STAT5b Antibody (SD08-08)

Images

 
Western Blot: STAT5b Antibody (SD08-08) [NBP2-67795] - Analysis of STAT5b on different lysates using anti-STAT5b antibody at 1/1,000 dilution. Positive control: Lane 1: K562 Lane 2: Hela
Immunocytochemistry/ Immunofluorescence: STAT5b Antibody (SD08-08) [NBP2-67795] - Staining STAT5b in RH-35 cells (green). The nuclear counter stain is DAPI (blue). Cells were fixed in paraformaldehyde, permeabilised ...read more
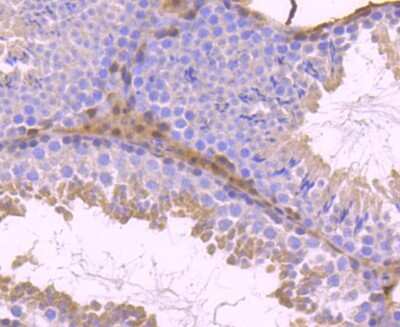
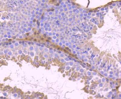
Immunohistochemistry-Paraffin: STAT5b Antibody (SD08-08) [NBP2-67795] - Analysis of paraffin-embedded mouse testis tissue using anti-STAT5b antibody. Counter stained with hematoxylin.
Immunocytochemistry/ Immunofluorescence: STAT5b Antibody (SD08-08) [NBP2-67795] - Staining STAT5b in Hela cells (green). The nuclear counter stain is DAPI (blue). Cells were fixed in paraformaldehyde, permeabilised with ...read more
Immunocytochemistry/ Immunofluorescence: STAT5b Antibody (SD08-08) [NBP2-67795] - Staining STAT5b in PC-3M cells (green). The nuclear counter stain is DAPI (blue). Cells were fixed in paraformaldehyde, permeabilised ...read more
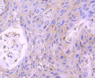
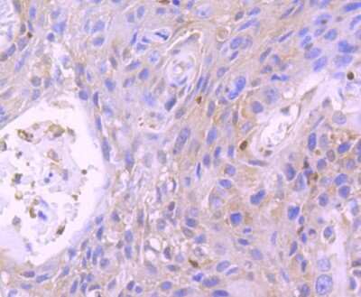
Immunohistochemistry-Paraffin: STAT5b Antibody (SD08-08) [NBP2-67795] - Analysis of paraffin-embedded human breast carcinoma tissue using anti-STAT5b antibody. Counter stained with hematoxylin.
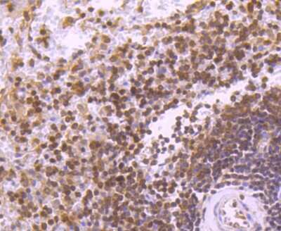
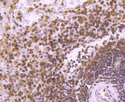
Immunohistochemistry-Paraffin: STAT5b Antibody (SD08-08) [NBP2-67795] - Analysis of paraffin-embedded human spleen tissue using anti-STAT5b antibody. Counter stained with hematoxylin.
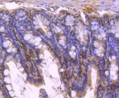
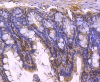
Immunohistochemistry-Paraffin: STAT5b Antibody (SD08-08) [NBP2-67795] - Analysis of paraffin-embedded mouse colon tissue using anti-STAT5b antibody. Counter stained with hematoxylin.
Genetic Strategies: Knockout Validated: STAT5b Antibody (SD08-08) [NBP2-67795] - Lysates of HAP1 WT and STAT5b KO were prepared, and 20 ug of protein were processed for immunoblot with STAT5b antibody. The ...read more
Immunoprecipitation: STAT5b Antibody (SD08-08) [NBP2-67795] - HAP1 lysates were prepared, and immunoprecipitation was performed using 2.0 ug of STAT5b antibody (NBP2-67795) pre-coupled to Dynabeads protein A. Samples ...read more

Product Details

Summary
Product Discontinued
View other related STAT5b Primary Antibodies
Validated by:
     

Genetic Strategies

   

Order Details


    • Catalog Number
      NBP2-67795
    • Availability
      Product Discontinued

    Can't find what you are looking for? Use our Antibody Concierge Service & we will help you locate your antibody!

    Or feel free to contact us for alternative products.

STAT5b Antibody (SD08-08) Summary

Additional Information
Recombinant Monoclonal Antibody.
Immunogen
Recombinant protein within C-terminal mouse STAT5b. (SwissProt: P51692 Human; SwissProt: P42232 Mouse; SwissProt: P52632 Rat)
Localization
Cytoplasm, Nucleus.
Isotype
IgG
Clonality
Monoclonal
Host
Rabbit
Gene
STAT5B
Purity
Protein A purified
Innovator's Reward
Test in a species/application not listed above to receive a full credit towards a future purchase.

