SPAG16 Antibody - BSA Free

Images

 
Immunocytochemistry/ Immunofluorescence: SPAG16 Antibody [NBP1-84124] - Staining of human cell line A-431 shows localization to plasma membrane & cytosol.
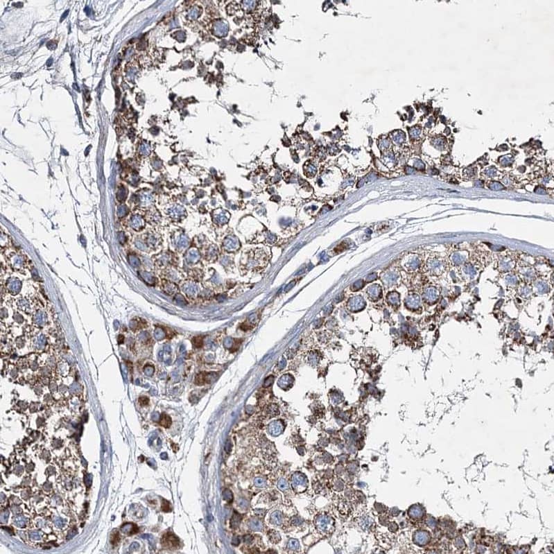
Staining of human fallopian tube shows strong cytoplasmic granular positivity in glandular cells.
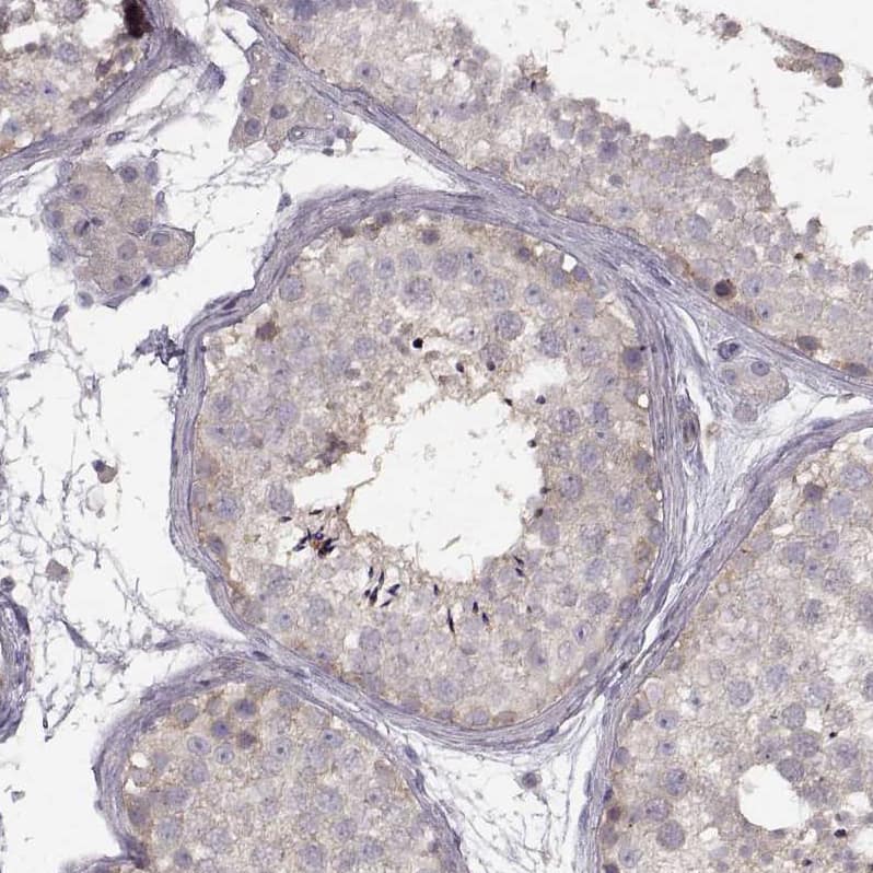
Staining of human testis shows strong cytoplasmic granular positivity in seminiferous ducts.
