STAT4 Antibody (JJ08-85)

Images

 
Western Blot: STAT4 Antibody (JJ08-85) [NBP2-67868] - Analysis of STAT4 on Daudi cells lysates using anti-STAT4 antibody at 1/1,000 dilution.
Immunocytochemistry/ Immunofluorescence: STAT4 Antibody (JJ08-85) [NBP2-67868] - Staining STAT4 in SW480 cells (green). The nuclear counter stain is DAPI (blue). Cells were fixed in paraformaldehyde, permeabilised with ...read more
Immunohistochemistry-Paraffin: STAT4 Antibody (JJ08-85) [NBP2-67868] - Analysis of paraffin-embedded human tonsils tissue with Rabbit anti-STAT4 antibody washed with ddH2O and PBS, and then probed with the primary ...read more
Flow Cytometry: STAT4 Antibody (JJ08-85) [NBP2-67868] - Analysis of Hela cells with STAT4 antibody at 1/50 dilution (red) compared with an unlabelled control (cells without incubation with primary antibody; black). ...read more
Immunocytochemistry/ Immunofluorescence: STAT4 Antibody (JJ08-85) [NBP2-67868] - Staining STAT4 in Hela cells (green). The nuclear counter stain is DAPI (blue). Cells were fixed in paraformaldehyde, permeabilised with ...read more
Immunocytochemistry/ Immunofluorescence: STAT4 Antibody (JJ08-85) [NBP2-67868] - Staining STAT4 in MCF-7 cells (green). The nuclear counter stain is DAPI (blue). Cells were fixed in paraformaldehyde, permeabilised with ...read more
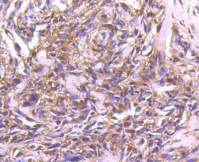
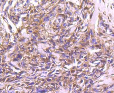
Immunohistochemistry-Paraffin: STAT4 Antibody (JJ08-85) [NBP2-67868] - Analysis of paraffin-embedded human breast carcinoma tissue using anti-STAT4 antibody. Counter stained with hematoxylin.
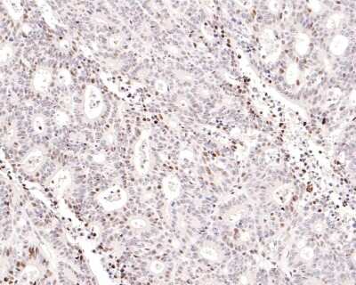
Immunohistochemistry-Paraffin: STAT4 Antibody (JJ08-85) [NBP2-67868] - Analysis of paraffin-embedded human colon cancer tissue using anti-STAT4 antibody. Counter stained with hematoxylin.
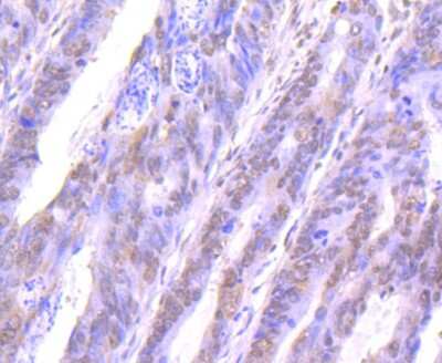
Immunohistochemistry-Paraffin: STAT4 Antibody (JJ08-85) [NBP2-67868] - Analysis of paraffin-embedded human pancreas tissue using anti-STAT4 antibody. Counter stained with hematoxylin.
Immunohistochemistry-Paraffin: STAT4 Antibody (JJ08-85) [NBP2-67868] - Analysis of paraffin-embedded human colon carcinoma tissue with Rabbit anti-STAT4 antibody washed with ddH2O and PBS, and then probed with the ...read more

Product Details

Summary
Product Discontinued
View other related STAT4 Primary Antibodies

Order Details


    • Catalog Number
      NBP2-67868
    • Availability
      Product Discontinued

    Can't find what you are looking for? Use our Antibody Concierge Service & we will help you locate your antibody!

    Or feel free to contact us for alternative products.

STAT4 Antibody (JJ08-85) Summary

Additional Information
Recombinant Monoclonal Antibody.
Immunogen
Synthetic peptide within human STAT4 aa 700-748. (SwissProt: Q14765 Human)
Localization
Cytoplasm, Nucleus.
Isotype
IgG
Clonality
Monoclonal
Host
Rabbit
Gene
STAT4
Purity
Protein A purified
Innovator's Reward
Test in a species/application not listed above to receive a full credit towards a future purchase.

