SREBP2 Antibody (SREBP2/1580) - Azide and BSA Free

Images

 
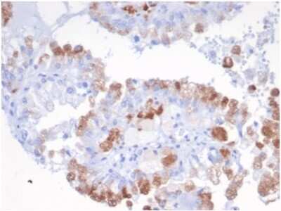
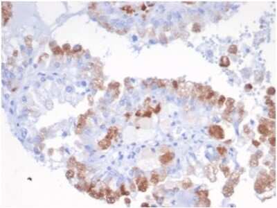
Immunohistochemistry-Paraffin: SREBP2 Antibody (SREBP2/1580) - Azide and BSA Free [NBP3-14186] - IHC analysis of formalin-fixed, paraffin-embedded human Renal carcinoma. Stained using SREBP2 antibody (SREBP2/1580) at ...read more

Product Details

Summary
Reactivity HuSpecies Glossary
Applications WB, ELISA, ICC/IF, IHC
Clone
SREBP2/1580
Clonality
Monoclonal
Host
Mouse
Conjugate
Unconjugated
Format
Azide and BSA Free
Concentration
1 mg/ml

Order Details

SREBP2 Antibody (SREBP2/1580) - Azide and BSA Free Summary

Description
1.0 mg/ml of antibody purified from Bioreactor Concentrate by Protein A/G. Prepared in 10mM PBS WITHOUT BSA & azide. Also available at 200 ug/ml WITH BSA & azide (NBP3-13783).

Antibody with azide - store at 2 to 8C. Antibody without azide - store at -20 to -80 C.
Immunogen
Recombinant full-length human SREBP2protein (Uniprot: Q12772)
Localization
Nucleus, Cytoplasm
Isotype
IgG1 Kappa
Clonality
Monoclonal
Host
Mouse
Gene
SREBF2
Purity
Protein A or G purified
Innovator's Reward
Test in a species/application not listed above to receive a full credit towards a future purchase.

Applications/Dilutions

Dilutions
  • ELISA
  • Immunocytochemistry/ Immunofluorescence 1-3 ug/ml
  • Immunohistochemistry-Paraffin 1-2 ug/ml
  • Western Blot 2-4 ug/ml
Application Notes
ELISA: For coating, order this antibody without BSA

Immunohistochemistry (Formalin-fixed): 1-2ug/ml for 30 minutes at RT. Staining of formalin-fixed tissues requires heating tissue sections in 10mM Tris with 1mM EDTA, pH 9.0, for 45 min at 95C followed by cooling at RT for 20 minutes

Packaging, Storage & Formulations

Storage
Store at -20 to -80C. Avoid freeze-thaw cycles.
Buffer
10mM PBS
Preservative
No Preservative
Concentration
1 mg/ml
Purity
Protein A or G purified

Alternate Names for SREBP2 Antibody (SREBP2/1580) - Azide and BSA Free

  • bHLhd2
  • bHLHd2sterol regulatory element-binding protein 2
  • Class D basic helix-loop-helix protein 2
  • SREBF2
  • SREBP2
  • SREBP2SREBP-2
  • sterol regulatory element binding transcription factor 2
  • Sterol regulatory element-binding transcription factor 2

Background

SREBP2 encodes a ubiquitously expressed transcription factor that controls cholesterol homeostasis by stimulating transcription of sterol-regulated genes. The encoded protein contains a basic helix-loop-helix-leucine zipper (bHLH-Zip) domain.

Limitations

This product is for research use only and is not approved for use in humans or in clinical diagnosis. Primary Antibodies are guaranteed for 1 year from date of receipt.

Customers Who Viewed This Item Also Viewed...

