Sonic Hedgehog/Shh Antibody (SC05-28)

Images

 
Western Blot: Sonic Hedgehog/Shh Antibody (SC05-28) [NBP2-67603] - Analysis of Sonic Hedgehog Protein on different lysates using anti-Sonic Hedgehog Protein antibody at 1/1,000 dilution. Positive control: Lane 1: Hela ...read more
Immunocytochemistry/ Immunofluorescence: Sonic Hedgehog/Shh Antibody (SC05-28) [NBP2-67603] - Staining Sonic Hedgehog Protein in Hela cells (green). The nuclear counter stain is DAPI (blue). Cells were fixed in ...read more
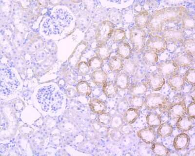
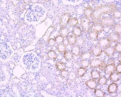
Immunohistochemistry-Paraffin: Sonic Hedgehog/Shh Antibody (SC05-28) [NBP2-67603] - Immunohistochemical analysis of paraffin-embedded rat kidney tissue using anti-Sonic Hedgehog/Shh antibody. Counter stained with ...read more
Flow Cytometry: Sonic Hedgehog/Shh Antibody (SC05-28) [NBP2-67603] - Analysis of Hela cells with Sonic Hedgehog Protein antibody at 1/50 dilution (red) compared with an unlabelled control (cells without incubation with ...read more
Immunocytochemistry/ Immunofluorescence: Sonic Hedgehog/Shh Antibody (SC05-28) [NBP2-67603] - Staining Sonic Hedgehog Protein in 293 cells (green). The nuclear counter stain is DAPI (blue). Cells were fixed in ...read more
Immunocytochemistry/ Immunofluorescence: Sonic Hedgehog/Shh Antibody (SC05-28) [NBP2-67603] - Staining Sonic Hedgehog Protein in A549 cells (green). The nuclear counter stain is DAPI (blue). Cells were fixed in ...read more
Immunohistochemistry-Paraffin: Sonic Hedgehog/Shh Antibody (SC05-28) [NBP2-67603] - Analysis of paraffin-embedded human kidney tissue using anti-Sonic Hedgehog Protein antibody. Counter stained with hematoxylin.
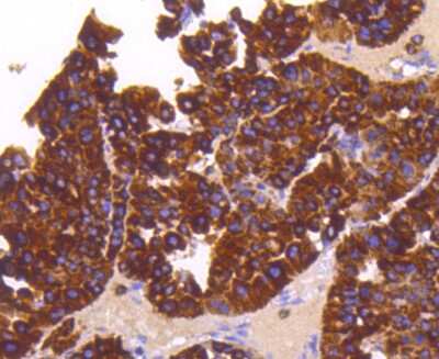
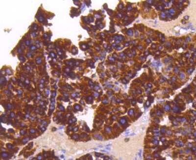
Immunohistochemistry-Paraffin: Sonic Hedgehog/Shh Antibody (SC05-28) [NBP2-67603] - Analysis of paraffin-embedded human liver cancer tissue using anti-Sonic Hedgehog Protein antibody. Counter stained with hematoxylin.
Immunohistochemistry-Paraffin: Sonic Hedgehog/Shh Antibody (SC05-28) [NBP2-67603] - Analysis of paraffin-embedded rat liver tissue using anti-Sonic Hedgehog Protein antibody. Counter stained with hematoxylin.
Immunohistochemistry-Paraffin: Sonic Hedgehog/Shh Antibody (SC05-28) [NBP2-67603] - Analysis of paraffin-embedded rat liver tissue using anti-Sonic Hedgehog Protein antibody. Counter stained with hematoxylin.

Product Details

Summary
Product Discontinued
View other related Sonic Hedgehog/Shh Primary Antibodies

Order Details


    • Catalog Number
      NBP2-67603
    • Availability
      Product Discontinued

    Can't find what you are looking for? Use our Antibody Concierge Service & we will help you locate your antibody!

    Or feel free to contact us for alternative products.

Sonic Hedgehog/Shh Antibody (SC05-28) Summary

Additional Information
Recombinant Monoclonal Antibody.
Immunogen
Synthetic peptide within Human Sonic Hedgehog/Shh aa 258-307 / 462. (SwissProt: Q15465 Human)
Localization
Secreted, Cell membrane.
Isotype
IgG
Clonality
Monoclonal
Host
Rabbit
Gene
SHH
Purity
Protein A purified
Innovator's Reward
Test in a species/application not listed above to receive a full credit towards a future purchase.