Applications/Dilutions

Dilutions
  • Flow Cytometry 1:50-1:100
  • Immunocytochemistry/ Immunofluorescence 1:100-1:500
  • Immunohistochemistry
  • Immunohistochemistry-Paraffin 1:50-1:400
  • Immunoprecipitation
  • Western Blot 1:1000

Packaging, Storage & Formulations

Storage
Store at 4C short term. Aliquot and store at -20C long term. Avoid freeze-thaw cycles.
Buffer
TBS (pH7.4), 0.05% BSA, 40% Glycerol
Preservative
0.05% Sodium Azide
Concentration
1 mg/ml
Purity
Protein A purified

Alternate Names for STAT4 Antibody (JJ08-85)

  • signal transducer and activator of transcription 4
  • SLEB11
  • STAT4

Background

STAT4 is encoded by this gene is a member of the STAT family of transcription factors. In response to cytokines and growth factors, STAT family members are phosphorylated by the receptor associated kinases, and then form homo- or heterodimers that translocate to the cell nucleus where they act as transcription activators. This protein is essential for mediating responses to IL12 in lymphocytes, and regulating the differentiation of T helper cells.

Limitations

This product is for research use only and is not approved for use in humans or in clinical diagnosis. Primary Antibodies are guaranteed for 1 year from date of receipt.

Customers Who Viewed This Item Also Viewed...

485-MI
Species: Mu
Applications: BA
6507-IL/CF
Species: Hu
Applications: BA
AF2167
Species: Hu, Mu, Rt
Applications: CyTOF-ready, ICFlow, Simple Western, WB
AF2894
Species: Hu, Mu
Applications: CyTOF-ready, ICFlow, Simple Western, WB
NB400-141
Species: Ha, Hu, Mu
Applications: ICC/IF, IP, WB
MAB1799
Species: Hu, Mu, Rt
Applications: ICC, IP, ICFlow, KO, WB
202-IL
Species: Hu
Applications: BA
NBP1-43299
Species: Hu, Mu, Rt
Applications: ICC/IF, IHC,  IHC-P, IP, WB
7625
Species: Mu
Applications: ELISA
NBP1-19371
Species: Ca, Hu, Mu, Po, Rb, Rt
Applications: Dual ISH-IHC, Flow, ICC/IF, IHC, IHC-Fr,  IHC-P, Simple Western, WB
NBP2-59451
Species: Hu
Applications: ELISA, Flow, ICC/IF, MiAr, Simple Western, WB
AF2168
Species: Hu, Mu
Applications: ChIP, Simple Western, WB
DY417
Species: Mu
Applications: ELISA
AF1584
Species: Hu, Mu
Applications: CyTOF-ready, ICC, IP, ICFlow, KO, Simple Western, WB
NBP2-75930
Species: Hu, Mu, Rt
Applications: Flow, ICC/IF, IHC,  IHC-P, WB
M6000B
Species: Mu
Applications: ELISA
1290-IL
Species: Hu
Applications: BA
PAF-ST2
Species: Hu
Applications: IP, KO, WB
NB100-1092
Species: Hu, Mu
Applications: ChIP, Flow, KD, PEP-ELISA, WB

Publications for STAT4 Antibody (NBP2-67868) (0)

There are no publications for STAT4 Antibody (NBP2-67868).
By submitting your publication information earn gift cards and discounts for future purchases.

Reviews for STAT4 Antibody (NBP2-67868) (0)

There are no reviews for STAT4 Antibody (NBP2-67868). By submitting a review you will receive an Amazon e-Gift Card or Novus Product Discount.
  • Review with no image -- $10/€7/£6/$10 CAD/¥70 Yuan/¥1110 Yen
  • Review with an image -- $25/€18/£15/$25 CAD/¥150 Yuan/¥2500 Yen

Product General Protocols

Video Protocols

WB Video Protocol
ICC/IF Video Protocol

FAQs for STAT4 Antibody (NBP2-67868) (0)

There are no specific FAQs related to this product. Read our general customer & technical service FAQs.

Secondary Antibodies

 

Isotype Controls

Additional STAT4 Products

Research Areas for STAT4 Antibody (NBP2-67868)

Find related products by research area.

Blogs on STAT4.

Signal Transducer and Activator of Transcription STAT6: More than a Player in Allergic Inflammation
By Jamshed Arslan, Pharm. D., PhD. What is STAT6?The cellular pathway comprising tyrosine kinase Janus Kinase (JAK) and the transcription factor STAT connect extracellular signals from various cytokines, hormones an...  Read full blog post.

Contact Information

Product PDFs

Calculators

Concentration Calculator

The concentration calculator allows you to quickly calculate the volume, mass or concentration of your vial. Simply enter your mass, volume, or concentration values for your reagent and the calculator will determine the rest.

=
÷

Review this Product

Be the first to review our STAT4 Antibody (JJ08-85) and receive a gift card or discount.

Bioinformatics

Gene Symbol STAT4