TMEM25 Antibody - BSA Free

Images

 
Immunocytochemistry/ Immunofluorescence: TMEM25 Antibody [NBP1-82237] - Immunofluorescent staining of human cell line A-431 shows localization to vesicles. Antibody staining is shown in green.
Immunohistochemistry-Paraffin: TMEM25 Antibody [NBP1-82237] - Staining of human kidney shows moderate cytoplasmic positivity in cells in tubules.
Immunohistochemistry-Paraffin: TMEM25 Antibody [NBP1-82237] - Staining of human cerebellum shows strong cytoplasmic positivity in cells in granular layer.
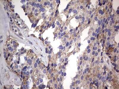
Immunohistochemistry-Paraffin: TMEM25 Antibody [NBP1-82237] - Staining of human duodenum shows strong cytoplasmic positivity in glandular cells.
Immunohistochemistry-Paraffin: TMEM25 Antibody [NBP1-82237] - Staining of human prostate shows weak cytoplasmic/ membranous positivity in glandular cells.

Product Details

Summary
Reactivity HuSpecies Glossary
Applications ICC/IF, IHC
Clonality
Polyclonal
Host
Rabbit
Conjugate
Unconjugated
Format
BSA Free

Order Details

View Available Formulations
Catalog# & Formulation Size Price

TMEM25 Antibody - BSA Free Summary

Description
Novus Biologicals Rabbit TMEM25 Antibody - BSA Free (NBP1-82237) is a polyclonal antibody validated for use in IHC and ICC/IF. All Novus Biologicals antibodies are covered by our 100% guarantee.
Immunogen
This antibody was developed against Recombinant Protein corresponding to amino acids: RKEKKTKGPSRHPSLISSDSNNLKLNNVRLPRENMSLPSNLQLNDLTPDSRAVKPADRQMAQNNSRPELLDPEPGGLLTSQGFIRLPVLGYIYRVSSVSSDEI
Isotype
IgG
Clonality
Polyclonal
Host
Rabbit
Gene
TMEM25
Purity
Immunogen affinity purified
Innovator's Reward
Test in a species/application not listed above to receive a full credit towards a future purchase.

Applications/Dilutions

Dilutions
  • Immunocytochemistry/ Immunofluorescence 0.25-2 ug/ml
  • Immunohistochemistry 1:50 - 1:200
  • Immunohistochemistry-Paraffin 1:50 - 1:200
Application Notes
For IHC-Paraffin, HIER pH 6 retrieval is recommended. ICC/IF, Fixation Permeabilization: Use PFA/Triton X-100.
Control Peptide
TMEM25 Protein (NBP1-82237PEP)

Reactivity Notes

Immunogen displays the following percentage of sequence identity for non-tested species: Mouse (86%), Rat (86%)

Packaging, Storage & Formulations

Storage
Store at 4C short term. Aliquot and store at -20C long term. Avoid freeze-thaw cycles.
Buffer
PBS (pH 7.2) and 40% Glycerol
Preservative
0.02% Sodium Azide
Purity
Immunogen affinity purified

Alternate Names for TMEM25 Antibody - BSA Free

  • 0610039J01Rik
  • FLJ14399
  • TMEM25
  • transmembrane protein 25

Limitations

This product is for research use only and is not approved for use in humans or in clinical diagnosis. Primary Antibodies are guaranteed for 1 year from date of receipt.

Customers Who Viewed This Item Also Viewed...

NBP2-30604
Species: Hu
Applications: IHC,  IHC-P
NBP1-88071
Species: Hu, Rt
Applications: ICC/IF, IHC,  IHC-P
AF2654
Species: Mu
Applications: IHC, Simple Western, WB
NB300-186
Species: Hu, Rt
Applications: ICC/IF, Simple Western, WB
NB600-534
Species: Hu, Mu, Po, V-Vi
Applications: ELISA, Flow, ICC/IF, IHC, IHC-Fr,  IHC-P, In vitro, In vivo, RIA, WB
AF3064
Species: Hu
Applications: CyTOF-ready, Flow, IHC, WB
AF2659
Species: Hu
Applications: CyTOF-ready, Flow, IHC, WB
NBP2-01860
Species: Ca, Hu, Pm, Mu, Rt
Applications: Flow, ICC/IF, IHC,  IHC-P, WB
NBP1-37003
Species: Hu, Rt
Applications: ICC/IF, IHC, IHC-Fr,  IHC-P, PEP-ELISA
PP-N4111-00
Species: Hu
Applications: IHC, IP, WB
NBP1-26612
Species: Hu
Applications: IP (-), WB
AF3159
Species: Mu
Applications: IHC
AF7356
Species: Hu, Mu
Applications: CyTOF-ready, Flow, WB
NBP1-80891
Species: Hu
Applications: ICC/IF, IHC,  IHC-P
MAB4164
Species: Hu
Applications: CyTOF-ready, Flow, ICC, WB
NBP2-74861
Species: Hu, Mu, Rt
Applications: Flow, IHC,  IHC-P, WB
NBP2-62693
Species: Hu
Applications: IHC,  IHC-P
AF2827
Species: Mu
Applications: CyTOF-ready, Flow, IHC, WB

Publications for TMEM25 Antibody (NBP1-82237) (0)

There are no publications for TMEM25 Antibody (NBP1-82237).
By submitting your publication information earn gift cards and discounts for future purchases.

Reviews for TMEM25 Antibody (NBP1-82237) (0)

There are no reviews for TMEM25 Antibody (NBP1-82237). By submitting a review you will receive an Amazon e-Gift Card or Novus Product Discount.
  • Review with no image -- $10/€7/£6/$10 CAD/¥70 Yuan/¥1110 Yen
  • Review with an image -- $25/€18/£15/$25 CAD/¥150 Yuan/¥2500 Yen

Product General Protocols

Find general support by application which include: protocols, troubleshooting, illustrated assays, videos and webinars.

Video Protocols

ICC/IF Video Protocol

FAQs for TMEM25 Antibody (NBP1-82237) (0)

There are no specific FAQs related to this product. Read our general customer & technical service FAQs.

Secondary Antibodies

 

Isotype Controls

Additional TMEM25 Products

Research Areas for TMEM25 Antibody (NBP1-82237)

Find related products by research area.

Blogs on TMEM25

There are no specific blogs for TMEM25, but you can read our latest blog posts.

Customers Who Bought This Also Bought

Contact Information

Product PDFs

Calculators

Concentration Calculator

The concentration calculator allows you to quickly calculate the volume, mass or concentration of your vial. Simply enter your mass, volume, or concentration values for your reagent and the calculator will determine the rest.

=
÷

Review this Product

Be the first to review our TMEM25 Antibody - BSA Free and receive a gift card or discount.

Bioinformatics

Gene Symbol TMEM25