TNPO3 Antibody (JG38-77)

Images

 
Western Blot: TNPO3 Antibody (JG38-77) [NBP2-75685] - Analysis of TNPO3 on K562 cell (1), HL-60 cell (2) and mouse pancreas tissue (3) lysate using anti-TNPO3 antibody at 1/1,000 dilution.
Immunocytochemistry/ Immunofluorescence: TNPO3 Antibody (JG38-77) [NBP2-75685] - Staining TNPO3 in SiHa cells (green). The nuclear counter stain is DAPI (blue). Cells were fixed in paraformaldehyde, permeabilised with ...read more
Immunohistochemistry-Paraffin: TNPO3 Antibody (JG38-77) [NBP2-75685] - Analysis of paraffin-embedded mouse kidney tissue using anti-TNPO3 antibody. Counter stained with hematoxylin.
Immunocytochemistry/ Immunofluorescence: TNPO3 Antibody (JG38-77) [NBP2-75685] - Staining TNPO3 in A549 cells (green). The nuclear counter stain is DAPI (blue). Cells were fixed in paraformaldehyde, permeabilised with ...read more
Immunocytochemistry/ Immunofluorescence: TNPO3 Antibody (JG38-77) [NBP2-75685] - Staining TNPO3 in SH-SY-5Y cells (green). The nuclear counter stain is DAPI (blue). Cells were fixed in paraformaldehyde, permeabilised ...read more
Immunohistochemistry-Paraffin: TNPO3 Antibody (JG38-77) [NBP2-75685] - Analysis of paraffin-embedded human liver cancer tissue using anti-TNPO3 antibody. Counter stained with hematoxylin.
Immunohistochemistry-Paraffin: TNPO3 Antibody (JG38-77) [NBP2-75685] - Analysis of paraffin-embedded human small intestine tissue using anti-TNPO3 antibody. Counter stained with hematoxylin.
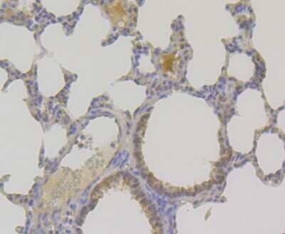
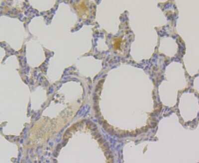
Immunohistochemistry-Paraffin: TNPO3 Antibody (JG38-77) [NBP2-75685] - Analysis of paraffin-embedded mouse lung tissue using anti-TNPO3 antibody. Counter stained with hematoxylin.

Product Details

Summary
Product Discontinued
View other related TNPO3 Primary Antibodies

Order Details


    • Catalog Number
      NBP2-75685
    • Availability
      Product Discontinued

    Can't find what you are looking for? Use our Antibody Concierge Service & we will help you locate your antibody!

    Or feel free to contact us for alternative products.

TNPO3 Antibody (JG38-77) Summary

Additional Information
Recombinant Monoclonal Antibody.
Immunogen
Recombinant protein within Human TNPO3 aa 830-923 / 923. (SwissProt: Q9Y5L0 Human; SwissProt: Q6P2B1 Mouse)
Localization
Nucleus. Cytoplasm.
Isotype
IgG
Clonality
Monoclonal
Host
Rabbit
Gene
TNPO3
Purity
Protein A purified
Innovator's Reward
Test in a species/application not listed above to receive a full credit towards a future purchase.

Applications/Dilutions

Dilutions
  • Immunocytochemistry/ Immunofluorescence 1:50-1:200
  • Immunohistochemistry
  • Immunohistochemistry-Paraffin 1:50-1:200
  • Western Blot 1:500-1:2000
Theoretical MW
104 kDa.
Disclaimer note: The observed molecular weight of the protein may vary from the listed predicted molecular weight due to post translational modifications, post translation cleavages, relative charges, and other experimental factors.

