30670
Species: Hu
Applications: IHC,  IHC-P, WB
AF482
Species: Mu
Applications: IHC, WB
NBP1-85351
Species: Hu, Mu, Rt
Applications: ICC/IF, IHC,  IHC-P, WB
MAB41051
Species: Hu, Mu
Applications: WB
NBP1-33581
Species: Hu, Mu, Rt
Applications: ELISA, ICC/IF, IHC,  IHC-P, WB
NBP2-33711
Species: Hu
Applications: IHC,  IHC-P
NBP2-94007
Species: Hu, Mu
Applications: ICC/IF, WB
NBP1-47668
Species: Hu, Pm, Mu, Rt
Applications: Flow, ICC/IF, IHC,  IHC-P, IP, WB
NB110-82375
Species: Hu, Mu, Rt
Applications: Simple Western, WB
AF887
Species: Hu, Mu, Rt
Applications: CyTOF-ready, IHC, ICFlow, Simple Western, WB
NBP2-29429
Species: Bv, Ca, Ch, Hu, Pm, Mu, Rb, Rt, Re, Ze
Applications: CyTOF-reported, Dual ISH-IHC, Flow-IC, Flow, ICC/IF, IHC, IHC-Fr,  IHC-P, Single-Cell Western, WB
NB600-607
Species: Hu, Rt
Applications: ELISA, IHC,  IHC-P, WB
NBP2-19804
Species: Hu, Mu
Applications: ICC/IF, IHC,  IHC-P, WB
NBP2-22203
Species: Hu, Pm, Mu, Rt
Applications: ELISA, Flow, ICC/IF, IHC,  IHC-P, WB
AF1230
Species: Hu, Mu, Rt
Applications: IHC, KO, WB
DVE00
Species: Hu
Applications: ELISA
NB100-309
Species: Hu, Pm, Mu, Rt
Applications: ChIP, ELISA, Flow, ICC/IF, IHC,  IHC-P, IP, KD, PAGE, Single-Cell Western, WB
236-EG
Species: Hu
Applications: BA

Publications for TPCN1 Antibody (NBP1-83642) (0)

There are no publications for TPCN1 Antibody (NBP1-83642).
By submitting your publication information earn gift cards and discounts for future purchases.

Reviews for TPCN1 Antibody (NBP1-83642) (0)

There are no reviews for TPCN1 Antibody (NBP1-83642). By submitting a review you will receive an Amazon e-Gift Card or Novus Product Discount.
  • Review with no image -- $10/€7/£6/$10 CAD/¥70 Yuan/¥1110 Yen
  • Review with an image -- $25/€18/£15/$25 CAD/¥150 Yuan/¥2500 Yen

Product General Protocols

Find general support by application which include: protocols, troubleshooting, illustrated assays, videos and webinars.

FAQs for TPCN1 Antibody (NBP1-83642) (0)

There are no specific FAQs related to this product. Read our general customer & technical service FAQs.

Secondary Antibodies

 

Isotype Controls

Additional TPCN1 Products

Array NBP1-83642

Research Areas for TPCN1 Antibody (NBP1-83642)

Find related products by research area.

Blogs on TPCN1

There are no specific blogs for TPCN1, but you can read our latest blog posts.

Contact Information

Product PDFs

Calculators

Concentration Calculator

The concentration calculator allows you to quickly calculate the volume, mass or concentration of your vial. Simply enter your mass, volume, or concentration values for your reagent and the calculator will determine the rest.

=
÷

Review this Product

Be the first to review our TPCN1 Antibody and receive a gift card or discount.

Bioinformatics

Gene Symbol TPCN1