Applications/Dilutions

Dilutions
  • Immunocytochemistry/ Immunofluorescence 1:100-1:500
  • Immunohistochemistry
  • Immunohistochemistry-Paraffin 1:50-1:200
  • Immunoprecipitation
  • Knockout Validated
  • Western Blot 1:1000-1:2000

Packaging, Storage & Formulations

Storage
Store at 4C short term. Aliquot and store at -20C long term. Avoid freeze-thaw cycles.
Buffer
TBS (pH7.4), 0.05% BSA, 40% Glycerol
Preservative
0.05% Sodium Azide
Concentration
1 mg/ml
Purity
Protein A purified

Alternate Names for STAT5b Antibody (SD08-08)

  • signal transducer and activator of transcription 5B
  • STAT5
  • STAT5b
  • transcription factor STAT5B

Background

STAT5B is encoded by this gene is a member of the STAT family of transcription factors. In response to cytokines and growth factors, STAT family members are phosphorylated by the receptor associated kinases, and then form homo- or heterodimers that translocate to the cell nucleus where they act as transcription activators. This protein mediates the signal transduction triggered by various cell ligands, such as IL2, IL4, CSF1, and different growth hormones. It has been shown to be involved in diverse biological processes, such as TCR signaling, apoptosis, adult mammary gland development, and sexual dimorphism of liver gene expression. This gene was found to fuse to retinoic acid receptor-alpha (RARA) gene in a small subset of acute promyelocytic leukemias (APLL). The dysregulation of the signaling pathways mediated by this protein may be the cause of the APLL.

Limitations

This product is for research use only and is not approved for use in humans or in clinical diagnosis. Primary Antibodies are guaranteed for 1 year from date of receipt.

Customers Who Viewed This Item Also Viewed...

NBP2-59451
Species: Hu
Applications: ELISA, Flow, ICC/IF, MiAr, Simple Western, WB
MAB1799
Species: Hu, Mu, Rt
Applications: ICC, IP, ICFlow, KO, WB
202-IL
Species: Hu
Applications: BA
AF2168
Species: Hu, Mu
Applications: ChIP, Simple Western, WB
NB400-141
Species: Ha, Hu, Mu
Applications: ICC/IF, IP, WB
AF1445
Species: Mu, Rt
Applications: ELISA(Cap), ELISA(Det), ELISA(Sta), IHC, Neut, Simple Western, WB
AF2894
Species: Hu, Mu
Applications: CyTOF-ready, ICFlow, Simple Western, WB
MEP00B
Species: Mu
Applications: ELISA
203-IL
Species: Hu
Applications: BA
AF1067
Species: Hu, Mu, Rt
Applications: ELISA, IHC, Neut, WB
NBP2-22203
Species: Hu, Pm, Mu, Rt
Applications: ELISA, Flow, ICC/IF, IHC,  IHC-P, WB
291-G1
Species: Hu
Applications: BA
AF1230
Species: Hu, Mu, Rt
Applications: IHC, KO, WB
AF1067
Species: Hu, Mu, Rt
Applications: ELISA, IHC, Neut, WB
AF1360
Species: Mu
Applications: IHC, WB
NBP1-90927
Species: Hu
Applications: IHC,  IHC-P, WB
AF887
Species: Hu, Mu, Rt
Applications: CyTOF-ready, IHC, ICFlow, Simple Western, WB
NBP2-37737
Species: Hu, Mu
Applications: ELISA, Flow, ICC/IF, WB
MAB4260
Species: Hu, Mu, Rt
Applications: Simple Western, WB
NB100-56104
Species: Ca, Hu, Mu, Rt
Applications: IHC, IHC-Fr,  IHC-P, IP, WB

Publications for STAT5b Antibody (NBP2-67795) (0)

There are no publications for STAT5b Antibody (NBP2-67795).
By submitting your publication information earn gift cards and discounts for future purchases.

Reviews for STAT5b Antibody (NBP2-67795) (0)

There are no reviews for STAT5b Antibody (NBP2-67795). By submitting a review you will receive an Amazon e-Gift Card or Novus Product Discount.
  • Review with no image -- $10/€7/£6/$10 CAD/¥70 Yuan/¥1110 Yen
  • Review with an image -- $25/€18/£15/$25 CAD/¥150 Yuan/¥2500 Yen

Product General Protocols

Find general support by application which include: protocols, troubleshooting, illustrated assays, videos and webinars.

Video Protocols

WB Video Protocol
ICC/IF Video Protocol

FAQs for STAT5b Antibody (NBP2-67795) (0)

There are no specific FAQs related to this product. Read our general customer & technical service FAQs.

Secondary Antibodies

 

Isotype Controls

Additional STAT5b Products

Research Areas for STAT5b Antibody (NBP2-67795)

Find related products by research area.

Blogs on STAT5b.

Signal Transducer and Activator of Transcription STAT6: More than a Player in Allergic Inflammation
By Jamshed Arslan, Pharm. D., PhD. What is STAT6?The cellular pathway comprising tyrosine kinase Janus Kinase (JAK) and the transcription factor STAT connect extracellular signals from various cytokines, hormones an...  Read full blog post.

Contact Information

Product PDFs

Calculators

Concentration Calculator

The concentration calculator allows you to quickly calculate the volume, mass or concentration of your vial. Simply enter your mass, volume, or concentration values for your reagent and the calculator will determine the rest.

=
÷

Review this Product

Be the first to review our STAT5b Antibody (SD08-08) and receive a gift card or discount.

Bioinformatics

Gene Symbol STAT5B