TOX2 Antibody - BSA Free

Images

 
Orthogonal Strategies: Immunohistochemistry-Paraffin: TOX2 Antibody [NBP2-13464] - Staining in human lymph node and skeletal muscle tissues.. Corresponding TOX2 RNA-seq data are presented for the same tissues.
Immunocytochemistry/ Immunofluorescence: TOX2 Antibody [NBP2-13464] - Staining of human cell line A-431 shows localization to nucleoplasm. Antibody staining is shown in green.
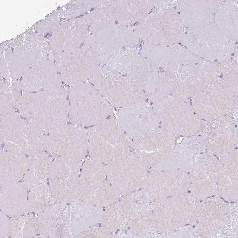
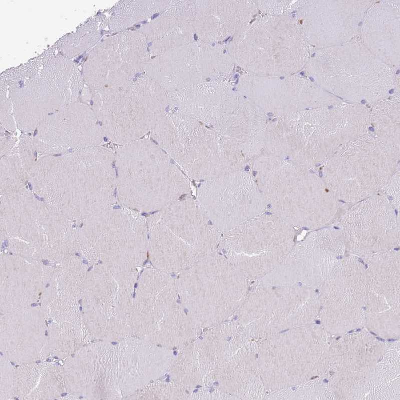
Immunohistochemistry-Paraffin: TOX2 Antibody [NBP2-13464] - Staining of human skeletal muscle shows no positivity in myocytes as expected.
Immunohistochemistry-Paraffin: TOX2 Antibody [NBP2-13464] - Staining of human lymph node shows strong nuclear positivity in germinal center cells.
Immunohistochemistry-Paraffin: TOX2 Antibody [NBP2-13464] - Staining of human tonsil shows strong nuclear positivity in germinal center cells.
Staining of human cell line A-431 shows localization to nucleoplasm.
Staining of human skeletal muscle shows no positivity in myocytes as expected.

Product Details

Summary
Reactivity HuSpecies Glossary
Applications ICC/IF, IHC
Clonality
Polyclonal
Host
Rabbit
Conjugate
Unconjugated
Format
BSA Free
Validated by:
       

Orthogonal Strategies

 

Order Details

View Available Formulations
Catalog# & Formulation Size Price

TOX2 Antibody - BSA Free Summary

Description
Novus Biologicals Rabbit TOX2 Antibody - BSA Free (NBP2-13464) is a polyclonal antibody validated for use in IHC and ICC/IF. All Novus Biologicals antibodies are covered by our 100% guarantee.
Immunogen
This antibody was developed against a recombinant protein corresponding to the amino acids: IAGVFPQKFDGDSAYVGMSDGNPELLSTSQTYNGQSENNEDYEIPPITPPN
Isotype
IgG
Clonality
Polyclonal
Host
Rabbit
Gene
TOX2
Purity
Affinity purified
Innovator's Reward
Test in a species/application not listed above to receive a full credit towards a future purchase.

Applications/Dilutions

Dilutions
  • Immunocytochemistry/ Immunofluorescence 0.25-2 ug/ml
  • Immunohistochemistry 1:20 - 1:50
  • Immunohistochemistry-Paraffin 1:20 - 1:50
Application Notes
For IHC-Paraffin, HIER pH 6 retrieval is recommended. ICC/IF Fixation Permeabilization: Use PFA/Triton X-100.
Control Peptide
TOX2 Protein (NBP2-13464PEP)

Reactivity Notes

Immunogen displays the following percentage of sequence identity for non-tested species: Mouse (88%), Rat (80%)

Packaging, Storage & Formulations

Storage
Store at 4C short term. Aliquot and store at -20C long term. Avoid freeze-thaw cycles.
Buffer
PBS (pH 7.2) and 40% Glycerol
Preservative
0.02% Sodium Azide
Purity
Affinity purified

Alternate Names for TOX2 Antibody - BSA Free

  • C20orf100
  • chromosome 20 open reading frame 100
  • dJ495O3.1
  • GCX1
  • GCX-1dJ1108D11.2
  • granulosa cell HMG box 1
  • Granulosa cell HMG box protein 1
  • granulosa cell HMG-box protein 1
  • MGC15880
  • TOX high mobility group box family member 2

Background

Putative transcriptional activator involved in the hypothalamo-pituitary-gonadal system.

