Torsin-4A Antibody

Images

 
Immunocytochemistry/ Immunofluorescence: C9orf167 Antibody [NBP1-93983] - Staining of human cell line HaCaT shows localization to nucleoplasm.
Immunohistochemistry-Paraffin: C9orf167 Antibody [NBP1-93983] - Staining of human spleen shows moderate cytoplasmic positivity in cells in red pulp.
Immunohistochemistry-Paraffin: C9orf167 Antibody [NBP1-93983] - Staining of human stomach, upper shows moderate cytoplasmic positivity in glandular cells.
Immunohistochemistry-Paraffin: C9orf167 Antibody [NBP1-93983] - Staining of human cerebral cortex shows moderate granular cytoplasmic positivity in neurons.
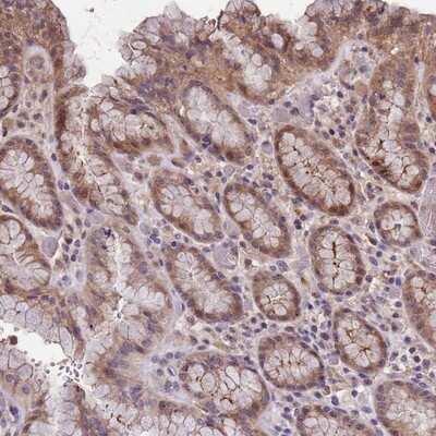
Immunohistochemistry-Paraffin: C9orf167 Antibody [NBP1-93983] - Staining of human duodenum shows strong granular cytoplasmic positivity in glandular cells.
Immunohistochemistry-Paraffin: C9orf167 Antibody [NBP1-93983] - Staining of human lung shows moderate cytoplasmic positivity in pneumocytes and macrophages.

Product Details

Summary
Product Discontinued
View other related Torsin-4A Primary Antibodies

Order Details


    • Catalog Number
      NBP1-93983
    • Availability
      Product Discontinued

    Can't find what you are looking for? Use our Antibody Concierge Service & we will help you locate your antibody!

    Or feel free to contact us for alternative products.

Torsin-4A Antibody Summary

Immunogen
This antibody was developed against Recombinant Protein corresponding to amino acids: SRLVLYPETSRKYRPRVEHRSRAQRCLLLLVAIVGFQVLNAIENLDDNAQRYDLDGLEKALQRAVFGQPAAVSRIVALMRD
Predicted Species
Rat (90%). Backed by our 100% Guarantee.
Isotype
IgG
Clonality
Polyclonal
Host
Rabbit
Gene
TOR4A
Purity
Immunogen affinity purified
Innovator's Reward
Test in a species/application not listed above to receive a full credit towards a future purchase.

Applications/Dilutions

Dilutions
  • Immunocytochemistry/ Immunofluorescence 0.25-2 ug/ml
  • Immunohistochemistry 1:20 - 1:50
  • Immunohistochemistry-Paraffin 1:20 - 1:50
Application Notes
For IHC-Paraffin, HIER pH 6 retrieval is recommended. Immunocytochemistry/Immunofluorescence Fixation Permeabilization: Use PFA/Triton X-100.

Reactivity Notes

Immunogen displays the following percentage of sequence identity for non-tested species: Mouse (89%)

Packaging, Storage & Formulations

Storage
Store at 4C short term. Aliquot and store at -20C long term. Avoid freeze-thaw cycles.
Buffer
PBS (pH 7.2) and 40% Glycerol
Preservative
0.02% Sodium Azide
Purity
Immunogen affinity purified

Alternate Names for Torsin-4A Antibody

  • C9orf167
  • chromosome 9 open reading frame 167
  • FLJ20245
  • RP13-122B23.4
  • torsin family 4, member A

Limitations

This product is for research use only and is not approved for use in humans or in clinical diagnosis. Primary Antibodies are guaranteed for 1 year from date of receipt.

Customers Who Viewed This Item Also Viewed...

NB300-731
Species: Gp, Hu, Mu, Rb, Rt, Sh, Ye
Applications: B/N, ChIP, Flow, GS, ICC/IF, IHC,  IHC-P, IP, WB
NBP2-45511
Species: Hu, Mu, Rt
Applications: IHC,  IHC-P, WB
NB100-1471
Species: Hu, Mu, Rt
Applications: ICC/IF, IHC, IHC-Fr,  IHC-P, PEP-ELISA, WB
MAB4775
Species: Hu
Applications: CyTOF-ready, Flow
NBP2-47801
Species: Hu
Applications: CyTOF-ready, Flow, ICC/IF, IF, IHC,  IHC-P, Simple Western, WB
NBL1-08307
Species: Hu
Applications: WB
NBP1-82486
Species: Hu
Applications: ICC/IF, IHC,  IHC-P, WB
AF3364
Species: Hu
Applications: ICC, IHC, WB
DBD00
Species: Hu
Applications: ELISA
NBP1-82523
Species: Hu
Applications: ICC/IF, IHC,  IHC-P, WB
H00064746-M01
Species: Hu, Mu, Rt
Applications: ELISA, ICC/IF, IHC,  IHC-P, WB
NBP1-85574
Species: Hu
Applications: IHC,  IHC-P, WB
AF5869
Species: Hu, Mu
Applications: ICC, IHC, IP, Simple Western, WB
NBP1-51599
Species: Hu, Mu
Applications: ELISA, Flow, ICC/IF, IHC,  IHC-P, KD, WB
MAB41051
Species: Hu, Mu
Applications: WB
DPI00
Species: Hu
Applications: ELISA
NB120-6586
Species: Bv, Fe, Hu, Mu, Rt
Applications: ELISA, ICC/IF, IHC-FrFl, IHC, IHC-Fr,  IHC-P, IP, KO, mIF, Simple Western, SR Microscopy, WB
NBP2-14288
Species: Hu
Applications: IHC,  IHC-P, WB
NBP3-47563
Species: Hu, Mu, Rt
Applications: ELISA, IHC, WB
NBP1-93983
Species: Hu, Rt
Applications: ICC/IF, IHC

Publications for Torsin-4A Antibody (NBP1-93983) (0)

There are no publications for Torsin-4A Antibody (NBP1-93983).
By submitting your publication information earn gift cards and discounts for future purchases.

Reviews for Torsin-4A Antibody (NBP1-93983) (0)

There are no reviews for Torsin-4A Antibody (NBP1-93983). By submitting a review you will receive an Amazon e-Gift Card or Novus Product Discount.
  • Review with no image -- $10/€7/£6/$10 CAD/¥70 Yuan/¥1110 Yen
  • Review with an image -- $25/€18/£15/$25 CAD/¥150 Yuan/¥2500 Yen

Product General Protocols

Find general support by application which include: protocols, troubleshooting, illustrated assays, videos and webinars.

Video Protocols

ICC/IF Video Protocol

FAQs for Torsin-4A Antibody (NBP1-93983) (0)

There are no specific FAQs related to this product. Read our general customer & technical service FAQs.

Contact Information

Product PDFs

Calculators

Concentration Calculator

The concentration calculator allows you to quickly calculate the volume, mass or concentration of your vial. Simply enter your mass, volume, or concentration values for your reagent and the calculator will determine the rest.

=
÷

Review this Product

Be the first to review our Torsin-4A Antibody and receive a gift card or discount.

Bioinformatics

Gene Symbol TOR4A