SOX21 Antibody (CL4688) - Azide and BSA Free

Images

 
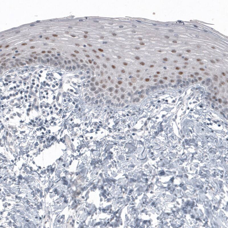
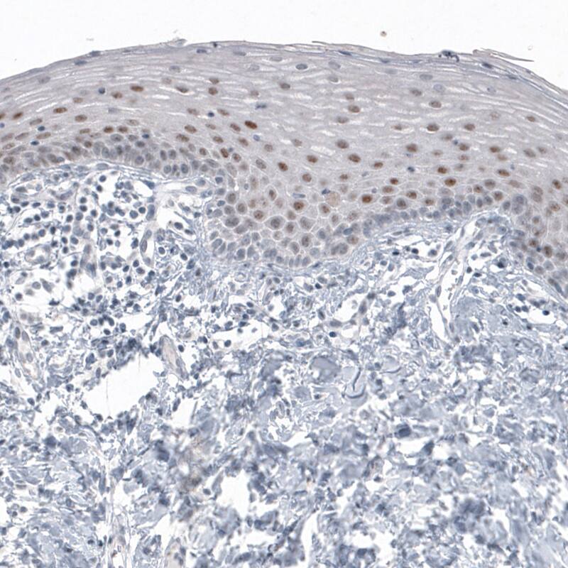
Staining of human cervix shows moderate nuclear immunoreactivity in a subset of squamous epithelial cells.
Staining of human fallopian tube shows no positivity as expected (negative control).
Staining of human stomach shows moderate nuclear positivity in a subset of glandular cells.
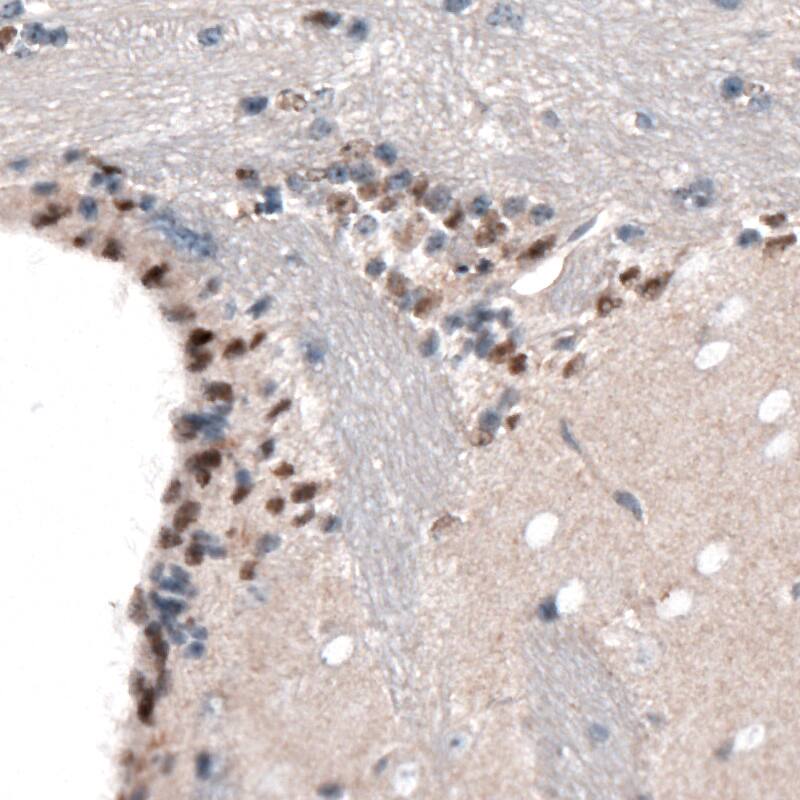
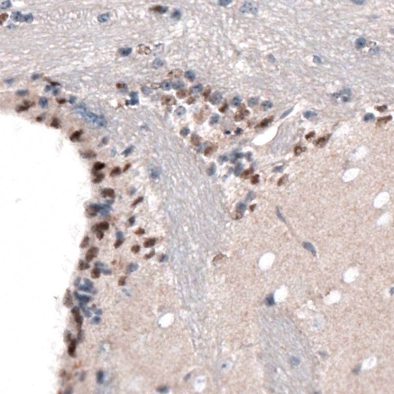
Staining of mouse forebrain shows nuclear immunoreactivity in a subset of cells in the lateral ventricle wall.
Staining of PC-3 cells using the Anti-SOX21 monoclonal antibody) .
Staining of mouse cerebral cortex shows nuclear positivity in a subset of cells.
Analysis in human cell line NTERA-2.
Staining of mouse embryo E14 shows nuclear immunoreactivity in the developing forebrain.