Analysis in human cell line SH-SY5Y.
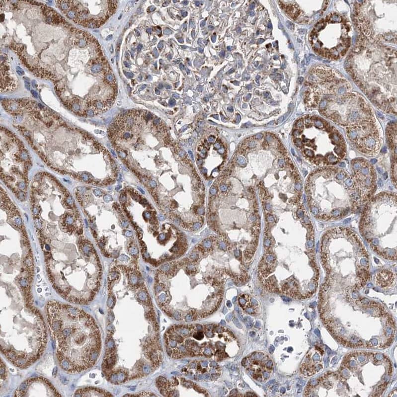
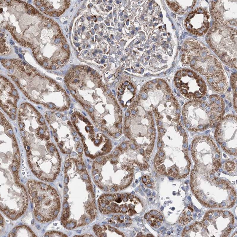
Staining of human kidney shows strong cytoplasmic granular positivity in cells in tubules.
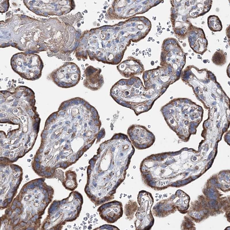
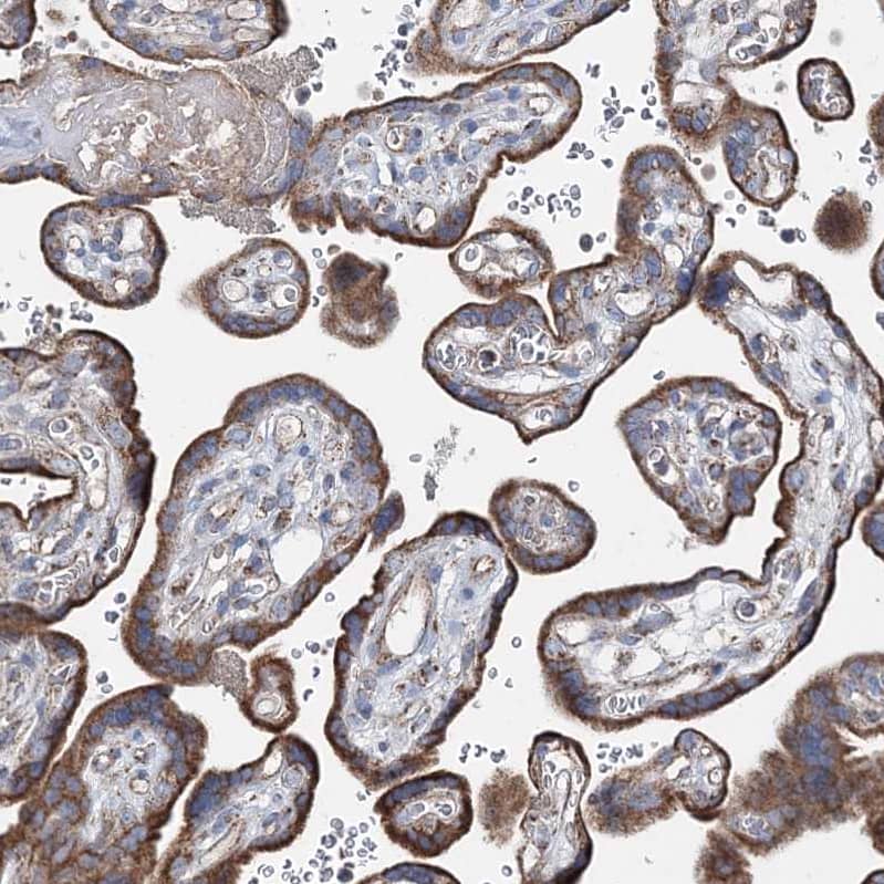
Staining of human placenta shows strong cytoplasmic granular positivity in trophoblastic cells.
Staining of human breast shows strong cytoplasmic granular positivity in glandular cells).

