SNRPA1 Antibody

Images

 
Western Blot: SNRPA1 Antibody [NBP1-57239] - Jurkat cell lysate, Antibody Titration: 2.5ug/ml
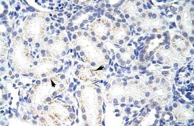
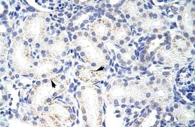
Immunohistochemistry-Paraffin: SNRPA1 Antibody [NBP1-57239] - Human kidney Tissue, antibody concentration 4-8ug/ml. Cells with positive label: renal corpuscle cells (indicated with arrows) 400X magnification.

Product Details

Summary
Product Discontinued
View other related SNRPA1 Primary Antibodies

Order Details


    • Catalog Number
      NBP1-57239
    • Availability
      Product Discontinued

    Can't find what you are looking for? Use our Antibody Concierge Service & we will help you locate your antibody!

    Or feel free to contact us for alternative products.

SNRPA1 Antibody Summary

Description
The addition of 50% glycerol is optional for those storing this antibody at -20C and not aliquoting smaller units. However, please note that glycerol may interrupt some downstream antibody applications and should be added with caution.
Immunogen
Synthetic peptides corresponding to SNRPA1 (small nuclear ribonucleoprotein polypeptide A') The peptide sequence was selected from the C terminal of SNRPA1. Peptide sequence RRSKTFNPGAGLPTDKKKGGPSPGDVEAIKNAIANASTLAEVERLKGLLQ. The peptide sequence for this immunogen was taken from within the described region.
Isotype
IgG
Clonality
Polyclonal
Host
Rabbit
Gene
SNRPA1
Purity
Protein A purified
Innovator's Reward
Test in a species/application not listed above to receive a full credit towards a future purchase.

Applications/Dilutions

Dilutions
  • Immunohistochemistry 1:10-1:500
  • Immunohistochemistry-Paraffin 1:10-1:500
  • Western Blot 1.0 ug/ml

Packaging, Storage & Formulations

Storage
Store at -20C. Avoid freeze-thaw cycles.
Buffer
PBS, 2% Sucrose
Preservative
0.09% Sodium Azide
Purity
Protein A purified

Alternate Names for SNRPA1 Antibody

  • Lea1
  • small nuclear ribonucleoprotein polypeptide A'
  • U2 small nuclear ribonucleoprotein A'
  • U2 small nuclear ribonucleoprotein polypeptide A'
  • U2 snRNP A'

Background

SNRPA1 contains 3 LRR (leucine-rich) repeats and belongs to the U2 small nuclear ribonucleoprotein A family. It is associated with sn-RNP U2 and helps the A' protein to bind stem loop IV of U2 snRNA.

Limitations

This product is for research use only and is not approved for use in humans or in clinical diagnosis. Primary Antibodies are guaranteed for 1 year from date of receipt.

Customers Who Viewed This Item Also Viewed...

NBP2-45893
Species: Hu, Mu, Rt
Applications: IHC,  IHC-P, WB
NBP1-92271
Species: Hu
Applications: ICC/IF, IHC,  IHC-P, WB
NBP3-37988
Species: Hu, Mu, Rt
Applications: ELISA, ICC/IF, IHC,  IHC-P, WB
NBP1-80690
Species: Hu
Applications: ICC/IF, IHC,  IHC-P
NBP2-15723
Species: Hu, Mu, Rt
Applications: ICC/IF, IHC,  IHC-P, IP, WB
NBP2-57100
Species: Hu
Applications: ICC/IF
H00006193-M02
Species: Hu, Mu, Pr, Rt
Applications: ELISA, ICC/IF, WB
AF3025
Species: Hu
Applications: ELISA, ICC, WB
NB500-487
Species: Bv, Hu, Mu, Rt
Applications: IHC,  IHC-P, IP, WB
NBP1-83324
Species: Hu, Mu, Rt
Applications: ICC/IF, IHC,  IHC-P, WB
NBP2-80524
Species: Hu, Mu, Rt
Applications: IHC,  IHC-P, WB
NBP2-00918
Species: Ca, Hu, Mu, Rt
Applications: Flow, ICC/IF, IHC,  IHC-P, WB
7754-BH/CF
Species: Hu
Applications: BA
NBP3-38210
Species: Hu, Mu, Rt
Applications: ELISA, ICC/IF, IHC,  IHC-P, WB
H00001663-M03
Species: Hu
Applications: ELISA, ICC/IF, IHC,  IHC-P, S-ELISA, WB
NBP2-62654
Species: Hu
Applications: IHC,  IHC-P, WB
NBP2-47561
Species: Hu
Applications: ICC/IF, IHC,  IHC-P, WB
NBP3-09392
Species: Hu, Mu
Applications: WB
NBP1-30445
Species: Hu, Mu
Applications: IHC,  IHC-P, IP, WB
NBP1-57239
Species: Hu
Applications: WB, IHC

Publications for SNRPA1 Antibody (NBP1-57239) (0)

There are no publications for SNRPA1 Antibody (NBP1-57239).
By submitting your publication information earn gift cards and discounts for future purchases.

Reviews for SNRPA1 Antibody (NBP1-57239) (0)

There are no reviews for SNRPA1 Antibody (NBP1-57239). By submitting a review you will receive an Amazon e-Gift Card or Novus Product Discount.
  • Review with no image -- $10/€7/£6/$10 CAD/¥70 Yuan/¥1110 Yen
  • Review with an image -- $25/€18/£15/$25 CAD/¥150 Yuan/¥2500 Yen

Product General Protocols

Find general support by application which include: protocols, troubleshooting, illustrated assays, videos and webinars.

Video Protocols

WB Video Protocol

FAQs for SNRPA1 Antibody (NBP1-57239) (0)

There are no specific FAQs related to this product. Read our general customer & technical service FAQs.

Secondary Antibodies

 

Isotype Controls

Additional SNRPA1 Products

Research Areas for SNRPA1 Antibody (NBP1-57239)

Find related products by research area.

Blogs on SNRPA1

There are no specific blogs for SNRPA1, but you can read our latest blog posts.

Contact Information

Product PDFs

Calculators

Concentration Calculator

The concentration calculator allows you to quickly calculate the volume, mass or concentration of your vial. Simply enter your mass, volume, or concentration values for your reagent and the calculator will determine the rest.

=
÷

Review this Product

Be the first to review our SNRPA1 Antibody and receive a gift card or discount.

Bioinformatics

Gene Symbol SNRPA1