Limitations

This product is for research use only and is not approved for use in humans or in clinical diagnosis. Primary Antibodies are guaranteed for 1 year from date of receipt.

Customers Who Viewed This Item Also Viewed...

NBP2-85831
Species: Hu
Applications: IHC,  IHC-P, WB
NBP2-45165
Species: Ch, Hu
Applications: ELISA, ICC/IF, IHC,  IHC-P, PA, WB
NBP3-42059
Species: Mu
Applications: IHC,  IHC-P, WB
H00135644-B01P
Species: Hu
Applications: ICC/IF, WB
NB110-92756
Species: Ch, Hu, Mu, Re
Applications: KD, WB
NB400-114
Species: Ch, Fe, Ha, Hu, Mu, Pl, Po, Pm, Rt
Applications: ICC/IF, IHC,  IHC-P, IP, KD, WB
NBP3-04932
Species: Hu, Mu, Rt
Applications: ELISA, ICC/IF, IHC,  IHC-P, WB
NBP1-33235
Species: Hu
Applications: IHC,  IHC-P, IP, WB
MAB342
Species: Hu
Applications: AgAct, ICC, WB
AF2128
Species: Mu
Applications: IHC, WB
NBP1-56454
Species: Hu
Applications: WB
NBP1-26612
Species: Hu
Applications: IP (-), WB
AF2699
Species: Mu
Applications: Simple Western, WB
739-G9
Species: Mu
Applications: BA
NB600-1441
Species: Ca, Hu, Mu, Po
Applications: Flow, ICC/IF, IHC, IHC-Fr,  IHC-P, KD
NBP2-29906
Species: Ca, Hu, Mu
Applications: ICC/IF, IHC,  IHC-P, IP, WB
NBP1-19371
Species: Ca, Hu, Mu, Po, Rb, Rt
Applications: Dual ISH-IHC, Flow, ICC/IF, IHC, IHC-Fr,  IHC-P, Simple Western, WB
NBP2-13485
Species: Hu
Applications: ICC/IF, IHC,  IHC-P
NBP1-88433
Species: Hu, Mu, Rt
Applications: ICC/IF, IHC,  IHC-P, WB
1737-MS
Species: Hu
Applications: Bind

Publications for TOX2 Antibody (NBP2-13464) (0)

There are no publications for TOX2 Antibody (NBP2-13464).
By submitting your publication information earn gift cards and discounts for future purchases.

Reviews for TOX2 Antibody (NBP2-13464) (0)

There are no reviews for TOX2 Antibody (NBP2-13464). By submitting a review you will receive an Amazon e-Gift Card or Novus Product Discount.
  • Review with no image -- $10/€7/£6/$10 CAD/¥70 Yuan/¥1110 Yen
  • Review with an image -- $25/€18/£15/$25 CAD/¥150 Yuan/¥2500 Yen

Product General Protocols

Find general support by application which include: protocols, troubleshooting, illustrated assays, videos and webinars.

Video Protocols

ICC/IF Video Protocol

FAQs for TOX2 Antibody (NBP2-13464) (0)

There are no specific FAQs related to this product. Read our general customer & technical service FAQs.

Secondary Antibodies

 

Isotype Controls

Additional TOX2 Products

Research Areas for TOX2 Antibody (NBP2-13464)

Find related products by research area.

Blogs on TOX2

There are no specific blogs for TOX2, but you can read our latest blog posts.

Customers Who Bought This Also Bought

Contact Information

Product PDFs

Calculators

Concentration Calculator

The concentration calculator allows you to quickly calculate the volume, mass or concentration of your vial. Simply enter your mass, volume, or concentration values for your reagent and the calculator will determine the rest.

=
÷

Review this Product

Be the first to review our TOX2 Antibody - BSA Free and receive a gift card or discount.

Bioinformatics

Gene Symbol TOX2