Product Details

Summary
Reactivity Hu, RtSpecies Glossary
Applications WB, ICC/IF, IHC
Clonality
Polyclonal
Host
Rabbit
Conjugate
Unconjugated
Format
BSA Free

Order Details

View Available Formulations
Catalog# & Formulation Size Price

SPAG16 Antibody - BSA Free Summary

Description
Novus Biologicals Rabbit SPAG16 Antibody - BSA Free (NBP1-84124) is a polyclonal antibody validated for use in IHC, WB and ICC/IF. All Novus Biologicals antibodies are covered by our 100% guarantee.
Immunogen
This antibody was developed against Recombinant Protein corresponding to amino acids: NLKKDLKHYKQAADKAREDLLKIQKERDFHRMHHKRIVQEKNKLINDLKGLKLHYASYEPTIRVLHEKHHTLLKEKMLTSLERDKVVG
Predicted Species
Rat (90%). Backed by our 100% Guarantee.
Isotype
IgG
Clonality
Polyclonal
Host
Rabbit
Gene
SPAG16
Purity
Immunogen affinity purified
Innovator's Reward
Test in a species/application not listed above to receive a full credit towards a future purchase.

Applications/Dilutions

Dilutions
  • Immunocytochemistry/ Immunofluorescence 0.25-2 ug/ml
  • Immunohistochemistry 1:200 - 1:500
  • Immunohistochemistry-Paraffin 1:200 - 1:500
  • Western Blot 0.04-0.4 ug/ml
Application Notes
For IHC-Paraffin, HIER pH 6 retrieval is recommended. Immunocytochemistry/Immunofluorescence Fixation Permeabilization: Use PFA/Triton X-100.
Control Peptide
SPAG16 Protein (NBP1-84124PEP)

Packaging, Storage & Formulations

Storage
Store at 4C short term. Aliquot and store at -20C long term. Avoid freeze-thaw cycles.
Buffer
PBS (pH 7.2) and 40% Glycerol
Preservative
0.02% Sodium Azide
Purity
Immunogen affinity purified

Alternate Names for SPAG16 Antibody - BSA Free

  • DKFZp666P1710
  • FLJ22724
  • FLJ37717
  • Pf20 protein homolog
  • PF20MGC87036
  • sperm associated antigen 16
  • sperm-associated antigen 16 protein
  • sperm-associated WD repeat protein
  • WD repeat domain 29
  • WDR29

Background

Cilia and flagella are comprised of a microtubular backbone, the axoneme, which is organized by the basal body and surrounded by plasma membrane. SPAG16 encodes 2 major proteins that associate with the axoneme of sperm tail and the nucleus of postmeiotic germ cells, respectively (Zhang et al., 2007 [PubMed 17699735]).[supplied by OMIM]

Limitations

This product is for research use only and is not approved for use in humans or in clinical diagnosis. Primary Antibodies are guaranteed for 1 year from date of receipt.

Customers Who Viewed This Item Also Viewed...

NBP1-80923
Species: Hu, Mu
Applications: IHC,  IHC-P, WB
NB100-360
Species: Hu, Mu, Rt
Applications: IB, ICC/IF, IHC,  IHC-P, IP, WB
NBP2-47290
Species: Hu
Applications: ICC/IF, IHC,  IHC-P
NBP2-49409
Species: Hu
Applications: IHC,  IHC-P
NBP1-93840
Species: Hu
Applications: IHC,  IHC-P
NBP2-36776
Species: Hu
Applications: ICC/IF, IHC,  IHC-P, KD, WB
DYC2510-2
Species: Hu, Mu, Rt
Applications: ELISA
NBP1-84466
Species: Hu
Applications: IHC,  IHC-P, WB
NBP2-81733
Species: Hu, Mu, Rt
Applications: ELISA, IHC,  IHC-P, WB
NBP2-55519
Species: Hu
Applications: ICC/IF
AF1936
Species: Hu
Applications: IP, WB
NBP2-93736
Species: Hu, Mu, Rt
Applications: ELISA, ICC/IF, IHC,  IHC-P, WB
MAB1131
Species: Hu
Applications: ICC, IHC, WB
NBP2-24582
Species: Hu, Mu, Pm, Rt
Applications: IHC,  IHC-P, WB
NB300-213
Species: Fe, Hu, Mu, Rt
Applications: ICC/IF, IHC, IHC-Fr,  IHC-P, KD, WB
NBP3-41374
Species: Hu, Rt
Applications: IHC,  IHC-P, WB
AF1924
Species: Hu
Applications: ChIP, ICC, Simple Western, WB
NBP1-88527
Species: Hu, Mu, Rt
Applications: IHC,  IHC-P, WB

Publications for SPAG16 Antibody (NBP1-84124) (0)

There are no publications for SPAG16 Antibody (NBP1-84124).
By submitting your publication information earn gift cards and discounts for future purchases.

Reviews for SPAG16 Antibody (NBP1-84124) (0)

There are no reviews for SPAG16 Antibody (NBP1-84124). By submitting a review you will receive an Amazon e-Gift Card or Novus Product Discount.
  • Review with no image -- $10/€7/£6/$10 CAD/¥70 Yuan/¥1110 Yen
  • Review with an image -- $25/€18/£15/$25 CAD/¥150 Yuan/¥2500 Yen

Product General Protocols

Find general support by application which include: protocols, troubleshooting, illustrated assays, videos and webinars.

Video Protocols

WB Video Protocol
ICC/IF Video Protocol

FAQs for SPAG16 Antibody (NBP1-84124) (0)

There are no specific FAQs related to this product. Read our general customer & technical service FAQs.

Secondary Antibodies

 

Isotype Controls

Additional SPAG16 Products

Research Areas for SPAG16 Antibody (NBP1-84124)

Find related products by research area.

Blogs on SPAG16

There are no specific blogs for SPAG16, but you can read our latest blog posts.

Customers Who Bought This Also Bought

Contact Information

Product PDFs

Calculators

Concentration Calculator

The concentration calculator allows you to quickly calculate the volume, mass or concentration of your vial. Simply enter your mass, volume, or concentration values for your reagent and the calculator will determine the rest.

=
÷

Review this Product

Be the first to review our SPAG16 Antibody - BSA Free and receive a gift card or discount.

Bioinformatics

Gene Symbol SPAG16