Product Details

Summary
Reactivity Hu, MuSpecies Glossary
Applications WB, ICC/IF, IHC
Clone
CL4688
Clonality
Monoclonal
Host
Mouse
Conjugate
Unconjugated
Format
Azide and BSA Free
Concentration
LYOPH

Order Details

SOX21 Antibody (CL4688) - Azide and BSA Free Summary

Description
Novus Biologicals Mouse SOX21 Antibody (CL4688) - Azide and BSA Free (NBP2-59059) is a monoclonal antibody validated for use in IHC, WB and ICC/IF. All Novus Biologicals antibodies are covered by our 100% guarantee.
Immunogen
This antibody was generated using a synthetic peptide of Q9Y651, with the exact immunogen sequence remaining proprietary.
Isotype
IgG2a
Clonality
Monoclonal
Host
Mouse
Gene
SOX21
Purity
Protein A purified
Innovator's Reward
Test in a species/application not listed above to receive a full credit towards a future purchase.

Applications/Dilutions

Dilutions
  • Immunocytochemistry/ Immunofluorescence 2-10 ug/ml
  • Immunohistochemistry-Paraffin 1:200 - 1:500
  • Western Blot 1 ug/ml
Application Notes
For IHC-Paraffin, HIER pH 6 retrieval is recommended. For Immunocytochemistry/ Immunofluorescence/IF, PFA/Triton X-100 is recommended for fixation/permeabilization.

Packaging, Storage & Formulations

Storage
Store at 4C short term. Aliquot and store at -20C long term. Avoid freeze-thaw cycles.
Buffer
Lyophilized from a 0.2 um filtered solution in PBS with Trehalose
Preservative
No Preservative
Concentration
LYOPH
Purity
Protein A purified
Reconstitution Instructions
Centrifuge the vial of lyophilized antibody at 12,000 x g for 20 seconds. Reconstitute by adding sterile, distilled water to achieve a final antibody concentration of 1mg/ml.

Alternate Names for SOX21 Antibody (CL4688) - Azide and BSA Free

  • SOX21
  • SOX25
  • SOX25SOX-A
  • SOXA
  • SRY (sex determining region Y)-box 21
  • SRY-box 21
  • transcription factor SOX-21

Background

SOX21 - SRY (sex determining region Y)-box 21

Limitations

This product is for research use only and is not approved for use in humans or in clinical diagnosis. Primary Antibodies are guaranteed for 1 year from date of receipt.

Customers Who Viewed This Item Also Viewed...

AF2018
Species: Hu, Mu, Rt
Applications: ChIP, ICC, IHC, Simple Western, WB
AF2569
Species: Hu
Applications: ICC, WB
AF3369
Species: Hu, Mu, Rt
Applications: ICC, IHC, Simple Western, WB
AF3075
Species: Hu
Applications: ICC, Simple Western, WB
NBP2-31371
Species: Hu
Applications: ICC/IF, IHC,  IHC-P, WB
NBP2-94603
Species: Hu, Mu, Rt
Applications: ELISA, ICC/IF, WB
NBP3-41295
Species: Hu
Applications: IHC,  IHC-P, WB
AF1759
Species: Hu, Mu
Applications: ChIP, ICC, IP, Simple Western, WB
AF2864
Species: Hu
Applications: ICC, IHC, WB
NBP1-88927
Species: Hu, Mu
Applications: ICC/IF, IHC,  IHC-P, WB
AF5286
Species: Hu
Applications: WB
NBP1-86503
Species: Hu
Applications: IHC,  IHC-P, WB
AF1924
Species: Hu
Applications: ChIP, ICC, Simple Western, WB
H00728695-B01P
Species: Hu
Applications: ICC/IF, IP, WB
NBP1-89945
Species: Hu, Mu, Rt
Applications: ICC/IF, IHC,  IHC-P, KD, WB
NBP2-38449
Species: Hu
Applications: ICC/IF, IHC,  IHC-P
NBP2-61421
Species: Hu, Mu, Rt
Applications: ICC/IF, IHC,  IHC-P
NBP1-91258
Species: Bv, Ca, Eq, Fe, Hu, Mu, Po, Rt
Applications: ICC/IF, IHC, IHC-Fr,  IHC-P, Simple Western, WB

Publications for SOX21 Antibody (NBP3-44098) (0)

There are no publications for SOX21 Antibody (NBP3-44098).
By submitting your publication information earn gift cards and discounts for future purchases.

Reviews for SOX21 Antibody (NBP3-44098) (0)

There are no reviews for SOX21 Antibody (NBP3-44098). By submitting a review you will receive an Amazon e-Gift Card or Novus Product Discount.
  • Review with no image -- $10/€7/£6/$10 CAD/¥70 Yuan/¥1110 Yen
  • Review with an image -- $25/€18/£15/$25 CAD/¥150 Yuan/¥2500 Yen

Product General Protocols

Find general support by application which include: protocols, troubleshooting, illustrated assays, videos and webinars.

Video Protocols

WB Video Protocol
ICC/IF Video Protocol

FAQs for SOX21 Antibody (NBP3-44098) (0)

There are no specific FAQs related to this product. Read our general customer & technical service FAQs.

Customers Who Bought This Also Bought

Contact Information

Product PDFs

Calculators

Concentration Calculator

The concentration calculator allows you to quickly calculate the volume, mass or concentration of your vial. Simply enter your mass, volume, or concentration values for your reagent and the calculator will determine the rest.

=
÷

Review this Product

Be the first to review our SOX21 Antibody (CL4688) - Azide and BSA Free and receive a gift card or discount.

Bioinformatics

Gene Symbol SOX21