Packaging, Storage & Formulations

Storage
Store at 4C short term. Aliquot and store at -20C long term. Avoid freeze-thaw cycles.
Buffer
TBS (pH7.4), 0.05% BSA, 40% Glycerol
Preservative
0.05% Sodium Azide
Concentration
1 mg/ml
Purity
Protein A purified

Alternate Names for TNPO3 Antibody (JG38-77)

  • imp12
  • MTR10A
  • transportin 3
  • transportin-3

Background

TNPO3 is a nuclear import receptor for serine/arginine-rich (SR) proteins, which are essential precursor-mRNA splicing factors (Kataoka et al., 1999 [PubMed 10366588]).[supplied by OMIM]

Limitations

This product is for research use only and is not approved for use in humans or in clinical diagnosis. Primary Antibodies are guaranteed for 1 year from date of receipt.

Customers Who Viewed This Item Also Viewed...

MAB3468
Species: Hu
Applications: ICC, WB
NB120-2938
Species: Bv, Hu, Mu
Applications: IHC,  IHC-P, WB
MAB5745
Species: Hu
Applications: IHC, WB
NBP1-86125
Species: Hu
Applications: IHC,  IHC-P
MAB224
Species: Hu
Applications: CyTOF-ready, Flow, IHC, Neut
NBP1-18910
Species: Hu, Mu, Rt
Applications: ICC/IF, IHC, IHC-Fr,  IHC-P, IP, Simple Western, WB
DRT200
Species: Hu
Applications: ELISA
H00003059-M02
Species: Hu
Applications: ELISA, IHC,  IHC-P, KD, PLA, S-ELISA, WB
H00001523-M01
Species: Hu, Mu, Rt
Applications: ELISA, ICC/IF, IHC,  IHC-P, IP, WB
NB100-1092
Species: Hu, Mu
Applications: ChIP, Flow, KD, PEP-ELISA, WB
NBP2-47290
Species: Hu
Applications: ICC/IF, IHC,  IHC-P
AF1138
Species: Hu
Applications: CyTOF-ready, Flow, IHC, Neut, WB
NB100-93329
Species: Hu
Applications: ICC/IF, IP, KO, WB
NB400-148
Species: ChHa, Ha, Hu, Mu, Po, Pm, Rt
Applications: EM, ICC/IF, IHC,  IHC-P, IP, KD, KO, WB
H00010921-M05
Species: Hu, Mu, Rt
Applications: ELISA, IP, WB
NBP1-30993
Species: Ha, Hu, Mu, Rt
Applications: ICC/IF, IHC,  IHC-P, KD, WB
NBP1-30993
Species: Ha, Hu, Mu, Rt
Applications: ICC/IF, IHC,  IHC-P, KD, WB
NBP2-20324
Species: Hu, Mu, Rt
Applications: ICC/IF, IHC,  IHC-P, WB

Publications for TNPO3 Antibody (NBP2-75685) (0)

There are no publications for TNPO3 Antibody (NBP2-75685).
By submitting your publication information earn gift cards and discounts for future purchases.

Reviews for TNPO3 Antibody (NBP2-75685) (0)

There are no reviews for TNPO3 Antibody (NBP2-75685). By submitting a review you will receive an Amazon e-Gift Card or Novus Product Discount.
  • Review with no image -- $10/€7/£6/$10 CAD/¥70 Yuan/¥1110 Yen
  • Review with an image -- $25/€18/£15/$25 CAD/¥150 Yuan/¥2500 Yen

Product General Protocols

Find general support by application which include: protocols, troubleshooting, illustrated assays, videos and webinars.

Video Protocols

WB Video Protocol
ICC/IF Video Protocol

FAQs for TNPO3 Antibody (NBP2-75685) (0)

There are no specific FAQs related to this product. Read our general customer & technical service FAQs.

Secondary Antibodies

 

Isotype Controls

Additional TNPO3 Products

Array NBP2-75685

Research Areas for TNPO3 Antibody (NBP2-75685)

Find related products by research area.

Blogs on TNPO3

There are no specific blogs for TNPO3, but you can read our latest blog posts.

Contact Information

Product PDFs

Calculators

Concentration Calculator

The concentration calculator allows you to quickly calculate the volume, mass or concentration of your vial. Simply enter your mass, volume, or concentration values for your reagent and the calculator will determine the rest.

=
÷

Review this Product

Be the first to review our TNPO3 Antibody (JG38-77) and receive a gift card or discount.

Bioinformatics

Gene Symbol TNPO3