ST6 Gal Sialyltransferase 2/ST6GAL2 Antibody

Images

 
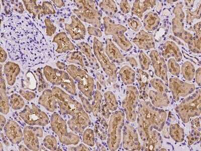
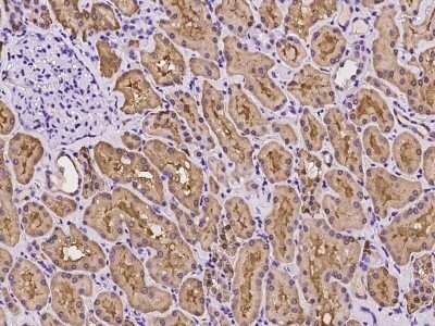
Immunohistochemistry-Paraffin: ST6 Gal Sialyltransferase 2/ST6GAL2 Antibody [NBP2-97963] - Immunochemical staining of ST6 Gal Sialyltransferase 2/ST6GAL2 in human kidney with rabbit polyclonal antibody at 1:100 ...read more
Immunohistochemistry-Paraffin: ST6 Gal Sialyltransferase 2/ST6GAL2 Antibody [NBP2-97963] - Immunochemical staining of ST6 Gal Sialyltransferase 2/ST6GAL2 in cynomolgus cerebellum with rabbit polyclonal antibody at 1:100 ...read more

Order Details


    • Catalog Number
      NBP2-97963
    • Availability
      Product Discontinued

    Can't find what you are looking for? Use our Antibody Concierge Service & we will help you locate your antibody!

    Or feel free to contact us for alternative products.

ST6 Gal Sialyltransferase 2/ST6GAL2 Antibody Summary

Description
This antibody can be stored at 2C to 8C for one month without detectable loss of activity. Antibody products are stable for twelve months from date of receipt when stored at -20C to -80C. Avoid repeated freeze-thaw cycles.
Immunogen
Produced in rabbits immunized with E. coli-derived Human ST6 Gal Sialyltransferase 2/ST6GAL2 fragment.
Isotype
IgG
Clonality
Polyclonal
Host
Rabbit
Gene
ST6GAL2
Purity
Antigen and protein A Affinity-purified
Innovator's Reward
Test in a species/application not listed above to receive a full credit towards a future purchase.

Applications/Dilutions

Dilutions
  • Immunohistochemistry 1:50-1:200
  • Immunohistochemistry-Paraffin 1:50-1:200

Packaging, Storage & Formulations

Storage
Store at 4C short term. Aliquot and store at -20C long term. Avoid freeze-thaw cycles.
Buffer
PBS
Preservative
0.03% Proclin 300
Purity
Antigen and protein A Affinity-purified

Alternate Names for ST6 Gal Sialyltransferase 2/ST6GAL2 Antibody

  • Alpha 2,6-ST 2
  • beta-galactoside alpha-2,6-sialyltransferase 2
  • beta-galactoside alpha-2,6-sialyltransferase II
  • CMP-N-acetylneuraminate-beta-galactosamide-alpha-2,6-sialyltransferase 2
  • EC 2.4.99
  • EC 2.4.99.1
  • FLJ30711
  • FLJ37730
  • FLJ38334
  • hST6Gal II
  • KIAA1877
  • KIAA1877St6gal2
  • sialyltransferase 2 (monosialoganglioside sialyltransferase)
  • Sialyltransferase 2
  • SIAT2
  • ST6 beta-galactosamide alpha-2,6-sialyltranferase 2
  • ST6Gal II
  • ST6GAL2
  • St6GalII

Background

Sialyltransferases, such as ST6GAL2 (EC 2.4.99.1), are type II transmembrane proteins that catalyze the transfer of sialic acid from CMP-sialic acid to an acceptor carbohydrate, usually to the terminal ends of carbohydrate chains.[supplied by OMIM]

Limitations

This product is for research use only and is not approved for use in humans or in clinical diagnosis. Primary Antibodies are guaranteed for 1 year from date of receipt.

Customers Who Viewed This Item Also Viewed...

AF5924
Species: Hu
Applications: ICC, IHC, Simple Western, WB
AF5357
Species: Hu
Applications: IP, Neut, WB
M6000B
Species: Mu
Applications: ELISA
NB100-757
Species: Hu
Applications: ChIP, IHC, IHC-P, WB
NBP2-27398
Species: Hu, Mu, Rt
Applications: ICC/IF, IHC, IHC-Fr, IHC-P, IP, Simple Western, WB
AF942
Species: Mu
Applications: CyTOF-ready, ICC, IHC, ICFlow, WB
7268-CT
Species: Hu
Applications: BA
NBP2-93502
Species: Hu, Mu, Rt
Applications: ICC/IF, WB
NBP1-85373
Species: Hu
Applications: ICC/IF, IHC, IHC-P
AF5286
Species: Hu
Applications: WB
AF5964
Species: Hu
Applications: ICC, IP, WB
NBP1-91258
Species: Bv, Ca, Eq, Fe, Hu, Mu, Po, Rt
Applications: ICC/IF, IHC, IHC-Fr, IHC-P, Simple Western, WB
NBP1-76963
Species: Hu, Mu, Rt
Applications: ELISA, ICC/IF, IHC, IHC-P, Simple Western, WB
1635-T2
Species: Hu
Applications: BA
NBP1-85987
Species: Hu
Applications: ICC/IF, IHC, IHC-P, WB
AF4495
Species: Mu
Applications: CyTOF-ready, Flow, WB
NB100-524
Species: Hu, Mu
Applications: Flow-IC, Flow, ICC/IF, IHC, IHC-Fr, IHC-P, IP, WB
NBP1-90235
Species: ChHa, Hu, Mu, Rt
Applications: IHC, IHC-P, Simple Western, WB
AF5165
Species: Hu, Mu
Applications: WB

Publications for ST6 Gal Sialyltransferase 2/ST6GAL2 Antibody (NBP2-97963) (0)

There are no publications for ST6 Gal Sialyltransferase 2/ST6GAL2 Antibody (NBP2-97963).
By submitting your publication information earn gift cards and discounts for future purchases.

Reviews for ST6 Gal Sialyltransferase 2/ST6GAL2 Antibody (NBP2-97963) (0)

There are no reviews for ST6 Gal Sialyltransferase 2/ST6GAL2 Antibody (NBP2-97963). By submitting a review you will receive an Amazon e-Gift Card or Novus Product Discount.
  • Review with no image -- $10/€7/£6/$10 CAD/¥70 Yuan/¥1110 Yen
  • Review with an image -- $25/€18/£15/$25 CAD/¥150 Yuan/¥2500 Yen

Product General Protocols

Find general support by application which include: protocols, troubleshooting, illustrated assays, videos and webinars.

FAQs for ST6 Gal Sialyltransferase 2/ST6GAL2 Antibody (NBP2-97963) (0)

There are no specific FAQs related to this product. Read our general customer & technical service FAQs.

Contact Information

Product PDFs

Calculators

Concentration Calculator

The concentration calculator allows you to quickly calculate the volume, mass or concentration of your vial. Simply enter your mass, volume, or concentration values for your reagent and the calculator will determine the rest.

=
÷

Review this Product

Be the first to review our ST6 Gal Sialyltransferase 2/ST6GAL2 Antibody and receive a gift card or discount.

Bioinformatics

Gene Symbol ST6GAL2