Applications/Dilutions

Dilutions
  • Flow Cytometry 1:50-1:100
  • Immunocytochemistry/ Immunofluorescence 1:50-1:200
  • Immunohistochemistry
  • Immunohistochemistry-Paraffin 1:200-1:500
  • Western Blot 1:1000-1:2000

Packaging, Storage & Formulations

Storage
Store at 4C short term. Aliquot and store at -20C long term. Avoid freeze-thaw cycles.
Buffer
TBS (pH7.4), 0.05% BSA, 40% Glycerol
Preservative
0.05% Sodium Azide
Concentration
1 mg/ml
Purity
Protein A purified

Alternate Names for Sonic Hedgehog/Shh Antibody (SC05-28)

  • HHG1
  • HHG-1
  • HLP3
  • HPE3
  • MCOPCB5
  • MCOPCB5sonic hedgehog (Drosophila) homolog
  • Shh
  • ShhNC
  • SMMCI
  • SMMCIsonic hedgehog homolog (Drosophila)
  • sonic hedgehog homolog
  • sonic hedgehog protein
  • Sonic Hedgehog
  • TPT
  • TPTPS

Background

Sonic Hedgehog Protein (SHH, VHH-1) belongs to hedgehog protein family which includes Indian Hh, and Desert Hh. Hh family is involved in the cell fate and patterning during embryonic development, homeostasis, and adult tissue renewal (1). Similar to other member in the family, SHH binds to the patched (PTC) cell surface receptor, releasing the signal transducer Smoothened (Smo) to transmit the Hh signal into the cell and activate transcription of the target gene (2). Precursor SHH is autocatlytically cleaved into two subunits, N-terminal and C-terminal products. Soluble N-terminal product is involved in the signaling activity, while C-product displays an autoproteolysis activity on the precursor and a cholesterol transferase activity on the N-terminal product. C-terminal product attaches a cholesterol moiety to the N-terminal product, preventing N-terminal product diffusion within the developing embryo (3). A defect in SHH has been linked in holoprosencephaly type 3 (HPE3), in which developing forebrain fails to separate into right and left hemispheres, and ocular coloboma (4).

Limitations

This product is for research use only and is not approved for use in humans or in clinical diagnosis. Primary Antibodies are guaranteed for 1 year from date of receipt.

Customers Who Viewed This Item Also Viewed...

NB600-600
Species: Ca, Hu, Mu
Applications: ChIP, ELISA, Flow-IC, IB, ICC/IF, IHC,  IHC-P, KD, WB
MAB41051
Species: Hu, Mu
Applications: WB
314-BP
Species: Hu
Applications: BA, BA
H00002523-P01
Species: Hu
Applications: ELISA, AP, PA, WB
H00003077-M01
Species: Hu
Applications: ELISA, ICC/IF, WB
423-F8
Species: Hu, Mu
Applications: BA
NLS2666
Species: Bt, Bv, Ca, Eq, Ha, Hu, Pm, Mu, Po, Rb, Rt
Applications: ICC/IF, IHC,  IHC-P
NBP3-04509
Species: Hu, Mu, Rt
Applications: ELISA, IHC,  IHC-P, WB
AF3690
Species: Hu, Mu
Applications: ChIP, ICC, WB
AF3635
Species: Mu
Applications: IHC, WB
AF1705
Species: Mu
Applications: IHC, WB
355-BM
Species: Hu, Mu, Rt
Applications: BA
NBP1-33581
Species: Hu, Mu, Rt
Applications: ELISA, ICC/IF, IHC,  IHC-P, WB
AF482
Species: Mu
Applications: IHC, WB
NBP1-85351
Species: Hu, Mu, Rt
Applications: ICC/IF, IHC,  IHC-P, WB
NBP2-33711
Species: Hu
Applications: IHC,  IHC-P
235-F4
Species: Hu
Applications: BA
345-FG
Species: Hu
Applications: BA

Publications for Sonic Hedgehog/Shh Antibody (NBP2-67603) (0)

There are no publications for Sonic Hedgehog/Shh Antibody (NBP2-67603).
By submitting your publication information earn gift cards and discounts for future purchases.

Reviews for Sonic Hedgehog/Shh Antibody (NBP2-67603) (0)

There are no reviews for Sonic Hedgehog/Shh Antibody (NBP2-67603). By submitting a review you will receive an Amazon e-Gift Card or Novus Product Discount.
  • Review with no image -- $10/€7/£6/$10 CAD/¥70 Yuan/¥1110 Yen
  • Review with an image -- $25/€18/£15/$25 CAD/¥150 Yuan/¥2500 Yen

Product General Protocols

Find general support by application which include: protocols, troubleshooting, illustrated assays, videos and webinars.

Video Protocols

WB Video Protocol
ICC/IF Video Protocol

FAQs for Sonic Hedgehog/Shh Antibody (NBP2-67603) (0)

There are no specific FAQs related to this product. Read our general customer & technical service FAQs.

Contact Information

Product PDFs

Calculators

Concentration Calculator

The concentration calculator allows you to quickly calculate the volume, mass or concentration of your vial. Simply enter your mass, volume, or concentration values for your reagent and the calculator will determine the rest.

=
÷

Review this Product

Be the first to review our Sonic Hedgehog/Shh Antibody (SC05-28) and receive a gift card or discount.

Bioinformatics

Gene Symbol SHH