NB600-582
Species: Ca, Ch, SyHa, Ha, Hu, Pm, Mu, Rt
Applications: IHC-Fr, KO, Simple Western, WB
AF2255
Species: Mu
Applications: Block, CyTOF-ready, Flow, IHC, WB
NBP2-66888
Species: Hu, Mu, Rt
Applications:  IHC-P, IP, Simple Western, WB
NB400-114
Species: Ch, Fe, Ha, Hu, Mu, Pl, Po, Pm, Rt
Applications: ICC/IF, IHC,  IHC-P, IP, KD, WB
NBP2-92206
Species: Hu, Mu
Applications: ICC/IF, WB
MAB1417
Species: Bv, Hu, Mu
Applications: ICC, IHC
NBP2-01828
Species: Hu
Applications: Flow, ICC/IF, IHC,  IHC-P, WB
NB400-105
Species: Ca, Ch, ChHa, Eq, Ha, Hu, Mu, Md, Po, Pm, Rb, Rt
Applications: B/N, ChIP, ChIP, Dual ISH-IHC, ELISA, Flow, GS, GS, IB, ICC/IF, IHC, IHC-Fr,  IHC-P, IP, KD, KO, PCR, Simple Western, WB
NB300-537
Species: Bv, Hu, Mu, Rb, Rt
Applications: ChIP, Flow, GS, ICC/IF, IHC,  IHC-P, IP, KD, Simple Western, WB
MAB9120
Species: Hu
Applications: ICC
NB120-13550
Species: Hu, Mu, Rt
Applications: ICC/IF, IHC,  IHC-P, WB
MPC900
Species: Mu
Applications: ELISA
NBP2-01170
Species: Hu, Pm, Mu, Pm, Rt
Applications: ICC/IF, IHC,  IHC-P, WB
NB600-232
Species: Hu, Mu
Applications: ChIP, IHC,  IHC-P, IP, WB
NBP3-05161
Species: Hu, Mu
Applications: ELISA, ICC/IF, IHC,  IHC-P, WB
NBP2-16463
Species: Hu, Mu, Rt
Applications: ICC/IF, IHC,  IHC-P, Simple Western, WB

Publications for SREBP2 Antibody (NBP3-14186) (0)

There are no publications for SREBP2 Antibody (NBP3-14186).
By submitting your publication information earn gift cards and discounts for future purchases.

Reviews for SREBP2 Antibody (NBP3-14186) (0)

There are no reviews for SREBP2 Antibody (NBP3-14186). By submitting a review you will receive an Amazon e-Gift Card or Novus Product Discount.
  • Review with no image -- $10/€7/£6/$10 CAD/¥70 Yuan/¥1110 Yen
  • Review with an image -- $25/€18/£15/$25 CAD/¥150 Yuan/¥2500 Yen

Product General Protocols

Find general support by application which include: protocols, troubleshooting, illustrated assays, videos and webinars.

Video Protocols

WB Video Protocol
ICC/IF Video Protocol

FAQs for SREBP2 Antibody (NBP3-14186) (0)

There are no specific FAQs related to this product. Read our general customer & technical service FAQs.

Secondary Antibodies

 

Isotype Controls

Additional SREBP2 Products

Blogs on SREBP2.

SREBP2 - regulating cholesterol homeostasis and lipid metabolism
Sterol regulatory element-binding proteins (SREBP) are important transcription factors regulating the synthesis and uptake of lipids including cholesterol. This essential role in lipid metabolism makes investigations into the functions SREBPs im...  Read full blog post.

SREBP: Gatekeeper of Cholesterol Homeostasis
SREBP1 (sterol-regulatory-element-binding protein 2) is a basic-helix-loop-helix-leucine zipper (bHLH-ZIP) transcription factor. It regulates sterol and cholesterol homeostasis by controlling enzymes involved in cholesterol synthesis and uptake, e.g. ...  Read full blog post.

SREBPs: Global Regulator of Lipid Metabolism
Sterol regulatory element binding proteins (SREBPs) are indirectly required for cholesterol biosynthesis and for uptake and fatty acid biosynthesis. There are three known SREBP isoforms, SREBP1a, 1c and SREBP2; these have different roles in lipid synt...  Read full blog post.

SREBP2: From Cholesterol Homeostasis to Cancer Invasion
Sterol-regulatory-element-binding protein 2 (SREBP2) is a transcription factor that regulates cholesterol homeostasis by controlling enzymes involved in cholesterol synthesis and uptake, e.g. HMG-CoA. Along with another transcription factor LXR, SREBP...  Read full blog post.

ABCA1 Expression is Down-Regulated by SREBP microRNA
The ABCA1 (ATP-binding cassette transporter-A1) gene encodes a transmembrane protein, which plays a major role in phospholipid homeostasis by regulating cholesterol efflux from the cell. ABCA1 antibody studies have shown ABCA1 expression is up/down re...  Read full blog post.

Customers Who Bought This Also Bought

Contact Information

Product PDFs

Calculators

Concentration Calculator

The concentration calculator allows you to quickly calculate the volume, mass or concentration of your vial. Simply enter your mass, volume, or concentration values for your reagent and the calculator will determine the rest.

=
÷

Review this Product

Be the first to review our SREBP2 Antibody (SREBP2/1580) - Azide and BSA Free and receive a gift card or discount.

Bioinformatics

Gene Symbol SREBF2