THSD7A Antibody (CL3778) - Azide and BSA Free

Images

 
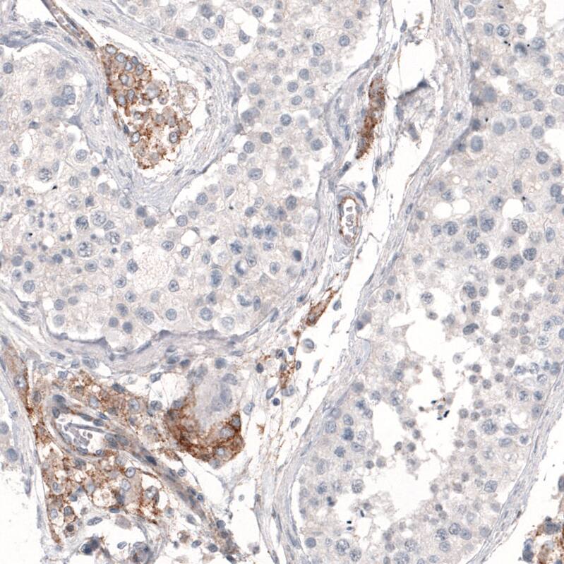
Orthogonal Strategies: Analysis in human kidney and skeletal muscle tissues using NBP3-44071 antibody. Corresponding THSD7A RNA-seq data are presented for the same tissues.
Staining of human kidney shows strong membranous positivity in cells in glomeruli, as well as in a subset of renal tubules.
Staining of human cerebral cortex shows moderate positivity in neuropil.
Staining of human skeletal muscle shows no positivity in striated muscle fibers as expected.
Staining of human testis shows moderate membranous positivity in Leydig cells.

Product Details

Summary
Reactivity HuSpecies Glossary
Applications IHC
Clone
CL3778
Clonality
Monoclonal
Host
Mouse
Conjugate
Unconjugated
Format
Azide and BSA Free
Concentration
LYOPH
Validated by:
       

Orthogonal Strategies

 

Order Details

THSD7A Antibody (CL3778) - Azide and BSA Free Summary

Description
Novus Biologicals Mouse THSD7A Antibody (CL3778) - Azide and BSA Free (NBP2-61638) is a monoclonal antibody validated for use in IHC. All Novus Biologicals antibodies are covered by our 100% guarantee.
Immunogen
This antibody was generated using a recombinant protein sequence of Q9UPZ6, with the exact immunogen sequence remaining proprietary.
Isotype
IgG1
Clonality
Monoclonal
Host
Mouse
Gene
THSD7A
Purity
Protein A purified
Innovator's Reward
Test in a species/application not listed above to receive a full credit towards a future purchase.

Applications/Dilutions

Dilutions
  • Immunohistochemistry-Paraffin 1:500 - 1:1000
Application Notes
IHC-Paraffin HIER pH6 retrieval is recommended.

Packaging, Storage & Formulations

Storage
Store at 4C short term. Aliquot and store at -20C long term. Avoid freeze-thaw cycles.
Buffer
Lyophilized from a 0.2 um filtered solution in PBS with Trehalose
Preservative
No Preservative
Concentration
LYOPH
Purity
Protein A purified
Reconstitution Instructions
Centrifuge the vial of lyophilized antibody at 12,000 x g for 20 seconds. Reconstitute by adding sterile, distilled water to achieve a final antibody concentration of 1mg/ml.

Alternate Names for THSD7A Antibody (CL3778) - Azide and BSA Free

  • Gm837
  • KIAA0960
  • thrombospondin, type I, domain containing 7A
  • THSD7A

Limitations

This product is for research use only and is not approved for use in humans or in clinical diagnosis. Primary Antibodies are guaranteed for 1 year from date of receipt.

Customers Who Viewed This Item Also Viewed...

AF4259
Species: Hu, Mu, Rt
Applications: ICC, Simple Western, WB
MAB6896
Species: Hu, Mu, Rt
Applications: IHC, Simple Western, WB
NBP3-47384
Species: Hu, Mu, Rt
Applications: ELISA, IHC, WB
MAB4775
Species: Hu
Applications: CyTOF-ready, Flow
H00002115-M01
Species: Hu
Applications: ELISA, WB
NBP3-37940
Species: Hu, Mu, Rt
Applications: ELISA, ICC/IF, IHC,  IHC-P, WB
NBP2-31983
Species: Hu
Applications: ICC/IF, IHC,  IHC-P
NBP3-47166
Species: Hu
Applications: ELISA, IHC, IP, WB
NBP1-93882
Species: Hu
Applications: ICC/IF, IHC,  IHC-P
DTSP10
Species: Hu
Applications: ELISA
MAB2528
Species: Hu
Applications: AdBlk, CyTOF-ready, Flow, ICC, IP
H00079875-P01
Species: Hu
Applications: ELISA, AP, PA, WB
NBP1-90044
Species: Hu
Applications: ICC/IF, IHC,  IHC-P, WB
NB300-164
Species: Ca, Hu, Mu, Po, Pm, Rt(-)
Applications: Dual ISH-IHC, ICC/IF, IHC, IHC-Fr,  IHC-P, IP, KO, PLA, WB
NBP2-03993
Species: Bv, Ca, Hu, Mu, Pm
Applications: WB
MAB6727
Species: Hu
Applications: WB
NBP1-32775
Species: Hu, Mar, Mu, Rt
Applications: ChIP, ICC/IF, IHC,  IHC-P, IP, WB
NBP2-67327
Species: Hu, Mu, Rt
Applications: Flow, ICC/IF, IHC,  IHC-P, IP, WB

Publications for THSD7A Antibody (NBP3-44071) (0)

There are no publications for THSD7A Antibody (NBP3-44071).
By submitting your publication information earn gift cards and discounts for future purchases.

Reviews for THSD7A Antibody (NBP3-44071) (0)

There are no reviews for THSD7A Antibody (NBP3-44071). By submitting a review you will receive an Amazon e-Gift Card or Novus Product Discount.
  • Review with no image -- $10/€7/£6/$10 CAD/¥70 Yuan/¥1110 Yen
  • Review with an image -- $25/€18/£15/$25 CAD/¥150 Yuan/¥2500 Yen

Product General Protocols

Find general support by application which include: protocols, troubleshooting, illustrated assays, videos and webinars.

FAQs for THSD7A Antibody (NBP3-44071) (0)

There are no specific FAQs related to this product. Read our general customer & technical service FAQs.

Secondary Antibodies

 

Isotype Controls

Additional THSD7A Products

Research Areas for THSD7A Antibody (NBP3-44071)

Find related products by research area.

Blogs on THSD7A

There are no specific blogs for THSD7A, but you can read our latest blog posts.

Customers Who Bought This Also Bought

Contact Information

Product PDFs

Calculators

Concentration Calculator

The concentration calculator allows you to quickly calculate the volume, mass or concentration of your vial. Simply enter your mass, volume, or concentration values for your reagent and the calculator will determine the rest.

=
÷

Review this Product

Be the first to review our THSD7A Antibody (CL3778) - Azide and BSA Free and receive a gift card or discount.

Bioinformatics

Gene Symbol THSD7A